IRF3 Recombinant Monoclonal Antibody

Code CSB-RA442967A0HU
Size US$210
Order now
Image
  • Flow cytometric analysis of Interferon regulatory factor 3 expression in HepG2 cells using Interferon regulatory factor 3 antibody. Green, isotype control; red, Interferon regulatory factor 3.
  • Immunocytochemical staining of HepG2 cells with Interferon regulatory factor 3 antibody. Nuclei were stained blue with DAPI; Interferon regulatory factor 3 was stained magenta with Alexa Fluor® 647. Images were taken using Leica stellaris 5. Protein abundance based on laser Intensity and smart gain: Low. Scale bar: 20 μm.
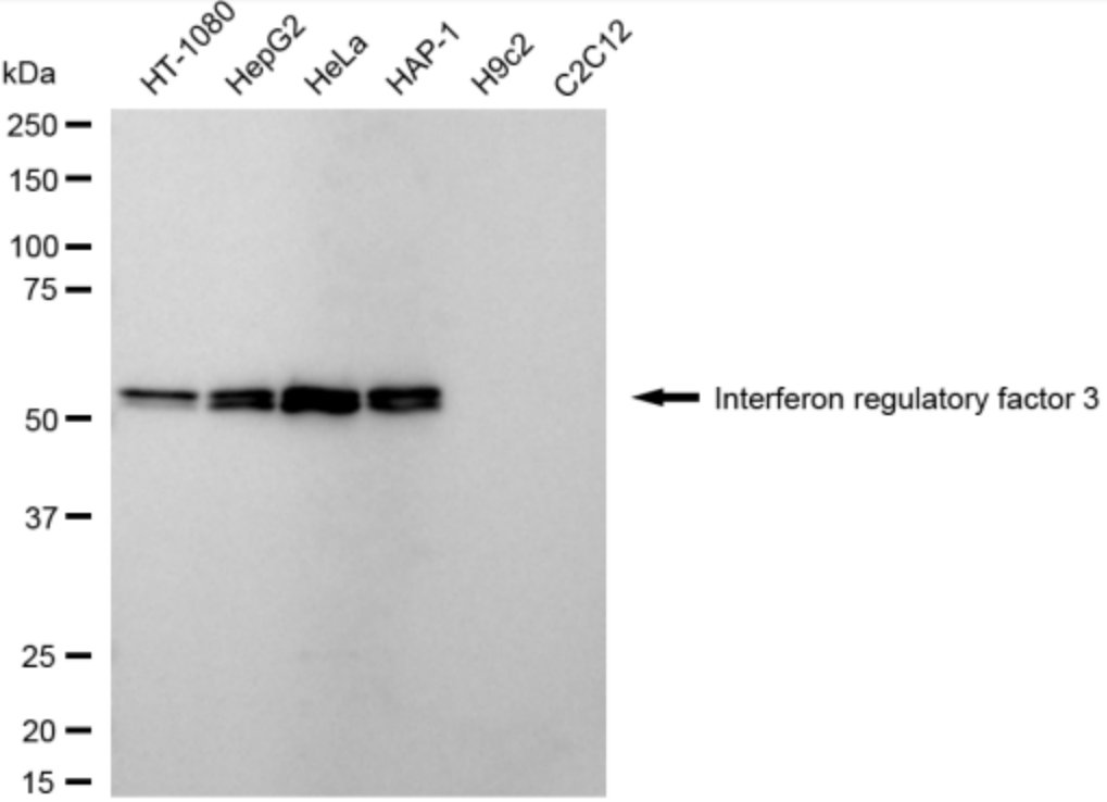
  • Western blotting analysis using Interferon regulatory factor 3 antibody. Total cell lysates (30 μg) from various cell lines were loaded and separated by SDS-PAGE. The blot was incubated with Interferon regulatory factor 3 antibody and HRP-conjugated goat anti-rabbit secondary antibody respectively.
Have Questions? Leave a Message or Start an on-line Chat

