ROS1 Monoclonal Antibody

Code CSB-MA780964
Size US$210
Order now
Image
  • Flow cytometric analysis of ROS1 expression in HAP-1 cells using ROS1 antibody. Green, isotype control; red, ROS1.
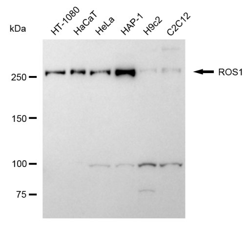
  • Western blotting analysis using ROS1 antibody. Total cell lysates (30 μg) from various cell lines were loaded and separated by SDS-PAGE. The blot was incubated with ROS1 antibody and HRP-conjugated goat anti-mouse secondary antibody respectively.
Have Questions? Leave a Message or Start an on-line Chat

Product Details

Full Product Name
Mouse anti-Homo sapiens (Human) ROS1 Monoclonal antibody
Uniprot No.
Target Names
Alternative Names
ROS1; ROS Proto-Oncogene 1, Receptor Tyrosine Kinase; MCF3; ROS; C-Ros-1; V-Ros Avian UR2 Sarcoma Virus Oncogene Homolog 1; C-Ros Oncogene 1 , Receptor Tyrosine Kinase; Proto-Oncogene Tyrosine-Protein Kinase ROS; Proto-Oncogene C-Ros-1; V-Ros UR2 Sarcoma Virus Oncogene Homolog 1 (Avian); ROS Proto-Oncogene 1 , Receptor Tyrosine Kinase; Transmembrane Tyrosine-Specific Protein Kinase; Receptor Tyrosine Kinase C-Ros Oncogene 1; C-Ros Receptor Tyrosine Kinase; Proto-Oncogene C-Ros; EC 2.7.10.1
Raised in
Mouse
Species Reactivity
Human, Mouse, Rat
Immunogen
Recombinant Human ROS1 protein
Immunogen Species
Homo sapiens (Human)
Conjugate
Non-conjugated
Clonality
Monoclonal
Isotype
Mouse IgG2a
Clone No.
8B6
Purification Method
Affinity-chromatography
Concentration
It differs from different batches. Please contact us to confirm it.
Buffer
PBS (pH 7.4) containing 50% glycerol, and 0.02% sodium azide.
Form
Liquid
Tested Applications
ELISA, WB, FC
Recommended Dilution
Application Recommended Dilution
WB 1:100-1:500
FC 1:200-1:2000
Troubleshooting and FAQs
Storage
Upon receipt, store at -20°C or -80°C. Avoid repeated freeze.
Lead Time
Basically, we can dispatch the products out in 1-3 working days after receiving your orders. Delivery time maybe differs from different purchasing way or location, please kindly consult your local distributors for specific delivery time.
Usage
For Research Use Only. Not for use in diagnostic or therapeutic procedures.

Customer Reviews and Q&A

 Customer Reviews

There are currently no reviews for this product.

