MAP2K3 Recombinant Monoclonal Antibody

Code CSB-RA680325A0HU
Size US$210
Order now
Image
  • Flow cytometric analysis of MAP2K3 expression in C2C12 cells using MAP2K3 antibody. Green, isotype control; red, MAP2K3.
  • Immunocytochemical staining of C2C12 cells with MAP2K3 antibody. Nuclei were stained blue with DAPI; MAP2K3 was stained magenta with Alexa Fluor® 647. Images were taken using Leica stellaris 5. Protein abundance based on laser Intensity and smart gain: Medium. Scale bar, 20 μm.
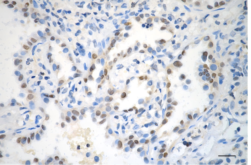
  • Immunohistochemistry was performed on paraffin-embedded human lung adenocarcinoma using MAP2K3 antibody. Antigen retrieval was done in sodium citrate buffer (pH 6.0). DAB was used for detection, with hematoxylin counterstaining. Images were acquired using a Nikon Ci-L Plus microscope (40× objective). Scale bar: 25 μm.
  • Immunohistochemistry was performed on paraffin-embedded mouse liver using MAP2K3 antibody. Antigen retrieval was done in sodium citrate buffer (pH 6.0). DAB was used for detection, with hematoxylin counterstaining. Images were acquired using a Nikon Ci-L Plus microscope (40× objective). Scale bar: 25 μm.
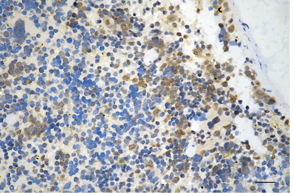
  • Immunohistochemistry was performed on paraffin-embedded mouse spleen using MAP2K3 antibody. Antigen retrieval was done in sodium citrate buffer (pH 6.0). DAB was used for detection, with hematoxylin counterstaining. Images were acquired using a Nikon Ci-L Plus microscope (40× objective). Scale bar: 25 μm.
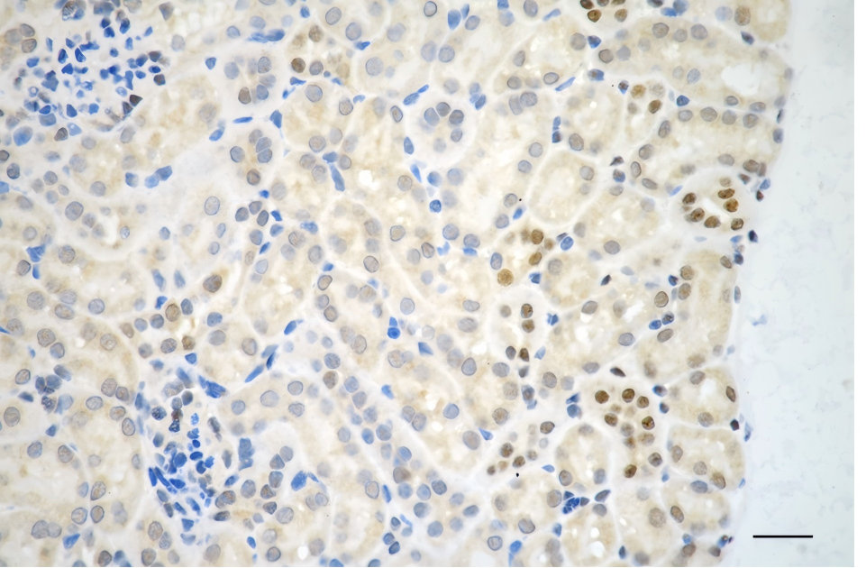
  • Immunohistochemistry was performed on paraffin-embedded mouse kidney using MAP2K3 antibody. Antigen retrieval was done in sodium citrate buffer (pH 6.0). DAB was used for detection, with hematoxylin counterstaining. Images were acquired using a Nikon Ci-L Plus microscope (40× objective). Scale bar: 25 μm.
  • Western blotting analysis using MAP2K3 antibody. Total cell lysates (30 μg) from various cell lines were loaded and separated by SDS-PAGE. The blot was incubated with MAP2K3 antibody and HRP-conjugated goat anti-rabbit secondary antibody respectively.
Have Questions? Leave a Message or Start an on-line Chat

