PSEN1 Recombinant Monoclonal Antibody

Code CSB-RA153460A0HU
Size US$210
Order now
Image
  • Flow cytometric analysis of Presenilin 1 expression in HT-1080 cells using Presenilin 1 antibody. Green, isotype control; red, Presenilin 1.
  • Immunocytochemical staining of HT-1080 cells with Presenilin 1 antibody. Nuclei were stained blue with DAPI; Presenilin 1 was stained magenta with Alexa Fluor® 647. Images were taken using Leica stellaris 5. Protein abundance based on laser Intensity and smart gain: Medium. Scale bar, 20 μm.
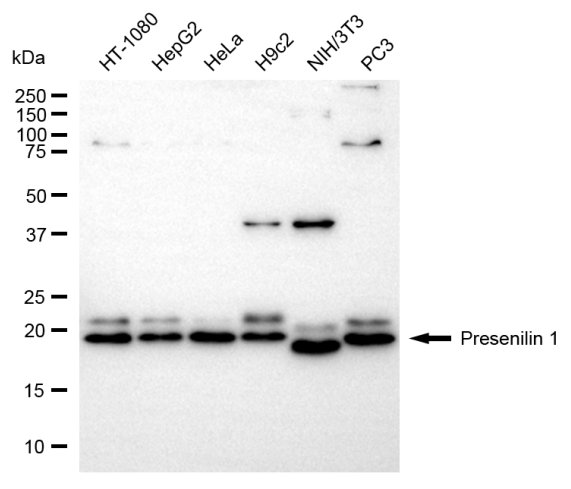
  • Western blotting analysis using presenilin 1 antibody. Total cell lysates (30 μg) from various cell lines were loaded and separated by SDS-PAGE. The blot was incubated with presenilin 1 antibody and HRP-conjugated goat anti-rabbit secondary antibody respectively.
Have Questions? Leave a Message or Start an on-line Chat

Product Details

Uniprot No.
Target Names
Alternative Names
PSEN1; Presenilin 1; PSNL1; PS-1; PS1; S182; FAD; AD3; Familial Alzheimer Disease; Presenilin-1; Alzheimer Disease 3; Protein S182; EC 3.4.23.-; EC 3.4.23; ACNINV3
Species Reactivity
Human, Mouse, Rat
Immunogen
Recombinant Human PSEN1 protein
Immunogen Species
Homo sapiens (Human)
Conjugate
Non-conjugated
Clonality
Monoclonal
Isotype
Rabbit IgG
Clone No.
16H3
Purification Method
Affinity-chromatography
Concentration
It differs from different batches. Please contact us to confirm it.
Buffer
Rabbit IgG in PBS (pH 7.4) containing 50% glycerol, and 0.02% sodium azide.
Form
Liquid
Tested Applications
ELISA, WB, FC, ICC
Recommended Dilution
Application Recommended Dilution
WB 1:1000-1:5000
FC 1:200-1:2000
ICC 1:100-1:1000
Troubleshooting and FAQs
Storage
Upon receipt, store at -20°C or -80°C. Avoid repeated freeze.
Lead Time
Basically, we can dispatch the products out in 1-3 working days after receiving your orders. Delivery time maybe differs from different purchasing way or location, please kindly consult your local distributors for specific delivery time.
Usage
For Research Use Only. Not for use in diagnostic or therapeutic procedures.

Customer Reviews and Q&A

 Customer Reviews

There are currently no reviews for this product.

