CAV1 Recombinant Monoclonal Antibody

Code CSB-RA620655A0HU
Size US$210
Order now
Image
  • Immunocytochemical staining of HepG2 cells with Caveolin 1 antibody. Nuclei were stained blue with DAPI; Caveolin 1 was stained magenta with Alexa Fluor® 647. Images were taken using Leica stellaris 5. Protein abundance based on laser Intensity and smart gain: Medium. Scale bar: 20 μm.
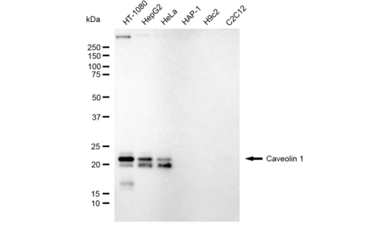
  • Western blotting analysis using Caveolin 1 antibody. Total cell lysates (5 μg) from various cell lines were loaded and separated by SDS-PAGE. The blot was incubated with Caveolin 1 antibody and HRP-conjugated goat anti-rabbit secondary antibody respectively.
Have Questions? Leave a Message or Start an on-line Chat

Product Details

Uniprot No.
Target Names
Alternative Names
CAV1; Caveolin 1; Caveolin 1, Caveolae Protein, 22kDa; Caveolin-1; CAV; Caveolin 1, Caveolae Protein, 22kD; Cell Growth-Inhibiting Protein 32; MSTP085; BSCL3; LCCNS; VIP21; CGL3; PPH3
Species Reactivity
Human
Immunogen
Recombinant Human CAV1 protein
Immunogen Species
Homo sapiens (Human)
Conjugate
Non-conjugated
Clonality
Monoclonal
Isotype
Rabbit IgG
Clone No.
16F7
Purification Method
Affinity-chromatography
Concentration
It differs from different batches. Please contact us to confirm it.
Buffer
Rabbit IgG in PBS (pH 7.4) containing 50% glycerol, and 0.02% sodium azide.
Form
Liquid
Tested Applications
ELISA, WB, ICC
Recommended Dilution
Application Recommended Dilution
WB 1:1000-1:5000
ICC 1:100-1:1000
Troubleshooting and FAQs
Storage
Upon receipt, store at -20°C or -80°C. Avoid repeated freeze.
Lead Time
Basically, we can dispatch the products out in 1-3 working days after receiving your orders. Delivery time maybe differs from different purchasing way or location, please kindly consult your local distributors for specific delivery time.
Usage
For Research Use Only. Not for use in diagnostic or therapeutic procedures.

Customer Reviews and Q&A

 Customer Reviews

There are currently no reviews for this product.

