Phospho-NPM1 (S125) Recombinant Monoclonal Antibody

Code CSB-RA170404A0HU
Size US$210
Order now
Image
  • Western Blot
    Positive WB detected in: MCF7 whole cell lysate(30µg), HEK293 whole cell lysate(30µg), A549 whole cell lysate(30µg), U251 whole cell lysate(30µg), Hela whole cell lysate(30µg), Mouse brain tissue lysate(30µg)
    All lanes: p-Nucleophosmin (S125) antibody at 1:1000
    Secondary
    Goat polyclonal to rabbit IgG at 1/40000 dilution
    Predicted band size: 33 kDa
    Observed band size: 38 kDa
    Exposure time:2min
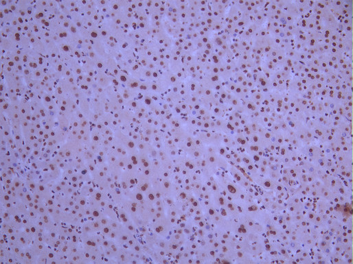
  • IHC image of CSB-RA170404A0HU diluted at 1:100 and staining in paraffin-embedded human liver tissue performed on a Leica BondTM system. After dewaxing and hydration, antigen retrieval was mediated by high pressure in a citrate buffer (pH 6.0). Section was blocked with 10% normal goat serum 30min at RT. Then primary antibody (1% BSA) was incubated at 4°C overnight. The primary is detected by a Goat anti-rabbit polymer IgG labeled by HRP and visualized using 0.05% DAB.
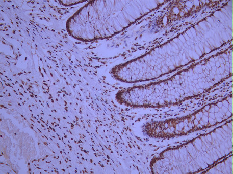
  • IHC image of CSB-RA170404A0HU diluted at 1:100 and staining in paraffin-embedded human colorectal cancer performed on a Leica BondTM system. After dewaxing and hydration, antigen retrieval was mediated by high pressure in a citrate buffer (pH 6.0). Section was blocked with 10% normal goat serum 30min at RT. Then primary antibody (1% BSA) was incubated at 4°C overnight. The primary is detected by a Goat anti-rabbit polymer IgG labeled by HRP and visualized using 0.05% DAB.
  • Immunofluorescence staining of HepG2 cell with CSB-RA170404A0HU at 1:50 , counter-stained with DAPI. The cells were fixed in 4% formaldehyde, permeabilized using 0.2% Triton X-100 and blocked in 10% normal Goat Serum. The cells were then incubated with the antibody overnight at 4°C. The secondary antibody was Alexa Fluor 488-congugated AffiniPure Goat Anti-Rabbit IgG(H+L).
  • Overlay Peak curve showing jurkat cells stained with CSB-RA170404A0HU (red line) at 1:100. The cells were fixed in 4% formaldehyde and permeated by 0.2% TritonX-100 for 10min. Then 10% normal goat serum to block non-specific protein-protein interactions followed by the antibody (1ug/1*106cells) for 45min at 4℃. The secondary antibody used was FITC-conjugated goat anti-rabbit IgG (H+L) at 1/200 dilution for 35min at 4℃.Control antibody (green line) was Rabbit IgG (1ug/1*106cells) used under the same conditions. Acquisition of >10, 000 events was performed.
Have Questions? Leave a Message or Start an on-line Chat

Product Details

Uniprot No.
Target Names
Alternative Names
B23 antibody; MGC104254 antibody; NO38 antibody; NPM antibody; NPM_HUMAN antibody; NPM1 antibody; Nucleolar phosphoprotein B23 antibody; Nucleolar protein NO38 antibody; Nucleophosmin (nucleolar phosphoprotein B23 numatrin) antibody; Nucleophosmin antibody; nucleophosmin nucleoplasmin family member 1 antibody; Nucleophosmin/nucleoplasmin family member 1 antibody; Numatrin antibody; OTTHUMP00000161024 antibody; OTTHUMP00000161025 antibody; OTTHUMP00000223397 antibody; OTTHUMP00000223398 antibody
Species Reactivity
Human, Mouse
Immunogen
A synthesized peptide from human NPM1 protein
Immunogen Species
Homo sapiens (Human)
Conjugate
Non-conjugated
Clonality
Monoclonal
Isotype
Rabbit IgG
Clone No.
12B1
Purification Method
Affinity-chromatography
Concentration
It differs from different batches. Please contact us to confirm it.
Buffer
Rabbit IgG in 10mM phosphate buffered saline , pH 7.4, 150mM sodium chloride, 0.05% BSA, 0.02% sodium azide and 50% glycerol.
Form
Liquid
Tested Applications
ELISA, WB, IHC, IF, FC
Recommended Dilution
Application Recommended Dilution
WB 1:500-1:5000
IHC 1:50-1:200
IF 1:50-1:200
FC 1:50-1:200
Troubleshooting and FAQs
Storage
Upon receipt, store at -20°C or -80°C. Avoid repeated freeze.
Lead Time
Basically, we can dispatch the products out in 1-3 working days after receiving your orders. Delivery time maybe differs from different purchasing way or location, please kindly consult your local distributors for specific delivery time.
Usage
For Research Use Only. Not for use in diagnostic or therapeutic procedures.

