CEACAM6 Recombinant Monoclonal Antibody

Code CSB-RA005166MA1HU
Size US$210
Order now
Image
  • Western Blot
    Positive WB detected in: A549 whole cell lysate(30µg)
    All lanes: CEACAM6 antibody at 1:1000
    Secondary
    Goat polyclonal to human IgG at 1/40000 dilution
    Predicted band size: 37 kDa
    Observed band size: 70 kDa
    Exposure time: 60s
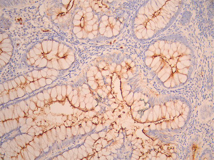
  • IHC image of CSB-RA005166MA1HU diluted at 1:50 and staining in paraffin-embedded human small intestine tissue performed on a Leica BondTM system. After dewaxing and hydration, antigen retrieval was mediated by high pressure in a citrate buffer (pH 6.0). Section was blocked with 10% normal goat serum 30min at RT. Then primary antibody (1% BSA) was incubated at 4°C overnight. The primary is detected by a Anti-Human lgG, Fcy Fragment Specific labeled by HRP and visualized using 0.05% DAB.
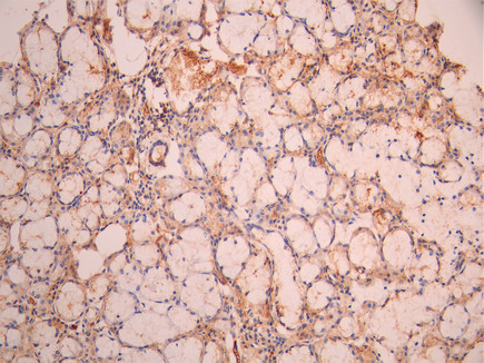
  • IHC image of CSB-RA005166MA1HU diluted at 1:50 and staining in paraffin-embedded human salivary gland tissue performed on a Leica BondTM system. After dewaxing and hydration, antigen retrieval was mediated by high pressure in a citrate buffer (pH 6.0). Section was blocked with 10% normal goat serum 30min at RT. Then primary antibody (1% BSA) was incubated at 4°C overnight. The primary is detected by a Anti-Human lgG, Fcy Fragment Specific labeled by HRP and visualized using 0.05% DAB.
  • Overlay Peak curve showing BxPC-3 cells stained with CSB-RA005166MA1HU (red line) at 1:100. Then 10% normal goat serum to block non-specific protein-protein interactions followed by the antibody (1ug/1*106cells) for 45min at 4℃. The secondary antibody used was Fluorescein (FITC) AffiniPure Goat Anti-Human IgG, Fcγ fragment specific at 1:200 dilution for 35min at 4℃.Control antibody (green line) was human IgG1 (1ug/1*106cells) used under the same conditions. Acquisition of >10,000 events was performed.
Have Questions? Leave a Message or Start an on-line Chat

Product Details

Uniprot No.
Target Names
Alternative Names
Carcinoembryonic antigen related cell adhesion molecule 6 antibody; Carcinoembryonic antigen related cell adhesion molecule 6 (non specific cross reacting antigen) antibody; Carcinoembryonic antigen-related cell adhesion molecule 6 antibody; CD 66c antibody; CD66c antibody; CD66c antigen antibody; CEA LIKE PROTEIN antibody; CEACAM 6 antibody; CEACAM6 antibody; CEAL antibody; CEAM6_HUMAN antibody; MGC93832 antibody; NCA antibody; Non specific cross reacting antigen antibody; Non-specific crossreacting antigen antibody; Normal cross reacting antigen antibody; Normal cross-reacting antigen antibody
Species Reactivity
Human
Immunogen
Recombinant Human CEACAM6 protein
Immunogen Species
Homo sapiens (Human)
Conjugate
Non-conjugated
Clonality
Monoclonal
Isotype
hIgG1
Clone No.
19B12
Purification Method
Affinity-chromatography
Concentration
It differs from different batches. Please contact us to confirm it.
Buffer
Preservative: 0.03% Proclin 300
Constituents: 50% Glycerol, 0.01M PBS, PH 7.4
Form
Liquid
Tested Applications
ELISA, WB, IHC, FC
Recommended Dilution
Application Recommended Dilution
WB 1:500-1:2000
IHC 1:50-1:200
FC 1:50-1:200
Troubleshooting and FAQs
Storage
Upon receipt, store at -20°C or -80°C. Avoid repeated freeze.
Lead Time
Basically, we can dispatch the products out in 1-3 working days after receiving your orders. Delivery time maybe differs from different purchasing way or location, please kindly consult your local distributors for specific delivery time.
Usage
For Research Use Only. Not for use in diagnostic or therapeutic procedures.

