CRK Recombinant Monoclonal Antibody

Code CSB-RA173792A0HU
Size US$210
Order now
Image
  • Western Blot
    , Positive WB detected in:PC-3 whole cell lysate(30µg), SH-SY5Y whole cell lysate(30µg)
    All lanes: CRK antibody at 1:1000
    Secondary
    Goat polyclonal to rabbit IgG at 1/40000 dilution
    Predicted band size: 34 kDa
    Observed band size: 38 kDa
    Exposure time:120s
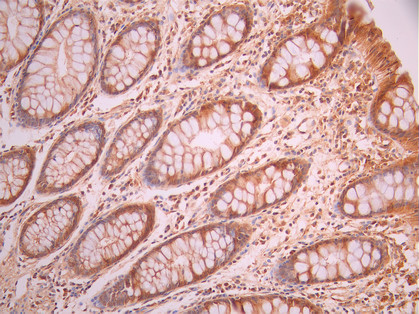
  • IHC image of CSB-RA173792A0HU diluted at 1:100 and staining in paraffin-embedded human small intestine tissue performed on a Leica BondTM system. After dewaxing and hydration, antigen retrieval was mediated by high pressure in a citrate buffer (pH 6.0). Section was blocked with 10% normal goat serum 30min at RT. Then primary antibody (1% BSA) was incubated at 4°C overnight. The primary is detected by a Goat anti-rabbit polymer IgG labeled by HRP and visualized using 0.05% DAB.
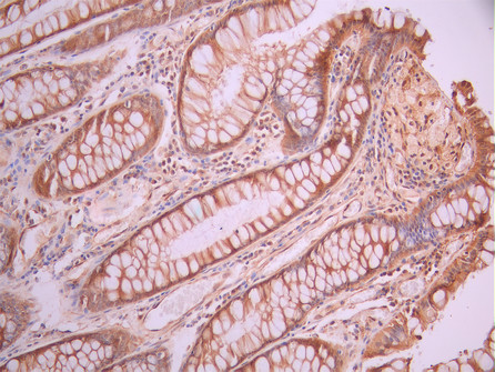
  • IHC image of CSB-RA173792A0HU diluted at 1:100 and staining in paraffin-embedded human colorectal cancer performed on a Leica BondTM system. After dewaxing and hydration, antigen retrieval was mediated by high pressure in a citrate buffer (pH 6.0). Section was blocked with 10% normal goat serum 30min at RT. Then primary antibody (1% BSA) was incubated at 4°C overnight. The primary is detected by a Goat anti-rabbit polymer IgG labeled by HRP and visualized using 0.05% DAB.
  • Overlay Peak curve showing Hela cells stained with CSB-RA173792A0HU (red line) at 1:100. The cells were fixed in 4% formaldehyde and permeated by 0.2% TritonX-100 for 10min. Then 10% normal goat serum to block non-specific protein-protein interactions followed by the antibody (1ug/1*106cells) for 45min at 4℃. The secondary antibody used was FITC-conjugated goat anti-rabbit IgG (H+L) at 1/200 dilution for 35min at 4℃.Control antibody (green line) was Rabbit IgG (1ug/1*106cells) used under the same conditions. Acquisition of >10, 000 events was performed.
Have Questions? Leave a Message or Start an on-line Chat

