NLRP3 Recombinant Monoclonal Antibody

Code CSB-RA943053A0HU
Size US$210
Order now
Image
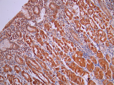
  • IHC image of CSB-RA943053A0HU diluted at 1:100 and staining in paraffin-embedded human stomach tissue performed on a Leica BondTM system. After dewaxing and hydration, antigen retrieval was mediated by high pressure in a citrate buffer (pH 6.0). Section was blocked with 10% normal goat serum 30min at RT. Then primary antibody (1% BSA) was incubated at 4°C overnight. The primary is detected by a Goat anti-rabbit polymer IgG labeled by HRP and visualized using 0.05% DAB.
  • IHC image of CSB-RA943053A0HU diluted at 1:100 and staining in paraffin-embedded human breast cancer performed on a Leica BondTM system. After dewaxing and hydration, antigen retrieval was mediated by high pressure in a citrate buffer (pH 6.0). Section was blocked with 10% normal goat serum 30min at RT. Then primary antibody (1% BSA) was incubated at 4°C overnight. The primary is detected by a Goat anti-rabbit polymer IgG labeled by HRP and visualized using 0.05% DAB.
Have Questions? Leave a Message or Start an on-line Chat

Product Details

Uniprot No.
Target Names
Alternative Names
AGTAVPRL antibody; AII/AVP antibody; Angiotensin/vasopressin receptor AII/AVP like antibody; Angiotensin/vasopressin receptor AII/AVP-like antibody; C1orf7 antibody; Caterpiller protein 1.1 antibody; CIAS 1 antibody; CIAS1 antibody; CLR1.1 antibody; Cold autoinflammatory syndrome 1 antibody; Cold autoinflammatory syndrome 1 protein antibody; Cryopyrin antibody; Familial cold autoinflammatory syndrome antibody; FCAS antibody; FCU antibody; LRR and PYD domains-containing protein 3 antibody; Muckle-Wells syndrome antibody; MWS antibody; NACHT antibody; NACHT LRR and PYD containing protein 3 antibody; NALP 3 antibody; NALP3 antibody; NALP3_HUMAN antibody; NLR family pyrin domain containing 3 antibody; NLRP3 antibody; PYPAF 1 antibody; PYPAF1 antibody; PYRIN containing APAF1 like protein 1 antibody; PYRIN-containing APAF1-like protein 1 antibody
Species Reactivity
Human
Immunogen
A synthesized peptide from human NLRP3 protein
Immunogen Species
Homo sapiens (Human)
Conjugate
Non-conjugated
Clonality
Monoclonal
Isotype
Rabbit IgG
Clone No.
22H5
Purification Method
Affinity-chromatography
Concentration
It differs from different batches. Please contact us to confirm it.
Buffer
Rabbit IgG in 10mM phosphate buffered saline , pH 7.4, 150mM sodium chloride, 0.05% BSA, 0.02% sodium azide and 50% glycerol.
Form
Liquid
Tested Applications
ELISA, IHC
Recommended Dilution
Application Recommended Dilution
IHC 1:50-1:200
Troubleshooting and FAQs
Storage
Upon receipt, store at -20°C or -80°C. Avoid repeated freeze.
Lead Time
Basically, we can dispatch the products out in 1-3 working days after receiving your orders. Delivery time maybe differs from different purchasing way or location, please kindly consult your local distributors for specific delivery time.
Usage
For Research Use Only. Not for use in diagnostic or therapeutic procedures.

Customer Reviews and Q&A

 Customer Reviews

There are currently no reviews for this product.

