IFNA1 Recombinant Monoclonal Antibody

Code CSB-RA365592MA1HU
Size US$210
Order now
Image
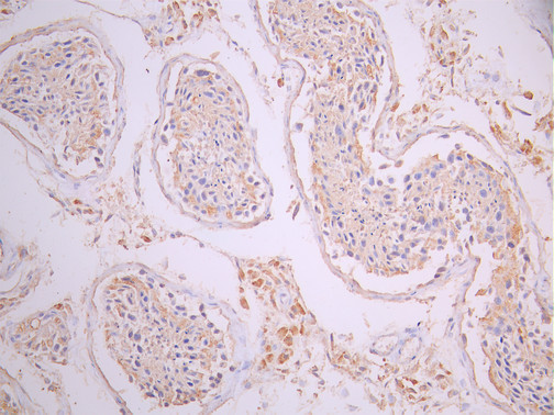
  • IHC image of CSB-RA365592MA1HU diluted at 1:50 and staining in paraffin-embedded human testis tissue performed on a Leica BondTM system. After dewaxing and hydration, antigen retrieval was mediated by high pressure in a citrate buffer (pH 6.0). Section was blocked with 10% normal goat serum 30min at RT. Then primary antibody (1% BSA) was incubated at 4°C overnight. The primary is detected by a Anti-Human lgG, Fcy Fragment Specific labeled by HRP and visualized using 0.05% DAB.
  • Overlay Peak curve showing Hela cells stained with CSB-RA365592MA1HU (red line) at 1:100. The cells were fixed in 4% formaldehyde and permeated by 0.2% TritonX-100 for 10min. Then 10% normal goat serum to block non-specific protein-protein interactions followed by the antibody (1ug/1*106cells) for 45min at 4℃. The secondary antibody used was Fluorescein (FITC) AffiniPure Goat Anti-Human IgG, Fcγ fragment specific at 1:200 dilution for 35min at 4℃.Control antibody (green line) was human IgG1 (1ug/1*106cells) used under the same conditions. Acquisition of >10,000 events was performed.
  • The Binding Activity of Human IFNA1 with Anti-IFNA1 recombinant antibody
    Activity: Measured by its binding ability in a functional ELISA.Immobilized Human IFNA1(CSB-MP365592HU) at 2 μg/mL can bind Anti-IFNA1 recombinant antibody. The EC50 is 12.11-13.37 ng/mL.
Have Questions? Leave a Message or Start an on-line Chat

Product Details

Uniprot No.
Target Names
Alternative Names
IFL antibody; IFN alpha antibody; IFN alpha 1/13 antibody; IFN alpha 1b antibody; IFN alphaD antibody; IFN antibody; IFN-alpha-1/13 antibody; IFNA@ antibody; IFNA1 antibody; IFNA1_HUMAN antibody; IFNA13 antibody; Interferon alpha 1 antibody; Interferon alpha-1/13 antibody; Interferon alpha-D antibody; Interferon alpha1 antibody; Interferon, alpha 13 antibody; LeIF D antibody
Species Reactivity
Human
Immunogen
Recombinant Human IFNA1 protein
Immunogen Species
Homo sapiens (Human)
Conjugate
Non-conjugated
Clonality
Monoclonal
Isotype
hIgG1
Clone No.
21A11
Purification Method
Affinity-chromatography
Concentration
It differs from different batches. Please contact us to confirm it.
Buffer
Preservative: 0.03% Proclin 300
Constituents: 50% Glycerol, 0.01M PBS, PH 7.4
Form
Liquid
Tested Applications
ELISA, IHC, FC
Recommended Dilution
Application Recommended Dilution
IHC 1:50-1:200
FC 1:50-1:200
Troubleshooting and FAQs
Storage
Upon receipt, store at -20°C or -80°C. Avoid repeated freeze.
Lead Time
Basically, we can dispatch the products out in 1-3 working days after receiving your orders. Delivery time maybe differs from different purchasing way or location, please kindly consult your local distributors for specific delivery time.
Usage
For Research Use Only. Not for use in diagnostic or therapeutic procedures.

