FOXO1 (Ab-319) Antibody

Code CSB-PA953422
Size US$297
Order now
Image
  • Western blot analysis of extracts from 3T3 and PC12 cells using FKHR(Ab-319) Antibody.
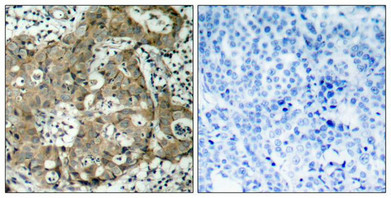
  • Immunohistochemical analysis of paraffin-embedded human breast carcinoma tissue using FKHR(Ab-319) Antibody(left) or the same antibody preincubated with blocking peptide(right).
Have Questions? Leave a Message or Start an on-line Chat

Product Details

Full Product Name
Rabbit anti-Homo sapiens (Human) FOXO1 Polyclonal antibody
Uniprot No.
Target Names
Alternative Names
FKH 1 antibody; FKH1 antibody; FKHR antibody; Forkhead (Drosophila) homolog 1 (rhabdomyosarcoma) antibody; Forkhead box O1 antibody; Forkhead box protein O1 antibody; Forkhead box protein O1A antibody; Forkhead in rhabdomyosarcoma antibody; Forkhead; Drosophila; homolog of; in rhabdomyosarcoma antibody; FoxO transcription factor antibody; foxo1 antibody; FOXO1_HUMAN antibody; FOXO1A antibody; OTTHUMP00000018301 antibody
Raised in
Rabbit
Species Reactivity
Human,Mouse,Rat
Immunogen
Peptide sequence around aa. 317~321 (T-S-S-N-A) derived from Human FKHR.
Immunogen Species
Homo sapiens (Human)
Clonality
Polyclonal
Purification Method
Antibodies were produced by immunizing rabbits with synthetic peptide and KLH conjugates. Antibodies were purified by affinity-chromatography using epitope-specific peptide.
Concentration
It differs from different batches. Please contact us to confirm it.
Form
Supplied at 1.0mg/mL in phosphate buffered saline (without Mg2+ and Ca2+), pH 7.4, 150mM NaCl, 0.02% sodium azide and 50% glycerol.
Tested Applications
ELISA,WB,IHC
Recommended Dilution
Application Recommended Dilution
WB 1:500-1:1000
IHC 1:50-1:200
Troubleshooting and FAQs
Storage
Upon receipt, store at -20°C or -80°C. Avoid repeated freeze.
Lead Time
Basically, we can dispatch the products out in 1-3 working days after receiving your orders. Delivery time maybe differs from different purchasing way or location, please kindly consult your local distributors for specific delivery time.
Usage
For Research Use Only. Not for use in diagnostic or therapeutic procedures.

Customer Reviews and Q&A

 Customer Reviews

There are currently no reviews for this product.