Product Details

Uniprot No.
Target Names
Alternative Names
MAP2K3; Mitogen-Activated Protein Kinase Kinase 3; MEK3; MKK3; Stress-Activated Protein Kinase Kinase 2; MAP Kinase Kinase 3; MAPK/ERK Kinase 3; MAPKK3; SAPKK2; PRKMK3; Dual Specificity Mitogen-Activated Protein Kinase Kinase 3; SAPK Kinase 2; EC 2.7.12.2; SAPKK-2; MAPKK 3; MEK 3; Dual Specificity Mitogen Activated Protein Kinase Kinase 3; SKK2
Species Reactivity
Human, Mouse, Rat
Immunogen
Recombinant Human MAP2K3 protein
Immunogen Species
Homo sapiens (Human)
Conjugate
Non-conjugated
Clonality
Monoclonal
Isotype
Rabbit IgG
Clone No.
25A11
Purification Method
Affinity-chromatography
Concentration
It differs from different batches. Please contact us to confirm it.
Buffer
Rabbit IgG in PBS (pH 7.4) containing 50% glycerol, and 0.02% sodium azide.
Form
Liquid
Tested Applications
ELISA, WB, FC, ICC, IHC
Recommended Dilution
Application Recommended Dilution
WB 1:1000-1:5000
FC 1:200-1:2000
ICC 1:100-1:1000
IHC 1:100-1:200
Troubleshooting and FAQs
Storage
Upon receipt, store at -20°C or -80°C. Avoid repeated freeze.
Lead Time
Basically, we can dispatch the products out in 1-3 working days after receiving your orders. Delivery time maybe differs from different purchasing way or location, please kindly consult your local distributors for specific delivery time.
Usage
For Research Use Only. Not for use in diagnostic or therapeutic procedures.

Customer Reviews and Q&A

 Customer Reviews

There are currently no reviews for this product.

