Phospho-DPYSL2 (Thr509) Antibody

Code CSB-PA196916
Size US$360
Order now
Image
  • Western blot analysis of extracts from HT-29 cells treated with heat shock using CRMP-2 (Phospho-Thr509) Antibody.The lane on the right is treated with the antigen-specific peptide.
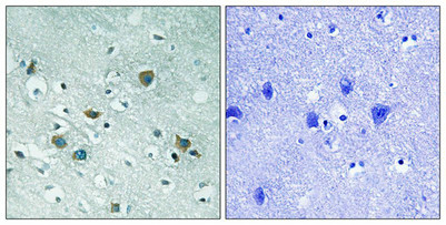
  • Immunohistochemical analysis of paraffin-embedded human brain tissue using CRMP-2 (Phospho-Thr509) antibody (left)or the same antibody preincubated with blocking peptide (right).
Have Questions? Leave a Message or Start an on-line Chat

Product Details

Full Product Name
Rabbit anti-Homo sapiens (Human) DPYSL2 Polyclonal antibody
Uniprot No.
Target Names
Alternative Names
Collapsin response mediator protein 2 antibody; Collapsin response mediator protein antibody; Collapsin response mediator protein hCRMP 2 antibody; CRAM antibody; CRMP 2 antibody; CRMP-2 antibody; CRMP2 antibody; DHPRP 2 antibody; DHPRP2 antibody; Dihydropyrimidinase 2 antibody; Dihydropyrimidinase like 2 antibody; Dihydropyrimidinase like 2 long form antibody; Dihydropyrimidinase related protein 2 antibody; Dihydropyrimidinase-related protein 2 antibody; DPYL 2 antibody; DPYL2 antibody; DPYL2_HUMAN antibody; DPYSL 2 antibody; Dpysl2 antibody; DRP-2 antibody; DRP2 antibody; Musunc 33 antibody; Musunc33 antibody; N2A3 antibody; TOAD 64 antibody; TOAD64 antibody; ULIP 2 protein antibody; ULIP-2 antibody; Ulip2 antibody; Unc-33-like phosphoprotein 2 antibody
Raised in
Rabbit
Species Reactivity
Human,Mouse,Rat
Immunogen
Peptide sequence around phosphorylation site of threonine 509 (S-V-T(p)-P-K) derived from Human CRMP-2.
Immunogen Species
Homo sapiens (Human)
Clonality
Polyclonal
Purification Method
Antibodies were produced by immunizing rabbits with synthetic phosphopeptide and KLH conjugates. Antibodies were purified by affinity-chromatography using epitope-specific phosphopeptide. Non-phospho specific antibodies were removed by chromatogramphy usi
Concentration
It differs from different batches. Please contact us to confirm it.
Form
Rabbit IgG in phosphate buffered saline (without Mg2+ and Ca2+), pH 7.4, 150mM NaCl, 0.02% sodium azide and 50% glycerol.
Tested Applications
ELISA,WB,IHC
Recommended Dilution
Application Recommended Dilution
WB 1:500-1:1000
IHC 1:50-1:100
Troubleshooting and FAQs
Storage
Upon receipt, store at -20°C or -80°C. Avoid repeated freeze.
Lead Time
Basically, we can dispatch the products out in 1-3 working days after receiving your orders. Delivery time maybe differs from different purchasing way or location, please kindly consult your local distributors for specific delivery time.
Usage
For Research Use Only. Not for use in diagnostic or therapeutic procedures.

Customer Reviews and Q&A

 Customer Reviews

There are currently no reviews for this product.

