GH1 Antibody

Code CSB-PA596695
Size US$166
Order now
Image
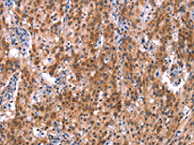
  • The image on the left is immunohistochemistry of paraffin-embedded Human thyroid cancer tissue using CSB-PA596695(GH1 Antibody) at dilution 1/40, on the right is treated with synthetic peptide. (Original magnification: ×200)
  • The image on the left is immunohistochemistry of paraffin-embedded Human gastric cancer tissue using CSB-PA596695(GH1 Antibody) at dilution 1/40, on the right is treated with synthetic peptide. (Original magnification: ×200)
  • Gel: 10%SDS-PAGE, Lysate: 40 μg, Lane: Human placenta tissue, Primary antibody: CSB-PA596695(GH1 Antibody) at dilution 1/500, Secondary antibody: Goat anti rabbit IgG at 1/8000 dilution, Exposure time: 1 second
Have Questions? Leave a Message or Start an on-line Chat

Product Details

Uniprot No.
Target Names
Alternative Names
gH antibody; GH-N antibody; GH1 antibody; GHB5 antibody; GHN antibody; Growth hormone 1 antibody; Growth hormone antibody; Growth hormone B5 antibody; Growth hormone; normal antibody; Growth hormone; pituitary antibody; HG1 antibody; hGH-N antibody; IGHD1B antibody; Pituitary growth hormone antibody; RNGHGP antibody; SOMA_HUMAN antibody; Somatotropin antibody
Raised in
Rabbit
Species Reactivity
Human
Immunogen
Synthetic peptide of Human GH1
Immunogen Species
Homo sapiens (Human)
Conjugate
Non-conjugated
Isotype
IgG
Purification Method
Antigen affinity purification
Concentration
It differs from different batches. Please contact us to confirm it.
Buffer
-20°C, pH7.4 PBS, 0.05% NaN3, 40% Glycerol
Form
Liquid
Tested Applications
ELISA,WB,IHC
Recommended Dilution
Application Recommended Dilution
ELISA 1:1000-1:2000
WB 1:200-1:1000
IHC 1:50-1:200
Troubleshooting and FAQs
Storage
Upon receipt, store at -20°C or -80°C. Avoid repeated freeze.
Lead Time
Basically, we can dispatch the products out in 1-3 working days after receiving your orders. Delivery time maybe differs from different purchasing way or location, please kindly consult your local distributors for specific delivery time.
Usage
For Research Use Only. Not for use in diagnostic or therapeutic procedures.

Customer Reviews and Q&A

 Customer Reviews

There are currently no reviews for this product.

