ANPEP Recombinant Monoclonal Antibody

Code CSB-RA167030A0HU
Size US$210
Order now
Image
  • Flow cytometric analysis of CD13 expression in HT-1080 cells using CD13 antibody. Green, isotype control; red, CD13.
  • Immunocytochemical staining of HT-1080 cells with CD13 antibody. Nuclei were stained blue with DAPI; CD13 was stained magenta with Alexa Fluor® 647. Images were taken using Leica stellaris 5. Protein abundance based on laser Intensity and smart gain: Medium. Scale bar, 20 μm.
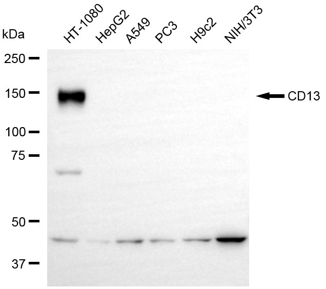
  • Western blotting analysis using CD13 antibody. Total cell lysates (30 μg) from various cell lines were loaded and separated by SDS-PAGE. The blot was incubated with CD13 antibody and HRP-conjugated goat anti-rabbit secondary antibody respectively.
Have Questions? Leave a Message or Start an on-line Chat

Product Details

Uniprot No.
Target Names
Alternative Names
ANPEP; Alanyl Aminopeptidase, Membrane; AP-N; HAPN; Microsomal Aminopeptidase; Aminopeptidase N; Aminopeptidase M; LAP1; P150; CD13; PEPN; Myeloid Plasma Membrane Glycoprotein CD13; Alanyl (Membrane) Aminopeptidase; Membrane Alanyl Aminopeptidase; EC 3.4.11.2; Gp150; GP150; AP-M; APN; Alanyl; Aminopeptidase; CD13 Antigen; EC 3.4.11
Species Reactivity
Human
Immunogen
Recombinant Human ANPEP protein
Immunogen Species
Homo sapiens (Human)
Conjugate
Non-conjugated
Clonality
Monoclonal
Isotype
Rabbit IgG
Clone No.
21H1
Purification Method
Affinity-chromatography
Concentration
It differs from different batches. Please contact us to confirm it.
Buffer
Rabbit IgG in PBS (pH 7.4) containing 50% glycerol, and 0.02% sodium azide.
Form
Liquid
Tested Applications
ELISA, WB, FC, ICC
Recommended Dilution
Application Recommended Dilution
WB 1:1000-1:5000
FC 1:200-1:2000
ICC 1:100-1:1000
Troubleshooting and FAQs
Storage
Upon receipt, store at -20°C or -80°C. Avoid repeated freeze.
Lead Time
Basically, we can dispatch the products out in 1-3 working days after receiving your orders. Delivery time maybe differs from different purchasing way or location, please kindly consult your local distributors for specific delivery time.
Usage
For Research Use Only. Not for use in diagnostic or therapeutic procedures.

Customer Reviews and Q&A

 Customer Reviews

There are currently no reviews for this product.

