GDF11 Recombinant Monoclonal Antibody

Code CSB-RA916692A0HU
Size US$210
Order now
Image
  • Western Blot
    , Positive WB detected in:HepG2 whole cell lysate(30µg)
    All lanes: BMP11 antibody at 1:1000
    Secondary
    Goat polyclonal to rabbit IgG at 1/40000 dilution
    Predicted band size: 45 kDa
    Observed band size: 45 kDa
    Exposure time:120s
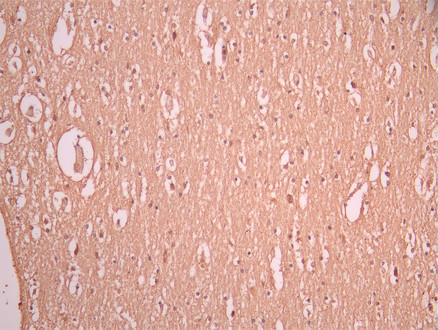
  • IHC image of CSB-RA916692A0HU diluted at 1:100 and staining in paraffin-embedded human brain tissue performed on a Leica BondTM system. After dewaxing and hydration, antigen retrieval was mediated by high pressure in a citrate buffer (pH 6.0). Section was blocked with 10% normal goat serum 30min at RT. Then primary antibody (1% BSA) was incubated at 4°C overnight. The primary is detected by a Goat anti-rabbit polymer IgG labeled by HRP and visualized using 0.05% DAB.
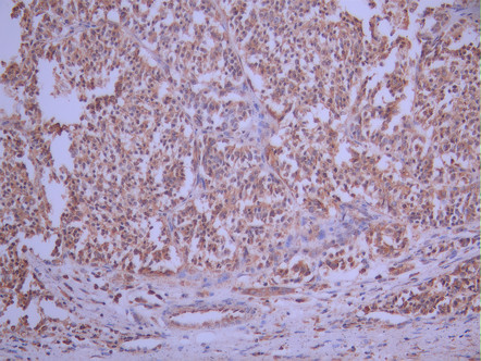
  • IHC image of CSB-RA916692A0HU diluted at 1:100 and staining in paraffin-embedded human liver cancer performed on a Leica BondTM system. After dewaxing and hydration, antigen retrieval was mediated by high pressure in a citrate buffer (pH 6.0). Section was blocked with 10% normal goat serum 30min at RT. Then primary antibody (1% BSA) was incubated at 4°C overnight. The primary is detected by a Goat anti-rabbit polymer IgG labeled by HRP and visualized using 0.05% DAB.
  • Overlay Peak curve showing A431 cells stained with CSB-RA916692A0HU (red line) at 1:100. The cells were fixed in 4% formaldehyde and permeated by 0.2% TritonX-100 for 10min. Then 10% normal goat serum to block non-specific protein-protein interactions followed by the antibody (1ug/1*106cells) for 45min at 4℃. The secondary antibody used was FITC-conjugated goat anti-rabbit IgG (H+L) at 1/200 dilution for 35min at 4℃.Control antibody (green line) was Rabbit IgG (1ug/1*106cells) used under the same conditions. Acquisition of >10, 000 events was performed.
Have Questions? Leave a Message or Start an on-line Chat

Product Details

Uniprot No.
Target Names
Alternative Names
BMP 11 antibody; BMP-11 antibody; BMP11 antibody; Bone morphogenetic protein 11 antibody; GDF 11 antibody; GDF-11 antibody; Gdf11 antibody; GDF11_HUMAN antibody; Growth differentiation factor 11 antibody; Growth/differentiation factor 11 antibody
Species Reactivity
Human
Immunogen
A synthesized peptide from human GDF11 protein
Immunogen Species
Homo sapiens (Human)
Conjugate
Non-conjugated
Clonality
Monoclonal
Isotype
Rabbit IgG
Clone No.
10B4
Purification Method
Affinity-chromatography
Concentration
It differs from different batches. Please contact us to confirm it.
Buffer
Rabbit IgG in 10mM phosphate buffered saline , pH 7.4, 150mM sodium chloride, 0.05% BSA, 0.02% sodium azide and 50% glycerol.
Form
Liquid
Tested Applications
ELISA, WB, IHC, FC
Recommended Dilution
Application Recommended Dilution
WB 1:500-1:5000
IHC 1:50-1:200
FC 1:50-1:200
Troubleshooting and FAQs
Storage
Upon receipt, store at -20°C or -80°C. Avoid repeated freeze.
Lead Time
Basically, we can dispatch the products out in 1-3 working days after receiving your orders. Delivery time maybe differs from different purchasing way or location, please kindly consult your local distributors for specific delivery time.
Usage
For Research Use Only. Not for use in diagnostic or therapeutic procedures.

Customer Reviews and Q&A

 Customer Reviews

There are currently no reviews for this product.

