RBP4 Recombinant Monoclonal Antibody

Code CSB-RA019483MA1HU
Size US$210
Order now
Image
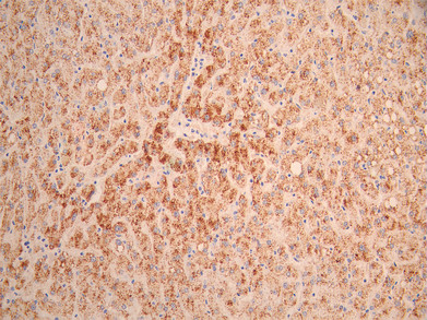
  • IHC image of CSB-RA019483MA1HU diluted at 1:50 and staining in paraffin-embedded human liver tissue performed on a Leica BondTM system. After dewaxing and hydration, antigen retrieval was mediated by high pressure in a citrate buffer (pH 6.0). Section was blocked with 10% normal goat serum 30min at RT. Then primary antibody (1% BSA) was incubated at 4°C overnight. The primary is detected by a Anti-Human lgG, Fcy Fragment Specific labeled by HRP and visualized using 0.05% DAB.
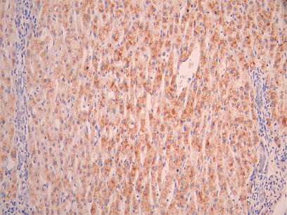
  • IHC image of CSB-RA019483MA1HU diluted at 1:50 and staining in paraffin-embedded human liver cancer performed on a Leica BondTM system. After dewaxing and hydration, antigen retrieval was mediated by high pressure in a citrate buffer (pH 6.0). Section was blocked with 10% normal goat serum 30min at RT. Then primary antibody (1% BSA) was incubated at 4°C overnight. The primary is detected by a Anti-Human lgG, Fcy Fragment Specific labeled by HRP and visualized using 0.05% DAB.
Have Questions? Leave a Message or Start an on-line Chat

Product Details

Uniprot No.
Target Names
Alternative Names
OTTHUMP00000020114 antibody; OTTHUMP00000020115 antibody; OTTHUMP00000020116 antibody; Plasma retinol binding protein 4 antibody; Plasma retinol-binding protein antibody; Plasma retinol-binding protein(1-176) antibody; PRBP antibody; PRO2222 antibody; RBP antibody; RBP4 antibody; RDCCAS antibody; RET4_HUMAN antibody; Retinol binding protein 4 antibody; Retinol binding protein 4 interstitial antibody; Retinol binding protein 4 plasma antibody
Species Reactivity
Human
Immunogen
Recombinant Human RBP4 protein
Immunogen Species
Homo sapiens (Human)
Conjugate
Non-conjugated
Clonality
Monoclonal
Isotype
hIgG1
Clone No.
12H11
Purification Method
Affinity-chromatography
Concentration
It differs from different batches. Please contact us to confirm it.
Buffer
Preservative: 0.03% Proclin 300
Constituents: 50% Glycerol, 0.01M PBS, PH 7.4
Form
Liquid
Tested Applications
ELISA, IHC
Recommended Dilution
Application Recommended Dilution
IHC 1:50-1:200
Troubleshooting and FAQs
Storage
Upon receipt, store at -20°C or -80°C. Avoid repeated freeze.
Lead Time
Basically, we can dispatch the products out in 1-3 working days after receiving your orders. Delivery time maybe differs from different purchasing way or location, please kindly consult your local distributors for specific delivery time.
Usage
For Research Use Only. Not for use in diagnostic or therapeutic procedures.

Customer Reviews and Q&A

 Customer Reviews

There are currently no reviews for this product.