Customer Reviews and Q&A

 Customer Reviews

There are currently no reviews for this product.

Submit a Review here

Target Background

Function
Produced by macrophages, IFN-alpha have antiviral activities. Interferon stimulates the production of two enzymes: a protein kinase and an oligoadenylate synthetase.
Gene References into Functions
  1. SOCS2 impairs IFN/JAK/STAT signaling through reducing the stability of tyrosine kinase 2 (TYK2), downregulating the expression of type I and III IFN receptors, attenuating the phosphorylation and nucleus translocation of STAT1. PMID: 28496097
  2. Significant associations were observed for 4 variants in IFNAR2, IFNLR1 with hepatitis B virus infection, and IFNLR1-rs4649203 was associated with hepatitis B recovery. Moreover, the authors demonstrated the clear relevance of 5 polymorphisms in IFNA1, IFNA2, IFNL4 with hepatocellular carcinoma. PMID: 29080269
  3. HIV-1 IIIB infection of myeloid ThP-1 cells also reduced the IFN-alpha-mediated induction of the anti-viral gene, ISG15, but not MxA, revealing a functional consequence of this HIV-1-mediated immune evasion strategy. PMID: 29580840
  4. Therefore, these results demonstrate the importance of MxB in alpha interferon-mediated inhibition of HIV-1 infection. PMID: 29925663
  5. Our results illustrate a novel regulatory role of TWEAK, in which its activity positively regulates type I IFN pathway in lupus nephritis (LN) based on preclinical models. Our findings suggest TWEAK could act as a critical target in preventing renal damage in patients with LN. PMID: 29333443
  6. Myeloid cells contribute more to the whole blood interferon signature in systemic lupus erythematosus than their lymphocytic counterpart. Very similar leukocyte subsets reveal distinctive IFN signatures. IFN alpha mixes up composition of blood and leads to a preferential neutropenia, yielding relative lymphocytosis. PMID: 28357476
  7. the polymorphic variant of IFNA1 (-2) gene is associated with chronic HBV infection PMID: 27101083
  8. Cerebrospinal fluid interferon alpha levels correlate with neurocognitive impairment in ambulatory HIV-Infected individuals. PMID: 27400930
  9. Data suggest a central role of XBP1 in TLR7-induced IFNalpha production and identify XBP1 as a potential novel therapeutic target in IFNalpha-driven autoimmune and inflammatory diseases. PMID: 28408069
  10. Study shows IFN-alpha rapidly induces a profound shift in whole brain network structure, impairing global functional connectivity and the efficiency of parallel information exchange. PMID: 26697999
  11. The review focuses on the value of the type I and III interferon subtypes (alphas, beta and lambdas) as therapeutics for prevention and treatment of viral infections (influenza, herpes, human immunodeficiency virus and hepatitis viruses). PMID: 27544015
  12. MiR-181a is an important mediator for interferons-induced SAMHD1 expression in astrocytes and microglia, but not for inhibition of HIV-1 infection induced by IFN-alpha. PMID: 27219130
  13. the expression of certain TAM components was reduced as a result of prolonged degradation of MYD88 by Porphyromonas gingivalis infection. PMID: 28076786
  14. Type I interferons (IFNs) signature is seen in a significant proportion of anti-nuclear antibody-positive (ANA(+) individuals and appears to be associated with ANA titre and type of autoantibodies, rather than with the presence or development of clinical systemic autoimmune rheumatic diseases (SARDs) symptoms. PMID: 28245862
  15. study found that endogenous IFNalpha autocrinally promotes the expression of Interferon-Stimulated Gene (ISG) mRNAs in IL-3-, but not in IFNlambda3 plus IL-3-, treated plasmacytoid dendritic cells (pDCs); production of IFNalpha by IFNlambda3 plus IL-3-treated pDCs is mostly dependent on endogenously produced TNFalpha PMID: 27513213
