NCAM1 Antibody

Code CSB-PA132170
Size US$119
Order now
Image
  • Western blot analysis of mouse-lung mouse-heart lysis using NCAM1 antibody. Antibody was diluted at 1:1000. Secondary antibody was diluted at 1:20000
  • Immunohistochemical analysis of paraffin-embedded human-brain, antibody was diluted at 1:200
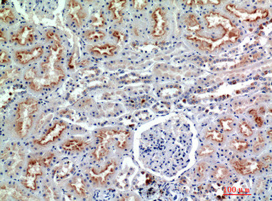
  • Immunohistochemical analysis of paraffin-embedded human-kidney, antibody was diluted at 1:200
  • Western Blot analysis of Hela cells using Antibody diluted at 1:1000. Secondary antibody was diluted at 1:20000
Have Questions? Leave a Message or Start an on-line Chat

Product Details

Uniprot No.
Target Names
Alternative Names
antigen MSK39 identified by monoclonal antibody 5.1H11 antibody; antigen recognized by monoclonal antibody 5.1H11 antibody; CD56 antibody; cell adhesion molecule, neural, 1 antibody; MSK 39 antibody; MSK39 antibody; N-CAM-1 antibody; NCAM 1 antibody; NCAM antibody; NCAM C antibody; NCAM-1 antibody; NCAM1 antibody; NCAM1_HUMAN antibody; NCAMC antibody; Neural cell adhesion molecule 1 antibody; Neural cell adhesion molecule NCAM antibody; OTTHUMP00000235666 antibody
Raised in
Rabbit
Species Reactivity
Human
Immunogen
Synthesized peptide derived from the Internal region of Human CD56.
Immunogen Species
Homo sapiens (Human)
Conjugate
Non-conjugated
Purification Method
The antibody was affinity-purified from rabbit antiserum by affinity-chromatography using epitope-specific immunogen.
Concentration
It differs from different batches. Please contact us to confirm it.
Buffer
Liquid in PBS containing 50% glycerol, 0.5% BSA and 0.02% sodium azide.
Form
Liquid
Tested Applications
WB, IHC, ELISA
Recommended Dilution
Application Recommended Dilution
WB 1:500-1:2000
IHC 1:100-1:300
ELISA 1:10000
Troubleshooting and FAQs
Storage
Upon receipt, store at -20°C or -80°C. Avoid repeated freeze.
Lead Time
Basically, we can dispatch the products out in 1-3 working days after receiving your orders. Delivery time maybe differs from different purchasing way or location, please kindly consult your local distributors for specific delivery time.
Usage
For Research Use Only. Not for use in diagnostic or therapeutic procedures.

Customer Reviews and Q&A

 Customer Reviews

There are currently no reviews for this product.