Submit a Review here

Target Background

Function
As the sensor component of the NLRP3 inflammasome, plays a crucial role in innate immunity and inflammation. In response to pathogens and other damage-associated signals, initiates the formation of the inflammasome polymeric complex, made of NLRP3, PYCARD and CASP1 (and possibly CASP4 and CASP5). Recruitment of proCASP1 to the inflammasome promotes its activation and CASP1-catalyzed IL1B and IL18 maturation and secretion in the extracellular milieu. Activation of NLRP3 inflammasome is also required for HMGB1 secretion. The active cytokines and HMGB1 stimulate inflammatory responses. Inflammasomes can also induce pyroptosis, an inflammatory form of programmed cell death. Under resting conditions, NLRP3 is autoinhibited. NLRP3 activation stimuli include extracellular ATP, reactive oxygen species, K(+) efflux, crystals of monosodium urate or cholesterol, amyloid-beta fibers, environmental or industrial particles and nanoparticles, cytosolic dsRNA, etc. However, it is unclear what constitutes the direct NLRP3 activator. Activation in presence of cytosolic dsRNA is mediated by DHX33. Independently of inflammasome activation, regulates the differentiation of T helper 2 (Th2) cells and has a role in Th2 cell-dependent asthma and tumor growth. During Th2 differentiation, required for optimal IRF4 binding to IL4 promoter and for IRF4-dependent IL4 transcription. Binds to the consensus DNA sequence 5'-GRRGGNRGAG-3'. May also participate in the transcription of IL5, IL13, GATA3, CCR3, CCR4 and MAF.
Gene References into Functions
  1. In conclusion, IAPP/amylin directly interacts with NLRP3 to activate NLRP3 inflammasome, and this interaction could be an attractive drug target to avoid inflammation and beta-cell death during therapy for diabetes, although there are mechanisms in NLRP3 inflammasome and diabetes pathology in human tissues that still require elucidation. PMID: 30014749
  2. this study strongly highlights the importance of renal epithelium in lipid handling and recognizes the role of NLRP3 as a central hub in metainflammation and immunometabolism in parenchymal non-immune cells. PMID: 28588189
  3. S100A12 activates NLPR3 inflammasomes to induce MUC5AC production in airway epithelial cells. ATP induces MUC5AC production in a mechanistically similar mode to S100A12. PMID: 29906464
  4. Our study indicates that the NLRP3 rs4612666 polymorphism may be involved in the development of recurrent aphthous stomatitis in the Czech population PMID: 29430721
  5. sumoylation of NLRP3 restrains inflammasome activation, and identify SUMO proteases as potential drug targets for the treatment of inflammatory diseases. PMID: 30069026
  6. Keratoendotheliitis fugax hereditaria is an autoinflammatory cryopyrin-associated periodic syndrome caused by a missense mutation c.61G>C in exon 1 of NLRP3 in Finnish patients. It is additionally expected to occur in other populations of European descent. PMID: 29366613
  7. Twelve out of 15 Chinese children with cryopyrin-associated periodic syndrome (CAPS) have mutation in NLR Family, Pyrin Domain-Containing 3 Protein (NLRP3). Five new mutation sites on NLRP3 are identified. The association between gene mutation and clinical manifestation shows that D305N is highly associated with severe organs involvements. PMID: 29285715
  8. our results reveal that the overexpressed NLRP3 contributes to the proliferation and metastasis of OSCC cells. PMID: 29716544
  9. NLRP3 inflammasome was activated during the clearance of the aged erythrocytes through unopsonized and opsonized pathways PMID: 29680907
  10. NLR family pyrin domain containing 3 (NLRP3) may be a novel player in testicular immune regulation PMID: 29907661
  11. Study indicates that NLRP3 affects human glioma progression and metastasis through multiple pathways, including epithelial-mesenchymal transition and PTEN/AKT signaling pathway regulation, enhanced inflammasome activation, and undefined inflammasome-independent mechanisms. PMID: 30015880
  12. increased mRNA levels of NLRP3 inflammasomes in bronchial tissues were positively correlated with the load of the six common pathogens in the lower respiratory tract PMID: 29656319
  13. gain-of-function variant rs10754558 significantly associated with obesity PMID: 28634744
  14. Obese antral muscle cells showed an oxidative-inflammatory imbalance with overexpression of NLRP3 inflammasome, increased IL-1beta secretion and caspase1-activation, and reduced antioxidant capacity associated with a myogenic motor impairment of VIP-induced relaxation. PMID: 29625905
  15. The data supports the assumption that C9 gene expression may stimulate the expression of inflammatory (NLRP3) and angiogenic growth factors (VEGF) in retinal pigment epithelial cells. PMID: 30090015
  16. these results identified endothelial cells as a target of heme-mediated NLRP3 activation that can contribute to the inflammation triggered by sterile hemolysis PMID: 29743981
  17. Using keratinocyteinduced HaCaT cells as a model for psoriasis, silencing of miR155 was confirmed to significantly decrease inflammation and NLRP3/caspase1 signaling. PMID: 29767259
  18. Anaplastic lymphoma kinase (ALK) is a novel regulator of NLRP3 inflammasome activation in macrophages. Mechanically, ALK-mediated NF-kappaB activation was required for the priming step of NLRP3 upregulation, whereas ALK-mediated lipid peroxidation contributed to the sensing step of NLRP3-NEK7 complex formation. PMID: 29723525
  19. this review presents the current knowledge regarding the function of NLRP3 in vascular disease, ischemic heart disease, and nonischemic heart disease PMID: 29850631
  20. sing in vitro and in vivo models, we found that canonical NLRP3 and non-canonical caspase-11 inflammasomes were activated in bone-associated MSCs (BA-MSCs) to promote the inflammatory response PMID: 29807832
  21. The glucometabolic state is of great importance on both the circulating level of IL-18 and the genetic expression of IL-18 and NLRP3 in adipose tissue. PMID: 29972041
