PTPN11 Recombinant Monoclonal Antibody

Code CSB-RA080835A0HU
Size US$210
Order now
Image
  • Flow cytometric analysis of PTPN11 expression in HepG2 cells using PTPN11 antibody. Green, isotype control; red, PTPN11.
  • Immunocytochemical staining of HepG2 cells with PTPN11 antibody. Nuclei were stained blue with DAPI; PTPN11 was stained magenta with Alexa Fluor® 647. Images were taken using Leica stellaris 5. Protein abundance based on laser Intensity and smart gain: Medium. Scale bar, 20 μm.
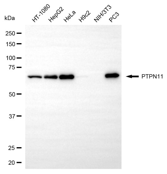
  • Western blotting analysis using PTPN11 antibody. Total cell lysates (30 μg) from various cell lines were loaded and separated by SDS-PAGE. The blot was incubated with PTPN11 antibody and HRP-conjugated goat anti-rabbit secondary antibody respectively.
Have Questions? Leave a Message or Start an on-line Chat

Product Details

Uniprot No.
Target Names
Alternative Names
PTPN11; Protein Tyrosine Phosphatase Non-Receptor Type 11; SH-PTP2; PTP2C; BPTP3; SHP-2; SHP2; SH2 Domain-Containing Protein Tyrosine Phosphatase 2; Tyrosine-Protein Phosphatase Non-Receptor Type 11; Protein-Tyrosine Phosphatase 1D; Protein-Tyrosine Phosphatase 2C; EC 3.1.3.48; SH-PTP3; PTP-1D; NS1; Protein Tyrosine Phosphatase, Non-Receptor Type 11; Noonan Syndrome 1; METCDS; SHPTP2; PTP-2C; JMML; Shp2; CFC
Species Reactivity
Human, Rat
Immunogen
Recombinant Human PTPN11 protein
Immunogen Species
Homo sapiens (Human)
Conjugate
Non-conjugated
Clonality
Monoclonal
Isotype
Rabbit IgG
Clone No.
22A8
Purification Method
Affinity-chromatography
Concentration
It differs from different batches. Please contact us to confirm it.
Buffer
Rabbit IgG in PBS (pH 7.4) containing 50% glycerol, and 0.02% sodium azide.
Form
Liquid
Tested Applications
ELISA, WB, FC, ICC
Recommended Dilution
Application Recommended Dilution
WB 1:1000-1:5000
FC 1:200-1:2000
ICC 1:100-1:1000
Troubleshooting and FAQs
Storage
Upon receipt, store at -20°C or -80°C. Avoid repeated freeze.
Lead Time
Basically, we can dispatch the products out in 1-3 working days after receiving your orders. Delivery time maybe differs from different purchasing way or location, please kindly consult your local distributors for specific delivery time.
Usage
For Research Use Only. Not for use in diagnostic or therapeutic procedures.

Customer Reviews and Q&A

 Customer Reviews

There are currently no reviews for this product.