Submit a Review here

Target Background

Function
This protein is a cell adhesion molecule involved in neuron-neuron adhesion, neurite fasciculation, outgrowth of neurites, etc.; (Microbial infection) Acts as a receptor for rabies virus.; (Microbial infection) Acts as a receptor for Zika virus.
Gene References into Functions
  1. CD56 is a potentially good immunohistochemical marker for differentiating papillary thyroid carcinoma from other benign follicular lesions of the thyroid PMID: 30173227
  2. TROP-2, SLP-2 and CD56 were effective diagnostic markers for PTC, especially when they were combined to use. PMID: 29951933
  3. evaluation of the diagnostic value of emerin and CD56 in papillary thyroid carcinoma, using immunohistochemistry PMID: 30188764
  4. Plasma levels of NCAM-1 were found to be lower in coronary artery disease patients compared to controls. PMID: 29506702
  5. CD200(+) and/or CD56(+) positive expression in B-ALL patients at diagnosis is a poor prognostic biomarker. PMID: 29161980
  6. CD56 immunohistochemistry can be useful in differentiating follicular variant papillary thyroid carcinoma from follicular adenoma. PMID: 29799356
  7. NCAM1 protein expression levels were found to be regulated by miRNA-572 in an oligodendroglial cell line. PMID: 28332001
  8. a role for CD56 in developmental synapse structure, natural killer (NK) cell motility and NK cell development. PMID: 27435370
  9. The expression of CD56 was analyzed in 74 samples of primary MM cells collected from patients before they received bortezomib plus dexamethasone therapy. Expression of NCAM was lower among patients who responded poorly. In vitro expression of NCAM induced by transfection of MM cells enhanced their sensitivity to Btz treatment by causing accumulation of polyubiquitinated proteins. PMID: 29738534
  10. Results show that the conjugate selectively depleted the CSC population of the tumors and effectively inhibited tumor growth without causing toxicity. We propose that the NCAM-targeted conjugate could be an effective therapeutic for Wilms tumor. PMID: 28729402
  11. CD200 and/or CD56 positive expression in B-ALL at diagnosis suggest a poor prognosis and may be associated with biological aggressiveness. PMID: 29144828
  12. This study concludes that the cytotoxic action of CD56+ fraction of cytokine-induced killer cells against a K562 cell line is mainly due to the natural killer cells. PMID: 27136441
  13. NCAM1 was up-regulated in the malignant Middle Cerebral Artery Infarction. PMID: 28828208
  14. This supports the conclusion that a lower proportion of CD56(bright) natural killer regulatory cells results in the high rate of chronic graft-versus-host disease seen in filgrastim-stimulated apheresis peripheral blood. PMID: 28935847
  15. inhibiting NCAM1 would be cardioprotective, counteract the pathological action of TGFbeta1 and reduce heart failure severity. PMID: 28870505
  16. Mutation of a putative MAP kinase (Erk2) consensus site regulates neural cell adhesion molecule (NCAM) endocytosis and NCAM-dependent neurite outgrowth. PMID: 28193531
  17. The combined use of CK19 and CD56 is helpful in discriminating papillary thyroid carcinoma and its variants from other mimicking thyroid lesions. PMID: 28214214
  18. NCAM-expression in adult dilated cardiomyopathy hearts is associated with cardiomyocyte hypertrophy. PMID: 28343767
  19. This study identified NCAM1 gene sets related to self-reported depression scores in healthy participants PMID: 28334615
  20. Basal cell carcinoma (BCC) typically shows patchy CD56 expression and diffuse CK5/6 positivity. These 2 markers can be used to distinguish between BCC and Merkel cell carcinoma in challenging cases. PMID: 28403527
  21. Study represents the first to evaluate the prognostic impact of CD56 expression in a real-life setting and address these findings to a large and heterogeneous subset of AML. PMID: 26914377
  22. T-cell differentiation and CD56+ levels are different in polypoidal choroidal vasculopathy and neovascular age-related macular degeneration. PMID: 29165313
  23. findings that the CD56 and CD117 expression levels are lower in advanced stages than earlier stages and that LDH level and CD117 expression have an inverse relationship in patients with newly diagnosed multiple myeloma (MM) suggest that CD56 and CD117 expressions may be prognostic markers for MM. PMID: 28270374
  24. soluble NCAM might be thought as a specific marker of peripheral nerve demyelination and as a sensitive marker of peripheral nerve injuries PMID: 28336415
  25. Neural cell adhesion molecule (NCAM, CD56) is a transmembrane glycoprotein. PMID: 27528376
  26. Suggest that INSM1 is valuable for identification of the high-grade thoracic neuroendocrine carcinomas that are sometimes negative for synaptophysin, chromogranin, and CD56. PMID: 28719469
  27. CD56(bright) NK IL-7Ralpha expression negatively associates with HCV level, and IL-7-induced NK function is impaired during HCV and HIV infections PMID: 28400540
  28. These findings provide evidence for newly-discovered roles for PREP in mechanisms regulating cellular plasticity through NCAM and PSA-NCAM. PMID: 27566163
  29. NCAM- and FGF-2-mediated FGFR1 signaling in the tumor microenvironment regulates the survival and migration of esophageal squamous carcinoma cells. PMID: 27317650
  30. Study provides detailed description of the PSA-NCAM distribution throughout the human brain and quantitatively compares control, Alzheimer's and Parkinson's disease. Results demonstrate that PSA-NCAM-mediated structural plasticity may not be limited to neurogenic niches and is conserved in the aged brain, provide evidence that PSA-NCAM is reduced in the entorhinal cortex. PMID: 27282086
  31. The purpose of this study is to reveal whether neural cell adhesion molecule (NCAM) mediates the protective effects of GDNF. PMID: 27003822
  32. Suppressor function of CD56bright NK cells is impaired in multiple sclerosis. PMID: 27157273
  33. data provided molecular details about the interaction between HuPrP and the NCAM fibronectin domain, and revealed a new role of PrP(C) N terminus as a dynamic and functional element responsible for protein-protein interaction. PMID: 27535221
  34. The polybasic region of the polysialyltransferase ST8Sia-IV binds directly to NCAM. PMID: 28233978
  35. analysis of structural and genetic features of the CD56 glycoprotein, and summary of its roles in the normal versus diseased metanephric blastema [review] PMID: 27935326
  36. novel RUNX1 isoforms contribute in controlling CD56 expression in acute myeloid leukemia cells. PMID: 26706848
  37. NCAM1 SNPs were associated with lifetime cannabis use, but the association did not reach genome-wide significance. [Meta-Analysis] PMID: 27023175
  38. analysis of natural killer cell markers in renal transplantation that have roles in acute rejection reveals that CD56 and CD57 are increased in the interstitial compartment in donor-specific antibody (DSA)-negative biopsies from patients with acute antibody-mediated rejection without C4d, and CD16 is increased in the glomerular compartment in DSA-positive biopsies PMID: 26615051
  39. Data show that negative selection for CD133 is required for defining NCAM1(+) nephron stem cells in normal and malignant nephrogenesis. PMID: 27020553
  40. Report increased CD56 expression by immature biliary epithelial cells in biliary atresia. PMID: 26937142
  41. NCAM1 deletion is associated with neuroblastoma and ganglioneuroma. PMID: 26463893
  42. this study shows that CD56 expression defines a poor prognosis subset in the cytogenetically intermediate prognosis pediatric AML. PMID: 26147745
  43. The expression of coding and non-coding genes with SAFB1 cross-link sites was altered by SAFB1 knockdown. The isoform-specific expression of neural cell adhesion molecule (NCAM1) and ASTN2 was influenced by SAFB1. PMID: 26694817
  44. the expression of CD56 in adenomyosis is positively associated with the severity of dysmenorrhea. PMID: 26344352
  45. A FOXP3(+)CD3(+)CD56(+)-expressed T-cell population with immunosuppressive function and reduced patient survival has been identified in cancer tissues of human hepatocellular carcinoma. PMID: 26437631
  46. NK cell maturation to CD56(dim) subset associated with high levels of NCRs overrides the inhibitory effect of NKG2A and recovers impaired NK cell cytolytic potential after allogeneic hematopoietic stem cell transplantation. PMID: 26856773
  47. The neural cell adhesion molecule (NCAM) is a glycoprotein implicated in cell-cell adhesion, neurite outgrowth and synaptic plasticity. PMID: 26460482
  48. L1-CAM and N-CAM: From Adhesion Proteins to Pharmacological Targets PMID: 26478212
  49. CD56 marker is a useful alternative that is comparable to SSTR2A for the diagnosis of phosphaturic mesenchymal tumors. PMID: 26339384
  50. Case Report: chronic lymphocytic leukemia with aberrant CD56 and CD57 expression. PMID: 26013700

