DLAT Recombinant Monoclonal Antibody

Code CSB-RA283972A0HU
Size US$210
Order now
Image
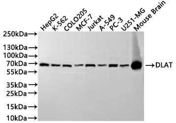
  • Western Blot
    Positive WB detected in: HepG2 whole cell lysate(30µg), K562 whole cell lysate(30µg), COLO205 whole cell lysate(30µg), MCF7 whole cell lysate(30µg), Jurkat whole cell lysate(30µg), A549 whole cell lysate(30µg), PC-3 whole cell lysate(30µg), U251 whole cell lysate(30µg), Mouse brain tissue lysate(30µg)
    All lanes:DLAT antibody at 1:1000
    Secondary
    Goat polyclonal to rabbit IgG at 1/40000 dilution
    Predicted band size: 69 kDa
    Observed band size: 69 kDa
    Exposure time:2min
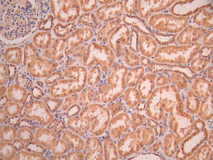
  • IHC image of CSB-RA283972A0HU diluted at 1:100 and staining in paraffin-embedded human kidney tissue performed on a Leica BondTM system. After dewaxing and hydration, antigen retrieval was mediated by high pressure in a citrate buffer (pH 6.0). Section was blocked with 10% normal goat serum 30min at RT. Then primary antibody (1% BSA) was incubated at 4°C overnight. The primary is detected by a Goat anti-rabbit polymer IgG labeled by HRP and visualized using 0.05% DAB.
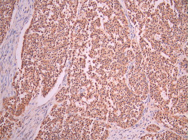
  • IHC image of CSB-RA283972A0HU diluted at 1:100 and staining in paraffin-embedded human liver cancer performed on a Leica BondTM system. After dewaxing and hydration, antigen retrieval was mediated by high pressure in a citrate buffer (pH 6.0). Section was blocked with 10% normal goat serum 30min at RT. Then primary antibody (1% BSA) was incubated at 4°C overnight. The primary is detected by a Goat anti-rabbit polymer IgG labeled by HRP and visualized using 0.05% DAB.
  • Overlay Peak curve showing MCF-7 cells stained with CSB-RA283972A0HU (red line) at 1:100. The cells were fixed in 4% formaldehyde and permeated by 0.2% TritonX-100 for 10min. Then 10% normal goat serum to block non-specific protein-protein interactions followed by the antibody (1ug/1*106cells) for 45min at 4℃. The secondary antibody used was FITC-conjugated goat anti-rabbit IgG (H+L) at 1/200 dilution for 35min at 4℃.Control antibody (green line) was Rabbit IgG (1ug/1*106cells) used under the same conditions. Acquisition of >10, 000 events was performed.
Have Questions? Leave a Message or Start an on-line Chat

Product Details

Uniprot No.
Target Names
DLAT
Alternative Names
70 kDa mitochondrial autoantigen of primary biliary cirrhosis antibody; Dihydrolipoamide acetyltransferase component of pyruvate dehydrogenase complex antibody; Dihydrolipoamide S Acetyltransferase antibody; Dihydrolipoyllysine-residue acetyltransferase component of pyruvate dehydrogenase complex antibody; dihydrolipoyllysine-residue acetyltransferase component of pyruvate dehydrogenase complex mitochondrial antibody; DLAT antibody; DLTA antibody; E2 antibody; E2 component of pyruvate dehydrogenase complex antibody; M2 antigen complex 70 kDa subunit antibody; mitochondrial antibody; ODP2_HUMAN antibody; PBC antibody; PDC E2 antibody; PDC-E2 antibody; PDCE2 antibody; Pyruvate dehydrogenase complex component E2 antibody; Pyruvate dehydrogenase complex E2 subunit antibody
Species Reactivity
Human, Mouse
Immunogen
A synthesized peptide from human DLAT protein
Immunogen Species
Homo sapiens (Human)
Conjugate
Non-conjugated
Clonality
Monoclonal
Isotype
Rabbit IgG
Clone No.
5C6
Purification Method
Affinity-chromatography
Concentration
It differs from different batches. Please contact us to confirm it.
Buffer
Rabbit IgG in 10mM phosphate buffered saline , pH 7.4, 150mM sodium chloride, 0.05% BSA, 0.02% sodium azide and 50% glycerol.
Form
Liquid
Tested Applications
ELISA, WB, IHC, FC
Recommended Dilution
Application Recommended Dilution
WB 1:500-1:5000
IHC 1:50-1:200
FC 1:50-1:200
Troubleshooting and FAQs
Storage
Upon receipt, store at -20°C or -80°C. Avoid repeated freeze.
Lead Time
Basically, we can dispatch the products out in 1-3 working days after receiving your orders. Delivery time maybe differs from different purchasing way or location, please kindly consult your local distributors for specific delivery time.
Usage
For Research Use Only. Not for use in diagnostic or therapeutic procedures.

