Adipoq Recombinant Monoclonal Antibody

Code CSB-RA016426A0MO
Size US$210
Order now
Image
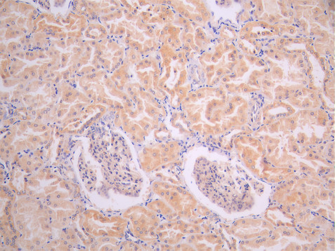
  • IHC image of CSB-RA016426A0MO diluted at 1:100 and staining in paraffin-embedded human kidney tissue performed on a Leica BondTM system. After dewaxing and hydration, antigen retrieval was mediated by high pressure in a citrate buffer (pH 6.0). Section was blocked with 10% normal goat serum 30min at RT. Then primary antibody (1% BSA) was incubated at 4°C overnight. The primary is detected by a Goat anti-rabbit polymer IgG labeled by HRP and visualized using 0.05% DAB.
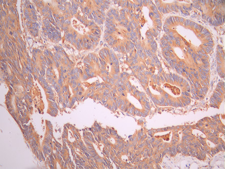
  • IHC image of CSB-RA016426A0MO diluted at 1:100 and staining in paraffin-embedded human colorectal cancer performed on a Leica BondTM system. After dewaxing and hydration, antigen retrieval was mediated by high pressure in a citrate buffer (pH 6.0). Section was blocked with 10% normal goat serum 30min at RT. Then primary antibody (1% BSA) was incubated at 4°C overnight. The primary is detected by a Goat anti-rabbit polymer IgG labeled by HRP and visualized using 0.05% DAB.
Have Questions? Leave a Message or Start an on-line Chat

Product Details

Uniprot No.
Target Names
Alternative Names
Adipoq antibody; Acdc antibody; Acrp30 antibody; Apm1 antibody; Adiponectin antibody; 30 kDa adipocyte complement-related protein antibody; Adipocyte complement-related 30 kDa protein antibody; ACRP30 antibody; Adipocyte antibody; C1q and collagen domain-containing protein antibody; Adipocyte-specific protein AdipoQ antibody
Species Reactivity
Human
Immunogen
A synthesized peptide from mouse Adipoq protein
Immunogen Species
Mus musculus (Mouse)
Conjugate
Non-conjugated
Clonality
Monoclonal
Isotype
Rabbit IgG
Clone No.
7F8
Purification Method
Affinity-chromatography
Concentration
It differs from different batches. Please contact us to confirm it.
Buffer
Rabbit IgG in 10mM phosphate buffered saline , pH 7.4, 150mM sodium chloride, 0.05% BSA, 0.02% sodium azide and 50% glycerol.
Form
Liquid
Tested Applications
ELISA, IHC
Recommended Dilution
Application Recommended Dilution
IHC 1:50-1:200
Troubleshooting and FAQs
Storage
Upon receipt, store at -20°C or -80°C. Avoid repeated freeze.
Lead Time
Basically, we can dispatch the products out in 1-3 working days after receiving your orders. Delivery time maybe differs from different purchasing way or location, please kindly consult your local distributors for specific delivery time.
Usage
For Research Use Only. Not for use in diagnostic or therapeutic procedures.

Customer Reviews and Q&A

 Customer Reviews

There are currently no reviews for this product.