Submit a Review here

Target Background

Function
Plays an important role in growth control. Its major role in stimulating body growth is to stimulate the liver and other tissues to secrete IGF-1. It stimulates both the differentiation and proliferation of myoblasts. It also stimulates amino acid uptake and protein synthesis in muscle and other tissues.
Gene References into Functions
  1. Significant correlations were observed between GH concentration and impairments on several EDI-2 subscales (drive for thinness, body dissatisfaction, interoceptive awareness, sense of ineffectiveness, interpersonal distrust, maturity fear) and on SCL-90 subitems (depression, hostility, obsessivity compulsivity, anxiety), suggesting a possible hormonal modulatory effect on specific aspects of eating disorders. PMID: 29179911
  2. Patients examined at 1 year or several years from complicated mild traumatic brain injury had a similarly high occurrence of isolated GH deficiency PMID: 27878771
  3. Single nucleotide variant in GH1 gene is associated with isolated growth hormone deficiency. PMID: 28910730
  4. In newborns, serum PRL and hGH levels show a positive correlation that can be explained by common regulatory factors or a drift phenomenon. A higher gestational week is associated with a higher PRL/hGH ratio. PMID: 28700563
  5. This review describes the endocrine profile of centenarians concerning the GH/IGF-I/insulin system, focusing on the relevance of this pathway on the modulation of ageing and longevity. PMID: 27932301
  6. Data suggest that patients with NICTH (non-islet cell tumor hypoglycemia) exhibit low serum growth hormone levels during hypoglycemic episodes. [Retrospective Study & REVIEW of Case Reports] PMID: 28529277
  7. Homozygous GH1 deletion is associated with growth hormone deficiency. PMID: 28525353
  8. Human Growth Hormone Inhibits CLAUDIN-1 Expression Through Activation of Signal Transducer and Activator of Transcription 3 (STAT3). PMID: 28617312
  9. Serum GH was unrelated to type 2 diabetes, fasting blood glucose, or HbA1c level. PMID: 27060213
  10. GH1 and GHRHR screening revealed eleven variations in 24 (21%) patients with isolated growth hormone deficiency of which, four were novel deleterious, one novel non-pathogenic and six reported changes. PMID: 27114065
  11. The results suggest that GH regulates energy metabolism directly in myocytes and that UCP2 participates in the signal transduction pathway that functions downstream of the GHR/JAK/STAT. PMID: 27150070
  12. These results implicate TIMP3 as a modulator of cell surface GHR abundance and the ability of GH to promote cellular signaling. PMID: 27075707
  13. Children with GH excess underwent medical treatment with lanreotide and a minimum clinical/biochemical follow up of 2 years is reported. The present study demonstrates that GH excess should be considered as a relative frequent endocrine manifestation in NF1 patients, similarly to central precocious puberty PMID: 28631895
  14. Thus, GHRH analogs of the Miami series powerfully suppress tumor growth, but have only a weak endocrine GH inhibitory activity. The suppression of tumor growth could be induced in part by the downregulation of GHRH receptors levels. PMID: 28130121
  15. the levels and kinetics of phosphorylation mediated by the main signalling proteins triggered by 22K-GH or 20K-GH were not exactly the same. PMID: 28427901
  16. A negative regulation of locally produced GH by androgens/AR in Prostate cancer cells following treatment with AR agonists (R1881) and antagonists (enzalutamide, bicalutamide). PMID: 28444169
  17. The intrinsic amyloidogenicity of growth hormone, in the presence of contaminating prion protein (and perhaps prolactin as well) and amyloid-beta contained in some cadavers' pituitaries, may have led to the observed co-occurring of Creutzfeldt-Jakob disease and Alzheimer's disease. PMID: 27214308
  18. GH potentially negatively modulates the maturation and accumulation of lipid in adipocytes. PMID: 27802441
  19. To our knowledge, c.-223C>T is the first homozygous point mutation in the GH1 promoter that leads to short stature due to idiopathic growth hormone deficiency. PMID: 27252485
  20. Data show that the recombinant protein produced by the plasmid-free E coli strain was purified and characterized to be human growth hormone (hGH). PMID: 27542624
  21. Our results suggest that the known protective effect of GH signaling deficiency on neoplastic tissue growth is mediated, at least partially, by regulating p53 expression PMID: 27226307
  22. evidence that hGH synthesis follows a diurnal rhythm and of dynamic associations of the circadian machinery with a component of a chromosomal structure of the hGH1 locus that is essential for efficient expression. PMID: 27151213
  23. Gene polymorphism of leptin (loci rs7799039) and leptin receptor (loci rs1137101) are correlated with Growth hormone deficiency susceptibility. PMID: 26915772
  24. These results showed that hybrid training system on a cycle ergometer (CE) was more efficient in stimulating acute increases in GH, lactate and IL-6 than CE at the same workload. PMID: 26522057
  25. Growth Hormone 1 T1663A Polymorphism were at a decreased risk of breast cancer. PMID: 26225688