Product Details

Uniprot No.
Target Names
Alternative Names
IRF3; Interferon Regulatory Factor 3; IIAE7; IRF-3
Species Reactivity
Human
Immunogen
Recombinant Human IRF3 protein
Immunogen Species
Homo sapiens (Human)
Conjugate
Non-conjugated
Clonality
Monoclonal
Isotype
Rabbit IgG
Clone No.
13H11
Purification Method
Affinity-chromatography
Concentration
It differs from different batches. Please contact us to confirm it.
Buffer
Rabbit IgG in PBS (pH 7.4) containing 50% glycerol, and 0.02% sodium azide.
Form
Liquid
Tested Applications
ELISA, WB, FC, ICC
Recommended Dilution
Application Recommended Dilution
WB 1:1000-1:5000
FC 1:200-1:2000
ICC 1:100-1:1000
Troubleshooting and FAQs
Storage
Upon receipt, store at -20°C or -80°C. Avoid repeated freeze.
Lead Time
Basically, we can dispatch the products out in 1-3 working days after receiving your orders. Delivery time maybe differs from different purchasing way or location, please kindly consult your local distributors for specific delivery time.
Usage
For Research Use Only. Not for use in diagnostic or therapeutic procedures.

Customer Reviews and Q&A

 Customer Reviews

There are currently no reviews for this product.