Submit a Review here

Target Background

Function
Important adipokine involved in the control of fat metabolism and insulin sensitivity, with direct anti-diabetic, anti-atherogenic and anti-inflammatory activities. Stimulates AMPK phosphorylation and activation in the liver and the skeletal muscle, enhancing glucose utilization and fatty-acid combustion. Antagonizes TNF-alpha by negatively regulating its expression in various tissues such as liver and macrophages, and also by counteracting its effects. Inhibits endothelial NF-kappa-B signaling through a cAMP-dependent pathway. May play a role in cell growth, angiogenesis and tissue remodeling by binding and sequestering various growth factors with distinct binding affinities, depending on the type of complex, LMW, MMW or HMW.
Gene References into Functions
  1. These data suggest that APN has a moderate regulatory role in oxidative stress-induced mitophagy and suppresses apoptosis. These findings demonstrate the antioxidant potential of APN in oxidative stress-associated skeletal muscle diseases. PMID: 28600493
  2. Downregulation of adiponectin in inflamed adipocyte by fetuin-A through the mediation of Wnt3a and PPARgamma is a new report. PMID: 27720679
  3. Study results indicate for the first time that adiponectin is able to influence the mechanical responses in strips from the mouse gastric fundus. PMID: 30254407
  4. miR-711, which is upregulated by Adipoq, represses TLR4 signaling, acting therefore as a major mediator of the anti-inflammatory action of Adipoq. PMID: 28240307
  5. both paracrine and endocrine effects of adiponectin may contribute to reduced reactive oxygen species generation and apoptosis after MI/R, in a CD36-dependent manner PMID: 29018142
  6. These data may indicate that insulin resistance in Adp(-/-) mice is likely caused by an increase in concentrations of TNFalpha and FFA via downregulation of PPARalpha. PMID: 29445073
  7. Adiponectin improves metabolic health but has only minor effects on reproductive functions in the polycystic ovary syndromemouse model. PMID: 28790184
  8. APN attenuates adverse cardiac remodeling following cardiac injury by up-regulating MMP-9 expression. APN up-regulates MMP-9 expression via activation of AMPK and ERK1/2. PMID: 29263115
  9. the effects of APN on the promotion of preadipocyte differentiation under inflammatory conditions may involve the PPARgamma signaling pathway, and at least partly depends on upregulation of PPARgamma expression. PMID: 29115433
  10. Results demonstrate that adiponectin enhances inhibitory postsynaptic current onto neuropeptide Y (NPY) neurons to attenuate action potential firing in NPY neurons in a glucose-independent manner, being contrasted to its glucose-dependent effect on proopiomelanocortin neurons. PMID: 28606559
  11. Results show a reciprocal regulation of adiponectin and FGF19 gene expression in mice. PMID: 27666676
  12. Acrp30 (a globular form of adiponectin) reduces the expression of proinflammatory cytokines and the expression of RAGE as beta amyloid transporters into brain. Moreover, Acrp30 attenuated the apoptosis and the tight junction disruption through AdipoR1-mediated NF-kappaB pathway in beta amyloid-exposed bEnd.3 cells. PMID: 29022894
  13. Findings demonstrate that adiponectin is an essential regulator of thermogenesis, and adiponectin is required for maintaining body temperature under cold exposure. PMID: 29058611
  14. Chronic stress accelerates DPP4-mediated GLP-1 degradation and alters plasma adiponectin, accelerating vascular senescence and impairing ischemia-induced neovascularization. PMID: 28963101
  15. AdipoQ antisense (AS) Long noncoding RNA (lncRNA) transfer from nucleus to cytoplasm inhibits adipogenesis through formation of an AdipoQ AS lncRNA/AdipoQ mRNA duplex to suppress the translation of AdipoQ mRNA.[ PMID: 29414510
  16. Adiponectin enhances quiescence exit of murine hematopoietic stem cells and hematopoietic recovery through mTORC1 potentiation. PMID: 28480607
  17. plasma adiponectin and leptin were also decreased in IL 10tm.These findings suggest that frailty observed in this mouse model of chronic inflammation may in part be driven by alterations in fat mass, hormone secretion and energy metabolism PMID: 29267271
  18. CpG ODNs decreased placental adiponectin expression in NOD mice and impaired human trophoblast function and was associated with increased embryo loss. Adiponectin may therefore play an important protective role in the prevention of bacteria-induced pregnancy failure. PMID: 27094728
  19. Caloric restriction (CR) impacted adiposity but only levels of the high molecular weight isoform of adiponectin responded to CR. PMID: 28156058
  20. T-cadherin was essential for accumulation of adiponectin in the neointima and atherosclerotic plaque lesions, and the adiponectin-T-cadherin association protected against vascular injury. PMID: 28062540
  21. mTORC1 mediated many of the beneficial actions of FGF21 in vitro, including UCP1 and FGF21 induction, increased adiponectin secretion, and enhanced glucose uptake without any adverse effects on insulin action. PMID: 27681418
  22. AnxA6 protein in adipocytes was upregulated by oxidative stress which might trigger AnxA6 induction in adipose tissues and contribute to impaired fat storage and adiponectin release. PMID: 27702590
  23. Adiponectin alters calcium and phosphate balance and renal mineral excretion, in part, through klotho. PMID: 27914707
  24. Adiponectin (ApN) proves to be a powerful protector of the skeletal muscle capable of reversing the disease progression, thus making it a potential therapeutic agent for Duchenne muscular dystrophy (DMD). PMID: 28463682