Submit a Review here

Target Background

Function
Plays a role in neuronal development and polarity, as well as in axon growth and guidance, neuronal growth cone collapse and cell migration. Necessary for signaling by class 3 semaphorins and subsequent remodeling of the cytoskeleton. May play a role in endocytosis.
Gene References into Functions
  1. cross-talk between distinct CRMP2 posttranslational modifications is a key factor in determining NaV1.7 trafficking and localization PMID: 27940916
  2. crystal structure of human tetrameric CRMP-2 PMID: 28044206
  3. increased pCRMP2 may underlie the axonal pathology of Lewy body dementias. PMID: 27609071
  4. These data identify a novel oncogenic mechanism where CDK5 activation induces CRMP2A phosphorylation in the nuclei of tumour cells PMID: 26555036
  5. polymorphisms of the DPYSL2 gene in humans may be associated with the development of schizophrenia. PMID: 25847191
  6. Functional variants in DPYSL2 sequence increase risk of schizophrenia and suggest a link to mTOR signaling PMID: 25416705
  7. Changes for CRMP2, TCP1epsilon, TPM2 and 14-3-3gamma were confirmed in experimental tumors and in a series of 28 human SI-NETs. PMID: 25224486
  8. Reduced CRMP2 expression and elevated expression of nuclear phosphorylated CRMP2 may be associated with breast cancer progression. PMID: 23381229
  9. Levels of total GSK3 were decreased in the Huntington disease-affected frontal cortex and this correlated with decreased phosphorylated CRMP2. PMID: 24634145
  10. High dihydropyrimidinase-related protein 2 expression is associated with lung cancer. PMID: 24518087
  11. genetic variants in DPYSL2 may play a role in susceptibility to alcohol dependence. PMID: 23846846
  12. A specific and reversible intermolecular Cys-504-Cys-504 dithiol-disulfide switch in homotetrameric CRMP2 determines two conformations of the quaternary CRMP2 complex that controls axonal outgrowth and thus neuronal development. PMID: 24133216
  13. CRMP-2-dependent regulation of ROCK II activity is mediated through interaction of the CRMP-2L N terminus with the ROCK II catalytic domain as well as by GSK3-dependent phosphorylation of CRMP-2. PMID: 24036111
  14. a novel regulatory mechanism that utilizes CRMP2 SUMOylation to choreograph NaV1.7 trafficking. PMID: 23836888
  15. a new insight into CRMP-2 as a controller of myosin II-mediated cellular functions through the inhibition of ROCK II in nonneuronal cells PMID: 22431514
  16. No Alzheimer disease-associated differences in CNP and DPYSL2 promoter DNA methylation were observed. PMID: 22954668
  17. Deletion analysis of CRMP-2 identified a 51 amino acid sequence in the C-terminus that is required for targeting to the basal body and primary cilium. This domain contains GSK-3beta phosphorylation sites. PMID: 23185275
  18. High levels of nuclear phosphorylated CRMP-2 is associated with lung cancer. PMID: 23023514
  19. CRMP2 hyperphosphorylation is speci fi c to Alzheimer's disease and is not a common event in all forms of dementia and neurodegeneration, especially other tauopathies. PMID: 21860090
  20. findings suggest a major role of phosphorylated CRMP-2 as a mechanism involved in process retraction induced by reactive oxygen species PMID: 22443207
  21. HTLV-1 has the capacity to influence the CRMP2/PI3K/Akt axis thus to positively control cytoskeleton organization and lymphocyte migration. PMID: 22227566
  22. CRMP2 controls dendritic projection; the phosphorylation of CRMP2 at Ser522 is essential for proper dendritic field organization for axonal guidance and spine development . PMID: 22279220
  23. This review discusses the essential biology of CRMP2 in the context of nascent data implicating CRMP2 perturbations as either a correlate of, or plausible contributor to, diverse neuropathologies. PMID: 21271304
  24. Data support DPYSL2 and the surrounding genomic region as a susceptibility locus for schizophrenia. PMID: 21302347
  25. Data provide the first trafficking regulatory role for Crmp2 in non-neuronal cells and support a model in which Crmp2 is an important endocytic regulatory protein that links MICAL-L1.EHD1-based vesicular transport to dynein motors. PMID: 20801876
  26. DPYSL2 does not have a major function in schizophrenia in Japanese subjects. PMID: 20414250
  27. CRMP2 as a tubulin direct binder may be a GTPase-activating protein (GAP) of tubulin in neurite formation and its GAP activity may be regulated by an intramolecular interaction with an N-terminal inhibitory region. PMID: 19666111
  28. Aberrant expression of dihydropyrimidinase related proteins-2,-3 and -4 in fetal Down syndrome brain. PMID: 11771764
  29. No significant associations were found between five polymorphisms of the DRP-2 gene and Bipolar Disorder, nor were associations detected between either of the polymorphisms and bipolar subtypes I and II. PMID: 12951196
  30. Here we show that glial cell line-derived neurotrophic factor (GDNF) enhances CRMP-2 expression in TGW human neuroblastoma cells via activation of RET receptor tyrosine kinase. PMID: 15207709
  31. significant decrease of crmp-2 protein may represent or underlie impaired neuronal plasticity, neurodegeneration, wiring of the brain in mesial temporal lobe epilepsy PMID: 15672539
  32. CRMP-2 transports the Sra-1/WAVE1 complex to axons in a kinesin-1-dependent manner and thereby regulates axon outgrowth and formation PMID: 16260607
  33. collapsin response mediator protein-2 transcriptional activity is inhibited by all-trans-retinoic acid during SH-SY5Y neuroblastoma cell differentiation PMID: 17229153
  34. These observations implicate hyperphosphorylation of CRMP2 as an early event in the development of AD and suggest that it can be induced by a severe APP over-expression and/or processing defect. PMID: 17683481
  35. results indicate that that CRMP-2 may be a novel colorectal cancer biomarker PMID: 18203259
  36. association of neurofibromin and CRMP-2 is essential for neuronal cell differentiation PMID: 18218617
  37. relative resistance to phosphatases might be a common feature of Cdk5 substrates and could contribute to the hyperphosphorylation of CRMP2 and Tau observed in Alzheimer disease PMID: 18460467
  38. Data suggest that collapsin response mediator protein-2 (CRMP-2) is a novel calmodulin-binding protein and that CaM binding may play an important role in regulating CRMP-2 functions. PMID: 19151921
  39. Given that CRMP-2 is a key regulator of axon elongation, this interference with cytoplasmic dynein function by CRMP-2 might have an important role in axon formation, and neuronal development PMID: 19659462
  40. A significant association was found between a single nucleotide polymorphism of the DRP-2 gene and schizophrenia in a North American sample. PMID: 15858820

Show More

Hide All

Subcellular Location
Cytoplasm, cytosol. Cytoplasm, cytoskeleton. Membrane. Note=Tightly but non-covalently associated with membranes.
Protein Families
Metallo-dependent hydrolases superfamily, Hydantoinase/dihydropyrimidinase family
Tissue Specificity
Ubiquitous.
Database Links

HGNC: 3014

OMIM: 602463

KEGG: hsa:1808

STRING: 9606.ENSP00000309539

UniGene: Hs.593187

icon of phone
Call us
301-363-4651 (Available 9 a.m. to 5 p.m. CST from Monday to Friday)
icon of address
Address
7505 Fannin St., Ste 610, Room 7 (CUBIO Innovation Center), Houston, TX 77054, USA
icon of social media
Join us with

Subscribe newsletter

Leave a message

* To protect against spam, please pass the CAPTCHA test below.
CAPTCHA verification
© 2007-2025 CUSABIO TECHNOLOGY LLC All rights reserved. 鄂ICP备15011166号-1
×
Place an order now

I. Product details

*
*
*
*

II. Contact details

*
*

III. Ship To

*
*
*
*
*
*
*

IV. Bill To

*
*
*
*
*
*
*
*