Submit a Review here

Target Background

Function
Broad specificity aminopeptidase which plays a role in the final digestion of peptides generated from hydrolysis of proteins by gastric and pancreatic proteases. Also involved in the processing of various peptides including peptide hormones, such as angiotensin III and IV, neuropeptides, and chemokines. May also be involved the cleavage of peptides bound to major histocompatibility complex class II molecules of antigen presenting cells. May have a role in angiogenesis and promote cholesterol crystallization. May have a role in amino acid transport by acting as binding partner of amino acid transporter SLC6A19 and regulating its activity.; (Microbial infection) Acts as a receptor for human coronavirus 229E/HCoV-229E. In case of human coronavirus 229E (HCoV-229E) infection, serves as receptor for HCoV-229E spike glycoprotein.; (Microbial infection) Mediates as well Human cytomegalovirus (HCMV) infection.
Gene References into Functions
  1. Crosslinking of CD13 by mAb C or E is required to inhibit adhesion, as monovalent Fab fragments are not sufficient. Thus, C and E antibodies recognize a distinct epitope on CD13, and binding to this epitope interferes with both CD13-mediated cell adhesion and enzymatic activity. PMID: 29789790
  2. Data indicate the expression of aminopeptidase N (CD13) in small cell lung cancer (SCLC) tumor and suggest pre-therapeutic CD13 analysis for testing as investigational predictive biomarker for patient selection. PMID: 29110838
  3. CD13 may be a marker for onychofibroblasts within nail matrix onychodermis PMID: 28708295
  4. This is the first report presenting CD13 and FLI1 as important mediators of resistance to BRAF inhibition with potential as drug targets in BRAF inhibitors refractory melanoma. PMID: 29048432
  5. CD13 enrichment was correlated with early recurrences, and poor prognosis in patients with hepatocellular carcinoma. PMID: 29145632
  6. Patients with acute myeloid leukemia developing leukemia-specific acute hypoxic respiratory failure within 15 days had higher CD13 expression by leukemic cells. PMID: 28323433
  7. Data suggest that CNGRC-GG-D(KLAKLAK)2 peptide actively participates in the downregulation of aminopeptidase N/CD13. PMID: 26655501
  8. CGRP and IL-4 positively regulated APN/CD13 expression and activity in psoriatic fibroblasts. PMID: 28387421
  9. this study shows that CD13 significantly contributes to tissue infiltration by monocytic myeloid-derived suppressor cells and monocytes, thereby contributing to the pathogenesis of hepatic inflammation PMID: 28739875
  10. data reveal a novel role for CD13 in inducing homotypic aggregation in neutrophils, which results in a transmigration deficiency; this mechanism may be relevant to neutrophil micro-aggregation in vivo PMID: 27467268
  11. CD13 expression is associated with hepatoblastoma invasiveness and could be a novel prognostic marker for hepatoblastoma. PMID: 25682862
  12. Data indicate that fluorogenic substrates can be successfully used to identify aminopeptidase N and to measure their activity in cell lysates. PMID: 26449746
  13. Data show that CD13 anntigen and receptor tyrosine kinase-like orphan receptor 2 (ROR2) identify a cardiac lineage precursor pool that is capable of successful engraftment into the porcine heart. PMID: 26771355
  14. The substrate Angiotensin II, the enzymes aminopeptidases-A, B, M as well as IRAP were detected in the jejunal mucosa. PMID: 26311161
  15. 14-3-3epsilon might directly bind to CD13, which transmits its signal in chondrocytes to induce a catabolic phenotype similar to that observed in osteoarthritis. PMID: 26208633
  16. Alanyl aminopeptidase expression is confined to mature zymogenic chief cells and its expression is lost en route to metaplasia. PMID: 26514774
  17. Aminopeptidase N activity in tissue and plasma from colorectal cancer patients is an independent prognostic factor of 5-year survival. PMID: 25929234
  18. Expression of APN/CD13 is a potential unfavorable factor to predict the efficacy and prognosis of post-operative chemotherapy in NSCLC patients, especially in lung adenocarcinoma patients. PMID: 25879366
  19. We identified a unique HCC line, Li-7, which not only shows heterogeneity for a CD13(+) CSC hierarchy, but also undergoes a "population change" upon CSC differentiation PMID: 25885470
  20. This study permitted the identification of the novel human LAP1C isoform and partially unraveled the molecular basis of LAP1 regulation. PMID: 25461922
  21. Together these experiments reveal potential enzymatic and signalling roles for APN in osteosarcoma and establish a starting point for an in-depth analysis of the role of APN in regulating invasiveness. PMID: 25340499
  22. Postulate that the interaction of ADAM17 with CD13 and its downregulation following CD13 engagement has important implications in acute myeloid leukemia cells. PMID: 25246708
  23. CD13 could play an important role as a T cell chemoattractant, in a positive feedback loop that contributes to rheumatoid arthritis synovitis. PMID: 25219368
  24. This study showed that CD13 and CD33 expression associated with poor prognosis in patients with MM implicating the need of analysis of these markers in MM diagnosis. PMID: 24991573
  25. Aberrant expression of CD13 in >/= 5% of blasts of patients with SR-aALL is an adverse prognostic factor, delineating a subgroup of patients with SR-aALL that should be considered for more aggressive treatment. PMID: 24411984
  26. Molecular mechanisms regulating CD13-mediated adhesion. PMID: 24627994
  27. CD13 participates in phagocytic processes in dendritic cells and macrophages. PMID: 24063007
  28. Antigen CD13, by influencing the adipogenic potential of human amniotic mesenchymal stem cells, could be an in utero risk factor for obesity. PMID: 23488598
  29. NGR-LDP could bind to CD13-expressing HT-1080 cells. PMID: 23206754
  30. results indicate that APN/CD13 could be an important diagnostic biomarker and therapeutic target for Malignant fibrous histiocytoma . PMID: 23677132
  31. Activities of aminopeptidases N and B and insulin-regulated aminopeptidase could be useful non-invasive biomarkers of Alzheimer's disease from the earliest stages. PMID: 23500679
  32. High CD13 expression is associated with Philadelphia chromosome negative B cell acute lymphoblastic leukemia. PMID: 23643324
  33. results showed that ANPEP downregulation in prostate cancer (PC) was frequently associated with aberrant promoter hypermethylation, suggesting that epigenetic mechanisms are involved in silencing of ANPEP in PC cells PMID: 23322201
  34. CD13 expression plays a role in supporting the survival of cancer stem cells and that there is an epithelial-mesenchymal transition-associated reduction in reactive oxygen species elevation. PMID: 21879266
  35. The hAPN crystal structure provides the first example of a dimeric M1 family member and the observed structural features provide novel insights into the mechanism of peptide processing and signal transduction. PMID: 22932899
  36. Inhibiting CD13 with bestatin may enhance the differentiation-inducing activity of all-trans-retinoic acid in NB4 cells. PMID: 22040956
  37. Coexpression of APN/CD13 correlated significantly with tumor type and neoangiogenesis in breast cancer. PMID: 21611838
  38. Myeloid cell surface peptidase CD13 is highly and specifically expressed on a subset of dendritic cells (DCs) responsible for cross-presentation: transgenic CD8+ murine splenic DCs. PMID: 22544935
  39. The overall effects of APN on the expression of fibronectin, tenascin-C, and MMPs in fibroblasts propose an important role for APN in the regulation of keratinocyte-mediated ECM remodeling and fibroblast contractile activity. PMID: 22065384
  40. Staining of tissue microarrays generated from a large series of melanoma samples and control tissues demonstrated a higher APN expression in primary melanoma lesions when compared with nevi and metastases PMID: 22307972
  41. A peptide-targeted gene vector for highly efficient receptor-mediated intracellular delivery is used to target gene loaded poly(lactic acid)-poly(ethylene glycol) nanoparticles to vascular endothelial cells overexpressing CD13. PMID: 21376765
  42. Murine gamma-herpesvirus-68 glycoprotein (gp)150-specific T-cell receptor epitope transgene activates antiviral CD4+ T cells that are maintained throughout long-term infection and even during quiescent latency. PMID: 22079983
  43. We identified a variant in each of 3 genes (RFC1, SCN1A, ANPEP) potentially implicated in susceptibility to severe neurological complications in West Nile Virus disease. PMID: 21881118
  44. APN expression and enzymatic function is reduced in aggressive meningiomas, and that alterations in the balance between APN and SPARC might favor meningioma invasion PMID: 19236378
  45. analysis of the critical role of flanking residues in NGR-to-isoDGR transition and CD13/integrin receptor switching PMID: 20064928
  46. Stromal aminopeptidase N expression correlates with angiogenesis in non-small-cell lung cancer. PMID: 19908113
  47. data demonstrate that the glycosylation of aminopeptidase N at N291 blocks human coronavirus-229E infection PMID: 11774469
  48. tested the hypothesis that CD13 influences proliferation of monocytoid cells by retarding the velocity of the cell cycle PMID: 11999577
  49. CD13/APN is an important target of Ras signaling in angiogenesis and is a limiting factor in angiogenic progression. PMID: 12406907
  50. inhibiting CD13/aminopeptidase N on the cell-surface of acute promyelocytic leukemia cells increases ATRA-induced differentiation PMID: 12443882