Submit a Review here

Target Background

Function
Key transcriptional regulator of type I interferon (IFN)-dependent immune responses which plays a critical role in the innate immune response against DNA and RNA viruses. Regulates the transcription of type I IFN genes (IFN-alpha and IFN-beta) and IFN-stimulated genes (ISG) by binding to an interferon-stimulated response element (ISRE) in their promoters. Acts as a more potent activator of the IFN-beta (IFNB) gene than the IFN-alpha (IFNA) gene and plays a critical role in both the early and late phases of the IFNA/B gene induction. Found in an inactive form in the cytoplasm of uninfected cells and following viral infection, double-stranded RNA (dsRNA), or toll-like receptor (TLR) signaling, is phosphorylated by IKBKE and TBK1 kinases. This induces a conformational change, leading to its dimerization and nuclear localization and association with CREB binding protein (CREBBP) to form dsRNA-activated factor 1 (DRAF1), a complex which activates the transcription of the type I IFN and ISG genes. Can activate distinct gene expression programs in macrophages and can induce significant apoptosis in primary macrophages. In response to Sendai virus infection, is recruited by TOMM70:HSP90AA1 to mitochondrion and forms an apoptosis complex TOMM70:HSP90AA1:IRF3:BAX inducing apoptosis. Key transcription factor regulating the IFN response during SARS-CoV-2 infection.
Gene References into Functions
  1. Reduced GATA-1 could be responsible for the upregulation of IRF-3 in lung adenocarcinoma cells through binding with a specific domain of IRF-3 promoter. PMID: 28566697
  2. STING-IRF3 pathway promotes hepatocyte injury and dysfunction by inducing inflammation and apoptosis and by disturbing glucose and lipid metabolism. PMID: 29106945
  3. beta-catenin interacted with IRF3 and blocked its nuclear translocation. PMID: 30004146
  4. Upregulation of endogenous SAMHD1 expression is attributed to the phosphorylation and nuclear translocation of IRF3. PMID: 27411355
  5. In this work, the authors found that differences in type 1 interferon production by T1 and T3 reoviruses correlate with differential IRF3 activation. PMID: 29437975
  6. Proteins 8b and 8ab of severe acute respiratory syndrome coronavirus physically interact with IRF3 and in induced degradation of IRF3 in a ubiquitin-proteasome-dependent manner. PMID: 29294448
  7. Our results highlight the importance of IRF3 and type-I IFNs signaling for the pro-apoptotic effects induced by RA and synthetic dsRNA in breast cancer cells. PMID: 28409399
  8. In the current study, we studied the role of MITA (Mediator of IRF3 Activation), a regulator of innate immunity, in the regulation of autophagy and its implication in cell death of breast cancer cells. Here, we report that MITA inhibits the fusion of autophagosome with lysosome as evident from different autophagy flux assays PMID: 28366813
  9. New research suggests that altering a subset of extracellular matrix factors, including interferon regulatory factor (IRF)3 and casein kinase (CK)2, may decrease the migratory potential of these aggressive tumors. PMID: 28774478
  10. IRF-3 gene polymorphisms were associated with the susceptibility and prognosis of CLL, it can be used as an auxiliary index for clinical detection of CLL. PMID: 27348780
  11. Clarithromycin acts a crucial modulator of the innate immune response, particularly IFN production, by modulating IRF-3 dimerization and subsequent translocation to the nucleus of airway epithelial cells. PMID: 27468646
  12. c-Cbl negatively regulates IFN-beta signaling and cellular antiviral response by promoting IRF3 ubiquitination and degradation. PMID: 27503123
  13. data describe an unappreciated role for EAP30 in IRF3-dependent innate antiviral response in the nucleus. PMID: 29084253
  14. IRF-3 is an important regulator of ORMDL3 induction following RSV infection by binding directly to the promoter of ORMDL3 PMID: 28336364
  15. above findings suggest that ATG5-ATG12 positively regulate anti-viral NF-kappaB and IRF3 signaling during FMDV infection, thereby limiting FMDV proliferation. FMDV has evolved mechanisms to counteract the antiviral function of ATG5-ATG12, via degradation of them by viral protein 3C(pro). PMID: 28102839
  16. NEMO-IKKbeta Are Essential for IRF3 and NF-kappaB Activation in the cGAS-STING Pathway PMID: 28939760
  17. these data suggest that HNSs, an antagonist of host innate immunity, interacts with TBK1 and thereby hinders the association of TBK1 with its substrate IRF3, thus blocking IRF3 activation and transcriptional induction of the cellular antiviral responses. PMID: 28848048
  18. IRF3 is a major transcriptional regulator of adipose inflammation and is involved in maintaining systemic glucose and energy homeostasis PMID: 27400129
  19. this study shows that IRF-3-mediated apoptosis of virus-infected cells could be an effective antiviral mechanism, without expression of the interferon-stimulated genes PMID: 27178468
  20. Data in this study show that cFLIPL inhibits IFN regulatory factor 3 (IRF3), a transcription factor central for IFN-beta and IFN-stimulated gene expression. PMID: 27342840
  21. 1,8-cineole potentiates the antiviral activity of IRF3 in addition to its inhibitory effect on proinflammatory NF-kappaB signaling in an ex vivo model of rhinosinusitis. PMID: 27129189
  22. TBK1 complexes required for the phosphorylation of IRF3 and the production of interferon-beta have been identified. PMID: 28159912
  23. RIG-I-like receptor-induced IRF3 mediated pathway of apoptosis (RIPA): a new antiviral pathway PMID: 27815826
  24. cGAs recognizes bacterial/viral DNA, and is a strong activator of STING that can further activate IRF3 and subsequent type I interferon production. (Review) PMID: 27696330