  22. eight single nucleotide polymorphisms, four from NLRP1 (rs8079034, rs11651270, rs11657747, and rs878329) and NLRP3 (rs7512998, rs3806265, rs10754557, and rs10733113) each in 540 patients with Psoriasis Vulgaris and 612 healthy controls in the Chinese Han population, were genotyped. PMID: 29850521
  23. Studied association between nucleotide-binding oligomerization domain leucine rich repeat and pyrin domain containing 3 (NLRP3) gene polymorphisms and susceptibility for large artery atherosclerosis (LAA), ischemic stroke (IS) and microembolic signals (MES) in the Chinese Han population. PMID: 29850543
  24. Data indicate that by inhibiting adenine nucleotide translocase 1 (ANT1) and mitochondrial dysfunction, tyrosine phosphatase SHP2 orchestrates an intrinsic regulatory loop to limit excessive NLR family, pyrin domain-containing 3 protein (NLRP3) inflammasome activation. PMID: 29255148
  25. our results indicate that NLRP3 inflammasome is a promising target for blocking or retarding EMT-mediated fibrosis in pulmonary silicosis. On basis of this mechanism, pirfenidone might be a potential drug for the treatment of silicosis PMID: 29258746
  26. This study demonstrated that Hcy activates adipose NLRP3 inflammasomes in an adipocyte lyso-PC-dependent manner and highlights the importance of the adipocyte NLRP3 inflammasome in insulin resistance. PMID: 29735414
  27. this study identifies a new role of ILF2 in the regulation of the NLRP3 inflammasome. PMID: 29655789
  28. SeV V protein inhibited the assembly of NLRP3 inflammasomes, including NLRP3-dependent ASC oligomerization, NLRP3-ASC association, NLRP3 self-oligomerization, and intermolecular interactions between NLRP3 molecules. PMID: 30021903
  29. this study shows that NLRP3 regulates inflammation-induced pro-labor mediators in human myometrial cells PMID: 29430761
  30. The increased expression of NLRP3 and caspase-1 in fetal membrane and placental tissues may be associated with the development of premature rupture of membrane. PMID: 29545514
  31. Oxidative stress activates NLRP3 through upregulating CTSB activity. PMID: 29196167
  32. Suggest inflammasome protein NLRP3 appears to have a specific role in the development of abdominal aortic aneurysms and aortic occlusive disease. PMID: 29528779
  33. Our results showed that rs10754558 NLRP3 and rs2043211 CARD8 polymorphisms are associated with rheumatoid arthritis development (p value = 0.044, OR = 1.77, statistical power = 0.999) and severity measured by Health Assessment Questionnaire (HAQ) (p value = 0.03), respectively. PMID: 29230505
  34. Based on the data obtained from patients and in vitro cells, we concluded that both NLRP1 and NLRP3 inflammasomes are highly involved in the FLS inflammation and pyroptosis. PMID: 29393464
  35. miR-132 negatively regulates palmitate induced NLRP3 inflammasome activation through FOXO3 down-regulation in THP-1 cells. PMID: 29258239
  36. 25-hydroxycholesterol contributes to cerebral inflammation of X-linked adrenoleukodystrophy through activation of the NLRP3 inflammasome. PMID: 27779191
  37. NLRP3 inflammasomes are upregulated in adults with diabetic retinopathy (DR) and may play a key role in the pathogenesis and progression of DR. PMID: 29450537
  38. The GG genotype of rs10754558 and the CGA haplotype of rs4612666-C, rs10754558-G, and rs1539019-A are both independent risk factors for primary gouty arthritis development. The rs10754558 polymorphism might participate in regulating immune and inflammation responses in patients with gouty arthritis by influencing the expression of components of the NLRP3 inflammasome. PMID: 29214547
  39. Data show that Pr2x7 gene deletion protects from HFD-induced NASH, possibly through blunted activation of NLRP3 inflammasome. PMID: 29270247
  40. This study revealed that the P2X7R/NLRP3 pathway plays important roles in IL-1beta secretion and inhibition of Toxoplasma gondii proliferation in small intestinal epithelial cells. PMID: 29291748
  41. Therefore, the common allergen Der f1 was not only found to induce allergy, but also led to pyroptosis and IL1beta secretion via the NLRP3caspase1 inflammasome in human bronchial epithelial cells PMID: 29207030
  42. NLRP3 mRNA expression was decreased significantly in chronic myeloid leukemia patients PMID: 29097263
  43. miR-223 deficiency can lead to the sustained activation of NLRP3-IL-1beta. PMID: 29144508
  44. Review. NLR Family, Pyrin Domain-Containing 3 Protein (NLRP3)inflammasome activation upon sensing influenza is essential for host defense but can increase disease. Virally produced influenza proteins can either inhibit or enhance NLRP3 inflammasome activation. Inhibition of the NLRP3 inflammasome to reduce influenza disease must be critically timed to be of benefit. PMID: 29097227
  45. Data show that in HK-2 cells and unilateral nephrectomy model, NLRP3 and NLRP3 inflammasome member ASC were significantly augmented after treatment with contrast media and provide evidence that NLRP3 inflammasome mediated contrast-induced-acute kidney injury through modulating the apoptotic pathway. PMID: 27721494
  46. BCL6 overexpression in SHR reduced blood pressure, NLRP3 expression and inflammation in the renal cortex of SHR PMID: 29072703
  47. we have shown that a mutation of the NLRP3 gene can cause hearing loss in the absence of the other clinical signs and symptoms of CAPS that are associated with other mutations of NLRP3. we show that a missense mutation, p.Arg918Gln (c.2753G > A), of NLRP3 causes autosomal-dominant sensorineural hearing loss in two unrelated families PMID: 28847925
  48. Results demonstrated that in patients with ulcerative colitis (UC), expression of the NLRP3 protein was markedly enhanced in the inflamed colonic mucosa; expression levels of NLRP3 and its colocalization with cleaved caspase-1 positively correlated with disease severity. Also, further data suggested that the NLRP3 inflammasome might play a protective role in the pathogenesis of UC. PMID: 27966619
  49. P2X7 receptor inhibition attenuated sympathetic nerve sprouting after myocardial infarction via the NLRP3/IL1B pathway. PMID: 28470940
  50. Review/Meta-analysis: NLRP3 p.Q705K snp not associated with the susceptibility to rheumatoid arthritis. PMID: 28185410