Submit a Review here

Target Background

Function
Catalytic subunit of the gamma-secretase complex, an endoprotease complex that catalyzes the intramembrane cleavage of integral membrane proteins such as Notch receptors and APP (amyloid-beta precursor protein). Requires the presence of the other members of the gamma-secretase complex for protease activity. Plays a role in Notch and Wnt signaling cascades and regulation of downstream processes via its role in processing key regulatory proteins, and by regulating cytosolic CTNNB1 levels. Stimulates cell-cell adhesion via its interaction with CDH1; this stabilizes the complexes between CDH1 (E-cadherin) and its interaction partners CTNNB1 (beta-catenin), CTNND1 and JUP (gamma-catenin). Under conditions of apoptosis or calcium influx, cleaves CDH1. This promotes the disassembly of the complexes between CDH1 and CTNND1, JUP and CTNNB1, increases the pool of cytoplasmic CTNNB1, and thereby negatively regulates Wnt signaling. Required for normal embryonic brain and skeleton development, and for normal angiogenesis. Mediates the proteolytic cleavage of EphB2/CTF1 into EphB2/CTF2. The holoprotein functions as a calcium-leak channel that allows the passive movement of calcium from endoplasmic reticulum to cytosol and is therefore involved in calcium homeostasis. Involved in the regulation of neurite outgrowth. Is a regulator of presynaptic facilitation, spike transmission and synaptic vesicles replenishment in a process that depends on gamma-secretase activity. It acts through the control of SYT7 presynaptic expression.
Gene References into Functions
  1. Report confirmed that PSEN1 Thr116Ile mutation was causative of an autosomal dominant early onset Alzheimer's disease. In silico predictions were performed to estimate the possible role of mutation, and confirmed that it could disturb the HL-I loop, resulting in significant possible disturbances in secretase functions. PMID: 30200536
  2. Data indicate a novel role for PS1 in regulating TREM2 intracellular trafficking and pathophysiological function. PMID: 29611543
  3. A subset of early-onset Alzheimer's disease is inherited as an autosomal-dominant trait and is associated with mutations in the genes encoding presenilin 1. PMID: 29175279
  4. We describe here the generation of functional astrocytes from induced pluripotent stem cells (iPSCs) derived from AD patients with PSEN1 DeltaE9 mutation, as well as healthy and gene-corrected isogenic controls. PMID: 29153989
  5. The data of this study suggest a deficiency of PE and LPC levels in the temporal cortex from Alzheimer's Disease-PSEN1(E280A) and Sporadic Alzheimer's Disease brains with respect to healthy brains. PMID: 29125487
  6. 3 distinct conformations of gamma-secretase (open, semiopen, and closed) differ by tilting of helices 2 and 3 of PS1, directly controlling active site availability. The semiopen conformation shows the best fit of Abeta peptides, i.e., longer residence before release and by inference more trimming. The closed, hydrophobic conformation is largely inactive and the open conformation is active but provides less optimal inte... PMID: 28841371
  7. Dominant negative effect of the loss-of-function gamma-secretase mutants on the wild-type enzyme through heterooligomerization has been demonstrated. PMID: 29078389
  8. phosphorylation of PS1 at Ser367 does not affect gamma-secretase activity, but has a dramatic effect on Abeta levels in vivo PMID: 28533411
  9. This study demonstrated that the Precuneus cortex brain wave in PSEN1 E280A Family at Risk of Developing Alzheimer's disease. PMID: 28550254
  10. The results show that in cognitively normal young adults carrying presenilin-1mutations had different spontaneous brain activity patterns without cerebral structural differences. PMID: 28987665
  11. PSEN1 gene polymorphisms in Caucasian Alzheimer's disease PMID: 28821390
  12. A case control study confirms PSEN1 rs17125721 as a risk factor for familial AD in Brazil. PMID: 28554858
  13. PS1 increases the level of U1snRNA accompanied with the adverse change of Abeta level, AD-related tau cytoskeletal pathology, and SH-SY5Y cell apoptosis. PMID: 28577205
  14. Study reports a novel PSEN1 K311R mutation in two Chinese families with late-onset Alzheimer's disease. The mutation was located within the hydrophilic loop domain of PSEN1 C-terminal cytoplasmic loop and enhanced Abeta42 production and tau phosphorylation in HEK293-APP695wt cells. PMID: 28269784
  15. Induced pluripotent stem cells derived from somatic cells of familial Alzheimer disease patients carrying PSEN1 mutations exhibit premature neuronal differentiation with decreased proliferation and increased apoptosis. PMID: 27926491
  16. This study shown that PSEN1 is decreased in Alzheimer's Disease platelets PMID: 27858713
  17. Whole-exome sequencing of 238 African American subjects identified 6 rare missense variants within the early-onset Alzheimer's disease (AD) genes, which were observed in AD cases but never among controls. These variants were analyzed in an independent cohort of 300 African American subjects, which indicated that a PSEN2 and PSEN1 novel rare variants, may contribute to AD risk in this population. PMID: 28106563
  18. that reduction in the synaptotagmin 1 level and presenilin 1-synaptotagmin 1 interactions in AD brain may present molecular underpinning of the pathogenic presenilin 1 conformation PMID: 28193235
  19. Here, comprehensive analysis using FRET-based imaging reveals that activity-driven and Protein Kinase A-mediated PS1 phosphorylation at three domains (domain 1: T74, domain 2: S310 and S313, domain 3: S365, S366, and S367), with S367 being critical, is responsible for the PS1 pathogenic 'closed' conformation, and resulting increase in the Abeta42/40 ratio. PMID: 28132667
  20. One family harbored a novel mutation in PSEN1:p.Phe283Leu. MRI demonstrated severe parietal, perirolandic, and temporal atrophy, with relative sparing of frontal and ipsilateral hippocampal regions. Autopsy confirmed pure AD pathology. PMID: 27743520
  21. Study examined the presence of causative and low frequency coding variants in the Alzheimer disease (AD), Frontotemporal lobar degeneration, Amyotrophic lateral sclerosis and Parkinson disease Mendelian genes, in over 450 families with clinical history of AD and over 11,710 sporadic cases and cognitive normal participants from North America.Only PSEN1 and PINK1 showed consistent association with AD cases. PMID: 29091718