Submit a Review here

Target Background

Function
May act as a scaffolding protein within caveolar membranes. Forms a stable heterooligomeric complex with CAV2 that targets to lipid rafts and drives caveolae formation. Mediates the recruitment of CAVIN proteins (CAVIN1/2/3/4) to the caveolae. Interacts directly with G-protein alpha subunits and can functionally regulate their activity. Involved in the costimulatory signal essential for T-cell receptor (TCR)-mediated T-cell activation. Its binding to DPP4 induces T-cell proliferation and NF-kappa-B activation in a T-cell receptor/CD3-dependent manner. Recruits CTNNB1 to caveolar membranes and may regulate CTNNB1-mediated signaling through the Wnt pathway. Negatively regulates TGFB1-mediated activation of SMAD2/3 by mediating the internalization of TGFBR1 from membrane rafts leading to its subsequent degradation.
Gene References into Functions
  1. using proteomics profiling, we identified a new protein, caveolin-1 that is significantly and consistently augmented in CLL cells after these lymphocytes interact with stromal cell lines. PMID: 28971726
  2. Study shows that ITGB1-dependent upregulation of caveolin-1 (CAV1) switches TGFbeta signalling from tumour-suppressive to oncogenic in prostate cancer. work suggests TGFbeta signalling and beta1 integrins as potential therapeutic targets in prostate cancer over-expressing CAV1, and contributes to better understand the paradoxical dual role of TGFbeta in tumour biology. PMID: 29402961
  3. results showed that CAV-1 could promote anchorage-independent growth and anoikis resistance in detached SGC-7901 cells, which was associated with the activation of Src-dependent epidermal growth factor receptor-integrin beta signaling as well as the phosphorylation of PI3K/Akt and MEK/ERK signaling pathways PMID: 30088837
  4. Cav-1 expression is up-regulated in endothelial cells of atherosclerotic lesions. PMID: 29746866
  5. sinonasal inverted papillomas lesions presented increased Caveolin-1 immunopositivity compared to nasal polyposis. Also, smokers presented significantly increased immunopositivity. PMID: 30297114
  6. we indicate that weak stromal CAV1 expression in CRLM is an adverse prognostic factor in patients who undergo liver resection for liver-only colorectal metastases. PMID: 28515480
  7. Study provides evidence that KIF13B and NPHP4 are both required for establishment of a specialized caveolin-1 membrane microdomain at the ciliary transition zone, which is essential for Shh-induced accumulation of SMO in the primary cilium as well as for activation of GLI-mediated target gene expression. PMID: 28134340
  8. High CAV1 expression is associated with gastric cancer cell migration. PMID: 30015970
  9. Study shows that progression-related loss of stromal caveolin 1 levels fosters the growth of human PC3 xenografts and mediates radiation resistance. PMID: 28112237
  10. Results found decreasing trend of cav-1 (transcripts I and II) in tumoral tissues especially in stages I and II and seem to be associated with the incidence and promotion of breast cancer, especially in the initial stages of breast cancer. PMID: 28857238
  11. minor alleles for SNPs rs3779512, rs7804372 and rs1049337 might be associated with a higher risk of hypertriglyceridemia. PMID: 29662258
  12. stromal expression of CAV1 in primary tumors was not associated with clinical outcome whereas the stromal expression of especially CAV2 in the metastatic lymph nodes could be associated with lung cancer pathogenesis. PMID: 29850392
  13. CAV-1 is important for NAFLD-HCC survival in fatty acid-rich environments and is a potential therapeutic target. PMID: 29896915
  14. At the onset of mitotic cell rounding, caveolin-1 is targeted to the retracting cortical region at the proximal end of retraction fibres, where ganglioside GM1-enriched membrane domains with clusters of caveola-like structures are formed in an integrin and RhoA-dependent manner. PMID: 27292265
  15. down-regulation of Cav-1 may aggravate DNA damage of Chang liver cells through reducing the interaction of Cav-1 and Mdm2, which results in the promotion of p53 degradation. PMID: 29270591
  16. High CAV1 expression is associated with Small Cell Lung Cancer. PMID: 29479989
  17. NEDD8 seems to inhibit the Src-mediated phosphorylation of caveolin-1 by modifying the structure of caveolin-1 protein, which blocks the migration of cancer cells. Although the neddylation process is currently regarded as an emerging target for cancer therapy, our results suggest the possibility that the inhibition of neddylation could facilitate cancer invasion or metastasis at least in some types of cancers. PMID: 29301501
  18. High CAV1 expression is associated with Aggressive Behaviour of Breast Cancer. PMID: 28236153
  19. Cav1 and PY14Cav1 were positively correlated with ESCC lymphatic metastasis and cancer stages. Rho/ROCK pathway activation promoted ESCC metastasis by regulating Cav1. PMID: 29288243
  20. we revisited the question of the relationship between Cav1 and Stat3-ptyr705 in non-transformed mouse fibroblasts and in human lung carcinoma cells, by examining their effect at different cell densities.Our results demonstrate that Cav1 downregulates cadherin-11, by a mechanism which requires the Cav1 scaffolding domain. This cadherin-11 downregulation, leads to a reduction in cRac1 and Stat3 activity levels. PMID: 29458077
  21. Cav-1 acts as a positive or negative regulator of tumor cell growth via the reciprocal control for the RAF-ERK feedback loop, and the mitogenic switch of Cav-1 function is tightly linked to bidirectional alteration of its expression in tumor progression. PMID: 29141593
  22. This is the first demonstration of caveolin-1 expression in human primary uveal melanoma cell lines and observation that the origin of cells (uveal/cutaneous) has an impact when considering the utility of caveolin-I as a melanoma cell marker. PMID: 29847075
  23. Together, these results suggest that CAV1 protects host cells against Group A Streptococcus invasion by a caveola-independent mechanism. PMID: 28778116