Show More

Hide All

Subcellular Location
[Isoform 1]: Cell membrane; Single-pass type I membrane protein.; [Isoform 2]: Cell membrane; Single-pass type I membrane protein.; [Isoform 3]: Cell membrane; Lipid-anchor, GPI-anchor.; [Isoform 4]: Cell membrane; Lipid-anchor, GPI-anchor.; [Isoform 5]: Secreted.; [Isoform 6]: Secreted.
Database Links

HGNC: 7656

OMIM: 116930

KEGG: hsa:4684

STRING: 9606.ENSP00000318472

UniGene: Hs.503878

CUSABIO guaranteed quality
icon of phone
Call us
301-363-4651 (Available 9 a.m. to 5 p.m. CST from Monday to Friday)
icon of address
Address
7505 Fannin St., Ste 610, Room 7 (CUBIO Innovation Center), Houston, TX 77054, USA
icon of social media
Join us with

Subscribe newsletter

Leave a message

* To protect against spam, please pass the CAPTCHA test below.
CAPTCHA verification
© 2007-2025 CUSABIO TECHNOLOGY LLC All rights reserved. 鄂ICP备15011166号-1
×
Place an order now

I. Product details

*
*
*
*

II. Contact details

*
*

III. Ship To

*
*
*
*
*
*
*

IV. Bill To

*
*
*
*
*
*
*
*