  26. This is the first report of a family suffering from short stature caused by autosomal dominant form of GH deficiency II, which severely affects intracellular GH folding and stability as well as secretion PMID: 26485222
  27. GH and IGF-1 suppression is maintained for up to 25 months during pasireotide LAR treatment of acromegaly. PMID: 25103549
  28. In women with normal somatotroph function, GH levels do not change in the first trimester of pregnancy. PMID: 25179796
  29. These data on pregnancy outcomes in a large group of women with hypopituitarism revealed no relationship between GH replacement therapy regimens and pregnancy outcomes. PMID: 26256649
  30. Effect of oral glucose administration on rebound growth hormone release in normal and obese women: the role of adiposity, insulin sensitivity and ghrelin. PMID: 25782001
  31. the phenotype of MIP-FoxM1-hGH mice is due primarily to hGH activity and that the FoxM1 protein remains largely inactive PMID: 26202070
  32. Case Report: of Klinefelter sydnrome with short stature due to growth hormone deficiency. PMID: 25241616
  33. Suggest growth hormone deficiency may be common feature in vernal keratoconjuntivitis patients. PMID: 25079463
  34. Human Growth Hormone stimulates the microRNA 96-182-183 cluster, which promotes the epithelial-mesenchymal transition and invasion in breast cancer PMID: 25873390
  35. The results demonstrate that activation of noncoding transcription reflects an autonomous activity of the human growth hormone long-range enhancer that is fully independent of interactions with linked gene promoters and occurring in spatial and temporal synchrony with initiation of GH expression in the embryonic pituitary. PMID: 25662214
  36. Analysis of GH1 in a cohort of Brazilian patients revealed that the autosomal recessive form of isolated growth hormone deficiency(IGHD) was more common than the dominant one, and both were found only in severe IGHD. PMID: 25116472
  37. Recipients showed a rapid recovery of the GH/IGF1 hormonal axis and liver function after LDLT, whereas donors showed altered GH signaling and regenerative delay in the early days after living donation. PMID: 24889799
  38. JAK2 is activated by growth hormone and other cytokines. (Review) PMID: 25656053
  39. Genotyping contributed to the diagnosis of children with suspected growth hormone insensitivity and short stature. PMID: 25411237
  40. hGH production is extremely sensitive to increased caloric intake. PMID: 25295535
  41. After LT, GH levels correlate with the extent of cytolysis, while IGF-1 is an indicator of liver synthetic function recovery. IGF-1 levels >90 mug/L (day 15-30) seem to be an indicator of short-term survival. PMID: 24804205
  42. In this review we highlight the evidence of extrapituitary synthesis of GH in humans. [review] PMID: 24642386
  43. This review summarizes findings of growth hormone's influence on in utero and neonatal cellular and metabolic profiles related to bone and adipose tissue. PMID: 25015810
  44. The study presents experimental data for the mechanism of thiol-disulfide exchange in tryptic peptides derived from human growth hormone in aqueous solution. PMID: 24549831
  45. we present the results of screening for mutations in GH1 and GHRHR genes in a large cohort of Argentinian patients with IGHD. These suggest that the p.Arg183His mutation associated with the type II dominant form of IGHD might be relatively common. PMID: 23789946
  46. In the first family a novel splice site mutation in GH1 was identified (c.172-1G>C, IVS2-1G>C). In two other families a previously reported splice site mutation (c.291+1G>A, IVS3+1G>A) was found. PMID: 24280736
  47. Bilateral involvement of a pituitary adenoma and severely decreased immediate postoperative serum GH levels at 72 hours after transsphenoidal adenomectomy may be independent risk factors for accelerated GH deficiency in acromegalic patients. PMID: 24972779
  48. The activity of autocrine GH may be distinct from that of endocrine GH in prostate cancer cells. PMID: 23238889
  49. robust GH-stimulated hepatic Igf1 gene transcription utilizes tissue-specific mechanisms of epigenetic regulation that are established independent of GH signaling. PMID: 24109593
  50. meta-analysis indicates that GH1 T1663A polymorphism may contribute to the risk of colorectal cancer, especially among Asian populations PMID: 24464925

Show More

Hide All

Involvement in disease
Growth hormone deficiency, isolated, 1A (IGHD1A); Growth hormone deficiency, isolated, 1B (IGHD1B); Kowarski syndrome (KWKS); Growth hormone deficiency, isolated, 2 (IGHD2)
Subcellular Location
Secreted.
Protein Families
Somatotropin/prolactin family
Database Links

HGNC: 4261

OMIM: 139250

KEGG: hsa:2688

STRING: 9606.ENSP00000312673

UniGene: Hs.655229

icon of phone
Call us
301-363-4651 (Available 9 a.m. to 5 p.m. CST from Monday to Friday)
icon of address
Address
7505 Fannin St., Ste 610, Room 7 (CUBIO Innovation Center), Houston, TX 77054, USA
icon of social media
Join us with

Subscribe newsletter

Leave a message

* To protect against spam, please pass the CAPTCHA test below.
CAPTCHA verification
© 2007-2025 CUSABIO TECHNOLOGY LLC All rights reserved. 鄂ICP备15011166号-1
×
Place an order now

I. Product details

*
*
*
*

II. Contact details

*
*

III. Ship To

*
*
*
*
*
*
*

IV. Bill To

*
*
*
*
*
*
*
*