  24. CAV-1 is commonly downregulated in patients with primary CRC, which suggests its tumor suppressor role in early stages of this disease. PMID: 28560511
  25. CAV1 protects Hepatocellular carcinoma cells from TGF-beta-induced apoptosis, which attenuates its suppressive effect on clonogenic growth and increases its effects on cell migration. CAV1 has an essential role in switching the response to TGF-beta from cytostatic to tumorigenic, which could have clinical meaning in patient stratification. PMID: 29022911
  26. Our finding that Cav1 is both an aggresome-inducing and aggresome-localized protein provides new insights into how cells handle and respond to misfolded Cav1. They also raise the possibility that aggresome formation may contribute to some of reported phenotypes associated with overexpressed and/or mutant forms of Cav1. PMID: 27929047
  27. High glucose induced cell senescence in glomerular mesanginal cells is dependent on caveolin-1 signaling. PMID: 27048255
  28. caveolin-1 (Cav-1) participates in intraocular pressure maintenance via modulation of aqueous humor drainage from the eye. PMID: 27841369
  29. this study confirmed the association of rs4236601 with primary open-angle glaucoma in different Chinese cohorts, and also found a common single-nucleotide polymorphism rs3801994 of diverse associations with primary open-angle glaucoma between Chinese and Japanese PMID: 27297022
  30. Purified caveolin 8S oligomers assumed disc-shaped arrangements of sizes that are consistent with the discs occupying the faces in the caveolar polyhedra. Polygonal caveolar membrane profiles were revealed in tomograms of native caveolae inside cells. We propose a model with a regular dodecahedron as structural basis for the caveolae architecture. PMID: 27834731
  31. Cav-1 may play a role in the pathogenesis of oral lichen planus and carcinogenesis of squamous cell carcinoma, but its role in malignant transformation of OLP is not confirmed. PMID: 28554768
  32. We examined the consequences of a familial pulmonary arterial hypertension -associated frameshift mutation in CAV1, P158PfsX22, on caveolae assembly and function. We conclude that the P158PfsX22 frameshift introduces a gain of function that gives rise to a dominant negative form of CAV1, defining a new mechanism by which disease-associated mutations in CAV1 impair caveolae assembly. PMID: 28904206
  33. study identified Cav1 and MTCH2 as the molecular targets of DHA and revealed a new link between the upstream Cav1/MTCH2 upregulation and the downstream activation of the cell death pathway involved in the DHA-mediated inhibition of cell viability. PMID: 28498397
  34. Folate deficiency impaired spermatogenesis and reduced sperm concentration may partly due to inhibiting the expression of the three key molecules (Esr1, Cav1 and Elavl1) essential for sperm production. PMID: 28445960
  35. Reduced expression of caveolin-1 in monocytes could aggravate the TLR4-mediated inflammatory cascade PMID: 27981790
  36. These results suggest that the phosphorylated CAV1 functions to activate autophagy through binding to the BECN1/VPS34 complex under oxidative stress and to protect against ischemic damage. PMID: 28542134
  37. Caveolin-1 has a role in promoting Ewing sarcoma metastasis regulating MMP-9 expression through MAPK/ERK pathway PMID: 27487136
  38. Stromal, but not tumoural, caveolin-1 expression is significantly associated with survival in Asian women with triple-negative breast cancers. PMID: 28735300
  39. High CAV1 expression is associated with lung cancer. PMID: 26930711
  40. Kidney transplant patients with high levels of caveolin-1 immunoreactivity in peritubular capillaries (PTCs) had a significantly worse prognosis than patients with lower levels. CAV-1 immunoreactivity in PTCs was independently associated with graft failure. PMID: 27543925
  41. CAV-1 knockdown by siRNA causes increased radiosensitivity in basal-like TNBC cells. The mechanisms associated with this effect are reduced DNA repair through delayed CAV-1-associated EGFR nuclear accumulation and induction of G2/M arrest and apoptosis through the combined effects of CAV-1 siRNA and radiation. PMID: 29169152
  42. Fluctuation of reactive oxygen species inhibited migration through reducing the interaction between DLC1 and CAV-1. PMID: 28130753
  43. We discuss here current knowledge and future approaches to elucidating the molecular mechanisms underlying CAV1 action during hepatocarcinogenesis and evaluate its potential use in clinical therapies. PMID: 28741517
  44. Caveolin-1 phosphorylation on tyrosine 14 may have a role in augmenting melanoma metastasis but not tumorigenesis PMID: 27259249
  45. These results suggest that Cav-1 may be a predictor of the poor efficacy of EGFR-TKIs treatment in lung adenocarcinoma with EGFR mutations. PMID: 29137977
  46. Studied effect of Aliskiren on interleukin-6, endothelial nitric oxide synthase and caveolin-1 in human aortic endothelial cells. Findings suggest that aliskiren reverses the effects of IL-6 on eNOS and caveolin-1 thru increase in eNOS phosphorylation and nitric oxide production, decrease caveolin-1 phosphorylation, and decrease the interaction between eNOS and caveolin-1. PMID: 27773804
  47. miR-192 is downregulated in rheumatoid arthritis (RA)synovial tissues and restoration of its expression elicits growth-suppressive effects on RA-FLSs by targeting CAV1. The miR-192/CAV1 pathway may represent a novel target for prevention and treatment of RA. PMID: 28321538
  48. At the CAV1 gene polymorphism rs926198, minor allele carriers displayed higher odds of insulin resistance and low high-density lipoprotein. Aldosterone levels correlated with higher homeostatic model assessment of insulin resistance and resistin and lower high-density lipoprotein only in minor allele carriers. PMID: 27680666
  49. Our findings highlight the importance of Cav-1 in hematogenous metastasis, and provide new insights into the underlying mechanisms of mechanotransduction induced by low shear stress PMID: 26919102
  50. Deregulated expression of miR-107 inhibits metastasis of pancreatic ductal adenocarcinoma through inhibition PI3K/Akt signaling via caveolin-1 and PTEN. PMID: 29111166