Show More

Hide All

Subcellular Location
Cell membrane; Single-pass type II membrane protein.
Protein Families
Peptidase M1 family
Tissue Specificity
Expressed in epithelial cells of the kidney, intestine, and respiratory tract; granulocytes, monocytes, fibroblasts, endothelial cells, cerebral pericytes at the blood-brain barrier, synaptic membranes of cells in the CNS. Also expressed in endometrial st
Database Links

HGNC: 500

OMIM: 151530

KEGG: hsa:290

STRING: 9606.ENSP00000300060

UniGene: Hs.1239

icon of phone
Call us
301-363-4651 (Available 9 a.m. to 5 p.m. CST from Monday to Friday)
icon of address
Address
7505 Fannin St., Ste 610, Room 7 (CUBIO Innovation Center), Houston, TX 77054, USA
icon of social media
Join us with

Subscribe newsletter

Leave a message

* To protect against spam, please pass the CAPTCHA test below.
CAPTCHA verification
© 2007-2025 CUSABIO TECHNOLOGY LLC All rights reserved. 鄂ICP备15011166号-1
×
Place an order now

I. Product details

*
*
*
*

II. Contact details

*
*

III. Ship To

*
*
*
*
*
*
*

IV. Bill To

*
*
*
*
*
*
*
*