Customer Reviews and Q&A

 Customer Reviews

There are currently no reviews for this product.

Submit a Review here

Target Background

Function
Involved in diverse cellular processes such as ribosome biogenesis, centrosome duplication, protein chaperoning, histone assembly, cell proliferation, and regulation of tumor suppressors p53/TP53 and ARF. Binds ribosome presumably to drive ribosome nuclear export. Associated with nucleolar ribonucleoprotein structures and bind single-stranded nucleic acids. Acts as a chaperonin for the core histones H3, H2B and H4. Stimulates APEX1 endonuclease activity on apurinic/apyrimidinic (AP) double-stranded DNA but inhibits APEX1 endonuclease activity on AP single-stranded RNA. May exert a control of APEX1 endonuclease activity within nucleoli devoted to repair AP on rDNA and the removal of oxidized rRNA molecules. In concert with BRCA2, regulates centrosome duplication. Regulates centriole duplication: phosphorylation by PLK2 is able to trigger centriole replication. Negatively regulates the activation of EIF2AK2/PKR and suppresses apoptosis through inhibition of EIF2AK2/PKR autophosphorylation. Antagonizes the inhibitory effect of ATF5 on cell proliferation and relieves ATF5-induced G2/M blockade. In complex with MYC enhances the transcription of MYC target genes.
Gene References into Functions
  1. NPM1 and SURF6 form heterotypic liquid-like droplets in the nucleolus. PMID: 29483575
  2. High NPM1 expression is associated with tongue neoplasms. PMID: 29746960
  3. his meta-analysis indicated that NPM may act as a valuable prognosis biomarker and a potential therapeutic target in human solid tumors. PMID: 30126359
  4. this paper shows that viral nucleocapsid interacts with NPM1 and protects it from proteolytic cleavage, enhancing Cell survival, and is involved in porcine epidemic diarrhea virus growth PMID: 28045037
  5. DNMT3A R882 mutation plays an important role in CN-AML patients' prognosis and clinical outcomes in the presence and absence of NPM1 and FLT3 mutations. PMID: 29079128
  6. Mutation in NPM1 gene is associated with Acute Myeloid Leukemia. PMID: 29530994
  7. Nucleoplasmic translocation of NPM1 is a prerequisite for stress-induced activation of p53. PMID: 27886181
  8. NPM1 gene B type mutation enhanced the proliferation and invasion of THP-1 AML cells through the regulation of TIMP-2, MMP-2, Ang-1, c-myc and CCND1 PMID: 29441887
  9. In this study, FLT3 and NPM1 mutations were evaluated in adult Iranian patients with de novo cytogenetically normal acute myeloid leukemia and its correlations with clinical and laboratory parameters were also assessed. PMID: 28294102
  10. These observations demonstrated that the expression and localization of NPM affected the homeostatic balance of oxidative stress in tumor cells via PRDX6 protein. The regulation axis of NPM/PRDX/ROS may provide a novel therapeutic target for cancer treatment. PMID: 28513872
  11. ese results enhance our understanding of the molecular mechanisms that govern nucleoli formation by demonstrating that PPM1D regulates nucleolar formation by regulating NPM phosphorylation status through a novel signalling pathway, PPM1D-CDC25C-CDK1-PLK1 PMID: 27619510
  12. Data suggest that the direct interaction of several regions of nucleophosmin 1 (NPM1) C-terminal domain (CTD) with cellular membranes could be implicated in diseases where NPM1 is mutated and/or where its overexpression is cytoxic. PMID: 29330024
  13. Mechanically, mutant NPM1 interacted with PML and mediated its delocalization as well as stabilization contributing to elevated autophagic activity and leukemic cell survival in vitro. PMID: 28740552
  14. Mutation analysis in NPM1 in acute myeloid leukemia. PMID: 27071442
  15. We conclude that the degradation of NPM1 and HEXIM1 through autophagy in certain AML subsets contributes to the activation of the BET pathway in these cells. PMID: 27732946
  16. miR-10b exerts its effects by repressing the translation of KLF4 and that NPM1-mA inhibits myeloid differentiation through the miR-10b/KLF4 axis. PMID: 27669739
  17. NPM1 may play an important role in tumor progress in salivary gland adenoid cystic carcinoma (SACC) and is a potential biomarker for SACC. PMID: 27501253
  18. Data show that phosphorylated forms of nucleophosmin 1 (NPM1) interact with androgen receptor (AR) in nucleoplasm. PMID: 26993766
  19. Studies indicate that nucleophosmin 1 (NPM1) has been considered as a promising target for the treatment of both haematologic and solid malignancies. PMID: 27058426
  20. Work identifies the TP53 tumor suppressor as a novel target through which NPM1-RARA impacts leukemogenesis. PMID: 26754533
  21. These results suggested that relocation of NPM altered its interactional network and consequently disturbed the primary functions, including cell proliferation, adhesion, migration, and invasion. NPM plays a promotional role in cancer. PMID: 28262969
  22. the consequence of mutations in NPM1 and possible mechanisms through which mutations lead to leukemogenesis (review0. PMID: 28111462
  23. NPM1 mutation but not RUNX1 mutation or multilineage dysplasia defines a prognostic subgroup within de novo acute myeloid leukemia lacking recurrent cytogenetic abnormalities PMID: 28370403
