CCL3 Recombinant Monoclonal Antibody

Code CSB-RA004793MA1HU
Size US$210
Order now
Image
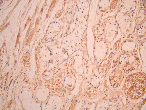
  • IHC image of CSB-RA004793MA1HU diluted at 1:50 and staining in paraffin-embedded human lymph node tissue performed on a Leica BondTM system. After dewaxing and hydration, antigen retrieval was mediated by high pressure in a citrate buffer (pH 6.0). Section was blocked with 10% normal goat serum 30min at RT. Then primary antibody (1% BSA) was incubated at 4°C overnight. The primary is detected by a Anti-Human lgG, Fcy Fragment Specific labeled by HRP and visualized using 0.05% DAB.
  • IHC image of CSB-RA004793MA1HU diluted at 1:50 and staining in paraffin-embedded human lung tissue performed on a Leica BondTM system. After dewaxing and hydration, antigen retrieval was mediated by high pressure in a citrate buffer (pH 6.0). Section was blocked with 10% normal goat serum 30min at RT. Then primary antibody (1% BSA) was incubated at 4°C overnight. The primary is detected by a Anti-Human lgG, Fcy Fragment Specific labeled by HRP and visualized using 0.05% DAB.
  • Overlay Peak curve showing K562 cells stained with CSB-RA004793MA1HU (red line) at 1:100. The cells were fixed in 4% formaldehyde and permeated by 0.2% TritonX-100 for 10min. Then 10% normal goat serum to block non-specific protein-protein interactions followed by the antibody (1ug/1*106cells) for 45min at 4℃. The secondary antibody used was Fluorescein (FITC) AffiniPure Goat Anti-Human IgG, Fcγ fragment specific at 1:200 dilution for 35min at 4℃.Control antibody (green line) was human IgG1 (1ug/1*106cells) used under the same conditions. Acquisition of >10,000 events was performed.
Have Questions? Leave a Message or Start an on-line Chat

Product Details

Uniprot No.
Target Names
Alternative Names
C C motif chemokine 3 antibody; CCL 3 antibody; CCL3 antibody; CCL3_HUMAN antibody; Chemokine (C C motif) ligand 3 antibody; Chemokine C C motif ligand 3 antibody; Chemokine ligand 3 antibody; G0/G1 switch regulatory protein 19 1 antibody; G0/G1 switch regulatory protein 19-1 antibody; G0S19 1 antibody; G0S19 1 protein antibody; Heparin binding chemotaxis protein antibody; L2G25B antibody; LD78 alpha antibody; LD78-alpha(4-69) antibody; LD78alpha antibody; Macrophage inflammatory protein 1 alpha antibody; Macrophage inflammatory protein 1-alpha antibody; macrophage inflammatory protein 1a antibody; MIP 1 alpha antibody; MIP 1A antibody; MIP-1-alpha antibody; MIP-1-alpha(4-69) antibody; MIP1 alpha antibody; MIP1A antibody; PAT 464.1 antibody; SCYA 3 antibody; SCYA3 antibody; SIS alpha antibody; SIS beta antibody; SIS-beta antibody; Small inducible cytokine A3 antibody; small inducible cytokine A3 (homologous to mouse Mip-1a) antibody; Small-inducible cytokine A3 antibody; Tonsillar lymphocyte LD78 alpha protein antibody
Species Reactivity
Human
Immunogen
Recombinant Human CCL3 protein
Immunogen Species
Homo sapiens (Human)
Conjugate
Non-conjugated
Clonality
Monoclonal
Isotype
hIgG1
Clone No.
18A11
Purification Method
Affinity-chromatography
Concentration
It differs from different batches. Please contact us to confirm it.
Buffer
Preservative: 0.03% Proclin 300
Constituents: 50% Glycerol, 0.01M PBS, PH 7.4
Form
Liquid
Tested Applications
ELISA, IHC, FC
Recommended Dilution
Application Recommended Dilution
IHC 1:50-1:200
FC 1:50-1:200
Troubleshooting and FAQs
Storage
Upon receipt, store at -20°C or -80°C. Avoid repeated freeze.
Lead Time
Basically, we can dispatch the products out in 1-3 working days after receiving your orders. Delivery time maybe differs from different purchasing way or location, please kindly consult your local distributors for specific delivery time.
Usage
For Research Use Only. Not for use in diagnostic or therapeutic procedures.

