PLAU Recombinant Monoclonal Antibody

Code CSB-RA360437MA1HU
Size US$210
Order now
Image
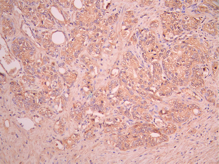
  • IHC image of CSB-RA360437MA1HU diluted at 1:50 and staining in paraffin-embedded human prostate cancer performed on a Leica BondTM system. After dewaxing and hydration, antigen retrieval was mediated by high pressure in a citrate buffer (pH 6.0). Section was blocked with 10% normal goat serum 30min at RT. Then primary antibody (1% BSA) was incubated at 4°C overnight. The primary is detected by a Anti-Human lgG, Fcy Fragment Specific labeled by HRP and visualized using 0.05% DAB.
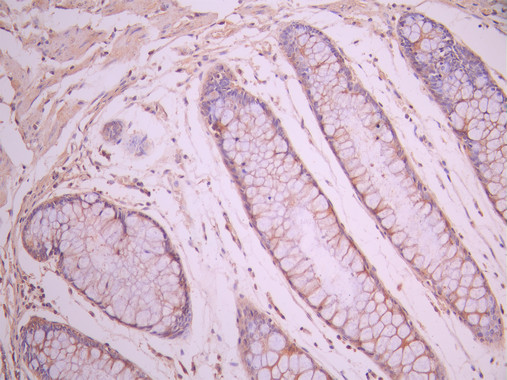
  • IHC image of CSB-RA360437MA1HU diluted at 1:50 and staining in paraffin-embedded human colorectal cancer performed on a Leica BondTM system. After dewaxing and hydration, antigen retrieval was mediated by high pressure in a citrate buffer (pH 6.0). Section was blocked with 10% normal goat serum 30min at RT. Then primary antibody (1% BSA) was incubated at 4°C overnight. The primary is detected by a Anti-Human lgG, Fcy Fragment Specific labeled by HRP and visualized using 0.05% DAB.
  • Overlay Peak curve showing PC-3 cells stained with CSB-RA360437MA1HU (red line) at 1:100. The cells were fixed in 4% formaldehyde and permeated by 0.2% TritonX-100 for 10min. Then 10% normal goat serum to block non-specific protein-protein interactions followed by the antibody (1ug/1*106cells) for 45min at 4℃. The secondary antibody used was Fluorescein (FITC) AffiniPure Goat Anti-Human IgG, Fcγ fragment specific at 1:200 dilution for 35 min at 4℃.Control antibody (green line) was human IgG1 (1ug/1*106cells) used under the same conditions. Acquisition of >10,000 events was performed.
Have Questions? Leave a Message or Start an on-line Chat

Product Details

Uniprot No.
Target Names
Alternative Names
ATF antibody; ATF uPA antibody; BDPLT5 antibody; Plasminogen activator antibody; Plasminogen activator urinary antibody; Plasminogen activator urokinase antibody; PLAU antibody; QPD antibody; u PA antibody; U plasminogen activator antibody; u-PA antibody; U-plasminogen activator antibody; uPA antibody; URK antibody; UROK_HUMAN antibody; Urokinase plasminogen activator antibody; Urokinase type plasminogen activator antibody; Urokinase type plasminogen activator precursor antibody; Urokinase-type plasminogen activator chain B antibody
Species Reactivity
Human
Immunogen
Recombinant Human PLAU protein
Immunogen Species
Homo sapiens (Human)
Conjugate
Non-conjugated
Clonality
Monoclonal
Isotype
hIgG1
Clone No.
12D11
Purification Method
Affinity-chromatography
Concentration
It differs from different batches. Please contact us to confirm it.
Buffer
Preservative: 0.03% Proclin 300
Constituents: 50% Glycerol, 0.01M PBS, PH 7.4
Form
Liquid
Tested Applications
ELISA, IHC, FC
Recommended Dilution
Application Recommended Dilution
IHC 1:50-1:200
FC 1:50-1:200
Troubleshooting and FAQs
Storage
Upon receipt, store at -20°C or -80°C. Avoid repeated freeze.
Lead Time
Basically, we can dispatch the products out in 1-3 working days after receiving your orders. Delivery time maybe differs from different purchasing way or location, please kindly consult your local distributors for specific delivery time.
Usage
For Research Use Only. Not for use in diagnostic or therapeutic procedures.

Customer Reviews and Q&A

 Customer Reviews

There are currently no reviews for this product.

