MIB1 Recombinant Monoclonal Antibody

Code CSB-RA644692A0HU
Size US$210
Order now
Image
  • Western Blot
    , Positive WB detected in: Hela whole cell lysate(30µg), A431 whole cell lysate(30µg), HEK293 whole cell lysate(30µg), U251 whole cell lysate(30µg), COLO205 whole cell lysate(30µg)
    All lanes: MIB1 antibody at 1:1000
    Secondary
    Goat polyclonal to rabbit IgG at 1/40000 dilution
    Predicted band size: 110 kDa
    Observed band size: 110 kDa
    Exposure time:120s
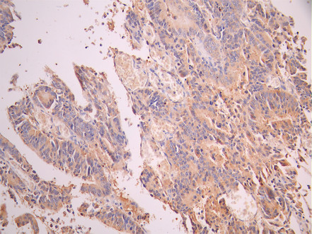
  • IHC image of CSB-RA644692A0HU diluted at 1:100 and staining in paraffin-embedded human colorectal cancer performed on a Leica BondTM system. After dewaxing and hydration, antigen retrieval was mediated by high pressure in a citrate buffer (pH 6.0). Section was blocked with 10% normal goat serum 30min at RT. Then primary antibody (1% BSA) was incubated at 4°C overnight. The primary is detected by a Goat anti-rabbit polymer IgG labeled by HRP and visualized using 0.05% DAB.
  • Overlay Peak curve showing SH-SY5Y cells stained with CSB-RA644692A0HU (red line) at 1:100. The cells were fixed in 4% formaldehyde and permeated by 0.2% TritonX-100 for 10min. Then 10% normal goat serum to block non-specific protein-protein interactions followed by the antibody (1ug/1*106cells) for 45min at 4℃. The secondary antibody used was FITC-conjugated goat anti-rabbit IgG (H+L) at 1/200 dilution for 35min at 4℃.Control antibody (green line) was Rabbit IgG (1ug/1*106cells) used under the same conditions. Acquisition of >10, 000 events was performed.
Have Questions? Leave a Message or Start an on-line Chat

Product Details

Uniprot No.
Target Names
Alternative Names
DAPK-interacting protein 1 antibody; Dip 1 antibody; DIP-1 antibody; Dip1 antibody; E3 ubiquitin protein ligase MIB 1 antibody; E3 ubiquitin protein ligase MIB1 antibody; E3 ubiquitin-protein ligase mib1 antibody; KIAA1323 antibody; LVNC7 antibody; MIB antibody; mib1 antibody; MIB1_HUMAN antibody; Mind bomb homolog 1 antibody; Mindbomb E3 ubiquitin protein ligase 1 antibody; Ubiquitin ligase mind bomb antibody; Zinc finger ZZ type with ankyrin repeat domain protein 2 antibody; ZZANK2 antibody; ZZZ6 antibody
Species Reactivity
Human
Immunogen
A synthesized peptide from human MIB1 protein
Immunogen Species
Homo sapiens (Human)
Conjugate
Non-conjugated
Clonality
Monoclonal
Isotype
Rabbit IgG
Clone No.
10A9
Purification Method
Affinity-chromatography
Concentration
It differs from different batches. Please contact us to confirm it.
Buffer
Rabbit IgG in 10mM phosphate buffered saline , pH 7.4, 150mM sodium chloride, 0.05% BSA, 0.02% sodium azide and 50% glycerol.
Form
Liquid
Tested Applications
ELISA, WB, IHC, FC
Recommended Dilution
Application Recommended Dilution
WB 1:500-1:5000
IHC 1:50-1:200
FC 1:50-1:200
Troubleshooting and FAQs
Storage
Upon receipt, store at -20°C or -80°C. Avoid repeated freeze.
Lead Time
Basically, we can dispatch the products out in 1-3 working days after receiving your orders. Delivery time maybe differs from different purchasing way or location, please kindly consult your local distributors for specific delivery time.
Usage
For Research Use Only. Not for use in diagnostic or therapeutic procedures.

Customer Reviews and Q&A

 Customer Reviews

There are currently no reviews for this product.