Customer Reviews and Q&A

 Customer Reviews

There are currently no reviews for this product.

Submit a Review here

Target Background

Function
Monokine with inflammatory and chemokinetic properties. Binds to CCR1, CCR4 and CCR5. One of the major HIV-suppressive factors produced by CD8+ T-cells. Recombinant MIP-1-alpha induces a dose-dependent inhibition of different strains of HIV-1, HIV-2, and simian immunodeficiency virus (SIV).
Gene References into Functions
  1. Tumor levels of CCL2 (mean +/- standard deviation = 530.1 +/- 613.9 pg/mg), CCL3 (102.7 +/- 106.0 pg/mg), and CCL4 (64.98 +/- 48.09 pg/mg) were higher than those found in healthy tissue PMID: 30419802
  2. During early remission from methamphetamine (MA), model mice exhibited increased anxiety-like behavior and reduced expression of chemokine (C-C motif) ligand 3 (ccl3) in the hippocampus relative to saline-treated mice. Human adults actively dependent on MA and those in early remission had elevated symptoms of anxiety as well as reductions in plasma levels of CCL3, relative to adults with no history of MA abuse. PMID: 29402784
  3. As depression became more severe the serum levels of MIP-1alpha increased. PMID: 29339257
  4. results suggested that genetic variants at the CCL3 and CCL4 loci may be marker SNPs for risk of HCV treatment outcome. PMID: 29705123
  5. Telomere length and mRNA expressions of IL6 and MIP1alpha were significantly longer or higher in bone marrow mesenchymal stem cells of multiple myeloma than those of controls. PMID: 28677723
  6. The CCL3 and CCL4 chemokines might not be involved in differential susceptibility to the digestive and cardiac clinical forms of chronic Chagas disease, and it seems they do not influence the development of LVSD. PMID: 28002786
  7. The serum levels of IL-8, MIP-1 alpha, MIP-1 beta, MMP-8, Resistin, FLRG, and BCAM were significantly higher in breast cancer patients, but LAP and TSH-beta levels were lower. PMID: 26898119
  8. the DR3/TL1A pathway directly enhances human OC formation and resorptive activity, controlling expression and activation of CCL3 and MMP-9. PMID: 28062298
  9. serum levels of MIP-1alpha could predict survival outcomes in patients with ENKTL. PMID: 26928433
  10. elevated CCL3 in the leukemic environment suppresses erythropoiesis via CCR1-p38 activation PMID: 27109512
  11. analysis of sudden infant death syndrome brains shows downregulation of MyD88 in tissue from SIDS brains, as well as the downregulation of the genes encoding CCL3 and UNC13 in the liver PMID: 26959483
  12. we demonstrate an association of CCL3 expression by CLL cells with increased numbers of CD3+ T cells and CD57+ cells in the lymph node microenvironment, which may promote CLL cell survival and proliferation. PMID: 26458057
  13. The N termini of CC chemokines are shown to be involved in receptor binding and oligomerization. We also report an alternative CCL3 oligomer structure that reveals how conformational changes in CCL3 N termini profoundly alter its surface properties and dimer-dimer interactions to affect GAG binding and oligomerization. Such complexity in oligomerization and GAG binding enables intricate, physiologically relevant regulatio PMID: 27091995
  14. CCL3 promotes VEGF-A expression and angiogenesis in human osteosarcoma cells by down-regulating miR-374b expression via JNK, ERK, and p38 signaling pathways. PMID: 26713602
  15. The residues on the N-loop and beta-sheets of MIP-1a are close to both CCR1 and CCR5, and those in the C-terminal helix region are close to CCR5. PMID: 26472202
  16. An increased MIP-1alpha level in nasopharyngeal aspirates from patients with acute respiratory symptoms during the first wheezing episode caused by viral infections might predict recurrent wheezing. PMID: 26494023
  17. Tregs from subjects with established type 1 diabetes were impaired in their ability to produce CCL3 and CCL4. PMID: 26854929
  18. Pleural and serum MIP1a were lower in patients with lung cancer compared to lung metastasis, pneumonia, tuberculosis, and transudate pleural effusion. PMID: 26620310