Customer Reviews and Q&A

 Customer Reviews

There are currently no reviews for this product.

Submit a Review here

Target Background

Function
The pyruvate dehydrogenase complex catalyzes the overall conversion of pyruvate to acetyl-CoA and CO(2), and thereby links the glycolytic pathway to the tricarboxylic cycle.
Gene References into Functions
  1. DLAT interacts with C1QBP in mitochondria. PMID: 26753982
  2. ongoing activation of PDCE2-specific B-cells in primary biliary cirrhosis PMID: 25043065
  3. Results show that DLAT and ACAT2 as upstream acetyltransferases of K76 and K294 in 6PGD protein. PMID: 25042803
  4. These findings were used to identify potentially antigenic sequences within PDC-E2 (an important hepatic autoantigen) that contain a DR0801 motif. PMID: 23543758
  5. Solution structure and characterisation of the human pyruvate dehydrogenase complex core assembly PMID: 20361979
  6. Data suggest that the catalytic site of pyruvate dehydrogenase complex E2 rather than the previously reported lipoyl binding peptide may contain immunodominant epitopes recognized by antimitochondrial antibodies in primary biliary cirrhosis. PMID: 20180236
  7. a novel HLA-A*0201-restricted epitope PDC-E2 165 to 174 was defined in patients with primary biliary cirrhosis. PMID: 12395322
  8. study of facilitated interaction between the pyruvate dehydrogenase kinase isoform 2 and the dihydrolipoyl acetyltransferase PMID: 12816949
  9. model of the pyruvate dehydrogenase complex formed by E2 and E2 plus the E3-binding protein and binding of the E1 and E3 components PMID: 14638692
  10. Having found that there is an excellent and almost unique match between the PDC-E2 autoepitope and a sequence in mycobacterial hsp65s, we tested the corresponding peptides for cross-reactivity using sera from 90 Spanish and British PBC patients. PMID: 15120760
  11. This study report two unrelated patients with pyruvate dehydrogenase deficiency caused by defects in the E2 subunit. PMID: 16049940
  12. epitope specificity of these PDC-E2 autoantibodies was distinctive suggesting that the mechanisms leading to loss of tolerance in the transplantation patients are distinct from primary biliary cirrhosis PMID: 17068145
  13. Species specificity in the interaction between hE1beta and hE2 in pyruvate dehydrogenase complex. PMID: 18206651
  14. tissue specificity of the autoimmune injury in primary biliary cirrhosis is a consequence of the unique characteristics of HIBECs during apoptosis and can be explained by exposure to immune system of intact immunoreactive PDC-E2 within apoptotic blebs. PMID: 19185000

Show More

Hide All

Involvement in disease
Pyruvate dehydrogenase E2 deficiency (PDHE2 deficiency)
Subcellular Location
Mitochondrion matrix.
Protein Families
2-oxoacid dehydrogenase family
Database Links

HGNC: 2896

OMIM: 245348

KEGG: hsa:1737

STRING: 9606.ENSP00000280346

UniGene: Hs.335551

icon of phone
Call us
301-363-4651 (Available 9 a.m. to 5 p.m. CST from Monday to Friday)
icon of address
Address
7505 Fannin St., Ste 610, Room 7 (CUBIO Innovation Center), Houston, TX 77054, USA
icon of social media
Join us with

Subscribe newsletter

Leave a message

* To protect against spam, please pass the CAPTCHA test below.
CAPTCHA verification
© 2007-2025 CUSABIO TECHNOLOGY LLC All rights reserved. 鄂ICP备15011166号-1
×
Place an order now

I. Product details

*
*
*
*

II. Contact details

*
*

III. Ship To

*
*
*
*
*
*
*

IV. Bill To

*
*
*
*
*
*
*
*