  24. Nucleophosmin 1 (NPM1) mutations in chronic myelomonocytic leukemia and their prognostic relevance. PMID: 28707414
  25. Multivariable analyses on time to relapse and OS revealed pre-transplant NPM1 MRD levels >1% as an independent prognostic factor for poor survival after allogeneic HSCT, whereas FLT3-ITD had no impact. Notably, outcome of patients with pre-transplant NPM1 MRD positivity >1% was as poor as that of patients transplanted with RD. PMID: 27471865
  26. Our results indicate that CD4 expression and older age are adverse prognostic factors in wild-type NPM1, FLT3-ITD-negative CN-AML. PMID: 28318150
  27. NPM1-dependent nucleolar PIDDosome is a key initiator of the caspase-2 activation cascade. PMID: 28432080
  28. Data indicate that NPM-ALK was distributed in equal amounts between the cytoplasm and the nucleus. PMID: 26657151
  29. The aim of this review is to look at the less well-described role of NPM1 in the DNA repair pathways as well as the role of NPM1 in the regulation of apoptosis and its mutation in cancers. [review] PMID: 27553022
  30. revealed that the localization of fluorescently labeled NPM is affected by the interaction between various forms of the protein PMID: 28384310
  31. value of mutated NPM1 in AML in risk assessment and evaluating prognosis PMID: 27416910
  32. NPM1 downregulation by P-STAT5 is mediated by impairing the BRCA1-BARD1 ubiquitin ligase, which controls the stability of NPM1. In turn, decreased NPM1 levels led to suppression of p53 expression, resulting in enhanced cell survival. PMID: 28005077
  33. These results suggest that the p38/NPM/PP2A complex acts as a dynamic sensor, allowing endothelial cells to react rapidly to acute oxidative stress. PMID: 27142525
  34. Nucleophosmin-anaplastic lymphoma kinase serves as the founding member of the ALK fusion protein family, and its role in malignant cell transformation is by far the best characterized and, thus, is the main focus of this review. [review] PMID: 27879258
  35. data suggest that NPM1 mutations are a secondary or late event in the pathogenesis of AML and are preceded by founder mutations in genes that may be associated with recently described preclinical states such as clonal hematopoiesis of indeterminate potential or clonal cytopenias of undetermined significance. PMID: 28152414
  36. Mutations of NPM1 gene is associated with Acute myeloid leukemia. PMID: 27636548
  37. RQ-PCR of the NPM1 type A mutation was more sensitive and reliable than MFC for determination of minimal residual disease , which might have clinical implications. PMID: 27191933
  38. The results demonstrated that NPM downregulation markedly reversed the effects of multidrug resistance in in human hepatoma cells. In addition, NPM downregulation reduced P-glycoprotein expression, as well as MDR1 expression. PMID: 28259962
  39. Only karyotype and mutated NPM1 (NPM1mut) were independent predictors of survival in acute myeloid leukemia PMID: 27643573
  40. Our study provides a method for systematic characterization of NPM1 oligomer formation changes and for screening inhibitors of NPM1 oligomerization. PMID: 27983985
  41. Mutation of NPM1 determined by the widely available and inexpensive Immunohistochemical(IHC )agrees closely with results of the standard molecular methods. Thus, technically and financially not well endowed laboratories can provide the prognostically and potentially therapeutically important information on NPM1 mutation using IHC. PMID: 27748301
  42. In pediatric patients with AML from Argentina, a favorable prognosis of AML with genotype NPM1-mutated/FLT3-ITD-negative was confirmed. PMID: 27436336
  43. This study investigated the expression level of miR-1, miR-486, and let-7a in 45 CN-AML patients well characterized for FLT3 and/or NPM1 mutations using real-time quantitative RT-PCR and evaluated the association between candidate miRs expression and clinical features PMID: 26526573
  44. data showed that the pre-transplant level of MRD in patients with normal karyotype AML harboring NPM1 mutation in CR provides important prognostic information, which as an independent prognostic factor predicts transplant results PMID: 27798920
  45. Molecular subtypes of NPM1 mutations have different clinical profiles, specific patterns of accompanying molecular mutations and varying outcomes in intermediate risk acute myeloid leukemia. PMID: 26471486
  46. In this study, a direct association was observed between NPMc(+)expression in AML, reduced antioxidant responses, and enhanced sensitivity to an oral proteasome inhibitor that induces oxidative stress. PMID: 26634271
  47. analysis of the frequency and features of Acute myeloid leukemia with mutated NPM1 in Indian patients PMID: 26669619
  48. Nucleophosmin Interacts with promyelocytic leukemia protein/retinoic acid receptor alpha Only in the Resistant Cell Line. PMID: 26997274
  49. Longitudinal qPCR monitoring of nucleophosmin 1 mutations after allogeneic hematopoietic stem cell transplantation to predict AML relapse. PMID: 26642331
  50. results suggest that cup-like nuclei represent an important morphologic clue that can predict NPMc+ AML and guide toward prioritizing the further workup of AML patients PMID: 26200838

