CUL2 Recombinant Monoclonal Antibody

Code CSB-RA108225A0HU
Size US$210
Order now
Image
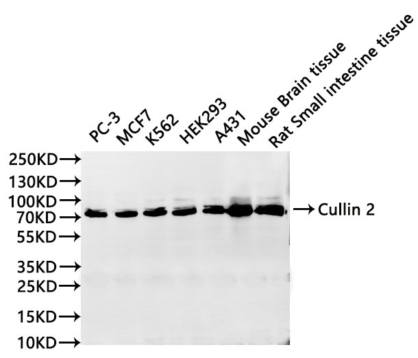
  • Western Blot
    , Positive WB detected in:PC-3 whole cell lysate(30µg), MCF7 whole cell lysate(30µg), K562 whole cell lysate(30µg), HEK293 whole cell lysate(30µg), A431 whole cell lysate(30µg), Mouse brain tissue lysate(30µg), Rat Small intestine lysate(30µg)
    All lanes: Cullin 2 antibody at 1:1000
    Secondary
    Goat polyclonal to rabbit IgG at 1/40000 dilution
    Predicted band size: 87 kDa
    Observed band size: 87 kDa
    Exposure time:120s
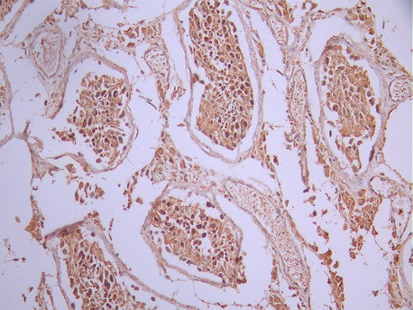
  • IHC image of CSB-RA108225A0HU diluted at 1:100 and staining in paraffin-embedded human testis tissue performed on a Leica BondTM system. After dewaxing and hydration, antigen retrieval was mediated by high pressure in a citrate buffer (pH 6.0). Section was blocked with 10% normal goat serum 30min at RT. Then primary antibody (1% BSA) was incubated at 4°C overnight. The primary is detected by a Goat anti-rabbit polymer IgG labeled by HRP and visualized using 0.05% DAB.
  • Overlay Peak curve showing 786-O cells stained with CSB-RA108225A0HU (red line) at 1:100. The cells were fixed in 4% formaldehyde and permeated by 0.2% TritonX-100 for 10min. Then 10% normal goat serum to block non-specific protein-protein interactions followed by the antibody (1ug/1*106cells) for 45min at 4℃. The secondary antibody used was FITC-conjugated goat anti-rabbit IgG (H+L) at 1/200 dilution for 35min at 4℃.Control antibody (green line) was Rabbit IgG (1ug/1*106cells) used under the same conditions. Acquisition of >10, 000 events was performed.
Have Questions? Leave a Message or Start an on-line Chat

Product Details

Uniprot No.
Target Names
Alternative Names
Cul2 antibody; CUL 2 antibody; CUL-2 antibody; CUL2 antibody; CUL2_HUMAN antibody; cullin 2 antibody; cullin homolog 2 antibody; Cullin-2 antibody; MGC131970 antibody
Species Reactivity
Human, Mouse, Rat
Immunogen
A synthesized peptide from human CUL2 protein
Immunogen Species
Homo sapiens (Human)
Conjugate
Non-conjugated
Clonality
Monoclonal
Isotype
Rabbit IgG
Clone No.
13C2
Purification Method
Affinity-chromatography
Concentration
It differs from different batches. Please contact us to confirm it.
Buffer
Rabbit IgG in 10mM phosphate buffered saline , pH 7.4, 150mM sodium chloride, 0.05% BSA, 0.02% sodium azide and 50% glycerol.
Form
Liquid
Tested Applications
ELISA, WB, IHC, FC
Recommended Dilution
Application Recommended Dilution
WB 1:500-1:5000
IHC 1:50-1:200
FC 1:50-1:200
Troubleshooting and FAQs
Storage
Upon receipt, store at -20°C or -80°C. Avoid repeated freeze.
Lead Time
Basically, we can dispatch the products out in 1-3 working days after receiving your orders. Delivery time maybe differs from different purchasing way or location, please kindly consult your local distributors for specific delivery time.
Usage
For Research Use Only. Not for use in diagnostic or therapeutic procedures.