  25. IRF3 overexpression in Acute myeloid leukemia (AML) promotes cell growth and survival, and miR-155 is involved, indicating that IRF3 may be a potential new biomarker and therapeutic target for AML. PMID: 27530922
  26. down-regulation of IRF3 inhibited the proliferation and extracellular matrix expression in keloid fibroblasts. PMID: 28192879
  27. rotavirus NSP1 (nonstructural protein 1) employs a pLxIS motif to target IRF-3 for degradation, but phosphorylation of NSP1 is not required for its activity. These results suggest a concerted mechanism for the recruitment and activation of IRF-3 that can be subverted by viral proteins to evade innate immune responses. PMID: 27302953
  28. Highly pathogenic Porcine reproductive and respiratory syndrome virus modulates Interferon-beta expression mainly through attenuating IRF-3 phosphorylation. PMID: 27314873
  29. Data suggest that molecular chaperone GRP78 contributes to toll-like receptor-3 (TLR3)-mediated, interferon regulatory factor 3 protein (IRF3)-dependent innate immune response to hepatitis C virus (HCV) in hepatocytes. PMID: 27129228
  30. Findings suggest a common and conserved mechanism through which highly pathogenic MERS-CoV and SARS-CoV harness their M proteins to suppress type I IFN expression at the level of TBK1-dependent phosphorylation and activation of IRF3 resulting in evasion of the host innate antiviral response. PMID: 27094905
  31. observations suggest IRF3 may function as a novel regulator to modulate TGF-beta1-induced LX-2 proliferation, at least in part, via AKT signaling pathway PMID: 26611114
  32. FAF1 plays a novel role in negatively regulating virus-induced IFN-beta production and the antiviral response by inhibiting the translocation of active, phosphorylated IRF3 from the cytosol to the nucleus PMID: 26811330
  33. the LxxLL motifs of IRF3 binds within the hydrophobic pocket of E6, precluding Ser-patch phosphorylation, necessary for IRF3 activation and interferon induction. PMID: 26289783
  34. the suppression of type I IFN production by HTLV-1 Tax through interaction with and inhibition of TBK1 kinase that phosphorylates IRF3 PMID: 26819312
  35. The authors found that Ca(2+) signaling associated with membrane perturbation and recognition of incoming viral genomes by cytosolic nucleic acid receptors are required to activate IRF3 in response to Sendai virus and human cytomegalovirus. PMID: 26719279
  36. Study identifies crosstalk between PTEN and IRF3 in tumor suppression and innate immunity. PMID: 26692175
  37. Viral infection induced DAPK1-IRF7 and DAPK1-IRF3 interactions and overexpression of DAPK1 enhanced virus-induced activation of the interferon-stimulated response element (ISRE) and IFN-beta promoters and the expression of the IFNB1 gene. PMID: 24531619
  38. TEL-AML1 fusion protein blocks B-cell differentiation and downregulates the IRF3-IFNalpha/beta pathway by modulating expression and phosphorylation of IRF3 in human primary hematopoietic precursor cells. PMID: 25893288
  39. The expression levels of IRF3 were not different between CHB patients and healthy controls. PMID: 26058929
  40. results revealed a new paradigm in which the antiviral host factor, IRF3, plays a cell-intrinsic pro-parasitic role. PMID: 25811886
  41. The results of this study suggested that IRF3 is likely a risk gene for schizophrenia, at least in Caucasians. PMID: 25843157
  42. induction of miR-576-3p by IRF3 triggers a feedback mechanism to reduce interferon expression and set an antiviral response threshold to likely avoid excessive inflammation PMID: 25232931
  43. The present study indicated that HSPD1 interacted with IRF3 and it contributed to the induction of IFN-beta. PMID: 25506707
  44. The identification of IRF3 deficiency in HSE provides the first description of a defect in an IFN-regulating transcription factor conferring increased susceptibility to a viral infection in the CNS in humans. PMID: 26216125
  45. The data show that SARS coronavirus PLpro also inhibits IRF3 activation at a step after phosphorylation and that this inhibition is dependent on the de-ubiquitination (DUB) activity of PLpro. PMID: 25481026
  46. The presence of TLR3 and IRF-3 in both human normal and PCa clinical samples, potentially envisaging poly I:C-based therapy for PCa. PMID: 25444175
  47. study demonstrates HSV-2 US1 inhibits production of IFN-beta by suppressing activation of IFN-beta promoter by interfering with the association of nuclear IRF-3 with IRF-3-responsive domain of the the IFN-beta promoter PMID: 25712217
  48. Our results demonstrate for the first time that IRF3 and IRF7 are both involved in inducing TLR4-dependent IFN-beta expression in response to HSV-2 in its primary infected genital epithelial cells PMID: 24722640
  49. Collectively, this study characterizes a novel protein complex, Tom70/Hsp90/IRF3/Bax, that is important for Sendai virus-induced apoptosis. PMID: 25609812
  50. stable activation during respiratory syncytial virus infection requires both RIG-1 and MDA5 PMID: 24800889

Show More

Hide All

Involvement in disease
Herpes simplex encephalitis 7 (HSE7)
Subcellular Location
Cytoplasm. Nucleus. Mitochondrion.
Protein Families
IRF family
Tissue Specificity
Expressed constitutively in a variety of tissues.
Database Links

HGNC: 6118

OMIM: 603734

KEGG: hsa:3661

STRING: 9606.ENSP00000310127

UniGene: Hs.289052

icon of phone
Call us
301-363-4651 (Available 9 a.m. to 5 p.m. CST from Monday to Friday)
icon of address
Address
7505 Fannin St., Ste 610, Room 7 (CUBIO Innovation Center), Houston, TX 77054, USA
icon of social media
Join us with

Subscribe newsletter

Leave a message

* To protect against spam, please pass the CAPTCHA test below.
CAPTCHA verification
© 2007-2025 CUSABIO TECHNOLOGY LLC All rights reserved. 鄂ICP备15011166号-1
×
Place an order now

I. Product details

*
*
*
*

II. Contact details

*
*

III. Ship To

*
*
*
*
*
*
*

IV. Bill To

*
*
*
*
*
*
*
*