  16. results demonstrate that Sphingosine 1-phosphate lyase (SPL) is a host factor that augments type I IFN responses during influenza A virus infection; study delineates the relationship between IKKepsilon and SPL, which provides a mechanistic understanding of the pro-IFN activity of SPL PMID: 28600291
  17. These data suggest that plasmacytoid dendritic cells producing IFN-alpha and IL-33 play a pivotal role in the chronic fibro-inflammatory responses underlying murine autoimmune pancreatitis and human IgG4-related autoimmune pancreatitis. PMID: 28373582
  18. These findings also identify STAT3 as a therapeutic target against viral infection and highlight it as an essential pathway component for endogenous and therapeutic IFN-alpha responsiveness. PMID: 27988795
  19. Mothers of children affected by autoimmune congenital heart block had a significantly higher expression IFN-alpha. PMID: 28501799
  20. Suppression of the exogenous Type I IFN-induced Jak/STAT signaling by NSs might be one of the mechanisms of Severe fever with thrombocytopenia syndrome (SFTS) to evade host immune surveillance. PMID: 28234991
  21. the paper shows the data on the role of interferons -alpha and -beta in infections - not only commonly known viral infections, but also bacterial, fungal and parasitic. PMID: 28388697
  22. High Type I Interferon expression due to hypomethylation is associated with Systemic Lupus Erythematosus. PMID: 28085900
  23. these studies identify phosphorylation of S734-STAT2 as a new regulatory mechanism that negatively controls the type I IFN-antiviral response. PMID: 27802159
  24. The synthetic IFNP molecule exerted its antitumor activity by upregulating the downstream genes involved in the STAT1 pathway and in apoptosis. Using a cell receptor binding assay, we showed that this Jurkat-binding peptide facilitated the binding affinity of IFNalpha to the cell surface type I IFN receptor PMID: 28578326
  25. KSHV-encoded viral IRF4 interacts with the host IRF7 and inhibits interferon-alpha production. PMID: 28342865
  26. Data indicate ARID3a(+) B cells as a type of effector B cell, and link ARID3a expression in B lymphocytes to interferon alpha (IFNa)-associated inflammatory responses in systemic lupus erythematosus (SLE). PMID: 27522115
  27. On one hand, hepatitis B virus activates MMP-9 in infected patients and leukocytes. On the other hand, MMP-9 facilitates hepatitis B virus replication through repressing IFN/JAK/STAT signaling, IFNAR1 function, and IFN-alpha action. PMID: 28122987
  28. Interferon-alpha Induces the apoptosis of Hela cells by activating both the intrinsic mitochondrial pathway and endoplasmic reticulum stress-induced pathway. PMID: 27827850
  29. Decreased interferon alpha (IFN-alpha) secretion induced by Toll-like receptor 7 and Toll-like receptor 8 (TLR7/TLR8) activation was observed in common variable immunodeficiency (CVID), which was recovered with Toll-like receptor 9 (TLR9) signaling. PMID: 27392462
  30. Plasmacytoid dendritic cells (pDCs) and type 1 interferon (FNalpha/beta)frequently accompanied plasmablast/plasma cells (PB/PCs). PMID: 27102764
  31. These results establish that activation of STAT pathway is essential for anti-hepatitis c virus efficacy of IFN-alpha. PMID: 27855377
  32. IL-2 therapy should be used as a first- or second-line therapy following IFN-a therapy. IL-2 may have a lower response if it is used after molecular-targeted therapy or other treatments PMID: 27630356
  33. results show that IFNA1 rs1332190 and IFNA17 rs9298814 SNPs may play an important role in Crimean-Congo hemorrhagic fever susceptibility PMID: 26694082