Submit a Review here

Target Background

Function
Orphan receptor tyrosine kinase (RTK) that plays a role in epithelial cell differentiation and regionalization of the proximal epididymal epithelium. May activate several downstream signaling pathways related to cell differentiation, proliferation, growth and survival including the PI3 kinase-mTOR signaling pathway. Mediates the phosphorylation of PTPN11, an activator of this pathway. May also phosphorylate and activate the transcription factor STAT3 to control anchorage-independent cell growth. Mediates the phosphorylation and the activation of VAV3, a guanine nucleotide exchange factor regulating cell morphology. May activate other downstream signaling proteins including AKT1, MAPK1, MAPK3, IRS1 and PLCG2.
Gene References into Functions
  1. CEP72-ROS1 is a novel ROS1 fusion variant in non-small cell lung cancer (NSCLC) discovered by next-generation sequencing and could be included in ROS1 detection assay, such as reverse transcription PCR. PMID: 29517860
  2. The upstream breakpoint lies in the same region as the breakpoint of a fused gene SLC34A2-ROS1, which encodes a constitutive kinase in the lung cancer cell line HCC78 and nonsmall-cell lung cancer (NSCLC), suggesting that the deletion in this family is a hot spot for recombination, not only in cancer samples with somatic mutation, but also in PAM patients with germline genetic defects of SLC34A2. PMID: 30262706
  3. Although rare, patients with ovarian serous carcinoma or serous borderline tumor may exhibit ROS1 gene rearrangement and ROS1 protein expression PMID: 30249502
  4. Study based on 47 tissue samples from spitzoid tumors revealed 2 BAP1-inactived cases. The absence of anomalous expression of translocation-related proteins ALK and ROS1 in this series, composed predominantly of low-grade/low-risk tumors, indicates that translocated spitzoid lesions may not be as prevalent as initially suggested, at least in some populations. PMID: 29623743
  5. None of the genitourinary pseudosarcomatous myofibroblastic proliferations was found to harbour USP6 (0/12), ROS1 (0/8) or ETV6 (0/7) rearrangements PMID: 29617048
  6. lung adenocarcinoma in Asian patients aged 50 years, especially EML4-ALK and ROS1 fusion. Mutation analysis may be helpful in determining targeted therapy for the majority of these patients PMID: 30107055
  7. Compared with ROS1-negative advanced NSCLCs,ROS1-rearranged advanced NSCLCs were associated with a younger age at presentation. ROS1 rearrangements were not significantly associated with sex, smoking history, drinking history and metastatic sites. PMID: 27708233
  8. ROS1 rearrangement was detected in 1.1% of CCA patients. Although rare, conduct of clinical trials using ROS1 inhibitors in these genetically unique patients is warranted. PMID: 27121721
  9. For intra-hepatic cholangiocarcinomas (IHCC)patients, ROS1, ALK and c-MET expression levels have prognostic significance on clinical outcomes. Although this finding may require further validation, it has led to proposal of a new stratification or enriched biomarker for future phase III trial of anti-EGFR therapy in IHCC PMID: 27136744
  10. Polymorphisms rs1333049 and rs10757278 are associated with SCD in men and rs499818 in the women aged over 50 years. PMID: 28400043
  11. Overcome crizotinib resistance in a ROS1-rearranged cancer. PMID: 26673800
  12. The ROS1 S1986Y/F and ALK C1156Y mutations are homologous and displayed similar sensitivity patterns to ALK/ROS1 TKIs. PMID: 27401242
  13. Given the results from the ROS1 cohort of the clinical trial PROFILE 1001, crizotinib represents a new treatment option and the first approved therapy for patients with metastatic non-small cell lung cancer whose tumors are ROS1 positive. Crizotinib demonstrated efficacy irrespective of prior treatment status. PMID: 27328934
  14. ROS1 rearrangements rarely overlap with alterations in EGFR, KRAS, ALK, or other targetable oncogenes in NSCLC. PMID: 28088512
  15. C-ROS-1 is involved in Bone marrow-derived mesenchymal stem/stromal cell fate switching between osteogenesis and adipogenesis, mediated via PI3K/AKT/mTORC1 signalling. PMID: 27669657
  16. Findings highlight ROS1 as a candidate biomarker and therapeutic target for oral squamous cell carcinoma. PMID: 28759046
  17. Studies suggest that the routine clinical use of fluorescence in situ hybridization (FISH) and immunocytochemistry (ICC) may be replaced by emerging next-generation sequencing and digital, color-coded barcode technologies, which have the advantage of simultaneously evaluating anaplastic lymphoma kinase (ALK) and c-ros oncogene 1 (ROS1) and epidermal growth factor receptor (EGFR) alterations in a single analysis. PMID: 28743163
  18. ROS1-positive metastatic lung adenocarcinomas frequently harbor concomitant oncogenic driver mutations. PMID: 27575422
  19. MFA has a protective effect on alcohol-induced liver injury, which may be related to its antioxidant,anti-inflammatory,lipid-eliminating properties and its ability to regulate the NOX4/ROS-MAPK signalling pathway. PMID: 28890346
  20. Female, cribriform structure and presence of psammoma body were the three most powerful indicator of ROS1 rearrangement status, and predictive formula was helpful in screening ROS1-rearranged non-small-cell lung carcinomas, especially for ROS1 immunochemistry equivocal cases. PMID: 27648828
  21. report adds the ZCCHC8-ROS1 fusion as oncogenic driver in GBM and supports the role of ROS1 activation in the pathogenesis of a subset of glioblastoma PMID: 27121553
  22. ROS1 mutation is associated with response to chemotherapy in lung adenocarcinoma. PMID: 28063177
  23. A subset of ALK-negative inflammatory myofibroblastic tumour (IMT) have rearrangement of ROS1, ETV6 or NTRK3 as a possible oncogenic mechanism. PMID: 26647767
  24. High CEP85L-ROS1 expression is associated with neoplasms. PMID: 27153396
  25. 26 genes were found to fuse with ROS1 and different ROS1 fusions have distinct subcellular localization, suggesting that they may activate different substrates in vivo[review] PMID: 27256160
  26. ROS1-fusion genes act as a driver for the pathogenesis of lung adenocarcinoma. PMID: 26964870
  27. High prevalence of ROS1 copy number alterations are frequent in non-small cell lung cancer. PMID: 26783962
  28. curcumin and ABT-737 on HCC cells was investigated for the first time, to the best of our knowledge. It was found that curcumin markedly enhanced the antitumor effects of ABT-737 on HepG2 cells and activate ROS-ASK1-c-Jun N-terminal kinase pathway . PMID: 26707143
  29. LIX1L is an RNA-binding protein, with implications for therapeutic approaches for targeting LIX1L in LIX1L-expressing cancer cells. PMID: 26310847
  30. ADAM9 and ROS1 are direct downstream targets of miR-33a PMID: 26507842
  31. ALK and ROS1 rearrangements found in advanced non-small cell lung cancer patients PMID: 26152804
  32. The upregulation of ROS1 and DDR1 was confirmed at the protein level by western blot. Treatment with a potent and specific pyrazole ROS1 inhibitor in ROS1 overexpressing clones led to a sensitization of these cells to low concentrations of gefitinib. PMID: 25978031
  33. ROS1 protein expression was associated with well-differentiated histology and better survival in our patients with resected intrahepatic cholangiocarcinoma PMID: 26475437
  34. ROS1 rearrangement was not identified in Glioblastoma Multiforme patients. PMID: 26366867
  35. ROS1-rearranged adenocarcinoma exhibited distinct morphological and clinicopathological features. PMID: 26149475
  36. ROS1 gene rearrangment is associated with drug resistance in non-small-cell lung cancer. PMID: 25846554
  37. ROS1-rearangement is not only a predictive marker for response to crizotinib, but also seems to be the one of the best prognostic molecular markers in NSCLC reported so far. PMID: 25868855
  38. findings suggest that immunohistochemistry for ROS1 may be useful to support the diagnosis of a subset of inflammatory myofibroblastic tumors PMID: 25612511
  39. Molecular changes associated with acquired crizotinib resistance in ROS1-rearranged non-small cell lung cancer are heterogeneous, including ROS1 tyrosine kinase mutations, EGFR activation, and epithelial-to-mesenchymal transition. PMID: 25688157
  40. Our findings show good correlation between FISH versus CISH in the detection of ALK and ROS1 rearrangements. FISH versus IHC showed good correlation in the detection of ALK rearrangements PMID: 25789833
  41. We developed a comprehensive model of acquired resistance to ROS1 inhibitors in non-small cell lung cancer with ROS1 rearrangement and identified cabozantinib as a therapeutic strategy to overcome the resistance. PMID: 25351743
  42. inflammatory myofibroblastic tumors with frequent ALK and ROS1 gene fusions PMID: 25723109
  43. Six out of 65 (9%) BTC patients were positive for the FIG-ROS1 fusion, comprising two out of 14 (14%) gallbladder carcinoma (GBC) patients and four out of 25 (16%) extrahepatic cholangiocarcinoma (ECC) patients. PMID: 25231053
  44. GPX1-dependent alterations in oxido-reductive stress promote ROS1 activation and mediate vascular remodeling. PMID: 25401476
  45. lung cancer featuring a ROS1 rearrangement may be sensitive to protein kinase inhibitor crizotinib PMID: 25667280
  46. ROS1 gene copy number gain status is more common in male patients and in cases with squamous histology in non small cell lung cancer PMID: 25374304
  47. ROS1 translocations are rare events in resected non-small-cell lung cancers from Caucasian patients PMID: 24456475
  48. EZR-ROS1 fusion gene is associated with response to therapy in metastatic mediastinum lymph node from a non-small cell lung cancer. PMID: 25230898
  49. Data show that translocations and amplifications of ROS1 gene occur at a similarly low rate in lung cancer brain metastases as reported for primary tumors PMID: 24760415
  50. None of 268 gliomas analysed showed the FIG-ROS1(L) rearrangement PMID: 24999209