  22. Cultured hippocampal neurons expressing mutant PS1 had attenuated CCE that was associated with destabilized dendritic spines, which were rescued by either gamma-secretase inhibition or overexpression of STIM1. PMID: 27601731
  23. PSEN1 mutations responsible for early-onset Alzheimer's disease with extrapyramidal phenotype. PMID: 28131463
  24. A novel mutation in exon 7 of presenilin 1 (Leu232Pro) was discovered in a Korean patient with early-onset Alzheimer's disease. PMID: 28532645
  25. PSEN1 pathogenic mutation M84V is found in autosomal dominant Alzheimer's disease. PMID: 28532646
  26. The authors demonstrate that pathological PS1 loss-of-function impinges on neurite formation through a selective APP gain-of-function that could impact on axodendritic connectivity and contribute to aberrant axonal sprouting observed in Alzheimer's disease patients. PMID: 27196744
  27. early-onset Alzheimer's disease is caused by a novel N135Y mutation in PSEN1. PMID: 27793474
  28. PSEN1 rare variants collectively show a significant association with the brain atrophy in regions preferentially affected by late-onset Alzheimer's disease PMID: 27535542
  29. Tspan3 is a central endocytic membrane component regulating the expression of ADAM10, presenilin and the amyloid precursor protein. PMID: 27818272
  30. Familial Alzheimer's disease-associated PS1 mutations induce disease pathogenesis by increasing Abeta42/Abeta40 ratio. PMID: 27836335
  31. a novel mutation PSEN1 c.1156T>A, p.F386I was detected in a Chinese family with FAD. The mutation cosegregates with affected family members suggesting a mutagenic and probably pathogenic effect. PMID: 27816212
  32. proapoptotic signaling pathways c-Jun NH2-terminal kinase and p38 mitogen-activated protein kinase maintained PSEN1-mediated negative regulation in K239N but not in E120G-bearing cells PMID: 27498054
  33. increased mitochondrial calcium due to the gain-of-function enhancement of IP3R channels in the cells expressing PS1-M146L leads to the opening of permeability transition pore in high conductance state. PMID: 27184076
  34. Its mutants increase neurodegeneration by inhibiting the ability of neurons to use cellular factors as protective agents against toxic insults. PMID: 27143420
  35. The search for the genetic factors contributing to Alzheimer disease (AD) has evolved tremendously throughout the years. It started from the discovery of fully penetrant mutations in Amyloid precursor protein, Presenilin 1, and Presenilin 2 as a cause of autosomal dominant AD PMID: 26312828
  36. The authors now show that the very little Abeta generated by PS1 L435F mutant consists primarily of Abeta43, a highly amyloidogenic species which was overlooked in previous studies of this mutant. PMID: 26988102
  37. APP + PS1 double transgenic rats had altered serum Abeta42 and Abeta42/Abeta40 levels, brain histopathology and cognitive behavior. APP rat brain had many histopathogical abnormalities that are often seen in Alzheimer's disease brains, but their memory did not show significant impairment during the behavioral testing. APP + PS1 rats showed brain pathology as well as reduced memory retention compared to the APP and the ... PMID: 27388605
  38. we revealed the structural dynamics of the transmembrane domains of presenilin during the formation of the complex and its proteolytic process. The SCAM provides new insights into the relationship between the structure and activity of presenilin, and is useful for probing the protein dynamics of the membrane-embedded enzymes PMID: 28065263
  39. gamma-Secretase is a multimeric membrane protease involved in processing of the amyloid precursor protein with high clinical relevance as mutations in its catalytic subunit (Presenilin) cause early-onset Alzheimer's disease PMID: 28065273
  40. Using purified PSEN1/Aph1A gamma-secretase and the APPC99-3XFLAG substrate, authors show that substrate shortening progressively destabilizes the consecutive enzyme-substrate complexes that characterize the sequential gamma-secretase processing of APP; present a unifying model for how PSEN or APP mutations enhance amyloidogenic Abeta production, suggests that environmental factors may increase Alzheimer's Disease risk. PMID: 28753424
  41. Findings do not provide significant support for presenilin 1 (PSEN1) E318G as a risk factor for Alzheimer's disease (AD) in apolipoprotein E4 (APOEepsilon4) carriers. PMID: 27357204
  42. The N-terminal fragment of the catalytic subunit presenilin was determined as principal substrate-binding site. PMID: 27220847
  43. Data show that presenilin 1 (PS1)/anterior-pharynx-defective protein 1 (Aph1b), presenilin 2 (PS2)/Aph1aL, PS2/Aph1aS and PS2/anterior pharynx defective 1 homolog B (Aph1b) gamma-secretase produced amyloid beta peptide (Abeta) with a higher Abeta42+Abeta43-to-Abeta40 (Abeta42(43)/Abeta40) ratio than the other gamma-secretases. PMID: 27608597
  44. PSEN1 mutations are associated with specific AD phenotype. PMID: 27777022
  45. association of PS1 carboxyl peptide (residues 445-467, HL9) with DREAM is calcium dependent and stabilized by a cluster of three aromatic residues: F462 and F465 from PS1 and F252 from DREAM. PMID: 27009418
  46. Obstructive Sleep Apnea, and particularly Obstructive Sleep Apnea+Obesity, are associated with increased plasma levels of Alzheimer Disease biomarkers, which decline upon treatment of OSA in a representative, yet not all- encompassing subset of patients, suggesting that OSA may accelerate AD-related processes even in early childhood. PMID: 27070140
  47. This review reveled that Mutations in APP and PS-1 and PS-2 genes that are associated with early-onset, autosomal, dominantly inherited AD PMID: 27135718
  48. Mice overexpressing the Swedish (K594M/N595L) mutation of human APP together with PS1 deleted in exon 9 were used in this study which traces age- and brain region-specific changes of glucose metabolic disorder, learning, and memory dysfunction in early Alzheimer's Disease using 18)F-labed fluorodeoxyglucose ((18)F-FDG) microPET. PMID: 27763550
  49. Three early-onset Alzheimer's disease (EOAD) causative genes (APP, PSEN1, and PSEN2) were discovered in Asian countries. Most of the EOAD-associated mutations have been detected in PSEN1, and several novel PSEN1 mutations were recently identified in patients from various parts of the world, including Asia.[review] PMID: 27799753
  50. Data show that valproic acid (VPA) treatment enhanced gender-dependent learning and memory impairment in the human amyloid beta precursor protein/presenilin 1 (APP/PS1) double transgenic mice. PMID: 27614317