Customer Reviews and Q&A

 Customer Reviews

There are currently no reviews for this product.

Submit a Review here

Target Background

Function
Cell surface glycoprotein that plays a role in cell adhesion and tumor progression. Intercellular adhesion occurs in a calcium- and fibronectin-independent manner. Mediates homophilic and heterophilic cell adhesion with other carcinoembryonic antigen-related cell adhesion molecules, such as CEACAM5 and CEACAM8. Heterophilic interaction with CEACAM8 occurs in activated neutrophils. Plays a role in neutrophil adhesion to cytokine-activated endothelial cells. Plays a role as an oncogene by promoting tumor progression; positively regulates cell migration, cell adhesion to endothelial cells and cell invasion. Also involved in the metastatic cascade process by inducing gain resistance to anoikis of pancreatic adenocarcinoma and colorectal carcinoma cells.
Gene References into Functions
  1. CEACAM6 promoted oral squamous cell carcinoma cell invasion, migration, cytoskeletal rearrangement, and metastasis via interaction with EGFR and enhancing it activation. PMID: 28892050
  2. Studies provide evidence that dysregulated overexpression of CEACAM6 plays a role in several of the hallmarks of cancer, including uncontrolled proliferation, anoikis resistance, immune evasion, invasion and metastasis. [review] PMID: 29110374
  3. Helicobacter pylori HopQ binds the amino-terminal IgV-like domain of human CEACAM1, CEACAM3, CEACAM5 or CEACAM6 proteins, thereby enabling translocation of the major pathogenicity factor CagA into host cells. PMID: 27748756
  4. Here, the authors identify members of the carcinoembryonic antigen-related cell adhesion molecule (CEACAM) family as receptors of Helicobacter pylori and show that HopQ is the surface-exposed adhesin that specifically binds human CEACAM1, CEACAM3, CEACAM5 and CEACAM6. PMID: 27748768
  5. CD66c (KOR-SA3544) antigen expression of leukemic blasts in pediatric acute myeloid leukemia with TLS/FUS-ERG fusion transcript PMID: 28766906
  6. Data suggest that the expression of these TSPAN8, LGALS4, COL1A2 and CEACAM6 in the whole blood may be useful in the detection of colorectal cancer (CRC). PMID: 26993598
  7. expression is increased in severe asthma and primarily associated with airway epithelial cells and tissue neutrophils PMID: 28275137
  8. a 7-gene signature was identified which correctly predicted the primary prefibrotic myelofibrosis group with a sensitivity of 100% and a specificity of 89%. The 7 genes included MPO, CEACAM8, CRISP3, MS4A3, CEACAM6, HEMGN, and MMP8 PMID: 27579896
  9. In enterocytic C2BBe1 cells, Candida albicans caused a transient tyrosine phosphorylation of CEACAM1 and induced higher expression of membrane-bound CEACAM1 and soluble CEACAM6. PMID: 28292985
  10. Monoclonal Antibody 1B5A5 Against CEACAM6 PMID: 27328063
  11. western blot analysis results indicated that the 1B5A5 epitope is located within an amino-terminal domain of CEACAM6. These results raised the possibility that our approach could lead to discovery of novel biomarkers for the early stage of cancers in a relatively short period of time. PMID: 27172290
  12. show the upregulation of the tumor-associated antigens CEACAM5/6 by trans-signaling of the pro-inflammatory cytokine IL-6 PMID: 26673628
  13. Biliary CEACAM6 can identify patients with extrahepatic cholangiocarcinoma with a high degree of sensitivity and should be investigated further as a potential screening tool. PMID: 26974538
