CLDN18 Antibody

Code CSB-PA005498ESR1HU
Size US$166
Order now
Image
  • Western Blot
    Positive WB detected in: KATO3-18.2 whole cell lysate, NIH3T3-18.1 whole cell lysate
    All lanes: CLDN18 antibody at 1:500
    Secondary
    Goat polyclonal to rabbit IgG at 1/50000 dilution
    Predicted band size: 28 kDa
    Observed band size: 28 kDa
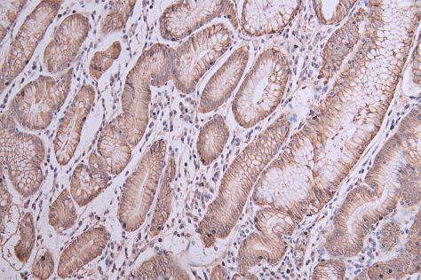
  • IHC image of CSB-PA005498ESR1HU diluted at 1:50 and staining in paraffin-embedded human stomach tissue performed on a Leica BondTM system. After dewaxing and hydration, antigen retrieval was mediated by high pressure in a citrate buffer (pH 6.0). Section was blocked with 10% normal goat serum 30min at RT. Then primary antibody (1% BSA) was incubated at 4°C overnight. The primary is detected by a Goat anti-rabbit polymer IgG labeled by HRP and visualized using 0.05% DAB.
  • IHC image of CSB-PA005498ESR1HU diluted at 1:50 and staining in paraffin-embedded human gastric cancer tissue performed on a Leica BondTM system. After dewaxing and hydration, antigen retrieval was mediated by high pressure in a citrate buffer (pH 6.0). Section was blocked with 10% normal goat serum 30min at RT. Then primary antibody (1% BSA) was incubated at 4°C overnight. The primary is detected by a Goat anti-rabbit polymer IgG labeled by HRP and visualized using 0.05% DAB.
Have Questions? Leave a Message or Start an on-line Chat

Product Details

Full Product Name
Rabbit anti-Homo sapiens (Human) CLDN18 Polyclonal antibody
Uniprot No.
Target Names
Alternative Names
CLDN18; UNQ778/PRO1572; Claudin-18
Raised in
Rabbit
Species Reactivity
Human
Immunogen
Recombinant Human Claudin-18 protein (20-80AA)
Immunogen Species
Homo sapiens (Human)
Conjugate
Non-conjugated
Clonality
Polyclonal
Isotype
IgG
Purification Method
Antigen Affinity Purified
Concentration
It differs from different batches. Please contact us to confirm it.
Buffer
PBS with 0.02% sodium azide, 50% glycerol, pH7.3.
Form
Liquid
Tested Applications
ELISA, WB, IHC
Recommended Dilution
Application Recommended Dilution
WB 1:500-1:2000
IHC 1:20-1:200
Troubleshooting and FAQs
Storage
Upon receipt, store at -20°C or -80°C. Avoid repeated freeze.
Lead Time
Basically, we can dispatch the products out in 1-3 working days after receiving your orders. Delivery time maybe differs from different purchasing way or location, please kindly consult your local distributors for specific delivery time.
Description

Rabbits were immunized with the recombinant human CLDN18 protein (20-80aa) to generate a polyclonal antibody that targets CLDN18. The resulting antibody was then purified using antigen affinity chromatography. It can specifically bind to CLDN18 protein in human samples.

This CLDN18 antibody has undergone extensive validation and is suitable for various applications, including ELISA, WB, and IHC. Thus, it can be utilized to evaluate CLDN18 protein levels, identify its presence and size, and visualize its distribution in diverse experimental contexts. CLDN18 is primarily responsible for regulating paracellular permeability in epithelial tissues, especially in the stomach, where it is critical for the formation and maintenance of the gastric mucosal barrier.

Usage
For Research Use Only. Not for use in diagnostic or therapeutic procedures.

Customer Reviews and Q&A

 Customer Reviews

There are currently no reviews for this product.