Show More

Hide All

Involvement in disease
A chromosomal aberration involving NPM1 is found in a form of non-Hodgkin lymphoma. Translocation t(2;5)(p23;q35) with ALK. The resulting chimeric NPM1-ALK protein homodimerize and the kinase becomes constitutively activated.
Subcellular Location
Nucleus, nucleolus. Nucleus, nucleoplasm. Cytoplasm, cytoskeleton, microtubule organizing center, centrosome. Note=Generally nucleolar, but is translocated to the nucleoplasm in case of serum starvation or treatment with anticancer drugs. Has been found in the cytoplasm in patients with primary acute myelogenous leukemia (AML), but not with secondary AML. Can shuttle between cytoplasm and nucleus. Co- localizes with the methylated form of RPS10 in the granular component (GC) region of the nucleolus. Colocalized with nucleolin and APEX1 in nucleoli. Isoform 1 of NEK2 is required for its localization to the centrosome during mitosis.
Protein Families
Nucleoplasmin family
Database Links

HGNC: 7910

OMIM: 164040

KEGG: hsa:4869

STRING: 9606.ENSP00000296930

UniGene: Hs.557550

icon of phone
Call us
301-363-4651 (Available 9 a.m. to 5 p.m. CST from Monday to Friday)
icon of address
Address
7505 Fannin St., Ste 610, Room 7 (CUBIO Innovation Center), Houston, TX 77054, USA
icon of social media
Join us with

Subscribe newsletter

Leave a message

* To protect against spam, please pass the CAPTCHA test below.
CAPTCHA verification
© 2007-2025 CUSABIO TECHNOLOGY LLC All rights reserved. 鄂ICP备15011166号-1
×
Place an order now

I. Product details

*
*
*
*

II. Contact details

*
*

III. Ship To

*
*
*
*
*
*
*

IV. Bill To

*
*
*
*
*
*
*
*