Submit a Review here

Target Background

Function
Dual specificity kinase. Is activated by cytokines and environmental stress in vivo. Catalyzes the concomitant phosphorylation of a threonine and a tyrosine residue in the MAP kinase p38. Part of a signaling cascade that begins with the activation of the adrenergic receptor ADRA1B and leads to the activation of MAPK14.
Gene References into Functions
  1. Advanced glycation end products significantly activated ASK1, MKK3, and MKK6, which led to activation of p38 MAPK, resulting in upregulated fibrotic response in human coronary smooth muscle cells. PMID: 30305582
  2. The study identifies MKK3 as a negative regulator of mitochondrial function and inflammatory responses to cigarette smoke and suggests that MKK3 could be a therapeutic target. PMID: 27717867
  3. High MKK3 expression is associated with lung cancer. PMID: 28628118
  4. miR-21 targets MKK3 in vivo and in vitro, inhibiting the downstream factors IL-6 and TNF-alpha, in ischemia pretreatment protection from ischemia-reperfusion induced kidney injury. PMID: 26149640
  5. MKK3 overexpression upregulated the cyclin-dependent kinase inhibitors, p16 INK4A and p15 INK4B in hepatocellular carcinoma cells was Bim1, was downregulated following MKK3 overexpression. PMID: 26573508
  6. Our results suggest that asthma is associated with MKK3 over-expression in CD8+ cells; we have also demonstrated that MKK3 may be critical for airway neutrophilia PMID: 24480516
  7. MicroRNA-21 promotes hepatocellular carcinoma HepG2 cell proliferation through repression of mitogen-activated protein kinase-kinase 3. PMID: 24112539
  8. study detected higher MKK3 activation in isolated peripheral blood mononuclear cells from septic patients compared with nonseptic controls PMID: 24487387
  9. study concludes MAP2K3 is a reproducible obesity locus that may affect body weight via complex mechanisms involving appetite regulation and hypothalamic inflammation PMID: 23825110
  10. miR-20a acts in a feedback loop to repress the expression of MKK3 and to negatively regulate the p38 pathway-mediated VEGF-induced endothelial cell migration and angiogenesis PMID: 22696064
  11. the balance between MKK6 and MKK3 mediates p38 MAPK associated resistance to cisplatin in NSCLC PMID: 22164285
  12. LFA-1-induced stabilization of ARE-containing mRNAs in T cells is dependent on HuR, and occurs through the Vav-1, Rac1/2, MKK3 and p38MAPK signaling cascade PMID: 21206905
  13. MAP2K3 is identified as a protein to promote senescence in human breast epithelial cells. PMID: 21137025
  14. Data provide evidence that p38 Map kinase (MAPK) pathway is activated leading to increased upregulation of mixed lineage kinase 3, MKK3/6, MSK1, and Mapkapk2, upon treatment of BCR/ABL expressing cells with dasatinib. PMID: 19672773
  15. role in activating Mirk protein kinase PMID: 11980910
  16. interacts with phospholipase c-beta 2 PMID: 12054652
  17. role in pathway that promotes urokinase plasminogen activator mRNA stability in invasive breast cancer cells PMID: 12377770
  18. TAK1- and MKK3-mediated activation of p38 are facilitated by Smad7 PMID: 12589052
  19. MKK3 is selectively activated by the new subfamily of Ste20-like kinases. PMID: 13679851
  20. a specific requirement for p150(Glued)/dynein/functional microtubules in activation of MKK3/6 and p38 MAPKs in vivo. PMID: 15375157
  21. MAP kinase kinase3- and 6-dependent activation of the alpha-isoform of p38 MAP kinase is required for the cytoskeletal changes induced by neutrophil adherence and influences subsequent neutrophil migration toward endothelial cell junctions PMID: 15516490
  22. H-Ras-specific activation of Rac-MKK3/6-p38 pathway has a role in invasion and migration of breast epithelial cells PMID: 15677464
  23. MKK3 and MKK6 make individual contributions to p38 activation in fibroblast-like synoviocytes after cytokine stimulation PMID: 15778394
  24. p38 mediates EGF receptor activation after oxidant injury; Src activates MMK3, which, in turn, activates p38; and the EGF receptor signaling pathway plays a critical role in renal epithelial cell dedifferentiation PMID: 15797859
  25. Bax is phosphorylated by stress-activated JNK and/or p38 kinase and phosphorylation of Bax leads to mitochondrial translocation prior to apoptosis PMID: 16709574
  26. Mitogen-activated protein kinase (MAPK) kinase 3 (MKK3) is a key activator of p38 MAPK in glioma; MKK3 activation is strongly correlated with p38 activation in vitro and in vivo. PMID: 17406030
  27. Cytokine activation of MAPK14 and apoptosis is opposed by ACTN4 targeting of protein phosphatase 2A for site-specific dephosphorylation of MEK3. PMID: 17438131
  28. as a mediator of SF- and Src-stimulated NF-kappaB activity. Finally, the Src/Rac1/MKK3/6/p38 and Src/TAK1/NF-kappaB-inducing kinase pathways exhibited cross-talk at the level of MKK3. PMID: 19047046

Show More

Hide All

Involvement in disease
Defects in MAP2K3 may be involved in colon cancer.
Protein Families
Protein kinase superfamily, STE Ser/Thr protein kinase family, MAP kinase kinase subfamily
Tissue Specificity
Abundant expression is seen in the skeletal muscle. It is also widely expressed in other tissues.
Database Links

HGNC: 6843

OMIM: 602315

KEGG: hsa:5606

STRING: 9606.ENSP00000345083

UniGene: Hs.514012

icon of phone
Call us
301-363-4651 (Available 9 a.m. to 5 p.m. CST from Monday to Friday)
icon of address
Address
7505 Fannin St., Ste 610, Room 7 (CUBIO Innovation Center), Houston, TX 77054, USA
icon of social media
Join us with

Subscribe newsletter

Leave a message

* To protect against spam, please pass the CAPTCHA test below.
CAPTCHA verification
© 2007-2025 CUSABIO TECHNOLOGY LLC All rights reserved. 鄂ICP备15011166号-1
×
Place an order now

I. Product details

*
*
*
*

II. Contact details

*
*

III. Ship To

*
*
*
*
*
*
*

IV. Bill To

*
*
*
*
*
*
*
*