Product Details

Uniprot No.
Target Names
Alternative Names
Adapter molecule crk antibody; Avian sarcoma virus CT10 (v crk) oncogene homolog antibody; CRK antibody; CRK isoform 2 antibody; CRK isoform II antibody; CRK_HUMAN antibody; CRKII antibody; FLJ38130 antibody; OTTHUMP00000115366 antibody; OTTHUMP00000198330 antibody; p38 antibody; Proto oncogene C crk antibody; Proto-oncogene C-crk antibody; v crk avian sarcoma virus CT10 oncogene homolog antibody; v crk sarcoma virus CT10 oncogene homolog antibody; v crk sarcoma virus CT10 oncogene homolog (avian) antibody
Species Reactivity
Human
Immunogen
A synthesized peptide from human CRK protein
Immunogen Species
Homo sapiens (Human)
Conjugate
Non-conjugated
Clonality
Monoclonal
Isotype
Rabbit IgG
Clone No.
3H9
Purification Method
Affinity-chromatography
Concentration
It differs from different batches. Please contact us to confirm it.
Buffer
Rabbit IgG in 10mM phosphate buffered saline , pH 7.4, 150mM sodium chloride, 0.05% BSA, 0.02% sodium azide and 50% glycerol.
Form
Liquid
Tested Applications
ELISA, WB, IHC, FC
Recommended Dilution
Application Recommended Dilution
WB 1:500-1:5000
IHC 1:50-1:200
FC 1:50-1:200
Troubleshooting and FAQs
Storage
Upon receipt, store at -20°C or -80°C. Avoid repeated freeze.
Lead Time
Basically, we can dispatch the products out in 1-3 working days after receiving your orders. Delivery time maybe differs from different purchasing way or location, please kindly consult your local distributors for specific delivery time.
Usage
For Research Use Only. Not for use in diagnostic or therapeutic procedures.

Customer Reviews and Q&A

 Customer Reviews

There are currently no reviews for this product.