Submit a Review here

Target Background

Function
Transcription factor that is the main target of insulin signaling and regulates metabolic homeostasis in response to oxidative stress. Binds to the insulin response element (IRE) with consensus sequence 5'-TT[G/A]TTTTG-3' and the related Daf-16 family binding element (DBE) with consensus sequence 5'-TT[G/A]TTTAC-3'. Activity suppressed by insulin. Main regulator of redox balance and osteoblast numbers and controls bone mass. Orchestrates the endocrine function of the skeleton in regulating glucose metabolism. Also acts as a key regulator of chondrogenic commitment of skeletal progenitor cells in response to lipid availability: when lipids levels are low, translocates to the nucleus and promotes expression of SOX9, which induces chondrogenic commitment and suppresses fatty acid oxidation. Acts synergistically with ATF4 to suppress osteocalcin/BGLAP activity, increasing glucose levels and triggering glucose intolerance and insulin insensitivity. Also suppresses the transcriptional activity of RUNX2, an upstream activator of osteocalcin/BGLAP. In hepatocytes, promotes gluconeogenesis by acting together with PPARGC1A and CEBPA to activate the expression of genes such as IGFBP1, G6PC1 and PCK1. Important regulator of cell death acting downstream of CDK1, PKB/AKT1 and STK4/MST1. Promotes neural cell death. Mediates insulin action on adipose tissue. Regulates the expression of adipogenic genes such as PPARG during preadipocyte differentiation and, adipocyte size and adipose tissue-specific gene expression in response to excessive calorie intake. Regulates the transcriptional activity of GADD45A and repair of nitric oxide-damaged DNA in beta-cells. Required for the autophagic cell death induction in response to starvation or oxidative stress in a transcription-independent manner. Mediates the function of MLIP in cardiomyocytes hypertrophy and cardiac remodeling. Regulates endothelial cell (EC) viability and apoptosis in a PPIA/CYPA-dependent manner via transcription of CCL2 and BCL2L11 which are involved in EC chemotaxis and apoptosis.
Gene References into Functions
  1. results indicate that FOXO1 is downregulated by miR300 in hepatocellular carcinoma (HCC) cells and that FOXO1 mediates miR300induced cell viability. PMID: 30272296
  2. Loss of FOXO1 protein is identified as an early event during pancreatic ductal adenocarcinoma development and may be independent of the top 4 mutated cancer genes PMID: 30227407
  3. The cardiac regeneration may be promoted by proper control of FOXO1/3 activity. FOXO1 mainly plays a detrimental role in heart while FOXO3's actions are influenced by cell type. [review] PMID: 27890702
  4. Data show that long non-coding RNA MALAT1 (MALAT1) repressed sirtuin 1 (SIRT1) expression through targeting forkhead box protein O1 (Foxo1). PMID: 29928873
  5. Authors showed that up-regulation of FOXO1 in cardiomyocytes is central in the pathogenesis of CIH-induced cardiac hypertrophy. PMID: 28738025
  6. Elatoside C (EsC) attenuated ox-LDL-induced HUVECs injury by inducing autophagy via increasing FoxO1 expression level. EsC is thus considered as a potential drug for the treatment of atherosclerosis. PMID: 28189723
  7. MiR-145 could suppress human adipose-derived mesenchymal stem cells osteoinductive differentiation by suppressing FoxO1 directly. PMID: 29249185
  8. Here the authors identified a direct interaction of both MEK1 and MEK2 with AKT. The interaction between MEK and AKT affects cell migration and adhesion, but not proliferation. The specific mechanism of action of the MEK-AKT complex involves phosphorylation of the migration-related transcription factor FoxO1. PMID: 28225038
  9. our study identified that p27 expression was transcriptionally upregulated by enhancing the binding of FOXO1 to its promoter and post-transcriptionally induced through decreasing binding of miR-182 to its mRNA 3'-UTR upon isorhapontigenin treatment PMID: 29409027
  10. rescue experiments demonstrated that FOXO1 knockdown abolished the effects of miR660 knockdown on osteosarcoma (OS)cell proliferation and invasion. These results suggest that miR660 may serve oncogenic roles in OS by directly targeting FOXO1. Targeting miR660 may be an effective candidate for the treatment of patients with OS. PMID: 29901128
  11. In particular, we discuss molecular mechanisms that might determine the switch between pro-apoptotic and pro-survival effects of FOXO1 and their interplay with specific differentiation programs. PMID: 28774833
