UBE2V2 Antibody

Code CSB-PA025484DSR2HU
Size US$166
Order now
Image
  • Western blot
    All lanes: UBE2V2 antibody at 3µg/ml
    Lane 1: Hela whole cell lysate
    Lane 2: Mouse brain tissue
    Lane 3: Jurkat whole cell lysate
    Lane 4: K562 whole cell lysate
    Secondary
    Goat polyclonal to rabbit IgG at 1/10000 dilution
    Predicted band size: 16 kDa
    Observed band size: 16 kDa

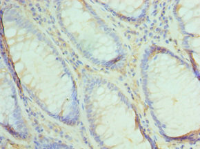
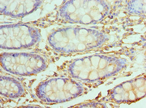
  • Immunohistochemistry of paraffin-embedded human colon tissue using CSB-PA025484DSR2HU at dilution of 1:100

  • Immunohistochemistry of paraffin-embedded human colon cancer using CSB-PA025484DSR2HU at dilution of 1:100

Have Questions? Leave a Message or Start an on-line Chat

Product Details

Full Product Name
Rabbit anti-Homo sapiens (Human) UBE2V2 Polyclonal antibody
Uniprot No.
Target Names
UBE2V2
Alternative Names
1 alpha 25 dihydroxyvitamin D3 inducible antibody; DDVit 1 antibody; DDVIT1 antibody; EDAF-1 antibody; EDAF1 antibody; EDPF-1 antibody; EDPF1 antibody; Enterocyte differentiation associated factor EDAF 1 antibody; Enterocyte differentiation promoting factor antibody; Enterocyte differentiation-associated factor 1 antibody; Enterocyte differentiation-promoting factor 1 antibody; Methyl methanesulfonate sensitive 2 antibody; MMS 2 antibody; MMS2 antibody; MMS2 homolog antibody; UB2V2_HUMAN antibody; UBE2V 2 antibody; UBE2V2 antibody; Ubiquitin conjugating enzyme E2 variant 2 antibody; Ubiquitin conjugating enzyme E2v2 antibody; Ubiquitin-conjugating enzyme E2 variant 2 antibody; UEV 2 antibody; UEV2 antibody; Vitamin D3 inducible protein antibody; Vitamin D3-inducible protein antibody
Raised in
Rabbit
Species Reactivity
Human, Mouse
Immunogen
Recombinant Human Ubiquitin-conjugating enzyme E2 variant 2 protein (1-145AA)
Immunogen Species
Homo sapiens (Human)
Conjugate
Non-conjugated
Clonality
Polyclonal
Isotype
IgG
Purification Method
Antigen Affinity Purified
Concentration
It differs from different batches. Please contact us to confirm it.
Buffer
PBS with 0.02% sodium azide, 50% glycerol, pH7.3.
Form
Liquid
Tested Applications
ELISA, WB, IHC
Recommended Dilution
Application Recommended Dilution
WB 1:500-1:2000
IHC 1:20-1:200
Troubleshooting and FAQs
Storage
Upon receipt, store at -20°C or -80°C. Avoid repeated freeze.
Lead Time
Basically, we can dispatch the products out in 1-3 working days after receiving your orders. Delivery time maybe differs from different purchasing way or location, please kindly consult your local distributors for specific delivery time.
Usage
For Research Use Only. Not for use in diagnostic or therapeutic procedures.

Customer Reviews and Q&A

 Customer Reviews

There are currently no reviews for this product.

Submit a Review here

Target Background

Function
Has no ubiquitin ligase activity on its own. The UBE2V2/UBE2N heterodimer catalyzes the synthesis of non-canonical poly-ubiquitin chains that are linked through 'Lys-63'. This type of poly-ubiquitination does not lead to protein degradation by the proteasome. Mediates transcriptional activation of target genes. Plays a role in the control of progress through the cell cycle and differentiation. Plays a role in the error-free DNA repair pathway and contributes to the survival of cells after DNA damage.
Gene References into Functions
  1. Functional analysis of selected regulated proteins revealed that knockdown of HNRPD, PHB2 and UB2V2 can increase HCMV replication, while knockdown of A4 and KSRP resulted in decreased HCMV replication. PMID: 25910425
  2. suppression of hMMS2 reverses L-OHP tolerance in differentiated human colorectal carcinoma cells by promoting apoptosis PMID: 24846979
  3. UBE2v2 signalling through PCNA ubiquitination is not required for immunoglobulin diversification in DT40 cells. PMID: 15725630
  4. Insight into the influence of protein dynamics on the affinity of ubiquitin for Mms2. PMID: 15952783
  5. Mms2 physical association with ubiquitin is correlated with its ability to promote Lys63-linked ubiquitin chain assembly PMID: 17964296
  6. These results point to a high level of redundancy in the DNA damage tolerance pathway and suggest the existence of another hMMS2 variant (hMMSv) or complex that can compensate for its loss. PMID: 18284681

Show More

Hide All

Protein Families
Ubiquitin-conjugating enzyme family
Tissue Specificity
Detected in placenta, colon, liver and skin. Detected at very low levels in most tissues.
Database Links

HGNC: 12495

OMIM: 603001

KEGG: hsa:7336

STRING: 9606.ENSP00000428209

UniGene: Hs.491695

icon of phone
Call us
301-363-4651 (Available 9 a.m. to 5 p.m. CST from Monday to Friday)
icon of address
Address
7505 Fannin St., Ste 610, Room 7 (CUBIO Innovation Center), Houston, TX 77054, USA
icon of social media
Join us with

Subscribe newsletter

Leave a message

* To protect against spam, please pass the CAPTCHA test below.
CAPTCHA verification
© 2007-2025 CUSABIO TECHNOLOGY LLC All rights reserved. 鄂ICP备15011166号-1
×
Place an order now

I. Product details

*
*
*
*

II. Contact details

*
*

III. Ship To

*
*
*
*
*
*
*

IV. Bill To

*
*
*
*
*
*
*
*