Submit a Review here

Target Background

Function
Plays a major role in tight junction-specific obliteration of the intercellular space, through calcium-independent cell-adhesion activity.
Gene References into Functions
  1. In this study, we found downregulation of miR-767-3p and upregulation of CLDN18 in lung adenocarcinoma tissue and cell lines. PMID: 29169410
  2. CDH17 and CLDN18 are useful target molecules. Their coupling can aid in the comprehensive detection and localization of gastric cancer metastases in vivo to overcome challenges associated with intratumoral heterogeneity. PMID: 27580354
  3. Bile duct adenocarcinoma cells overexpress claudin-18 via the EGFR/RAS/ERK pathway, contributing to cell proliferation and invasion. PMID: 28624624
  4. The presented data substantiate the hypothesis that claudin-18 is a central barrier-forming component of tight junctions and show that IL-13 downregulates claudin-18. These data also suggest that the loss of claudin-18 is associated with increased sensitization to aeroantigens and airway responsiveness PMID: 27215490
  5. suggest that the reduction of CLDN5, 7, and 18 expression loses the suppressive ability of interaction between PDK1 and Akt and causes sustained phosphorylation of Akt, resulting in the disordered proliferation in lung squamous carcinoma cells PMID: 27884700
  6. Data suggest that claudin-18 suppresses the abnormal proliferation and motility of lung epithelial cells mediated by inhibition of phosphorylation of pyruvate dehydrogenase kinase isoform 1 (PDK1) and proto-oncogene protein c-akt (Akt). PMID: 26919807
  7. Human fetal lungs at 23-24 weeks gestational age, the highest-risk period for developing bronchopulmonary dysplasia, a disease of impaired alveolarization, had significantly lower CLDN18 expression relative to postnatal lungs. PMID: 24787463
  8. Evaluated expression of claudins in gastric cancer and determined their significance for patient outcome. Claudin-3 and claudin-7 were expressed in 25.4% and 29.9% of gastric cancer tissues; 51.5% of gastric cancer tissues had reduced claudin-18. PMID: 24333468
  9. High levels of CLDN18 are associated with non-small-cell lung cancer. PMID: 24710653
  10. Downregulation of miR-1303 can inhibit proliferation, migration and invasion of gastric cancer cells by targeting CLDN18. PMID: 24647998
  11. Claudin-18 positivity is a specific phenotype that is characteristic of intestinal-type Mucinous borderline tumours of the ovary PMID: 23905715
  12. Down-regulation of claudin-18 is associated with the proliferative and invasive potential of gastric cancer. PMID: 24073219
  13. rate of CLDN18.2 positivity is high in pancreatic neoplasms whereby the expression is not limited to the primaries but is also maintained upon metastasis PMID: 23900716
  14. Claudin 10/18 are most commonly expressed in lung adenocarcinomas. Female patients and non-smokers express these claudins more commonly suggesting that they may play a part in the carcinogenesis of tobacco unrelated carcinoma. PMID: 22076167
  15. Claudin 18 (a marker for early carcinogenesis) is commonly expressed in precursor lesions of pancreatic ductal adenocarcinomas. Activation of the protein kinase C pathway might be involved in claudin 18 expression associated with carcinogenesis. PMID: 21832145
  16. Cldn18 is primarily regulated at the transcriptional level via specific protein kinase C signaling pathways and modified by DNA methylation PMID: 21381080
  17. These results suggest that CLDN18 may play an important role in biliary carcinogenesis. PMID: 21607649
  18. High claudin 18 is associated with intraductal papillary mucinous neoplasms of the pancreas. PMID: 21206985
  19. We revealed that claudin-18 expression correlates with poor survival in patients with colorectal cancer and is associated with the gastric phenotype. PMID: 20846265
  20. Loss of claudin expression may enhance the grade of malignancy of gastric cancer in vivo. PMID: 17459057
  21. We conclude that Cldn-18 is the dominant claudin in the TJ of SCE and propose that the change from a Cldn-18-deficient TJ in SqE to a Cldn-18-rich TJ in SCE contributes to the greater acid resistance of BE. PMID: 17932229
  22. Indicate that the PKC/MAPK/AP-1 dependent pathway regulates claudin-18a2 expression in gastric cells. PMID: 18032479
  23. Claudin 18 and annexin A8 are frequently highly overexpressed in infiltrating ductal adenocarcinomas. PMID: 18223320
  24. Claudin 18 staining can aid in diagnosis of gastrointestinal signet ring cell carcinoma. PMID: 18580680
  25. Increased expression of claudin-18 is associated with colitis. PMID: 18831034
  26. CLDN18.2 as a novel, highly attractive pan-cancer target for the antibody therapy of epithelial tumors. PMID: 19047087

Show More

Hide All

Subcellular Location
Cell junction, tight junction. Cell membrane; Multi-pass membrane protein.
Protein Families
Claudin family
Tissue Specificity
Isoform A1: Expression is restricted to the lung. Isoform A2: Expression is restricted to the stomach mucosa where it is predominantly observed in the epithelial cells of the pit region and the base of the gastric glands including exocrine and endocrine c
Database Links

HGNC: 2039

OMIM: 609210

KEGG: hsa:51208

STRING: 9606.ENSP00000183605

UniGene: Hs.655324

CUSABIO guaranteed quality
icon of phone
Call us
301-363-4651 (Available 9 a.m. to 5 p.m. CST from Monday to Friday)
icon of address
Address
7505 Fannin St., Ste 610, Room 7 (CUBIO Innovation Center), Houston, TX 77054, USA
icon of social media
Join us with

Subscribe newsletter

Leave a message

* To protect against spam, please pass the CAPTCHA test below.
CAPTCHA verification
© 2007-2025 CUSABIO TECHNOLOGY LLC All rights reserved. 鄂ICP备15011166号-1
×
Place an order now

I. Product details

*
*
*
*

II. Contact details

*
*

III. Ship To

*
*
*
*
*
*
*

IV. Bill To

*
*
*
*
*
*
*
*