Show More

Hide All

Involvement in disease
Alzheimer disease 3 (AD3); Frontotemporal dementia (FTD); Cardiomyopathy, dilated 1U (CMD1U); Acne inversa, familial, 3 (ACNINV3)
Subcellular Location
Endoplasmic reticulum. Endoplasmic reticulum membrane; Multi-pass membrane protein. Golgi apparatus membrane; Multi-pass membrane protein. Cytoplasmic granule. Cell membrane; Multi-pass membrane protein. Cell projection, growth cone. Early endosome. Early endosome membrane; Multi-pass membrane protein. Cell projection, neuron projection. Cell projection, axon. Cell junction, synapse.
Protein Families
Peptidase A22A family
Tissue Specificity
Detected in azurophile granules in neutrophils and in platelet cytoplasmic granules (at protein level). Expressed in a wide range of tissues including various regions of the brain, liver, spleen and lymph nodes.
Database Links

HGNC: 9508

OMIM: 104311

KEGG: hsa:5663

STRING: 9606.ENSP00000326366

UniGene: Hs.3260

icon of phone
Call us
301-363-4651 (Available 9 a.m. to 5 p.m. CST from Monday to Friday)
icon of address
Address
7505 Fannin St., Ste 610, Room 7 (CUBIO Innovation Center), Houston, TX 77054, USA
icon of social media
Join us with

Subscribe newsletter

Leave a message

* To protect against spam, please pass the CAPTCHA test below.
CAPTCHA verification
© 2007-2025 CUSABIO TECHNOLOGY LLC All rights reserved. 鄂ICP备15011166号-1
×
Place an order now

I. Product details

*
*
*
*

II. Contact details

*
*

III. Ship To

*
*
*
*
*
*
*

IV. Bill To

*
*
*
*
*
*
*
*