L1CAM Recombinant Monoclonal Antibody

Code CSB-RA012704MA1HU
Size US$210
Order now
Image
  • The Binding Activity of Macaca fascicularis L1CAM with Anti-L1CAM recombinant antibody
    Activity: Measured by its binding ability in a functional ELISA.Immobilized Macaca fascicularis L1CAM(CSB-MP6775MOV) at 2 μg/mL can bind Anti-L1CAM recombinant antibody. The EC50 is 1.496-1.709 ng/mL.
  • The Binding Activity of Human L1CAM with Anti-L1CAM recombinant antibody
    Activity: Measured by its binding ability in a functional ELISA.Immobilized Human L1CAM(CSB-MP012704HU1) at 2 μg/mL can bind Anti-L1CAM recombinant antibody. The EC50 is 5.356-6.664 ng/mL.
  • The Binding Activity of Mouse L1cam with Anti-L1CAM recombinant antibody
    Activity: Measured by its binding ability in a functional ELISA.Immobilized Mouse L1cam(CSB-MP012704MO) at 2 μg/mL can bind Anti-L1CAM recombinant antibody. The EC50 is 1.827-2.141 ng/mL.
  • Western Blot
    Positive WB detected in: HT29 whole cell lysate(30µg)
    All lanes: L1CAM antibody at 1:1000
    Secondary
    Goat polyclonal to human IgG at 1/40000 dilution
    Predicted band size: 140 kDa
    Observed band size: 200 kDa
    Exposure time: 2min
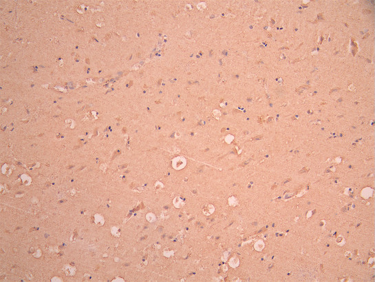
  • IHC image of CSB-RA012704MA1HU diluted at 1:50 and staining in paraffin-embedded human brain tissue performed on a Leica BondTM system. After dewaxing and hydration, antigen retrieval was mediated by high pressure in a citrate buffer (pH 6.0). Section was blocked with 10% normal goat serum 30min at RT. Then primary antibody (1% BSA) was incubated at 4°C overnight. The primary is detected by a Anti-Human lgG, Fcy Fragment Specific labeled by HRP and visualized using 0.05% DAB.
  • Overlay Peak curve showing Hela cells stained with CSB-RA012704MA1HU (red line) at 1:100. The cells were fixed in 4% formaldehyde and permeated by 0.2% TritonX-100 for 10min. Then 10% normal goat serum to block non-specific protein-protein interactions followed by the antibody (1ug/1*106cells) for 45min at 4℃. The secondary antibody used was Fluorescein (FITC) AffiniPure Goat Anti-Human IgG, Fcγ fragment specific at 1:200 dilution for 35 min at 4℃.Control antibody (green line) was human IgG1a (1ug/1*106cells) used under the same conditions. Acquisition of >10,000 events was performed.
Have Questions? Leave a Message or Start an on-line Chat

Product Details

Uniprot No.
Target Names
Alternative Names
Antigen identified by monoclonal antibody R1 antibody; CAML1 antibody; CD171 antibody; CD171 antigen antibody; HSAS antibody; HSAS1 antibody; Hyd antibody; L1 antibody; L1 cell adhesion molecule antibody; L1-NCAM antibody; L1cam antibody; L1CAM_HUMAN antibody; MASA antibody; MIC5 antibody; N CAML1 antibody; N-CAM-L1 antibody; NCAM-L1 antibody; NCAML1 antibody; Nerve-growth factor-inducible large external glycoprotein antibody; Neural cell adhesion molecule L1 antibody; NILE antibody; OTTHUMP00000025992 antibody; S10 antibody; SPG1 antibody
Species Reactivity
Human, Mouse, Macaca mulatta
Immunogen
Recombinant Human L1CAM protein
Immunogen Species
Homo sapiens (Human)
Conjugate
Non-conjugated
Clonality
Monoclonal
Isotype
hIgG1
Clone No.
Ab2c2
Purification Method
Affinity-chromatography
Concentration
It differs from different batches. Please contact us to confirm it.
Buffer
Preservative: 0.03% Proclin 300
Constituents: 50% Glycerol, 0.01M PBS, PH 7.4
Form
Liquid
Tested Applications
ELISA, WB, IHC, FC
Recommended Dilution
Application Recommended Dilution
ELISA 1:5000-1:50000
WB 1:500-1:2000
IHC 1:50-1:200
FC 1:50-1:200
Troubleshooting and FAQs
Storage
Upon receipt, store at -20°C or -80°C. Avoid repeated freeze.
Lead Time
Basically, we can dispatch the products out in 1-3 working days after receiving your orders. Delivery time maybe differs from different purchasing way or location, please kindly consult your local distributors for specific delivery time.
Usage
For Research Use Only. Not for use in diagnostic or therapeutic procedures.

Customer Reviews and Q&A

 Customer Reviews

There are currently no reviews for this product.