Show More

Hide All

Involvement in disease
Congenital generalized lipodystrophy 3 (CGL3); Pulmonary hypertension, primary, 3 (PPH3); Partial lipodystrophy, congenital cataracts, and neurodegeneration syndrome (LCCNS)
Subcellular Location
Golgi apparatus membrane; Peripheral membrane protein. Cell membrane; Peripheral membrane protein. Membrane, caveola; Peripheral membrane protein. Membrane raft. Golgi apparatus, trans-Golgi network. Note=Colocalized with DPP4 in membrane rafts. Potential hairpin-like structure in the membrane. Membrane protein of caveolae.
Protein Families
Caveolin family
Tissue Specificity
Skeletal muscle, liver, stomach, lung, kidney and heart (at protein level). Expressed in the brain.
Database Links

HGNC: 1527

OMIM: 601047

KEGG: hsa:857

STRING: 9606.ENSP00000339191

UniGene: Hs.74034

icon of phone
Call us
301-363-4651 (Available 9 a.m. to 5 p.m. CST from Monday to Friday)
icon of address
Address
7505 Fannin St., Ste 610, Room 7 (CUBIO Innovation Center), Houston, TX 77054, USA
icon of social media
Join us with

Subscribe newsletter

Leave a message

* To protect against spam, please pass the CAPTCHA test below.
CAPTCHA verification
© 2007-2025 CUSABIO TECHNOLOGY LLC All rights reserved. 鄂ICP备15011166号-1
×
Place an order now

I. Product details

*
*
*
*

II. Contact details

*
*

III. Ship To

*
*
*
*
*
*
*

IV. Bill To

*
*
*
*
*
*
*
*