CXCR5 Recombinant Monoclonal Antibody

Code CSB-RA006255MA1HU
Size US$210
Order now
Image
  • Western Blot
    Positive WB detected in: Jurkat whole cell lysate(30µg), Raji whole cell lysate(30µg), SH-SY5Y whole cell lysate(30µg), U-87MG whole cell lysate(30µg), CT26 whole cell lysate(30µg), PC-3 whole cell lysate(30µg), MCF-7 whole cell lysate(30µg), HL-60 whole cell lysate(30µg)
    All lanes: CXCR5 antibody at 1:1000
    Secondary
    Goat polyclonal to human IgG at 1/40000 dilution
    Predicted band size: 42 kDa
    Observed band size: 33 kDa
    Exposure time: 2min
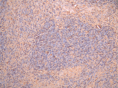
  • IHC image of CSB-RA006255MA1HU diluted at 1:50 and staining in paraffin-embedded human lymph node tissue performed on a Leica BondTM system. After dewaxing and hydration, antigen retrieval was mediated by high pressure in a citrate buffer (pH 6.0). Section was blocked with 10% normal goat serum 30min at RT. Then primary antibody (1% BSA) was incubated at 4°C overnight. The primary is detected by a Anti-Human lgG, Fcy Fragment Specific labeled by HRP and visualized using 0.05% DAB.
  • Immunofluorescence staining of HepG2 cell with CSB-RA006255MA1HU at 1:30 ,counter-stained with DAPI. The cells were fixed in 4% formaldehyde and blocked in 10% normal Goat Serum. The cells were then incubated with the antibody overnight at 4°C. The secondary antibody was Fluorescein (FITC) AffiniPure Goat Anti-Human IgG, Fcγ fragment specific.
  • Overlay Peak curve showing Raji cells stained with CSB-RA006255MA1HU (red line) at 1:100. Then 10% normal goat serum to block non-specific protein-protein interactions followed by the antibody (1ug/1*106cells) for 45min at 4℃. The secondary antibody used was Fluorescein (FITC) AffiniPure Goat Anti-Human IgG, Fcγ fragment specific at 1:200 dilution for 35min at 4℃.Control antibody (green line) was human IgG1 (1ug/1*106cells) used under the same conditions. Acquisition of >10,000 events was performed.
Have Questions? Leave a Message or Start an on-line Chat

Product Details

Uniprot No.
Target Names
Alternative Names
BLR 1 antibody; BLR1 antibody; Burkitt lymphoma receptor 1 antibody; Burkitt lymphoma receptor 1 GTP binding protein antibody; Burkitt lymphoma receptor 1; GTP binding protein (chemokine (C-X-C motif) receptor 5) antibody; C X C chemokine receptor type 5 antibody; C-X-C chemokine receptor type 5 antibody; CD 185 antibody; CD185 antibody; CD185 antigen antibody; Chemokine (C-X-C motif) receptor 5 antibody; Chemokine C X C motif receptor 5 antibody; Chemokine CXC motif receptor 5 antibody; Chemokine receptor 5 antibody; CXC chemokine receptor type 5 antibody; CXC R5 antibody; CXC-R5 antibody; CXCR 5 antibody; CXCR-5 antibody; Cxcr5 antibody; CXCR5_HUMAN antibody; MDR 15 antibody; MDR-15 antibody; MDR15 antibody; MGC117347 antibody; Monocyte derived receptor 15 antibody; Monocyte-derived receptor 15 antibody
Species Reactivity
Human
Immunogen
Recombinant Human CXCR5 protein
Immunogen Species
Homo sapiens (Human)
Conjugate
Non-conjugated
Clonality
Monoclonal
Isotype
hIgG1
Clone No.
25A3
Purification Method
Affinity-chromatography
Concentration
It differs from different batches. Please contact us to confirm it.
Buffer
Preservative: 0.03% Proclin 300
Constituents: 50% Glycerol, 0.01M PBS, PH 7.4
Form
Liquid
Tested Applications
ELISA, WB, IHC, IF, FC
Recommended Dilution
Application Recommended Dilution
WB 1:500-1:2000
IHC 1:50-1:200
IF 1:50-1:200
FC 1:50-1:200
Troubleshooting and FAQs
Storage
Upon receipt, store at -20°C or -80°C. Avoid repeated freeze.
Lead Time
Basically, we can dispatch the products out in 1-3 working days after receiving your orders. Delivery time maybe differs from different purchasing way or location, please kindly consult your local distributors for specific delivery time.
Usage
For Research Use Only. Not for use in diagnostic or therapeutic procedures.

Customer Reviews and Q&A

 Customer Reviews

There are currently no reviews for this product.