  12. In this review, we will discuss the current knowledge regarding potential therapeutic targets that might contribute to indirect interference with PAX3-FOXO1 activity in alveolar rhabdomyosarcoma at the different molecular levels and extrapolate these findings to fusion transcription factors in general. PMID: 29146205
  13. This review aims to serve as a guide for further research and implicate FOXO1 as a potent therapeutic target in digestive malignancy. PMID: 28965871
  14. Low FOXO1 expression is associated with ovarian cancer. PMID: 30138596
  15. Foxo1 is involved in estradiol 17beta-mediated proliferation in INS1-E cells and human islets. PMID: 29727907
  16. apicidin induced the acetylation of Forkhead box-containing protein, O subfamily 1, which acts as a repressor at the IL7R promoter, accompanied with depleted active histone modifications based on chromatin immunoprecipitation assay. Taken together, these results demonstrated that targeting oncogenic IL7R in ESCC by HDAC inhibitors may be a valuable therapeutic approach. PMID: 29749437
  17. This study is the first to demonstrate FOXO1 gene rearrangements in malignant ectomesenchymoma with alveolar rhabdomyosarcoma subtype. PMID: 28994342
  18. The HIF1alphainduced expression of Runx2 and ALP may be completely dependent on the expression levels of Foxo1, and in turn, osteocalcin may be partially dependent on Foxo1 expression. PMID: 29512721
  19. A novel role of FoxO1 inhibition in promoting IPC differentiation of hESCs. PMID: 29157981
  20. FOXO1 overexpression increased the length of the microvilli on the cell surface, whereas FOXO1 silencing significantly reduced their length. PMID: 30001537
  21. High FOXO1 expression is associated with prostatic cancer. PMID: 29328406
  22. FOXO1 serves as an important linker between HER2 and MET signaling pathways through negative crosstalks and is a key regulator of the acquired lapatinib resistance in HER2-positive GC cells. PMID: 28343375
  23. LncRNA DANCR could inhibit osteoblast differentiation by regulating FOXO1 expression. PMID: 29338713
  24. A significant correlation between the physical activity level and peripheral blood mononuclear cell SIRT1 and FOXO1 mRNA expression was found in COPD patients. PMID: 29138552
  25. results indicate that FOXO1 inhibits gastric cancer (GC) growth and angiogenesis under hypoxic conditions via inactivation of the HIF-1alpha-VEGF pathway, possibly in association with SIRT1; thus, development of treatment modalities aiming at this pathway might be useful for treating GC PMID: 25761483
  26. These results suggest that liraglutide may exert a renoprotective effect by a FoxO1-mediated upregulation of renal MnSOD expression in the early DKD. PMID: 29355652
  27. FOXO1, acetylation of FOXO1 and the following interaction between Ac-FOXO1 and Atg7 regulated the basal and serum starvation induced autophagy as evidenced by light chain 3 (LC3) accumulation and p62 degration. PMID: 29466794
  28. PAX3-FOXO1 fusion protein serves as a driver mutation to initiate a cascade of mRNA and miRNA changes that ultimately reprogram proliferating myoblasts to induce the formation of alveolar rhabdomyosarcoma PMID: 27588498
  29. Induced the nuclear accumulation of FOXO1. PMID: 28821161
  30. The data indicate that Akt2 ablation protects against cardiac aging through restored Foxo1-related autophagy and mitochondrial integrity. PMID: 28681509
  31. the present study demonstrated that the expression of miR-196a in human liver cancer cells was upregulated; downregulation of miR-196a regulated human liver cancer cell biological functions which could benefit the clinical therapy of human liver cancer in the future PMID: 28791406
  32. Inhibition of FOXO1 enhanced angiogenesis in human bio-engineered capillaries, and resulted in microvascular regeneration and improved function in mouse models of injury-repair. PMID: 28711779
  33. Cells harboring the fusion gene are selectively sensitive to small-molecule inhibition of protein targets induced by, or bound to, PAX3-FOXO1-occupied super enhancers. Furthermore, PAX3-FOXO1 recruits and requires the BET bromodomain protein BRD4 to function at super enhancers, resulting in a complete dependence on BRD4 and a significant susceptibility to BRD inhibition PMID: 28446439
  34. FOXO1 silencing also augmented the migratory behavior of SW-13 cells (p<0.0001), suggesting distinct roles for FOXO1 in promoting viability and controlled motility of adrenocortical cells. PMID: 28641336
  35. may play a critical role in folliculogenesis PMID: 28621049