  34. Interferon-alpha-induced TRIM22 interrupts hepatitis c virus replication by ubiquitinating NS5A. PMID: 25683609
  35. our data indicate that by targeting PTP1B, miR-744 plays a feed-forward role in regulating type I IFN signaling pathway. PMID: 26259828
  36. the findings demonstrate that treatment with anti-CD20-hIFNalpha reverses resistance of B-NHL PMID: 26398317
  37. NS of severe fever with thrombocytopenia syndrome virus inhibited the activity of IFN-alpha1, IFN-beta, IFN-lambda1 and IFN-lambda2 through inhibition of STAT1 phosphorylation. PMID: 26353965
  38. interferon (IFN)-alpha, weakens activation of the anti-bacterial interleukin (IL)-1/IL-22 axis in human peripheral blood mononuclear cells exposed to viable B. burgdorferi PMID: 26152778
  39. Shp-2 contributes to the control of respiratory syncytial virus replication and progeny production in pulmonary alveolar epithelial cells by interfering with IFN-alpha-induced Jak/Stat1 pathway activation PMID: 26119280
  40. Interferon alfa induces high response rates with low toxicity in patients with polycythemia vera. PMID: 26261238
  41. This study suggests that suppression of miR-122 induced by hepatitis B virus infection, leads to the inactivation of interferon expression, which in turn enhances hepatitis B virus replication. PMID: 25766860
  42. Data suggest that Viral microRNA hcmv-miR-UL112 subverts innate immunity by downregulating type I interferons IFN-alpha and IFN-beta signaling to inhibit natural killer (NK) cell cytotoxicity. PMID: 25530545
  43. Interferon-alpha and interferon-beta are at the crossroads of allergy and viral infections. (Review) PMID: 26026068
  44. The interaction between AIP and IRF7 is enhanced upon virus infection, and AIP potently inhibits IRF7-induced type I IFN (IFN-alpha/beta) production. PMID: 25911105
  45. Interferon-alpha inhibits CD4 T cell responses to interleukin-7 and interleukin-2 and selectively interferes with Akt signaling. PMID: 25784743
  46. Data show that chemokine CXCL13 production by monocytes required toll-like receptor 7 activation and secretion of interferon-alpha. PMID: 25667414
  47. Studies indicate that type I interfereon signaling cascade is initiated by the binding of the cytokines to the high-affinity interferon alpha receotor. PMID: 25747907
  48. Results show that histone-lysine N-methyltransferase Set7 facilitates hepatitis C virus (HCV) replication through the attenuation of interferon-alpha (IFN-alpha) signaling pathways and IFN-related effectors. PMID: 25681344
  49. Domain 2 of the hepatitis C virus core protein critically affected the magnitude of host IFN-alpha responses. PMID: 25552725
  50. Hepatitis C virus NS3-4A similarly diminished both human and mouse MAVS-dependent signaling in human and mouse cells and MAVS induces both type I and type III interferons, which together control the hepatitis C virus replication. PMID: 25609814

Show More

Hide All

Subcellular Location
Secreted.
Protein Families
Alpha/beta interferon family
Database Links

HGNC: 5417

OMIM: 147578

KEGG: hsa:3439

STRING: 9606.ENSP00000276927

UniGene: Hs.37026

CUSABIO guaranteed quality
icon of phone
Call us
301-363-4651 (Available 9 a.m. to 5 p.m. CST from Monday to Friday)
icon of address
Address
7505 Fannin St., Ste 610, Room 7 (CUBIO Innovation Center), Houston, TX 77054, USA
icon of social media
Join us with

Subscribe newsletter

Leave a message

* To protect against spam, please pass the CAPTCHA test below.
CAPTCHA verification
© 2007-2026 CUSABIO TECHNOLOGY LLC All rights reserved. 鄂ICP备15011166号-1
Place an order now

I. Product details

*
*
*
*

II. Contact details

*
*

III. Ship To

*
*
*
*
*
*
*

IV. Bill To

*
*
*
*
*
*
*
*