Submit a Review here

Target Background

Function
E3 ubiquitin-protein ligase that mediates ubiquitination of Delta receptors, which act as ligands of Notch proteins. Positively regulates the Delta-mediated Notch signaling by ubiquitinating the intracellular domain of Delta, leading to endocytosis of Delta receptors. Probably mediates ubiquitination and subsequent proteasomal degradation of DAPK1, thereby antagonizing anti-apoptotic effects of DAPK1 to promote TNF-induced apoptosis. Involved in ubiquitination of centriolar satellite CEP131, CEP290 and PCM1 proteins and hence inhibits primary cilium formation in proliferating cells. Mediates 'Lys-63'-linked polyubiquitination of TBK1, which probably participates in kinase activation.
Gene References into Functions
  1. M1B-1 antigen was shown to increase the risk. High birth weight, pesticide exposure (childhood exposure, and parental occupational exposure) and maternal consumption of cured meat during pregnancy may also increase the risk of onset of childhood brain tumours PMID: 27212451
  2. In the absence of PCM1, Mib1 destabilizes Talpid3 through poly-ubiquitylation and suppresses cilium assembly. PMID: 27146717
  3. The aim of the study was to evaluate the caspase-3 and survivin expression in correlation with MIB-1 expression in gliomas of various grade. PMID: 26995334
  4. provided evidences that miR-10 regulates human endothelial cells behaviour through targeting Mib1 as well PMID: 26825552
  5. these results identify the interaction between Mib1 and Plk4 as a new and important element in the control of centriole homeostasis. PMID: 25795303
  6. Expression of MIB1 ligase protein, human was correlated with tumor grade and Figo stages. PMID: 26204652
  7. Data show how E3 ubiquitin protein ligase Mind bomb protein recognizes notch receptor ligands. PMID: 25747658
  8. a significant survival benefit for p16-positive vaginal cancers compared with p16-negative cancers for stages I and II. No difference was observed in survival for MIB-1-positive tumors PMID: 25319982
  9. Invasive adenomas have a higher inducible nitric oxide synthase, and this correlated with the MIB-1 PMID: 24008756
  10. This is the first published study ever assessing the expression of COX-2, p16 and Ki67 markers in ductal carcinoma in situ breast tumors. PMID: 25077370
  11. Data show that the E3 ubiquitin ligase, mind bomb 1 (Mib1), interacts with and ubiquitinates SMN and facilitates its degradation. PMID: 23615451
  12. MIB-1 was found to be associated with estrogen receptors in the stromal component PMID: 23442362
  13. implicate NOTCH signaling in left ventricular noncompaction and indicate that MIB1 mutations arrest chamber myocardium development, preventing trabecular maturation and compaction PMID: 23314057
  14. MIB1 negatively regulates TNFalpha- and IL1beta-induced NF-kappaB target gene activation PMID: 22184009
  15. RYK interacts both physically and functionally with the E3 ubiquitin MIB1. MIB1 is sufficient to activate Wnt/CTNNB1 signaling and this activity depends on endogenous RYK. PMID: 21875946
  16. Data demonstrate that c-mip interacts with Dip1 and upregulates DAPK, which blocks the nuclear translocation of ERK1/2. PMID: 20018188
  17. Neuralized-2 regulates a Notch ligand in cooperation with Mind bomb-1 PMID: 17003037
  18. DAPK is found in two distinct immune complexes, one containing HSP90 and CHIP and a second complex containing only DIP1/Mib; strict modulation of DAPK activities by HSP90 heterocomplexes is critical for regulation of apoptosis and cellular homeostasis PMID: 17324930
  19. Comparative genomic hybridization and immunohistochemical assessment of EGFR, PTEN, p53, and MIB-1 expression in 13 oligodendrogliomas, one oligoastrocytoma and 23 high-grade astrocytomas is reported. PMID: 17390041
  20. The interaction between Mib1 and cFLIP decreases the association of caspase-8 with cFLIP, which activates caspase-8 and induces cell death PMID: 19710364

Show More

Hide All

Involvement in disease
Left ventricular non-compaction 7 (LVNC7)
Subcellular Location
Cytoplasm. Cytoplasm, cytoskeleton, microtubule organizing center, centrosome, centriolar satellite. Cell membrane.
Tissue Specificity
Widely expressed at low level. Expressed at higher level in spinal cord, ovary, whole brain, and all specific brain regions examined.
Database Links

HGNC: 21086

OMIM: 608677

KEGG: hsa:57534

STRING: 9606.ENSP00000261537

UniGene: Hs.140903

icon of phone
Call us
301-363-4651 (Available 9 a.m. to 5 p.m. CST from Monday to Friday)
icon of address
Address
7505 Fannin St., Ste 610, Room 7 (CUBIO Innovation Center), Houston, TX 77054, USA
icon of social media
Join us with

Subscribe newsletter

Leave a message

* To protect against spam, please pass the CAPTCHA test below.
CAPTCHA verification
© 2007-2025 CUSABIO TECHNOLOGY LLC All rights reserved. 鄂ICP备15011166号-1
×
Place an order now

I. Product details

*
*
*
*

II. Contact details

*
*

III. Ship To

*
*
*
*
*
*
*

IV. Bill To

*
*
*
*
*
*
*
*