Submit a Review here

Target Background

Function
Neural cell adhesion molecule involved in the dynamics of cell adhesion and in the generation of transmembrane signals at tyrosine kinase receptors. During brain development, critical in multiple processes, including neuronal migration, axonal growth and fasciculation, and synaptogenesis. In the mature brain, plays a role in the dynamics of neuronal structure and function, including synaptic plasticity.
Gene References into Functions
  1. In uterine carcinosarcoma, membranous L1CAM expression was positive in the epithelial component in 65.4% of cases. Remarkably, expression was negative in the mesenchymal component. In cases where both components were intermingled, expression limited to the epithelial component was confirmed by a double stain for L1CAM and keratin. Expression of L1CAM did not relate to overall or disease-free survival. PMID: 30140948
  2. Our findings suggest that L1CAM is possibly involved in the pathogenesis of at least a subset of endometrial clear cell carcinomas PMID: 28941294
  3. The directional force for laminin-induced growth cone haptotaxis is generated by the grip and slip of L1-CAM on the substrates, which occur asymmetrically under the growth cone. PMID: 29483251
  4. L1CAM promotes esophageal squamous cell carcinoma tumorigenicity by upregulating ezrin expression. PMID: 28939985
  5. TWIST1, in part via GAS6 and L1CAM, led to higher expression and activation of Akt upon cisplatin treatment, and inhibition of Akt activation sensitized cells to cisplatin. PMID: 27876874
  6. data make L1CAM a highly interesting therapeutic target to prevent further metastatic spread in melanoma patients PMID: 29432466
  7. High circulating levels of autoantibodies against L1-cell adhesion molecule is associated with esophageal squamous cell carcinoma. PMID: 28181176
  8. A functional role for L1CAM in extrahepatic cholangiocarcinoma carrying the activating KRAS mutation.L1CAM prmotes cell migration and invasion via JNK activation in extrahepatic cholangiocarcinoma. PMID: 28535665
  9. this review and meta-analysis concludes that L1CAM might be an effective poor prognostic factor for patients with various tumor types PMID: 27833079
  10. High L1CAM expression is associated with vulvar squamous cell carcinomas. PMID: 27028855
  11. Our preclinical assessment of the CE7 epitope on CD171 supports its utility and safety as a CAR T-cell target for neuroblastoma immunotherapy PMID: 27390347
  12. L1CAM may have a role in human endometrial cancer and miR-34a has an inverse role to L1CAMEXP PMID: 27233077
  13. L1CAM mRNA expression appears to play a substantial role in the pathophysiology of ovarian cancer that is translated into poor clinical outcome. PMID: 27174921
  14. These results suggest that a deficiency in L1 may partially account for RTT phenotypes. PMID: 29050935
  15. L1CAM failed to be a clinically relevant marker of poor prognosis in stage I endometrioid endometrial carcinoma PMID: 27488577
  16. This study revealed an unexpected role of L1CAM in the pathological crosstalk between the immune and nervous systems. PMID: 27544757
  17. Mutations involving L1 cell adhesion molecule is associated with chemotherapy-resistant urothelial carcinoma. PMID: 27749842
  18. Data suggest that targeted therapy to neural cell adhesion molecule L1 (L1) might be effective in the treatment of retinoblastoma tumors. PMID: 28061460
  19. CD10 is a necessary component conferring the L1 effects in CRC cells. The identification of gene expression patterns of L1-domain-specific point mutations may provide novel markers and targets for interfering with L1-mediated CRC progression. PMID: 27641335
  20. High L1-CAM expression is associated with low radiosensitivity in neuroblastoma. PMID: 27432152
  21. Neural cell adhesion molecule L1 (L1CAM)-mediated cell-cell aggregation was severely impaired by L1CAM variants p.I37N, p.M172I and p.D202Y but was preserved by the variant p.T38M. PMID: 26891472
  22. The differential expression timing of CD184 and CD171 permits identification and enrichment of RGCs from retinal organoids at differing maturation states from committed progenitors to differentiating neurons. PMID: 27867005
  23. This study examined the spatiotemporal distribution of L1CAM in the early human fetal period by means of immunohistochemistry and in situ hybridization. In advanced differentiated epithelia such as those of the gastrointestinal system, L1CAM localization vanishes. In epithelia, however, which undergo further development such as those of the urogenital system, L1CAM is further needed for their fully establishment. PMID: 28026654
  24. The expression of L1CAM was associated with advanced stage, nodal involvement, high tumour grade, non-endometrioid histology, lymphovascular space invasion, and distant recurrences in all cases, and with reduced survival in the endometrial carcinomas, but not in the non-endometrioid carcinomas. L1CAM may induce EMT-like changes, but seems to only play a role in metastasis, not in invasion. PMID: 27505134
  25. L1CAM expression is an independent predictor of poor survival in endometrial cancer, and is associated with advanced stage, high-risk endometrial cancer. PMID: 26861585
  26. L1CAM is a neuronal cell adhesion molecule involved in the development of the nervous system and progression of malignancies. (Review) PMID: 27267927
  27. Splicing variant c.1267+5delG was identified in fetal hydrocephalus. The same mutation and severe L1 syndrome was confirmed in the second pregnancy. PMID: 27207492
  28. Involvement of L1CAM in the regulation of activity of the canonical Wnt pathway and expression of genes of class I melanoma-associated antigens in melanoma. PMID: 27165065
  29. L1CAM was a significant independent prognosticator for disease-specific survival in endometrial carcinoma. PMID: 27695947
  30. Report high frequency of L1CAM expression in high-risk endometrial cancers associated with mutant p53 expression. PMID: 26743472
  31. L1CAM is frequently expressed in testicular germ cell tumors but not in normal testis. PMID: 26933044
  32. L1 syndrome should be considered in the differential diagnosis of intellectual disability or mental retardation in children, especially when other signs such as hydrocephalus or adducted thumbs are present. PMID: 25948108
  33. Genes induced during L1-mediated colorectal cancer cell metastasis PMID: 26399194
  34. Our results suggest that the overexpression of L1CAM may be related to several established markers of poor prognosis in breast cancer patients. PMID: 26464672
  35. L1-CAM and N-CAM: From Adhesion Proteins to Pharmacological Targets PMID: 26478212
  36. the CE7-epitope of L1-CAM is a cell adhesion molecule aberrantly expressed in several cancers and may have a role in immunotherapy PMID: 26761817
  37. novel missense variant in L1CAM was identified in two Caucasian families with mild-moderate intellectual disability without obvious L1 syndrome features PMID: 25934484
  38. This study identified predicted pathogenic, hemizygous variants on chromosome X in disease genes L1CAM. PMID: 25666757
  39. Our findings establish Slug-induced L1CAM expression as a mediator of a chemoresistant and migratory phenotype in pancreatic adenocarcinoma cells. PMID: 25860483
  40. the expression level of L1CAM were negatively correlated with miR-503 levels in osteosarcoma tissues. PMID: 25536034
  41. L1CAM is expressed in triple-negative breast cancers and is inversely correlated with androgen receptor PMID: 25510351
  42. a positive relationship between L1 and pPKD1 in both cultured cerebellar neurons and human cerebellar tissue, suggesting that L1 functions in the modulation of PKD1 phosphorylation. PMID: 25445362
  43. This indicates that similar biofunctionalization approaches based on N-cadherin and L1 can be translated to 3-D "transplantable" scaffolds with enhanced neurotrophic behaviors. PMID: 24914828
  44. Findings shed new light on the complex regulation of L1CAM in cancers and advocate the use of L1CAM/miR-21-3p for diagnostic application. PMID: 25149066
  45. The data show that L1CAM promotes the enrichment of immunosuppressive T cells in particular of a CD4(+)CD25(-)CD69(+)-phenotype in pancreatic ductal adenocarcinoma providing a novel mechanism of tumor immune escape which contributes to tumor progression. PMID: 24746181
  46. Data suggest that miR-34a can regulate L1CAM expression by targeting L1CAM mRNA for degradation. PMID: 24497324
  47. Data indicate that positive L1 cell adhesion molecule (L1CAM) expression was significantly correlated with risk of distant recurrence. PMID: 25126672
  48. Overexpression of L1CAM is associated with tumor progression via ERK signaling in gastric cancer. PMID: 24046108
  49. Expression of L1CAM and EPCAM in gastric cancer was significantly associated with lymph node and distant metastasis, and poor prognosis. PMID: 24422715
  50. Human pathological H210Q, R184Q and Y1070C, but not the E309K and L120V L1CAM mutations affect outside-in signaling via the FIGQY Ankyrin binding domain which is required for synapse formation. PMID: 24155914