Submit a Review here

Target Background

Function
Retinol-binding protein that mediates retinol transport in blood plasma. Delivers retinol from the liver stores to the peripheral tissues. Transfers the bound all-trans retinol to STRA6, that then facilitates retinol transport across the cell membrane.
Gene References into Functions
  1. Baseline RBP4 levels and MELD scores predicted 21-day (/=25) mortality, respectively. In critically ill patients with underlying liver disease, with a link to eGFRs, INRs and TC levels, the baseline RBP4 may serve as a marker for short-term mortality. PMID: 28588245
  2. our study provides clinical evidence revealing that the serum concentrations of RBP4 were elevated in NAFLD patients in a Chinese population. These findings indicated that RBP4 might be a noninvasive molecular biomarker that detects the presence of NAFLD in middle-aged and elderly population. PMID: 28332619
  3. Vitreous levels of APOA1 and RBP4 in human rhegmatogenous retinal detachment associated with choroidal detachment reflects the severity of disease. PMID: 29618920
  4. The overexpression of RBP4 increased cell proliferation, whereas siRNA-mediated RBP4 knockdown significantly decreased HTR8/SVneo cell proliferation via activation of PI3K/AKT signaling. PMID: 30015949
  5. High RBP4 expression is associated with hypertriglyceridemia. PMID: 29747616
  6. We observed that knockdown of RBP4 can greatly suppress ovarian cancer cell migration and proliferation. PMID: 29642915
  7. This study showed that the Levels of circulating RBP4 was significantly higher in Chronic Kidney Disease than in control. PMID: 29678848
  8. Our results demonstrate that IR is associated with high circulating RBP4 and that suppressed RBP4 adipose tissue expression is accompanied by reduced GLUT4 expression in HD. Renal transplantation or HDF are effective in lowering serum RBP4 levels. PMID: 29333450
  9. Data suggest that serum levels of RBP4 and LGAL3BP are up-regulated after menopause when complicated by NAFLD (non-alcoholic fatty liver disease); RBP4 and LGAL3BP may serve as biomarkers of NAFLD in postmenopausal women. (RBP4 = retinol binding protein 4; LGAL3BP = galectin-3 binding protein) PMID: 29679552
  10. Elevated levels of RBP4 were not associated with an increased risk of ischemic stroke among women. PMID: 28888344
  11. Study showed that dietary weight loss-induced changes in angiotensin-converting enzyme activity, free fatty acids and RBP4 independently contribute to weight regain prediction. PMID: 29122953
  12. RBP4 is involved in all-trans retinoic acid-induced cleft palate. PMID: 28849085
  13. the 1.5A resolution structures of human holo-RBP4 and of the protein saturated with palmitic and lauric acid and discuss the interaction of the fatty acids and retinol with the protein, are reported. PMID: 29414511
  14. Circulating RBP4 levels may not be associated with nonalcoholic fatty liver disease. PMID: 28931435
  15. Plasma PEDF and RBP4 identified insulin resistance in subjects with no prior diagnosis of diabetes. PMID: 28648555
  16. Serum RBP4 level was significantly higher and closely associated with blood pressure in prehypertensive Chinese. PMID: 28639612
  17. Conclusion RBP4 may be used as a predictive factor of diabetic nephropathy patients complicated with silent cerebral infarction (SCI) and is positively correlated with cognitive dysfunction. RBP4/Lp-PLA2/Netrin-1 pathway activation may be one of the occurrence mechanisms in diabetic nephropathy complicated with SCI. PMID: 28704853
  18. these data demonstrate a key role of STRA6 and RBP4 in the maintenance of colon cancer self-renewal and that this pathway is an important link through which consumption of HFD contributes to colon carcinogenesis. PMID: 28689994
  19. Data suggest that, in subjects with chronic kidney disease, renal function is inversely related to serum RBP4 levels; as GFR decreases, the relationship between RBP4 and insulin resistance is attenuated. (GFR = glomerular filtration rate, a measure of kidney function) PMID: 28473187
  20. Results identified RBP4 as a promising acute liver failure (ALF) biomarker among energy metabolism-related proteins. RBP4 values signaled liver injury at an early stage, as its decreasing level was observed before ALT elevation in the pig ALF model, and its significant decreasing level in ALF patients. PMID: 28336726
  21. Elevated RBP4 is detectable early in pregnancy and has strong correlation with preeclampsia and premature birth. PMID: 28338737
  22. RBP4-induced inflammation is largely mediated by TLR4. PMID: 28400700
  23. RBP4 may be associated with higher cardiovascular risk in overweight/obese adolescent girls, but this association is mediated by abdominal obesity. PMID: 29120147
  24. Bi-allelic mutations in RBP4 were identified (c.248+1G>A), consistent with a diagnosis of inherited vitamin A deficiency. PMID: 27892788
  25. Childhood obesity may be associated with variations in RBP4 gene. The presence of selective SNPs in the RBP4 gene may account for metabolic complications. PMID: 26611784
  26. Low levels of vitamin A, E and RBP4 at the time of renal cell carcinoma diagnosis are associated with a poorer prognosis after surgery. PMID: 28668878