Show More

Hide All

Involvement in disease
Familial cold autoinflammatory syndrome 1 (FCAS1); Muckle-Wells syndrome (MWS); Chronic infantile neurologic cutaneous and articular syndrome (CINCA)
Subcellular Location
Cytoplasm, cytosol. Inflammasome. Endoplasmic reticulum. Secreted. Nucleus.; Golgi apparatus membrane.
Protein Families
NLRP family
Tissue Specificity
Predominantly expressed in macrophages. Also expressed in dendritic cells, B- and T-cells (at protein level). Expressed in LPS-treated granulocytes, but not in resting cells (at protein level). Expression in monocytes is very weak (at protein level). Expr
Database Links

HGNC: 16400

OMIM: 120100

KEGG: hsa:114548

STRING: 9606.ENSP00000337383

UniGene: Hs.159483

CUSABIO guaranteed quality
icon of phone
Call us
301-363-4651 (Available 9 a.m. to 5 p.m. CST from Monday to Friday)
icon of address
Address
7505 Fannin St., Ste 610, Room 7 (CUBIO Innovation Center), Houston, TX 77054, USA
icon of social media
Join us with

Subscribe newsletter

Leave a message

* To protect against spam, please pass the CAPTCHA test below.
CAPTCHA verification
© 2007-2025 CUSABIO TECHNOLOGY LLC All rights reserved. 鄂ICP备15011166号-1
×
Place an order now

I. Product details

*
*
*
*

II. Contact details

*
*

III. Ship To

*
*
*
*
*
*
*

IV. Bill To

*
*
*
*
*
*
*
*