CLEC4C Antibody

Code CSB-PA273524
Size US$166
Order now
Image
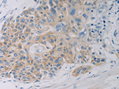
  • The image on the left is immunohistochemistry of paraffin-embedded Human colon cancer tissue using CSB-PA273524(CLEC4C Antibody) at dilution 1/50, on the right is treated with synthetic peptide. (Original magnification: ×200)
  • The image on the left is immunohistochemistry of paraffin-embedded Human esophagus cancer tissue using CSB-PA273524(CLEC4C Antibody) at dilution 1/50, on the right is treated with synthetic peptide. (Original magnification: ×200)
Have Questions? Leave a Message or Start an on-line Chat

Product Details

Uniprot No.
Target Names
Alternative Names
CLEC4C antibody; BDCA2 antibody; CLECSF11 antibody; CLECSF7 antibody; DLEC antibody; HECL antibody; UNQ9361/PRO34150C-type lectin domain family 4 member C antibody; Blood dendritic cell antigen 2 antibody; BDCA-2 antibody; C-type lectin superfamily member 7 antibody; Dendritic lectin antibody; CD antigen CD303 antibody
Raised in
Rabbit
Species Reactivity
Human
Immunogen
Synthetic peptide of Human CLEC4C
Immunogen Species
Homo sapiens (Human)
Conjugate
Non-conjugated
Isotype
IgG
Purification Method
Antigen affinity purification
Concentration
It differs from different batches. Please contact us to confirm it.
Buffer
-20°C, pH7.4 PBS, 0.05% NaN3, 40% Glycerol
Form
Liquid
Tested Applications
ELISA,IHC
Recommended Dilution
Application Recommended Dilution
ELISA 1:1000-1:5000
IHC 1:25-1:100
Troubleshooting and FAQs
Storage
Upon receipt, store at -20°C or -80°C. Avoid repeated freeze.
Lead Time
Basically, we can dispatch the products out in 1-3 working days after receiving your orders. Delivery time maybe differs from different purchasing way or location, please kindly consult your local distributors for specific delivery time.
Usage
For Research Use Only. Not for use in diagnostic or therapeutic procedures.

Customer Reviews and Q&A

 Customer Reviews

There are currently no reviews for this product.

Submit a Review here

Target Background

Function
Lectin-type cell surface receptor which may play a role in antigen capturing by dendritic cells. Specifically recognizes non-sialylated galactose-terminated biantennary glycans containing the trisaccharide epitope Gal(beta1-3/4)GlcNAc(beta1-2)Man. Binds to serum IgG. Efficiently targets ligand into antigen-processing and peptide-loading compartments for presentation to T-cells. May mediate potent inhibition of induction of IFN-alpha/beta expression in plasmacytoid dendritic cells. May act as a signaling receptor that activates protein-tyrosine kinases and mobilizes intracellular calcium.
Gene References into Functions
  1. Identification of serum glycoprotein ligands for the immunomodulatory receptor blood dendritic cell antigen 2. PMID: 29796630
  2. decrease in the surface expression of CLEC4C and the endoplasmic reticulum localization of the mutant construct were observed PMID: 26943047
  3. Human BDCA2+CD123+CD56+ dendritic cells (DCs) related to blastic plasmacytoid dendritic cell neoplasm represent a unique myeloid DC subset. PMID: 25779340
  4. BDCA-2 binds selectively to glycans containing the epitope Galbeta1-3/4GlcNAcbeta1-2Man. PMID: 25995448
  5. We show the crystal structures of a carbohydrate recognition domain (CRD) of human C-type lectin receptor blood dendritic cell antigen-2 (BDCA2). PMID: 24425442
  6. Reduction in Treg numbers following Ag delivery to BDCA2 restored both CD4(+) T cell activation and Ab responses, demonstrating that Tregs were required for the observed tolerance. PMID: 24829416
  7. Data show that HCV envelope glycoprotein E2 is a novel ligand of blood dendritic cells antigen 2 (BDCA-2). PMID: 23053572
  8. Human C-type lectin domain family 4, member C (CLEC4C/BDCA-2/CD303) is a receptor for asialo-galactosyl-oligosaccharides. PMID: 21880719
  9. Accumulation of BDCA-1 and BDCA-2 around neovessels showed that mDCs and pDCs are recruited to advanced arteriosclerotic plaques. PMID: 21436634
  10. Expression of dendritic cell markers CD11c/BDCA-1 and CD123/BDCA-2 in coronary artery disease upon activation in whole blood. PMID: 20888334
  11. Indoleamine 2,3-deoxigenase positive plasmacytoid dentritic cells are the classical BDCA2 positive cells in melanoma lymph nodes PMID: 19829303
  12. Data suggest that by associating with Fc epsilon RI gamma, BDCA2 activates a novel BCR-like signaling pathway to regulate the immune functions of plasmacytoid dendritic cells. PMID: 17850179
  13. Triggering CD303 leads to tyrosine phosphorylation of Syk, Slp65, PLCgamma2 and cytoskeletal proteins. CD303 signaling is linked with internalization by clathrin-mediated endocytosis. PMID: 18022864
  14. results suggest that downregulation of BDCA2 expression on plasmacytoid dendritic cells (pDCs) may reflect the activation of pDCs accumulated in systemic lupus erythematosus patients & may be one marker for indication of disease activity of SLE patients PMID: 18684674
  15. Engagement of BDCA-2 blocks TRAIL-mediated cytotoxic activity of plasmacytoid dendritic cells. PMID: 19577819

Show More

Hide All

Subcellular Location
Cell membrane; Single-pass type II membrane protein.
Tissue Specificity
Expressed in plasmacytoid dendritic cells (PDCs). Constitutively expressed in immature monocyte-derived dendritic cells (iMDDC) and is significantly down-regulated upon maturation with LPS but not with TNF-alpha.
Database Links

HGNC: 13258

OMIM: 606677

KEGG: hsa:170482

STRING: 9606.ENSP00000353500

UniGene: Hs.351812

icon of phone
Call us
301-363-4651 (Available 9 a.m. to 5 p.m. CST from Monday to Friday)
icon of address
Address
7505 Fannin St., Ste 610, Room 7 (CUBIO Innovation Center), Houston, TX 77054, USA
icon of social media
Join us with

Subscribe newsletter

Leave a message

* To protect against spam, please pass the CAPTCHA test below.
CAPTCHA verification
© 2007-2025 CUSABIO TECHNOLOGY LLC All rights reserved. 鄂ICP备15011166号-1
×
Place an order now

I. Product details

*
*
*
*

II. Contact details

*
*

III. Ship To

*
*
*
*
*
*
*

IV. Bill To

*
*
*
*
*
*
*
*