Submit a Review here

Target Background

Function
Cytokine receptor that binds to B-lymphocyte chemoattractant (BLC). Involved in B-cell migration into B-cell follicles of spleen and Peyer patches but not into those of mesenteric or peripheral lymph nodes. May have a regulatory function in Burkitt lymphoma (BL) lymphomagenesis and/or B-cell differentiation.
Gene References into Functions
  1. miR-192 suppresses T follicular helper cell differentiation by targeting CXCR5 in childhood asthma. PMID: 29490514
  2. basal CXCR5(+)Th17 cell frequency may indicate underlying differences in disease phenotype between patients and predict ultimate success of TNF inhibitor therapy PMID: 28004828
  3. The A allele of rs613791 and G allele of rs523604 located in CXCR5 were observed to be significantly associated with vitiligo in the Chinese Han population. PMID: 28551095
  4. These results provide clear evidence that CXCR4- or CCR5-beta-arrestin complexes induce receptor endocytosis and signaling in the absence of G protein coupling and ligand-induced conformational changes of the receptor. PMID: 28733085
  5. these findings demonstrate that CXCR5 overexpression increases the ability of MSCs to respond to migratory stimuli and highly intensifies their immunomodulatory effects in vivo. This strategy for enhancing targeted stem/progenitor cell homing may improve the efficacy of MSC-based therapies. PMID: 28454789
  6. all three p53 family members mediate the effects of genotoxic stress on the CXCR5 promoter using the same mechanism associated with attenuation of NFkB activity. PMID: 29107083
  7. identified the miR-19a/CXCR5 pathway as a candidate p53-induced migration mechanism PMID: 28783539
  8. CXCL13/CXCR5 mediated the aggregation of B cells, that directed the aberrant humoral immune responses via the formation of ectopic germinal centers, which suggests a molecular mechanism of neurological damage in neurosyphilis. PMID: 28931218
  9. the data demonstrate that CXCR5(+)CD8(+) T cells represent a significant CD8(+) T cell subset in colorectal tumors and have the potential to contribute to antitumor immunity, but their specific roles require further studies in vivo. PMID: 28412245
  10. we demonstrate that PKCepsilon cooperates with the loss of the tumor suppressor Pten for the development of prostate cancer in a mouse model. Mechanistic analysis revealed that PKCe overexpression and Pten loss individually and synergistically upregulate the production of the chemokine CXCL13, which involves the transcriptional activation of the CXCL13 gene PMID: 28402859
  11. Levels of CXCR5 mRNA and protein levels were up-regulated in brain from temporal lobe epilepsy patients. PMID: 27873133
  12. Neoplastic cells of PCSM-TCL are medium- to-large-sized T cells with cerebriform nuclei, which lack the expression of TFH-cell defining chemokine receptor CXCR5. These features are highly distinctive and can be invaluable in separating this rather indolent cutaneous T-cell lymphoid neoplasm from more aggressive lymphomas of TFH-cell phenotype, including primary cutaneous TFH-cell lymphoma and skin involvement of AITL PMID: 26928629
  13. CXCR5 expression positively related to the lymph node and distal metastasis, tumor stage and relapse of colorectal cancer. PMID: 25726157
  14. In patients with HBV-related hepatocellular carcinoma the phenotype and function of CXCR5+CD45RA-CD4+ T cells were altered. PMID: 26517519
  15. HCV infection increased the frequency of CD4+CXCR5+ T cells and decreased the frequency of CD27+IgG+ B cells. CD4+CXCR5+ T cells activated CD27+IgG+ B cells via the secretion of IL-21. PMID: 26818544
  16. Authors demonstrate that CD40 expression upregulates the chemokine receptor CXCR5 and promotes MDSC migration toward and accumulation within cancer. PMID: 26462153
  17. down-regulation of CXCR5 inhibited the growth and proliferation of LNCaP cells. PMID: 26640404
  18. findings reveal a neuronal/astrocytic interaction in the spinal cord by which neuronally produced CXCL13 activates astrocytes via CXCR5 to facilitate neuropathic pain. PMID: 26752644
  19. Circulating CXCR5+CD4+helper T cells in systemic lupus erythematosus patients share phenotypic properties with germinal center follicular helper T cells and promote antibody production. PMID: 25654980
  20. study showed that induction of circulating CXCR5+CD4+ Tfh-like subsets can be detected following immunization with HPV vaccines, and potentially be useful as a marker of immunogenicity of vaccines PMID: 26333070
  21. A negative correlation between levels of miR-346 and percentages of CD4(+)CXCR5(+) T cells was confirmed in Graves' disease PMID: 25666935
  22. IL-33 enhances humoral immunity against chronic hbv infection through activating CD4(+)CXCR5(+) helper-Inducer T-Lymphocytes. PMID: 25714983
  23. elevated CXCR5 expression may contribute to abnormal cell survival and migration in breast tumors that lack functional p53. PMID: 25786345
  24. our findings suggest that CXCL13-CXCR5 axis promotes the growth, migration, and invasion of colon cancer cells, probably via PI3K/AKT pathway PMID: 25476740