  25. These results demonstrated that LC along with insulin increases GSH levels thereby improving adiponectin secretion and glucose utilization in adipocytes. PMID: 28755973
  26. Adiponectin, TNF-alpha, and LOX-1 exert complex regulatory effects on the coronary microvascular endothelial function in atherosclerotic ApoE knockout mice. PMID: 27050429
  27. adiponectin inhibited endoplasmic reticulum stress and apoptosis of adipocyte in vivo and in vitro by activating the AMPK/PPARalpha/ATF2 pathway. PMID: 27882945
  28. Irisin improved endothelial function by modulating HO-1/ adiponectin axis in perivascular adipose tissue (PVAT) in HFD-induced obese mice. These findings suggest that regulating PVAT function may be a potential mechanism by which irisin improves endothelial function in obesity. PMID: 28595178
  29. a unique key feature of the T-cad prodomain is its involvement in binding of the T-cad repeats 1 and 2 to adiponectin; adiponectin positively regulates T-cad abundance PMID: 28325833
  30. adiponectin maintains intestinal homeostasis and protects against murine colitis through interactions with its receptor AdipoR1 and by modulating adaptive immunity and STAT3 signaling PMID: 28258220
  31. The KIF5B level was up-regulated during 3T3-L1 adipogenesis. This increase in cytosolic KIF5B was synchronized with the induction of adiponectin. Endogenous KIF5B and adiponectin were partially colocalized at the peri-nuclear and cytosolic regions. PMID: 27264953
  32. The elevation in circulating levels of adiponectin and Fgf15 led to normalized hepatic and serum levels of bile acids, limited hepatic accumulation of toxic bile, attenuated inflammation, and amelioration of liver injury in the ethanol-fed mNT knockout mice. PMID: 27573244
  33. Female adiponectin null mice displayed impaired fertility, reduced oocytes, disrupted estrous cycle, increased atretic follicles, and impaired late folliculogenesis. There was decrease in serum estradiol and FSH but an increase in LH and testosterone at proestrus. There was reduction of progesterone levels at diestrus, a significant decrease in LH receptor expression as well as in the number of GnRH immunoreactive neurons PMID: 27700136
  34. Tongqiaohuoxue decoction improved obesity-induced inflammation and insulin resistance by increasing adiponectin production. PMID: 27404230
  35. High salt is an important suppressor of cardioprotective APN and AdipoR1 in cardiac myocytes. PMID: 28051329
  36. PPARdelta activation in perirenal fat by agonist or high sodium intake inhibited renal sodium-glucose cotransporter 2 (SGLT2) function, which is mediated by increased production of adipose adiponectin. PMID: 27053360
  37. Acute knockdown of Insr or both Irs1 and Irs2 in adipocytes increased Adipoq mRNA expression but reduced adiponectin secretion. PMID: 26888756
  38. Adiponectin may protect the aorta from atherosclerotic injury by reducing inflammation. Adiponectin effectively inhibits the activation of NF-kappa B pathway by inhibiting the expression of NF-kappa B nuclear protein p65. PMID: 26965176
  39. Altered adiponectin multimerization could explain declined adiponectin levels and altered distribution of adiponectin complexes in the plasma of obese insulin-resistant individuals PMID: 26407855
  40. The expression of PI3K-insensitive GSK3 stimulates the production of adiponectin and protects from diet-induced metabolic syndrome. PMID: 27140617
  41. These data suggest that adiponectin could represent a possible biomarker in obesity-associated asthma PMID: 26462929
  42. ADPN might act as a biomarker of inflammation and have potential for the treatment of hemorrhagic shock. PMID: 26909947
  43. Adiponectin exerts novel effects to limit the production and action of mono-MPs, underscoring yet another pleiotropic effect of this adipokine. PMID: 26687997
  44. The results demonstrated a dynamic dysfunction of APN/AdipoR1 axis accompanying progression of diabetes mellitus in mice with cerebral ischemia. PMID: 26611106
  45. reduced plasma levels in obese mice treated with house dust mite allergens as compared to similarly treated lean mice PMID: 26476732
  46. CRP decreased adiponectin expression and multimerization, while CRP-induced decline in adiponectin might be mediated through the PI3K/Akt pathway. PMID: 26812237
  47. Globular Adiponectin (gAd) activates autophagy in myoblasts and gAd-activated autophagy drives the myogenic properties of this hormone. PMID: 26826036
  48. APN can help to reduce periodontitis-related bone loss, modulate JMJD3 and IRF4 expression, and macrophage infiltration. PMID: 26399931
  49. our data indicate that robust hypertrophic MEF2 activation in the heart in vivo requires a background of adiponectin signaling and that adiponectin signaling in primary isolated CM directly enhances MEF2 activity through activation of p38 MAPK PMID: 26196305
  50. In 3T3-L1 adipocytes, catechin and quercetin attenuated TNF-alpha-induced elevated protein carbonyls, increased proinflammatory cytokine expression (MCP-1, resistin), and decreased adiponectin. PMID: 25620282

Show More

Hide All

Subcellular Location
Secreted.
Tissue Specificity
Synthesized exclusively by adipocytes and secreted into plasma.
Database Links
icon of phone
Call us
301-363-4651 (Available 9 a.m. to 5 p.m. CST from Monday to Friday)
icon of address
Address
7505 Fannin St., Ste 610, Room 7 (CUBIO Innovation Center), Houston, TX 77054, USA
icon of social media
Join us with

Subscribe newsletter

Leave a message

* To protect against spam, please pass the CAPTCHA test below.
CAPTCHA verification
© 2007-2025 CUSABIO TECHNOLOGY LLC All rights reserved. 鄂ICP备15011166号-1
×
Place an order now

I. Product details

*
*
*
*

II. Contact details

*
*

III. Ship To

*
*
*
*
*
*
*

IV. Bill To

*
*
*
*
*
*
*
*