Submit a Review here

Target Background

Function
Acts downstream of various receptor and cytoplasmic protein tyrosine kinases to participate in the signal transduction from the cell surface to the nucleus. Positively regulates MAPK signal transduction pathway. Dephosphorylates GAB1, ARHGAP35 and EGFR. Dephosphorylates ROCK2 at 'Tyr-722' resulting in stimulation of its RhoA binding activity. Dephosphorylates CDC73. Dephosphorylates SOX9 on tyrosine residues, leading to inactivate SOX9 and promote ossification.
Gene References into Functions
  1. Genetic or pharmacologic inactivation of SHP2 promotes accumulation of JAK2 phosphorylated at Y570, reduces JAK2/STAT3 signaling, inhibits TGFbeta-induced fibroblast activation and ameliorates dermal and pulmonary fibrosis. PMID: 30108215
  2. Authors identify that miR-186 serves as a tumor suppressor in OSCC. Downregulation of this microRNA may lead to a higher expression of oncogenic factor SHP2, which leads to activation of growth promoting signaling. PMID: 29407635
  3. REVIEW: structural basis and recent research progression on SHP2 in various human disease, including genetic and cancer diseases. PMID: 27028808
  4. the tumor promoting role of YAP is involved in SHP2 which functions as a tumor promoter in vitro but as a tumor suppressor in vivo PMID: 29699904
  5. Data indicate that by inhibiting adenine nucleotide translocase 1 (ANT1) and mitochondrial dysfunction, tyrosine phosphatase SHP2 orchestrates an intrinsic regulatory loop to limit excessive NLR family, pyrin domain-containing 3 protein (NLRP3) inflammasome activation. PMID: 29255148
  6. Findings revealed that SHP2 is associated with cisplatin-induced drug resistance in lung cancer and directly activates Ras, which in turn regulates the PI3K/Akt pathway. PMID: 29207183
  7. SHP-2 is activated by CD16b crosslinking in neutrophils. PMID: 29137913
  8. Proliferation and soft agar assays were used to demonstrate the functional contribution of SHP2 to cell growth and transformation. SHP2 expression correlated with SOX2 expression in glioma stem cell (GSC) lines and was decreased in differentiated cells. Forced differentiation of GSCs by removal of growth factors, as confirmed by loss of SOX2 expression, also resulted in decreased SHP2 expression. PMID: 28852935
  9. PTPN11 plays a role in regulating neurotrophin protective signaling in neuronal cells; PTPN11 dysregulation promotes apoptotic activation. PMID: 28947394
  10. This study provides information on phenotypes observed in Noonan syndrome patients with different PTPN11 mutations and defines two novel mutations. PMID: 26817465
  11. SHP-2 protein may become a new target for anti-malignant transformation of glioma. PMID: 28620155
  12. High SHP2 expression is associated with colorectal tumors. PMID: 27582544
  13. SHP2 expression was activated by the HBx-NF-kappaB pathway. In patients with HCC, a loss of SHP2 expression was associated with suppressed NF-kappaB-SHP2-ERK pathway activity and accelerated HCC development, whereas SHP2 overexpression in parallel with increased STAT3 activity was associated with fibrosis promotion during the early stages of HCC development. PMID: 28460481
  14. The inhibitory action of cryptotanshinone is largely attributed to the inhibition of STAT3 Tyr705 phosphorylation with a novel mechanism of upregulating the tyrosine phosphatase activity of SHP-2 protein. PMID: 28492557
  15. Studies indicate that multiple classes of PTPN11 mutations with a distinct perturbing effect on SHP2's function. PMID: 28074573
  16. Mutational status of NRAS, KRAS, and PTPN11 genes is associated with genetic/cytogenetic features in children with B-precursor acute lymphoblastic leukemia. PMID: 28853218
  17. Studied mutations of PTPN11 in a cohort of Noonan Syndrome patients. Mutational analysis was performed and PTPN11 mutations were detected in 11 out of 17 (64.7%) patients with Noonan syndrome; 72% had mutation in exon 3 and 27 % had mutation in exon 13. PMID: 28607217
  18. NO controls the calcium signal propagation through Cx37-containing gap junctions. The tyrosine phosphatase SHP-2 is the essential mediator and NO target. PMID: 29025706
  19. we describe patients with craniosynostosis and Noonan syndrome due to de novo mutations in PTPN11 and patients with craniosynostosis and CFC syndrome due to de novo mutations in BRAF or KRAS. All of these patients had cranial deformities in addition to the typical phenotypes of CFC syndrome and Noonan syndrome. PMID: 28650561
  20. These results suggest that SHP-2-via association with ICAM-1-mediates ICAM-1-induced Src activation and modulates VE-cadherin switching association with ICAM-1 or actin, thereby negatively regulating neutrophil adhesion to endothelial cells and enhancing their transendothelial migration. PMID: 28701303
  21. High PTPN11 expression is associated with suppression of T lymphocyte function in Melanoma. PMID: 27930879
  22. PTPN11 mutations are the most common cause of the Noonan syndrome, along with frequent neuroepithelial brain tumors. (Review) PMID: 28328117
  23. A novel PTPN11 mutation defined in two separate fetuses with Cystic hygroma and associated with Noonan syndrome phenotype is being reported. PMID: 27193571
  24. High PTPN11 expression is associated with Pancreatic cancer. PMID: 27213290
  25. SHP-2 acts together with PI3K/AKT to regulate a ZEB1-miR-200 feedback loop in PDGFRalpha-driven gliomas. PMID: 27041571
  26. The data presented in the current study reveal that intestinal serotonin transporter (SERT) is a target of the tyrosine phosphatase SHP2 and show a novel mechanism by which a common diarrheagenic pathogen, EPEC, activates cellular SHP2 to inhibit SERT function. PMID: 28209599
  27. The effects of SHP2 overexpression and inhibition on fibroblast response to profibrotic stimuli were analyzed in in primary human fibroblasts. SHP2 was down-regulated and lung fibroblasts obtained from patients with IPF, revealing SHP2 was absent within fibroblastic foci sufficient to induce fibroblast-to-myofibroblast differentiation in primary human lung fibroblasts, resulting in reduced cell survival. PMID: 27736153
  28. PTPN11 variant was identified in a case with a lethal presentation of Noonan syndrome. PMID: 28098151
  29. Appropriate knowledge of the phenotype-genotype correlations and of the outcome of cochlear implantation in genetic hearing impairment is important in the work-up to a CI PMID: 28483241
  30. our results provide strong evidence that CD244 co-operates with c-Kit to regulate leukemogenesis through SHP-2/p27 signaling. PMID: 28126968
  31. SHP2, SOCS3 and PIAS3 levels are reduced in medulloblastomas in vivo and in vitro, of which PIAS3 downregulation is more reversely correlated with STAT3 activation. In resveratrol-suppressed medulloblastoma cells with STAT3 downregulation and decreased incidence of STAT3 nuclear translocation, PIAS3 is upregulated, the SHP2 level remains unchanged and SOCS3 is downregulated. PMID: 28035977
  32. could promote hepatocellular carcinoma cell dedifferentiation and liver cancer stem cell expansion by amplifying beta-catenin signaling PMID: 28059452
  33. The results revealed that although the expression levels of SOCS1, SOCS3 and, in particular, pSHP2, tend to decrease in the four types of astrocytomas, PIAS3 downregulation is more negatively correlated with STAT3 activation in the stepwise progress of astrocytomas and would indicate an unfavorable outcome. PMID: 28035384
  34. In a retroviral transduction/transplantation mouse model, mice transplanted with MLL/AF10(OM-LZ) cells harboring PTPN11(wt) developed myelomonocytic leukemia. Those transplanted with cells harboring PTPN11(G503A) -induced monocytic leukemia in a shorter latency. Adding PTPN11(G503A) to MLL/AF10 affected cell proliferation, chemo-resistance, differentiation, in vivo BM recruitment/clonal expansion and faster progression. PMID: 27859216
  35. Shp2 (Src-homology 2 domain-containing phosphatase 2) functions as a negative regulator for STAT3 transcription factor (Stat3) activation in esophageal squamous cell cancer (ESCC). PMID: 28085101
  36. the phosphatase activity of Shp2 and its tyrosine phosphorylation, are necessary for the IL-6-induced downregulation of E-cadherin and the phosphorylation of Erk1/2. Our findings uncover an important function that links Shp2 to IL-6-promoted breast cancer progression. PMID: 28208810
  37. This study reveals the critical contribution of Ptpn11 mutations in the bone marrow microenvironment to leukaemogenesis and identifies CCL3 as a potential therapeutic target for controlling leukaemic progression in Noonan syndrome and for improving stem cell transplantation therapy in Noonan-syndrome-associated leukaemias. PMID: 27783593
  38. higher expression of SHP2 might be involved in the progression of pancreatic ductal adenocarcinoma, suggesting that SHP2 may be a potential prognostic marker and target for therapy PMID: 26695153
  39. Data indicate that the most prominent proteins associating with Gab2 are PTPN11, PIK3R1 and ARID3B. PMID: 27025927
  40. Since rs2301756 polymorphism of PTPN11 was associated with reduced risk of gastric cancer and better effects of chemotherapy on gastric cancer, it can be considered as a predictor of gastric cancer prognosis and the treatment target for gastric cancer. PMID: 27614952
  41. SHP2 gain-of-function mutation enhances malignancy of breast carcinoma. PMID: 26673822
  42. mutation in PTPN11 is associated with co-occurrence of hypertrophic cardiomyopathy and myeloproliferative disorder in a neonate with Noonan syndrome. PMID: 26286251
  43. The existence of a tight association between SHP2 and EGFR expression in tumors and cell lines further suggested the importance of SHP2 in EGFR expression. PMID: 26728598
  44. patients with low Shp2 expression exhibited superior prognosis to sorafenib PMID: 25865556
  45. Combined X-ray crystallography, small-angle X-ray scattering, and biochemistry to elucidate structural and mechanistic features of three cancer-associated SHP2 variants with single point mutations within the N-SH2:PTP interdomain autoinhibitory interface. PMID: 27030275
  46. In vitro assays suggested that LEOPARD syndrome-associated SHP-2 mutations might enhance melanin synthesis in melanocytes, and that the activation of Akt/mTOR signalling may contribute to this process. PMID: 25917897
  47. SHP2 may promote invadopodia formation through inhibition of Rho signaling in cancer cells. PMID: 26204488
  48. Shp2 promotes metastasis of prostate cancer by attenuating the PAR3/PAR6/aPKC polarity protein complex and enhancing epithelial-to-mesenchymal transition PMID: 26050620
  49. PTPN11 is a central node in intrinsic and acquired resistance to targeted cancer drugs. PMID: 26365186
  50. SHP2 preferentially binds to and dephosphorylates Ras to increase its association with Raf and activate downstream proliferative Ras/ERK/MAPK signaling. PMID: 26617336