Show More

Hide All

Involvement in disease
A chromosomal aberration involving ROS1 is found in a glioblastoma multiforme sample. An intra-chromosomal deletion del(6)(q21q21) is responsible for the formation of GOPC-ROS1 chimeric protein which is localized to the Golgi and has a constitutive receptor tyrosine kinase activity. A SLC34A2-ROS1 chimeric protein produced in non-small cell lung cancer cells also retains a constitutive kinase activity. A third type of chimeric protein CD74-ROS1 was also identified in those cells.
Subcellular Location
Cell membrane; Single-pass type I membrane protein.
Protein Families
Protein kinase superfamily, Tyr protein kinase family, Insulin receptor subfamily
Tissue Specificity
Expressed in brain. Expression is increased in primary gliomas.
Database Links

HGNC: 10261

OMIM: 165020

KEGG: hsa:6098

STRING: 9606.ENSP00000357494

UniGene: Hs.1041

icon of phone
Call us
301-363-4651 (Available 9 a.m. to 5 p.m. CST from Monday to Friday)
icon of address
Address
7505 Fannin St., Ste 610, Room 7 (CUBIO Innovation Center), Houston, TX 77054, USA
icon of social media
Join us with

Subscribe newsletter

Leave a message

* To protect against spam, please pass the CAPTCHA test below.
CAPTCHA verification
© 2007-2025 CUSABIO TECHNOLOGY LLC All rights reserved. 鄂ICP备15011166号-1
×
Place an order now

I. Product details

*
*
*
*

II. Contact details

*
*

III. Ship To

*
*
*
*
*
*
*

IV. Bill To

*
*
*
*
*
*
*
*