  14. Data suggest ways in which carcinoembryonic antigen-related cell adhesion molecules CEACAM6 and CEACAM8 regulate the biological functions of one another. PMID: 26483485
  15. CEACAM6 protein and mRNA were increased ~4-fold in lungs from infants with chronic lung disease as compared with controls. PMID: 26374831
  16. vaccination with recombinant attenuated Salmonella harboring the CEACAM6 and 4-1BBL gene efficiently increased the number of CD3+CD8+ TIL and NK cells, decreased the number of FOXP3 cells and inhibited the development of DMH-induced colorectal cancer PMID: 25872647
  17. CEACAM6 increased the levels of phosphorylated AKT, which is involved in the progression of a variety of human tumors. PMID: 25398131
  18. Data show that carcinoembryonic antigen-related cell adhesion molecule 6 (CEACAM6) and forkhead box P3 (FOXP3) are associated with the malignant degree of pancreatic cancer. PMID: 26271985
  19. Data indicate that carcinoembryonic antigen-related cell adhesion molecule 6 (CEACAM6) promotes angiogenesis in gastric cancer via focal adhesion kinase FAK signaling. PMID: 25703140
  20. Results show that pancreatic cancer patients with CEACAM 1, 5 and 6 expression showed a significantly shortened overall survival and elevated serum values are correlated with distant metastasis suggesting a role in epithelial-mesenchymal transition. PMID: 25409014
  21. CEACAM6 may be a valuable biomarker screening for gastric tumor and novel predictor for patients in advanced stages of gastric cancer PMID: 25299082
  22. results suggested that CEACAM6 functions as an oncoprotein in gastric cancer and may be an important metastatic biomarker and therapeutic target PMID: 24492534
  23. CEACAM6 expression was expressed in different molecular subtypes of breast cancer. Among different subtypes, the highest expression was found with HER2 positive cancers. PMID: 24186057
  24. High carcinoembryonic cell adhesion molecule 6 expression is associated with malignant biliary stenoses. PMID: 23806607
  25. our findings identified CEACAM6, which is regulated by miR-29a/b/c, as an important positive regulator of EMT in pancreatic cancer PMID: 23857344
  26. CD66c expression appears useful only as a predictor of the Ph in adult patients (not in pediatric cases). PMID: 24014076
  27. Data indicate that CD66c is frequently expressed in CRLF2-positive as well as hypodiploid cases. PMID: 24231528
  28. these findings show that PDEF-CEACAM6 is a highly active oncogenic axis in breast cancer PMID: 23592399
  29. CEACAM-6 plays an important role in the regulation of CD8+ T-cell responses against multiple myeloma. PMID: 23603913
  30. CEACAM6 is significantly upregulated in colon cancer tissues and is closely associated with poor prognosis. PMID: 22975528
  31. The expression of CD66c was significantly higher in colorectal cancer specimens than in normal colon. PMID: 23027178
  32. CEACAM6 is focally overexpressed in a large fraction of human HNSCCs in situ. over-expression of CEACAM6 increases tumour growth and tumour initiating activity by suppressing PI3K/AKT-dependent apoptosis of HNSCC in a xenotransplant model of HNSCC. PMID: 23021083
  33. High CEACAM6 expresssion is associated with inflammatory bowel disease. PMID: 21994005
  34. a novel role for NA in enhancing host cell survival by activating the Src/Akt signaling axis via an interaction with carcinoembryonic antigen-related cell adhesion molecule 6/cluster of differentiation 66c (C6). PMID: 22396546