Submit a Review here

Target Background

Function
Specifically cleaves the zymogen plasminogen to form the active enzyme plasmin.
Gene References into Functions
  1. The combination of decoy receptor 3, soluble urokinase type plasminogen activator receptor, and procalcitonin improved the sensitivity and specificity of diagnosis of sepsis, suggesting that use of the combination of three indexes enhanced the efficiency of sepsis diagnosis. PMID: 29760745
  2. High Expressions of PLAU is associated with lung adenocarcinoma. PMID: 28454121
  3. Increased expression of uPA in epidermal cells in psoriasis and in tumor cells in basal cell carcinomas suggests an important role of the uPA system for aggressively proliferating and invading cells of epidermal origin. PMID: 28429105
  4. study provides strong support in the role of L. reuteri in suppression of GC cell invasion by downregulation of pathways which is involved in extracellular matrix degradation such as uPA and uPAR PMID: 28643742
  5. Gelsolin enhances the invasive capacity of colon cancer cells via elevating intracellular superoxide (O2.-) levels by interacting with Cu/ZnSOD, and gelsolin gene expression positively correlates with urokinase plasminogen activator (uPA), an important matrix-degrading protease invovled in cancer invasion. PMID: 27391159
  6. Study provides evidence that the stimulation of u-PA/u-PAR system contributes to the activated phenotype and function of cancer-associated fibroblasts during multiple myeloma. PMID: 28340565
  7. OB-Rb, RhoA/ROCK, PI3K/AKT, JAK/STAT pathways and NF-kB activation are involved in leptin-induced upA expression. PMID: 28104444
  8. Results provide evidence that uPA and IGF1R directly interact with uPAR enhancing malignant potential of triple-negative breast cancer. PMID: 27502396
  9. suggest that the low endogenous levels of uPA in blood are actively regulated, and that the regulatory mechanisms are disrupted in QPD in a megakaryocyte-specific manner PMID: 28301587
  10. an intricate link between caveolin-1 and Src kinase-mediated cell signaling and alveolar epithelial cell apoptosis due to loss of SP-C expression through p53 and uPA system-mediated cross-talk, is reported. PMID: 28385810
  11. results show that the uPA/uPAR/LRP1 system is a potential target for the development of therapeutic strategies to promote axonal recovery following a CNS injury PMID: 27986809
  12. The present research concluded that aspirin suppressed prostate cancer cell invasion by reducing MMP-9 activity and uPA expression through decreasing of IKK-beta-mediated NF-kappaB activation, indicating that the ability of aspirin to inhibit cell invasion might be useful in the chemoprevention of metastatic prostate cancer. PMID: 28278500
  13. These studies identify uPA-dependent de-repression of vegfr1 and vegfr2 gene transcription through binding to HHEX/PRH as a novel mechanism by which uPA mediates the pro-angiogenic effects of VEGF and identifies a potential new target for control of pathologic angiogenesis. PMID: 27151212
  14. The up-regulation of uPA mRNAs was correlated with high-risk clinicopathological features, including extrathyroid invasion, loss of cellular polarity/cohesiveness, and the BRAF(V600E) mutation. PMID: 25085839
  15. Transplantation of uPA gene modified mesenchymal stem cells suppressed liver fibrosis and ameliorated liver function and may be a new approach to treating liver fibrosis PMID: 26877613
  16. ApaL1 and Taq1 single nucleotide polymorphisms of the urokinase and VDR genes are associated with recurrent urolithiasis in a Caucasian population. PMID: 26275878
  17. Resveratrol inhibited hypoxia-induced HIF-1alpha protein expression. Resveratrol also suppressed hypoxiainduced expression of metastatic-related factors, uPA and MMP2. PMID: 26707376
  18. Significance of the urokinase-type plasminogen activator and its receptor in the progression of focal segmental glomerulosclerosis in clinical and mouse models. PMID: 26846181
  19. Data suggest that enhanced levels of uPA in breast cancer modulate the mitogenic effects of EGF which helps to better understand breast cancer pathogenesis. PMID: 25641046
  20. Results found high levels of uPA and uPAR exclusively in metastatic osteosarcoma (OS)cells and suggest that malignant conversion of OS cells to uPA/uPAR axis in an autocrine and paracrine fashion. PMID: 26317203
  21. The morphologically normal tissue adjacent to the tumor shows the substantial expression of MMP-2 and MMP-9 and in some cases the enhanced activity of uPA and ACE, which makes an additional contribution to the increased invasive potential of tumor PMID: 26978018
  22. it was found that the recombinant fusion protein uPA17-34-KPI(kunitz-type protease inhibitor ) inhibited the invasion and metastasis of ovarian tumors PMID: 26166362
  23. Crystal structure of uPA bound with cyclic peptidic inhibitors. PMID: 25744057
  24. u-PA is a dysregulated gene involved in the tumorigenesis, bio-pathological features and outcomes of EEC. PMID: 26033187
  25. High cytoplasmic expression of uPA is associated with cells of rectal cancer and metastases of perienteric lymph nodes. PMID: 26504024