Submit a Review here

Target Background

Function
Secreted signal that acts globally to regulate anterior/posterior axial patterning during development. May play critical roles in patterning both mesodermal and neural tissues. It is required for proper vertebral patterning and orofacial development. Signals through activin receptors type-2, ACVR2A and ACVR2B, and activin receptors type-1, ACVR1B, ACVR1C and TGFBR1 leading to the phosphorylation of SMAD2 and SMAD3.
Gene References into Functions
  1. The serum content of GDF11 was much less in esophageal cancer patients than in the control group. Esophageal GDF II in cancer patients was correlated with cancer differentiation: the higher the degree of differentiation, the higher the content of GDF11. PMID: 30213293
  2. Physical inactivity was significantly related to the decreased GDF11 levels in COPD. PMID: 29731621
  3. GDF11 expression was decreased in COPD patients' serum and cells when compared with that of healthy people. PMID: 29680737
  4. GDF11 may be a relevant myostatin-interacting peptide to successful aging in humans PMID: 28701523
  5. The Growth Differentiation Factor 11 (GDF11) and Myostatin (MSTN) in tissue specific aging. PMID: 28472635
  6. Tumor-suppressor inactivation of GDF11 occurs by precursor sequestration in triple-negative breast cancer PMID: 29161592
  7. These studies identify distinctive structural features of GDF11 that enhance its potency, relative to GDF8; however, the biological consequences of these differences remain to be determined. PMID: 28257634
  8. In elderly Chinese women, osteoporosis risk was significantly increased with increases in GDF11 serum levels. PMID: 27557752
  9. A Prodomain Fragment from the Proteolytic Activation of Growth Differentiation Factor 11 Remains Associated with the Mature Growth Factor and Keeps It Soluble PMID: 28715204
  10. MSTN, but not GDF11, declines in healthy men throughout aging. PMID: 27304512
  11. GDF11 is highly concentrated in human platelets. PMID: 27509407
  12. The crystal structure of GDF11 was determined to a resolution of 1.50 A. PMID: 26919518
  13. GDF11 is essential for mammalian development and has been suggested to regulate aging of multiple tissues. It functions in the heart, skeletal muscle, and brain. Review. PMID: 27034275
  14. GDF11 inhibits rather than helps muscle regeneration. PMID: 26001423
  15. Show that there is no age-related cardiac hypertrophy in disease-free 24-month-old C57BL/6 mice and that restoring GDF11 in old mice has no effect on cardiac structure or function. PMID: 26383970
  16. in vitro sprout formation was increased as well by GDF11 treatment PMID: 26026854
  17. Suggest GDF11 functions as encephalic regionalizing factor in neural differentiated mouse embryonic stem cells. PMID: 25352416
  18. GDF11 is a critical rheostat for bone turnover and a key integrator of bone homeostasis. PMID: 25534870
  19. These data demonstrate GDF11 to be a master regulator of neural stem cell transcription that can suppress cell proliferation and migration by regulating the expression of numerous genes involved in both these processes PMID: 24244313
  20. Expression of GDF11, a cytokine which blocks terminal erythroid maturation, was increased in erthyroblasts of thalassemic patients. PMID: 24658077
  21. Quantitative real-time reverse transcription-PCR in colorectal cancer specimens obtained from 130 patients showed that GDF11 mRNA expression in cancer tissue was significantly higher than in normal tissue PMID: 17912435
  22. Members of the transforming growth factor beta (TGFbeta) superfamily, bone morphogenetic protein 2 (BMP2), and growth and differentiation factor 11 (GDF11), can signal cultured RGCs to form dendrites. PMID: 17997109
  23. We propose that Pcsk5, at least in part via GDF11, coordinately regulates caudal Hox paralogs, to control anteroposterior patterning, nephrogenesis, skeletal, and anorectal development. PMID: 18519639
  24. Differential antagonism of activin, myostatin and growth and differentiation factor 11 by wild-type and mutant follistatin. PMID: 18535106
  25. Both WFIKKN1 and WFIKKN2 have high affinity for growth and differentiation factors 8 and 11. PMID: 18596030
  26. Myostatin or 20 ng/mL BMP-11 maintain the colony and cellular morphology of undifferentiated hESC, maintain POU5f1, NANOG, TRA-1-60, and SSEA4 expression, and display increased SMAD2/3 phosphorylation PMID: 19751112

Show More

Hide All

Subcellular Location
Secreted.
Protein Families
TGF-beta family
Tissue Specificity
In the embryo, strong expression is seen in the palatal epithelia, including the medial edge epithelial and midline epithelial seam of the palatal shelves. Less pronounced expression is also seen throughout the palatal shelf and tongue mesenchyme.
Database Links

HGNC: 4216

OMIM: 603936

KEGG: hsa:10220

STRING: 9606.ENSP00000257868

UniGene: Hs.600883

icon of phone
Call us
301-363-4651 (Available 9 a.m. to 5 p.m. CST from Monday to Friday)
icon of address
Address
7505 Fannin St., Ste 610, Room 7 (CUBIO Innovation Center), Houston, TX 77054, USA
icon of social media
Join us with

Subscribe newsletter

Leave a message

* To protect against spam, please pass the CAPTCHA test below.
CAPTCHA verification
© 2007-2025 CUSABIO TECHNOLOGY LLC All rights reserved. 鄂ICP备15011166号-1
×
Place an order now

I. Product details

*
*
*
*

II. Contact details

*
*

III. Ship To

*
*
*
*
*
*
*

IV. Bill To

*
*
*
*
*
*
*
*