Submit a Review here

Target Background

Function
Involved in cell branching and adhesion mediated by BCAR1-CRK-RAPGEF1 signaling and activation of RAP1.; Regulates cell adhesion, spreading and migration. Mediates attachment-induced MAPK8 activation, membrane ruffling and cell motility in a Rac-dependent manner. Involved in phagocytosis of apoptotic cells and cell motility via its interaction with DOCK1 and DOCK4. May regulate the EFNA5-EPHA3 signaling.
Gene References into Functions
  1. A reduced miR-126 expression and an elevated Crk protein expression, alone or in combination, statistically correlated with aggressive clinicopathological characteristics, such as larger tumor size, deeper local invasion, more lymph node metastasis, advanced TNM stage, and poorer prognosis. PMID: 29171987
  2. these data highlight a signaling pathway in which SHP-1 acts through CrkII to reshape the pattern of Rap1 activation in the immunological synapse. PMID: 28790195
  3. Crk-dependent increased phosphorylation of CD3zeta coincided with inhibition of TCR downmodulation, supporting a positive role for Crk adaptor proteins in TCR-mediated signal amplification. PMID: 28465009
  4. This mini review will focus on the emerging roles of Crk adaptors during myocardial I/R injury. PMID: 28553779
  5. TGF-beta and Crk collaborate to form a positive feedback loop to facilitate epithelial-mesenchymal transition (EMT). PMID: 27027347
  6. The results suggest the involvement of Crk adaptor proteins in the early stages of T cell activation in which Crk might help recruiting effector proteins to the vicinity of the phospho-CD3zeta and contribute to the fine-tuning of the TCR/CD3-coupled signal transduction pathways. PMID: 28526413
  7. Study investigated structures and thermodynamics of the interactions mediated by N-terminal Src homology 3 domain of CrkII and proline-rich motifs (PRMs) of cAbl kinase, highlight the role of interfacial water molecules and the conformational entropy in the SH3:PRM interactions PMID: 27332121
  8. CrkII mediates IGF-1 signaling and further balances pancreatic ductal adenocarcinoma biological behaviors via Erk1/2 and Akt pathway PMID: 26250463
  9. In individuals with class I 17p13.3 microduplications including CRK, we recommend biochemical evaluation of the growth hormone axis. Providers caring for these patients should be aware of their possible risk for the development of central precocious puberty. PMID: 27633569
  10. Crk Tyr251 phosphorylation regulate invasive cell phenotypes in glioblastoma. PMID: 26473374
  11. CsA and FK506 might interfere with selected effector T cell functions via a CrkII-, but not CrkI-dependent mechanisms. PMID: 26792730
  12. Studied the role of PAK1/Crk axis in transduction of the oncogenic KRAS signal in non-small cell lung cancer (NSCLC). PMID: 25956913
  13. in human c-CrkII, movement at position 239 and strain at position 272 are not tolerated because the beta-branched residues Ile239 and Val272 restrain the backbone mobility and thus destabilize the cis Pro238 form. PMID: 26456136
  14. Data indicate the role of tyrosine phosphorylation in regulating modular domain utilization in v-crk sarcoma virus CT10 oncogene homolog (avian) protein (Crk). PMID: 25381819
  15. evidence uncovered essential roles of CRK in invasive bladder cancer through the hepatocyte growth factor/c-Met/CRK feedback loop for epithelial-mesenchymal transition induction PMID: 25816892
  16. In this review, we describe the structure and function of the different Crk proteins. PMID: 25506591
  17. proline switch and its role in Crk signaling PMID: 24702481
  18. Data indicate that human proto-oncogene c-CrkII (CrkII) is regulated by phosphorylation only, but chicken CrkII is regulated by Pro238 trans-->cis isomerization and by Tyr222 phosphorylation. PMID: 25284755
  19. Study indicates that miR-126 is a tumor suppressor that inhibits gastric cancer cells proliferation by targeting PI3KR2, Crk and PLK2. PMID: 24969300
  20. Crk1/2 and CrkL are physically linked, functionally complement each other during podocyte foot process spreading, and together are required for developing typical foot process architecture. PMID: 24499776
  21. The present data demonstrate that immunophilins regulate CrkII, but not CrkI activity in T cells and suggest that CsA and FK506 inhibit selected effector T cell functions via a CrkII-dependent mechanism. PMID: 25225668
  22. This study analyzed the kinetics of folding and substrate binding of the two homologues and found that cis-trans isomerization of Pro238 determines target binding in chicken but not in human CT10 regulator of kinase protein (c-CrkII). PMID: 24571054
  23. We propose that Crk adaptor proteins inhibit actin polymerization by competing with Nck binding to Tir. PMID: 24675776
  24. This prospect summarizes recent developments in Crk biology, including new structural and biochemical roles for the atypical carboxyl-terminal SH3 (SH3C) domain. PMID: 24356912
  25. These findings suggest that PTPN4 negatively regulates cell proliferation and motility through dephosphorylation of CrkI. PMID: 23666597
  26. P-glycoprotein activity in association with pCrkl reduction levels might help to distinguish between imatinib-resistant and imatinib-sensitive chronic myeloid leukemia cells. PMID: 24210993