  25. After validation in larger patient groups, CXCR5 and CXCL13 may prove useful as biomarkers for nonsmall cell lung carcinoma Correspondingly, blockade of this axis could serve as an effective therapy for nonsmall cell lung carcinoma. PMID: 25271023
  26. FANCA-modulated neddylation pathway involved in CXCR5 membrane targeting and cell mobility. PMID: 25015289
  27. three SNPs (rs497916, rs3922, rs676925) in CXCR5 and one SNP (rs355687) in CXCL13 were associated with hepatitis B vaccine efficacy PMID: 25077417
  28. specific G protein isoforms coupled to CXCR5 in its resting and active states, were identified. PMID: 23773523
  29. Expression features of CXCR5 and its ligand, CXCL13 associated with poor prognosis of advanced colorectal cancer PMID: 25010623
  30. CD4+CXCR5+ helper T cells may contribute to the pathogenesis of primary Sjogren's syndrome by promoting the maturation of B cells. PMID: 24966908
  31. Suggest that platelet-mediated signaling through CXCR5 may be active in vivo during plaque destabilization, enhancing the anti-inflammatory effects of CXCL13. PMID: 24732574
  32. healthy controls with rs6421571CT and TT genotypes had higher mRNA and protein levels of CXCR5 than those with wild-type CC genotype specifically in CD4+ T cells PMID: 24833093
  33. 11q23.3 with rs4938573 near CXCR5 gene is associated with follicular lymphoma. PMID: 25279986
  34. expression of CXCR5 was significantly associated with both stage and lymph node metastasis, but not with tumor size, tumor differentiation grade, or menopausal status of the patient. PMID: 24337540
  35. study discovered multiple susceptibility variants for systemic lupus erythematosus in the 11q23.3 region, including variants in/near PHLDB1 (rs11603023), DDX6 (rs638893) and CXCR5 (rs10892301) PMID: 24001599
  36. Results provide additional evidence for a role of host genetic variation in CXCR5 in lymphomagenesis, particularly for FL. PMID: 23812490
  37. Data suggest the involvement of CD4+ CXCR5+ T cells (circulating follicular helper T cells Tfh) in the pathogenesis and progression of chronic lymphocytic leukemia (CLL). PMID: 23807677
  38. Circulating precursor cd4+ T cells expressing CCR7(low)PD-1(high) CXCR5+ indicate T-helper cell activity and promote antibody responses upon antigen re-exposure. PMID: 24138884
  39. Human circulating memory T-helper cells expressing PD-1 and CXCR5 are highly functional and correlate with broadly neutralizing HIV antibody responses. PMID: 24035365
  40. A single nucleotide polymorphism in CXCR5, rs630923, is associated with genetic risk for multiple sclerosis. PMID: 23739915
  41. Polymorphisms in CXCR5 are associated with HIV-associated non-hodgkin B-cell lymphoma. PMID: 23250934
  42. Interruption of CXCL13-CXCR5 axis increases upper genital tract pathology and activation of NKT cells following chlamydial genital infection. PMID: 23189125
  43. Data indicate that EBI2 expression modulates CXCL13 binding affinity to CXCR5. PMID: 22913878
  44. Levels of CXCL13 are increased in carotid atherosclerosis both systemically and within the atherosclerotic lesion. Based on our in vitro findings, we hypothesize a potential plaque stabilizing effects of CXCL13-CXCR5 interaction PMID: 22840692
  45. C-X-C chemokine receptor type 5 gene polymorphisms are associated with non-Hodgkin lymphoma. PMID: 22707196
  46. The CXCL13-CXCR5 axis is associated with classic determinants of poor prognosis, such as high grade, hormone receptor negativity, and axillary node involvement. PMID: 22607768
  47. Sections of the mouse CXCR5 intron significantly align plus/plus with sections of the human intron; the aligned segments are in the same order in mouse as in man and overall cover 13% of the mouse sequence and 17% of the human sequence. PMID: 20809769
  48. Data indicate that the percentages of CD4(+)CXCR5(+) TFH in IA patients were positively correlated with AST. PMID: 21750724
  49. these results add new information about the CXCL13-CXCR5 axis in neuroblastic tumors and in the crosstalk between neuroblastic and stromal cells. PMID: 21642390
  50. Central memory CD4 T cells expressing CXCR5 efficiently induced PC differentiation and Ig secretion, and displayed a different profile in terms of cytokine and costimulatory molecule expression. PMID: 21471443

Show More

Hide All

Subcellular Location
Cell membrane; Multi-pass membrane protein.
Protein Families
G-protein coupled receptor 1 family
Tissue Specificity
Expression in mature B-cells and Burkitt lymphoma cells.
Database Links

HGNC: 1060

OMIM: 601613

KEGG: hsa:643

STRING: 9606.ENSP00000292174

UniGene: Hs.113916

CUSABIO guaranteed quality
icon of phone
Call us
301-363-4651 (Available 9 a.m. to 5 p.m. CST from Monday to Friday)
icon of address
Address
7505 Fannin St., Ste 610, Room 7 (CUBIO Innovation Center), Houston, TX 77054, USA
icon of social media
Join us with

Subscribe newsletter

Leave a message

* To protect against spam, please pass the CAPTCHA test below.
CAPTCHA verification
© 2007-2026 CUSABIO TECHNOLOGY LLC All rights reserved. 鄂ICP备15011166号-1
Place an order now

I. Product details

*
*
*
*

II. Contact details

*
*

III. Ship To

*
*
*
*
*
*
*

IV. Bill To

*
*
*
*
*
*
*
*