Show More

Hide All

Involvement in disease
LEOPARD syndrome 1 (LPRD1); Noonan syndrome 1 (NS1); Leukemia, juvenile myelomonocytic (JMML); Metachondromatosis (MC)
Subcellular Location
Cytoplasm. Nucleus.
Protein Families
Protein-tyrosine phosphatase family, Non-receptor class 2 subfamily
Tissue Specificity
Widely expressed, with highest levels in heart, brain, and skeletal muscle.
Database Links

HGNC: 9644

OMIM: 151100

KEGG: hsa:5781

STRING: 9606.ENSP00000340944

UniGene: Hs.506852

icon of phone
Call us
301-363-4651 (Available 9 a.m. to 5 p.m. CST from Monday to Friday)
icon of address
Address
7505 Fannin St., Ste 610, Room 7 (CUBIO Innovation Center), Houston, TX 77054, USA
icon of social media
Join us with

Subscribe newsletter

Leave a message

* To protect against spam, please pass the CAPTCHA test below.
CAPTCHA verification
© 2007-2025 CUSABIO TECHNOLOGY LLC All rights reserved. 鄂ICP备15011166号-1
×
Place an order now

I. Product details

*
*
*
*

II. Contact details

*
*

III. Ship To

*
*
*
*
*
*
*

IV. Bill To

*
*
*
*
*
*
*
*