  35. The authors show that the expression of CEACAM1 and CEACAM6 potentiate CEACAM3-dependent responses of neutrophils, exposing a cooperative role for this family of proteins during neisserial infection of neutrophils. PMID: 22064717
  36. CEACAM6 is expressed by alveolar and airway epithelial cells of human lung and is secreted into lung-lining fluid, where fully glycosylated protein binds to surfactant. PMID: 22037359
  37. Despite its important role in bacterial attachment in ileal CD, no role was detected for CEACAM6 variants in IBD susceptibility or regarding an ileal CD phenotype PMID: 21559399
  38. The highly elevated gene expression of CEACAM6 and CEACAM8 in primary myelofibrosis can serve as molecular markers of myelofibrotic transformation. PMID: 21470677
  39. High serum CEACAM6 is associated with gastric cancer. PMID: 21618249
  40. CEACAM6 and a regulatory element near the 3' end of CEACAM3 are associated with cystic fibrosis disease severity and intrapair discordance PMID: 20047061
  41. Positivity for both leukemia-associated antigens CD66c and CD25 in combination can predict the presence of BCR/ABL rearrangement in pre-B cell acute lymphoblastic leukemia PMID: 20063526
  42. Overexpression of CEACAM6 disrupts tissue architecture and blocks colonocyte differentiation PMID: 11896570
  43. CEACAM6 subdomains involved in intercellular adhesion activity and subdomains involved in inhibition of cell differentation are identified and their respective activities are independently blocked. PMID: 12571231
  44. CEACAM6 gene silencing reversed the acquired anoikis resistance of tumor cell lines and inhibited in vivo metastatic ability PMID: 14724575
  45. overexpression among human malignancies, immunological targeting of this tumor antigen may have therapeutic applicability PMID: 15081416
  46. the results show that recognition of CEA and CEACAM6, but not CEACAM1, is accompanied by tight attachment to bacteria of cell surface microvilli-like extensions PMID: 15130118
  47. CEACAM6 is an important determinant of pancreatic adenocarcinoma malignant cellular behavior PMID: 15208677
  48. Levels of CEACAM6 expression can modulate pancreatic adenocarcinoma cellular invasiveness in a c-Src-dependent manner PMID: 15316565
  49. CD66c is regulated in a manner distinct from other myeloid antigens in childhood lymphoblastic leukemia PMID: 15826304
  50. Data show that variants of Neisseria gonorrhoeae that bind to human carcinoembryonic antigen-related cell adhesion molecules (CEACAMs) 1 and 6 failed to induce detachment and, instead, promoted enhanced host cell adhesion to the ECM. PMID: 16115956

Show More

Hide All

Subcellular Location
Cell membrane; Lipid-anchor, GPI-anchor. Apical cell membrane. Cell surface.
Protein Families
Immunoglobulin superfamily, CEA family
Tissue Specificity
Expressed in neutrophils. Expressed in columnar epithelial and goblet cells of the colon. Expressed in numerous tumor cell lines (at protein level).
Database Links

HGNC: 1818

OMIM: 163980

KEGG: hsa:4680

STRING: 9606.ENSP00000199764

UniGene: Hs.466814

icon of phone
Call us
301-363-4651 (Available 9 a.m. to 5 p.m. CST from Monday to Friday)
icon of address
Address
7505 Fannin St., Ste 610, Room 7 (CUBIO Innovation Center), Houston, TX 77054, USA
icon of social media
Join us with

Subscribe newsletter

Leave a message

* To protect against spam, please pass the CAPTCHA test below.
CAPTCHA verification
© 2007-2025 CUSABIO TECHNOLOGY LLC All rights reserved. 鄂ICP备15011166号-1
×
Place an order now

I. Product details

*
*
*
*

II. Contact details

*
*

III. Ship To

*
*
*
*
*
*
*

IV. Bill To

*
*
*
*
*
*
*
*