Customer Reviews and Q&A

 Customer Reviews

There are currently no reviews for this product.

Submit a Review here

Target Background

Function
Core component of multiple cullin-RING-based ECS (ElonginB/C-CUL2/5-SOCS-box protein) E3 ubiquitin-protein ligase complexes, which mediate the ubiquitination of target proteins. CUL2 may serve as a rigid scaffold in the complex and may contribute to catalysis through positioning of the substrate and the ubiquitin-conjugating enzyme. The E3 ubiquitin-protein ligase activity of the complex is dependent on the neddylation of the cullin subunit and is inhibited by the association of the deneddylated cullin subunit with TIP120A/CAND1. The functional specificity of the ECS complex depends on the substrate recognition component. ECS(VHL) mediates the ubiquitination of hypoxia-inducible factor (HIF). A number of ECS complexes (containing either KLHDC2, KLHDC3, KLHDC10, APPBP2, FEM1A, FEM1B or FEM1C as substrate-recognition component) are part of the DesCEND (destruction via C-end degrons) pathway, which recognizes a C-degron located at the extreme C terminus of target proteins, leading to their ubiquitination and degradation. ECS complexes and ARIH1 collaborate in tandem to mediate ubiquitination of target proteins.
Gene References into Functions
  1. direct evidence that both A3A and HPV16 E7 interact with CUL2, suggesting that the E7-CUL2 complex formed during HPV infection may regulate A3A protein levels in the cell. PMID: 29367246
  2. The crystal structure of a pentameric CRL2(VHL) complex, composed of Cul2, Rbx1, Elongin B, Elongin C, and pVHL reveals hydrophobic contact residues critical for the Cul2 interactions. PMID: 28591624
  3. Results suggest that E7 recruited CUL2, driven by CUL2/E2F1/miR-424 regulatory loop, is overexpressed and accelerates HPV16-induced cervical carcinogenesis. PMID: 27153550
  4. Cullins are a family of NEDD8 targets important in the stabilization and degradation of proteins, such as hypoxia-inducible factor (HIF1A), via Cullin-2. PMID: 25326537
  5. Nevertheless, the identification of the Cul2 box may allow prediction of Cullin specificity for all E4orf6-containing Adenoviridae. PMID: 24453364
  6. a novel link between the oncoprotein PRAME and the conserved EKC complex PMID: 22912744
  7. Study finds that UBXN7 over-expression converts CUL2 to its neddylated form and causes the accumulation of non-ubiquitylated HIF1alpha. PMID: 22537386
  8. The authors applied protein-complex purification strategies and identified PRAME as a substrate recognition subunit of a Cullin2-based E3 ubiquitin ligase. PMID: 21822215
  9. The data suggest that neither HIF1alpha nor CUL2 mutation may play a central role in HIF1alpha activation in gastric, colorectal, breast, lung and hepatocellular carcinomas, and acute leukemias. PMID: 20078552
  10. Cullin selection is determined by specific Elongin C and Skp1 sequences PMID: 15280393
  11. the HPV16 E7-associated cullin 2 ubiquitin ligase complex contributes to aberrant degradation of the pRB tumor suppressor in HPV16 E7-expressing cells. PMID: 17609271
  12. CUL2 is required for normal vasculogenesis, at least in part mediated by its regulation of HIF-mediated transcription. PMID: 18372249

Show More

Hide All

Protein Families
Cullin family
Database Links

HGNC: 2552

OMIM: 603135

KEGG: hsa:8453

STRING: 9606.ENSP00000444856

UniGene: Hs.82919

icon of phone
Call us
301-363-4651 (Available 9 a.m. to 5 p.m. CST from Monday to Friday)
icon of address
Address
7505 Fannin St., Ste 610, Room 7 (CUBIO Innovation Center), Houston, TX 77054, USA
icon of social media
Join us with

Subscribe newsletter

Leave a message

* To protect against spam, please pass the CAPTCHA test below.
CAPTCHA verification
© 2007-2025 CUSABIO TECHNOLOGY LLC All rights reserved. 鄂ICP备15011166号-1
×
Place an order now

I. Product details

*
*
*
*

II. Contact details

*
*

III. Ship To

*
*
*
*
*
*
*

IV. Bill To

*
*
*
*
*
*
*
*