  27. A gene signature derived following CrkII over-expression correlated significantly with basal breast cancers and with high grade and poor outcome in general; data highlight the physiological importance of Crk proteins in regulating growth of aggressive basal breast cancer cells PMID: 22569336
  28. the role of PAK1 in the promotion of cell motility, cell invasiveness and the down regulation of p120-catenin through CRK serine 41 phosphorylation in NSCLC cells PMID: 22848689
  29. SRC, c-MET and CRK play a key role in gastric carcinogenesis by modulating CagA signal transductions and interaction between CRK gene and phytoestrogens modify gastric cancer risk PMID: 22383989
  30. miR-126 may play an initial role in the development and progression of EMs. Crk may be regulated by miR-126, and synergism between abnormal expressions may play an important role in the pathogenesis of EMs. PMID: 22012249
  31. propose a unified model for inhibitory receptor function: Crk phosphorylation prevents essential Crk-dependent activation signals and blocks F-actin network formation, thereby reducing constraints on subsequent engagement of activation receptors PMID: 22464172
  32. CrkI and p130(Cas) complex regulates the migration and invasion of prostate cancer cells. PMID: 22144090
  33. positive regulatory role resulting from tyrosine phosphorylation of Crk, and identify a novel mechanism by which an adaptor protein activates a non-receptor tyrosine kinase by SH2 domain displacement PMID: 21602891
  34. differential binding selectivity of Crk and CrkL to their downstream partners Dock 180 and C3G was demonstrated in ovarian cancer cell line SKOV3 through coimmunoprecipitation PMID: 21319228
  35. CRKII increases migration and invasive potential in oral squamous cell carcinoma PMID: 21339045
  36. SOS1 is essential for CrkI-induced fibroblast transformation, and also reveal a surprising negative role for Abl kinases in Crk transformation. PMID: 20729917
  37. These results imply that binding capacity of influenza A virus NS1 to CRK/CRKL has evolved in virus strains that over-induce the antiviral acting JNK-ATF2 signalling module and helps to suppress the detrimental apoptosis promoting action of this pathway. PMID: 20088952
  38. signal transfer of Crk/Dock180/Rac1 is implicated in actin cytoskeleton reorganization and thus in the cell proliferation, motility, invasion, and of human ovarian cancer cell line SKOV3. PMID: 20237902
  39. Silencing of CRK-I/II increased endothelial cell migration. PMID: 19760510
  40. Depletion of Crk by RNA interference markedly inhibited proliferation of the synovial sarcoma cell lines HS-SYII, SYO-1, and Fuji as well as prevented anchorage-independent growth. PMID: 19737974
  41. Molecular and immunohistochemical analysis of signaling adaptor protein Crk in human cancers PMID: 11911970
  42. determined the NMR solution structure of the ternary complex of the Abl SH3 domain with the Crk SH2 domain bound to a Crk pY221 phosphopeptide PMID: 12384576
  43. Crk plays a critical role in Rac1-induced membrane ruffling and Rap1-mediated nascent focal complex stabilization contributing to ephrin-B1-induced human aortic endothelial cells migration PMID: 12475948
  44. Requirement of the p130CAS-Crk coupling for metastasis suppressor KAI1/CD82-mediated inhibition of cell migration in a metastatic prostate cancer cell line. PMID: 12738793
  45. CRK is ADP ribosylated by Pseudomonas aeruginosa ExoT, demonstrating how ADP-ribosylation of Crk-I may be responsible for the anti-phagocytosis phenotype elicited by ExoT in mammalian cells PMID: 12807879
  46. c-Src phosphorylates the receptor KIT, thereby creating docking sites for SH2 domain containing proteins, leading to recruitment of Crk to the receptor. PMID: 12878163
  47. This study provides the first quantitative analysis of discrete CRKI and CRKII protein isoforms in human lung tumors and provides evidence that the C-CRK proto-oncogene may foment a more aggressive phenotype in lung cancers. PMID: 12970743
  48. Nck and Crk mediate distinct VEGF-induced signaling pathways that serve overlapping functions in cell migration. PMID: 15051508
  49. a major role for a Crk-cortactin complex in actin polymerization downstream of tyrosine kinase signaling PMID: 15263018
  50. Crk may be involved in regulation of cell motility by a hyaluronic acid-dependent mechanism through an association with ERMs PMID: 15326184

Show More

Hide All

Subcellular Location
Cytoplasm. Cell membrane.
Protein Families
CRK family
Database Links

HGNC: 2362

OMIM: 164762

KEGG: hsa:1398

STRING: 9606.ENSP00000300574

UniGene: Hs.461896

icon of phone
Call us
301-363-4651 (Available 9 a.m. to 5 p.m. CST from Monday to Friday)
icon of address
Address
7505 Fannin St., Ste 610, Room 7 (CUBIO Innovation Center), Houston, TX 77054, USA
icon of social media
Join us with

Subscribe newsletter

Leave a message

* To protect against spam, please pass the CAPTCHA test below.
CAPTCHA verification
© 2007-2025 CUSABIO TECHNOLOGY LLC All rights reserved. 鄂ICP备15011166号-1
×
Place an order now

I. Product details

*
*
*
*

II. Contact details

*
*

III. Ship To

*
*
*
*
*
*
*

IV. Bill To

*
*
*
*
*
*
*
*