Show More

Hide All

Involvement in disease
Hydrocephalus due to stenosis of the aqueduct of Sylvius (HSAS); Mental retardation, aphasia, shuffling gait, and adducted thumbs syndrome (MASA); Agenesis of the corpus callosum, X-linked, partial (ACCPX)
Subcellular Location
Cell membrane; Single-pass type I membrane protein. Cell projection, growth cone. Cell projection, axon. Cell projection, dendrite.
Protein Families
Immunoglobulin superfamily, L1/neurofascin/NgCAM family
Database Links

HGNC: 6470

OMIM: 303350

KEGG: hsa:3897

STRING: 9606.ENSP00000359074

UniGene: Hs.522818

icon of phone
Call us
301-363-4651 (Available 9 a.m. to 5 p.m. CST from Monday to Friday)
icon of address
Address
7505 Fannin St., Ste 610, Room 7 (CUBIO Innovation Center), Houston, TX 77054, USA
icon of social media
Join us with

Subscribe newsletter

Leave a message

* To protect against spam, please pass the CAPTCHA test below.
CAPTCHA verification
© 2007-2025 CUSABIO TECHNOLOGY LLC All rights reserved. 鄂ICP备15011166号-1
×
Place an order now

I. Product details

*
*
*
*

II. Contact details

*
*

III. Ship To

*
*
*
*
*
*
*

IV. Bill To

*
*
*
*
*
*
*
*