  36. the miRNA-223can maintain cell proliferation of breast cancer cell through targeting FOXO 1. PMID: 28719355
  37. MEG3 acts as a ceRNA to regulate expression of E-cadherin and FOXO1 by competitively binding miR-9 and may be used as a potential biomarker in predicting ESCC patients' progression and prognosis PMID: 28539329
  38. These results strongly suggest that AMPK can activate ORP150 through FOXO1 pathway and confer protection against endoplasmic reticulum stress - induced apoptosis of airway epithelial cells following exposure to cigarette smoke extract. PMID: 29448096
  39. LAT1-NAD+-SIRT1 signaling is activated in tumor tissues of patients with non-small cell lung cancer; NAD+ synthesis regulates the SIRT1-FOXO1 apoptotic pathway in response to NQO1 PMID: 27566573
  40. Knockdown of FOXO4 but not FOXO1 expression decreased proteasome activity. Following neural differentiation, the HD-iPSC-derived neural progenitor cells (NPCs) demonstrated lower levels of proteasome activity and FOXO expressions than their WT counterparts. More importantly, overexpression of FOXO4 but not FOXO1 in HD NPCs dramatically enhanced proteasome activity. PMID: 28973411
  41. The borders of this novel topologically associating domains (TADs)correspond to the original 5'- and 3'- borders of the PAX3 and FOXO1 TADs, respectively, suggesting that TAD organisation precedes the formation of regulatory long-range interactions. Our results demonstrate that, upon translocation, novel regulatory landscapes are formed allowing new intra-TAD interactions between the original loci involved PMID: 28615069
  42. In this study, the long noncoding RNA MALAT1, confirmed to be significantly upregulated in OS, is first shown to be capable of promoting proliferation and migration by directly suppressing miR-26a-5p in OS cells. Authors have identified forkhead box O1 (FOXO1) as a transcriptional factor of MALAT1 that can negatively regulate MALAT1. PMID: 28160461
  43. miR-145 suppressed STAT3 phosphorylation at Tyr705 and increased foxo1 promoter transcriptional activity in T24 cells, but not in T24T cells, suggesting a role of STAT3 in the divergent responses to miR-145. PMID: 28223425
  44. KLF4 transcriptionally repressed FOXO1 expression in glioma cells, contributing to glioma cell invasion and growth. PMID: 27835585
  45. this study provides the first evidence that FOXO1 can reverse epithelial-to-mesenchymal transition in hepatocellular carcinoma via the transcription inducers Snail, Slug, ZEB1, ZEB2 and Twist1, with ZEB2 playing a particularly critical role in this process. Furthermore, FOXO1 disrupts TGF-beta-induced epithelial-to-mesenchymal transition. PMID: 27924058
  46. The data reveal a novel mechanism in which the elevated miR-425 in IBD mediates pathogenic Th17 cell generation through down-regulation of Foxo1. PMID: 29331376
  47. miR-181a2/181b2 prominently dampened cell-cycle progression, suppressed cell growth, and promoted apoptosis of tumor cells in vitro They also effectively impeded tumor formation and growth in vivo miR-181a2/181b2 exert the tumor suppressor ability by depressing the direct target PIK3R3 (p55gamma) and consequently modulating the PIK3R3/Akt/FoxO signaling pathway PMID: 27503199
  48. A high extent more than 25% of BRAF(V600E) alleles may be associated with disease outcome in PTC patients. PMID: 27688110
  49. Combined treatment with gamma-irradiation (gammaIR) and a dual PI3K/mTOR inhibitor causes loss of stemness and of FoxO1/3 proteins in p53-proficient glioblastoma multiforme stem cells (GBM-SCs). PMID: 27448972
  50. AQP9 overexpression decreased the protein levels of phosphatidylinositol-3-kinase (PI3K), leading to reduced phosphorylation of Akt, and subsequently the protein levels of forkhead box protein O1 (FOXO1) were increased. PMID: 27329843

Show More

Hide All

Involvement in disease
Rhabdomyosarcoma 2 (RMS2)
Subcellular Location
Cytoplasm. Nucleus.
Tissue Specificity
Ubiquitous.
Database Links

HGNC: 3819

OMIM: 136533

KEGG: hsa:2308

STRING: 9606.ENSP00000368880

UniGene: Hs.370666

icon of phone
Call us
301-363-4651 (Available 9 a.m. to 5 p.m. CST from Monday to Friday)
icon of address
Address
7505 Fannin St., Ste 610, Room 7 (CUBIO Innovation Center), Houston, TX 77054, USA
icon of social media
Join us with

Subscribe newsletter

Leave a message

* To protect against spam, please pass the CAPTCHA test below.
CAPTCHA verification
© 2007-2025 CUSABIO TECHNOLOGY LLC All rights reserved. 鄂ICP备15011166号-1
×
Place an order now

I. Product details

*
*
*
*

II. Contact details

*
*

III. Ship To

*
*
*
*
*
*
*

IV. Bill To

*
*
*
*
*
*
*
*