  26. DIM can influence the cell migratory and invasive properties of human colorectal cancer cells and may decrease the invasive capacity of colorectal cancer through downregulation of uPA and MMP9 mediated by suppression of the transcription factor FOXM1 PMID: 25962429
  27. Porphyromonas gingivalis-derived RgpA-Kgp complex activates the macrophage uPA. PMID: 25979345
  28. SNP P141L associated with collateral circulation in coronary artery disease PMID: 24952395
  29. Taking uPA(1-43) amino acids specifically binding to uPAR as targeted part of fusion protein, and making use of antitumor activity of melittin, the recombinant fusion protein it was able to inhibit growth of ovarian tumors . PMID: 25394558
  30. uPA/uPAR stimulates triglyceride synthesis in Huh7 hepatoma cells via p38-dependent upregulation of DGAT2 PMID: 25244504
  31. Studied urokinase-type plasminogen activator regulation in cigarette smoke extract (CSE)-induced EMT in human small airway epithelial cell lines (HSAEpiCs)and in the small airway epithelium of COPD patients. PMID: 25706093
  32. Silencing of ETV4 suppresses invasion of prostate cancer cells by inhibiting the expression of uPA/uPAR as well as (MMP)-2 and MMP-9 PMID: 25544710
  33. miR-193b inhibits the expression of stathmin 1 (STMN1) and urokinase-type plasminogen activator (uPA) in Panc-1 cells. PMID: 25215905
  34. Activation of uPA and MMP-3 in perifocal zone of the tumor can serve as an indexof its invasive activity. PMID: 25993872
  35. These data support the hypothesis that uPA upregulation stimulated by macrophages may play an active role in the onset of osteoarthritis and in the shear-stress protection against this induction. PMID: 23597113
  36. High preprocedural plasma uPA and serum CRP levels are indicative of angina recurrence after successful PTCA, and are valuable for the prognosis of restenosis. PMID: 24057344
  37. Data indicate that urokinase-type plasminogen activator (uPA) activates epithelial sodium channel, gamma subunit (ENaC gamma) through catalytic activity-dependent proteolytic modification. PMID: 25555911
  38. IL-17 may act as chemotropic factor for peripheral blood-Mesenchymal stem cellss by incrementing cell motility and uPA expression during inflammation development. PMID: 25433194
  39. Suggest a possible protective effect of podocyte uPA/uPAR expression against interstitial fibrosis in IgA nephritis. PMID: 24648800
  40. High u-PA expression is associated with metastasis in breast cancer. PMID: 24610082
  41. In human coronary vascular smooth muscle, uPA induces uPAR-independent, domain-dependent smooth muscle cell proliferation through transactivation of EGFR by a plasmin-mediated, ADAM-induced, and HB-EGF-dependent process. PMID: 25082749
  42. IL-33 is involved in u-PA-driven angiogenesis, a process that has been shown before to be linked to inflammation in various pathologies. PMID: 24702774
  43. IL-1beta-induced urokinase plasminogen activator expression via activation of the ERK1/2 and NF-kappaB pathways, which results in invasion of gastric cancer cells. PMID: 24626561
  44. Studied the relationship between uPA gene polymorphisms and clinical manifestations of idiopathic membranous nephropathy. PMID: 24822208
  45. These effects were mediated by the efficient conversion of pro-uPA to active uPA and high phosphorylation levels of ERK detected in the PANC-1 cells expressing exogenous polyserase-1. PMID: 24756697
  46. We found no association between allele frequency and risk of multiples sclerosis for any single nucleotide polymorphism investigated for PLAU PMID: 23897640
  47. results of this study suggest that uPA decreases the removal of HDL-cholesteryl ester in the liver via suppression of the hepatic scavenger receptor class B type I (SR-BI)expression PMID: 24529115
  48. Oncogenic K-Ras and loss of Smad4 mediate invasion by activating an EGFR/NF-kappaB Axis that induces expression of MMP9 and uPA in human pancreas progenitor cells. PMID: 24340014
  49. The findings provide evidence that the rs2227564 C/T SNP in the u-PA gene is associated with the development of oral tongue squamous cell carcinoma. PMID: 23621237
  50. Decreasing uPA levels sensitized cancer cells to TRAIL, leading to markedly increased apoptosis. PMID: 24481457

Show More

Hide All

Involvement in disease
Quebec platelet disorder (QPD)
Subcellular Location
Secreted.
Protein Families
Peptidase S1 family
Tissue Specificity
Expressed in the prostate gland and prostate cancers.
Database Links

HGNC: 9052

OMIM: 191840

KEGG: hsa:5328

STRING: 9606.ENSP00000361850

UniGene: Hs.77274

CUSABIO guaranteed quality
icon of phone
Call us
301-363-4651 (Available 9 a.m. to 5 p.m. CST from Monday to Friday)
icon of address
Address
7505 Fannin St., Ste 610, Room 7 (CUBIO Innovation Center), Houston, TX 77054, USA
icon of social media
Join us with

Subscribe newsletter

Leave a message

* To protect against spam, please pass the CAPTCHA test below.
CAPTCHA verification
© 2007-2025 CUSABIO TECHNOLOGY LLC All rights reserved. 鄂ICP备15011166号-1
×
Place an order now

I. Product details

*
*
*
*

II. Contact details

*
*

III. Ship To

*
*
*
*
*
*
*

IV. Bill To

*
*
*
*
*
*
*
*