  27. RBP4 is some 6-fold lower when active TB patients have chronic energy deficiency (CED) than when BMI is >25 kg/m sq; however, free fatty acids were not associated with CED in active TB patients, which may be a type 2 error or represent an energy impasse where infection and the host's metabolic needs are in competition. PMID: 28625041
  28. Data show that the tissue-specific expression pattern of human transgenic retinol binding protein 4 (hRBP4orf) was roughly the same as that of mouse Rbp4. PMID: 28134916
  29. Elevated levels of RBP4 are associated with higher cardiovascular mortality among men with type 2 diabetes. PMID: 27609367
  30. RBP4 and retinol levels were increased approximately twofold in patients with chronic kidney disease. PMID: 27277845
  31. RBP4 level was associated with increased arterial stiffness in young subjects with family history of type 2 diabetes. PMID: 26868132
  32. Retinol-binding protein 4 is able to function as biomarker to distinguish severe pre-eclampsia from normal pregnancy. More importantly, these results may shed light on the role of Retinol-binding protein 4 in the pathogenesis in pre-eclampsia. PMID: 27279411
  33. High level of RBP4 is associated with obesity. PMID: 26794633
  34. The positive association between circulating RBP4 and ApoB-containing lipoproteins in a steady metabolic state, as well as during a hypocaloric diet, appears to be attenuated in patients with very high serum triglycerides. PMID: 27086684
  35. Urinary KNG1 and RBP4 clearly respond to AKI. Additionally, RBP4 could predict recovery by monitoring this protein levels over time after AKI, as RBP4 reflects patient's normalization earlier than sCr values do. PMID: 26792617
  36. SNPsRBP4 was associated with age at onset in familial amyloid polyneuropathy. PMID: 26286643
  37. Serum RBP4 is negatively related to estrogen in Chinese women with obesity. PMID: 26960804
  38. Dietary vitamin A may reduce abdominal adiposity and promote visceral to subcutaneous body fat redistribution during adolescence in an RBP4-dependent manner. PMID: 26667887
  39. The results of this meta-analysis support the hypothesis that RBP4 is a modest independent risk factor for gestational diabetes mellitus (i.e., nonobese patients with gestational diabetes mellitus might express RBP4 at abnormal levels).The association between RBP4 rs3758539 polymorphism and gestational diabetes mellitus risk was not confirmed. PMID: 26975349
  40. RBP-4 levels are higher in patients with clinical hypothyroidism and exhibit a marked decrease after normalization of thyroid function in both hyper and hypothyroid patients. We suggest that RBP-4 may play a role in the metabolic disturbances which accompany thyroid dysfunction. PMID: 26575118
  41. Fasting concentrations of RBP-4 were negatively correlated with BMI and waist-hip ratio, whereas lipocalin-2 levels were positively associated with BMI and waist-hip ratio. PMID: 26069091
  42. male mice are susceptible to high fat diet-induced hyperglycaemia and display higher plasma RBP4 levels, possibly due to its over-expression in visceral adipose depots PMID: 26619134
  43. RBP4 concentrations were significantly lower in hepatitis C subjects compared to controls. PMID: 26927700
  44. Presence of gestational diabetes mellitus risk factors does not have an impact on early second trimester RBP-4 values in pregnant subjects. PMID: 25227411
  45. This study describe the discovery and subsequent replications of RBP4 and its combination with circulating GFAP as plasmatic biomarkers for hyperacute stroke subtype differentiation. PMID: 26526443
  46. Gc1s/Gc1s phenotype variant of DBP and the unbound fraction of plasma RBP4 may be considered as factors related with the incidence, and possibly the risk, of IR in CHC patients. PMID: 26962819
  47. RBP correlated with IgG4 and IgA. RBP also correlated positively with age and with influenza virus-specific antibody neutralization titres. PMID: 26425827
  48. Genetic variants of retinol-binding protein 4 in adolescents are associated with liver function and inflammatory markers but not with obesity and insulin resistance PMID: 26440092
  49. Baseline serum RBP4 levels were independently associated with incident diabetes in Asian Indian men with impaired glucose tolerance. PMID: 25810022
  50. Findings suggested that Asian women with gestational diabetes mellitus had increased circulating RBP4 levels in their second/third trimester. [Meta-Analysis] PMID: 25703255

Show More

Hide All

Involvement in disease
Retinal dystrophy, iris coloboma, and comedogenic acne syndrome (RDCCAS); Microphthalmia, isolated, with coloboma, 10 (MCOPCB10)
Subcellular Location
Secreted.
Protein Families
Calycin superfamily, Lipocalin family
Tissue Specificity
Detected in blood plasma and in urine (at protein level).
Database Links

HGNC: 9922

OMIM: 180250

KEGG: hsa:5950

STRING: 9606.ENSP00000360519

UniGene: Hs.50223

icon of phone
Call us
301-363-4651 (Available 9 a.m. to 5 p.m. CST from Monday to Friday)
icon of address
Address
7505 Fannin St., Ste 610, Room 7 (CUBIO Innovation Center), Houston, TX 77054, USA
icon of social media
Join us with

Subscribe newsletter

Leave a message

* To protect against spam, please pass the CAPTCHA test below.
CAPTCHA verification
© 2007-2025 CUSABIO TECHNOLOGY LLC All rights reserved. 鄂ICP备15011166号-1
×
Place an order now

I. Product details

*
*
*
*

II. Contact details

*
*

III. Ship To

*
*
*
*
*
*
*

IV. Bill To

*
*
*
*
*
*
*
*