  19. AEG-1 mediates CCL3/CCR5-induced EMT development via both Erk1/2 and Akt signaling pathway in CM patients, which indicates CCL3/CCR5-AEG-1-EMT pathway could be suggested as a useful target to affect the progression of CM. PMID: 26134542
  20. The EP in TKA differed from EP in aseptically failed THA by lower CCL3 and DC-STAMP mRNA and protein expression. EP of all studied inflammatory and osteoclastogenic molecules were similar in knee and hip OA. PMID: 25151085
  21. A significantly higher percentage of healthy asymptomatic persons possibly exposed to asbestos had detectable levels of serum CCL3 compared to healthy unexposed control subjects. PMID: 25940505
  22. APOE varepsilon4 genotype specifically modulates astrocyte secretion of potent microglial chemotactic agents, including CCL3 PMID: 25092803
  23. Macrophage inflammatory protein-1alpha shows predictive value as a risk marker for subjects and sites vulnerable to bone loss in a longitudinal model of aggressive periodontitis. PMID: 24901458
  24. In COPD patients, CCL3 is upregulated in sputum and may facilitate recruitment of macrophages into airways. PMID: 25183374
  25. Serum/urinary MIP-1a responds to infection but cannot be used as reliable biomarker in childhood urinary tract infections. PMID: 25618120
  26. Sequence variants in the CCL3 chemokine gene family in the HapMap West African reference population have been identified. PMID: 24952210
  27. MIP-1alpha levels in Jurkat cells appeared to be an important factor for its transendothelial migration PMID: 25245399
  28. se results indicate that CCL2 and CCL3 are associated with progression of oral squamous cell carcinoma PMID: 25060177
  29. Our results confirm the strong influence of previous immunity in subsequent dengue infections, and confer a possible pathogenic role to CCR1 and CCL3 in dengue disease and a possible protective role for CCL5, probably through CCR5 interaction. PMID: 24157267
  30. The detection of basal level of IgM rheumatoid factor, IgM and also certain cytokines can be useful in prognosis of effectiveness of rituximab therapy under rheumatoid arthritis. PMID: 25080789
  31. Gene expression profiling in bone marrow from multiple myeloma patients with and without osteolysis vs controls with other hematologic neoplasms showed only weak CCL3 expression. PMID: 24556596
  32. MIP-1alpha is a predominant factor responsible for the enhancement of bone resorption and increased angiogenesis PMID: 24277416
  33. Greater adiposity is associated with higher MIP-1alpha and lower soluble CD14 levels, possibly reflecting an important role for cells of the monocyte/macrophage lineage. PMID: 23748193
  34. Transcription of CCL3 and CCL4 by THP-1 monocytic cells up-regulated in the presence of 27-Hydroxycholesterol and 7alpha-hydroxycholesterol. PMID: 24370436
  35. the role of Tax2-mediated activation of the nuclear factor kappa B (NF-kappaB) signalling pathway on the production of the anti-viral CC-chemokines MIP-1alpha, MIP-1beta and RANTES. PMID: 24116893
  36. Data indicate that VIP and PACAP increased macrophage resistance to HIV-1 replication by inducing the synthesis of beta-chemokines CCL3 and CCL5 and IL-10 following preferential activation of the receptors VPAC2 and PAC1. PMID: 23818986
  37. JAK2 and STAT3 activation is not essential for CCL3, CCL5 or CCL8 induced chemotaxis. PMID: 22987449
  38. Epstein-Barr virus latent membrane protein 1 (LMP1)-mediated Jun N-terminal protein kinase activation was responsible for upregulation of CCL3 and CCL4 in B cells. PMID: 23760235
  39. either the CCL3 gene may play a significant role in CCL3 production and/or that as yet undefined mechanisms regulate production of CCL3 from variable CCL3L copy number. PMID: 23295355
  40. High serum CCL-3 is associated with disease severity of generalized pustular psoriasis. PMID: 23334651
  41. These findings suggest that MIP-1alpha and IL-17 may play important roles in acute exacerbation of asthma induced by RSV in an animal model. PMID: 23711864
  42. This study examined the role of three African CCL3 haplotypes in HIV-1 infant susceptibility, maternal HIV-1 transmissibility and HIV-1 disease progression in the mothers. PMID: 23151487
  43. These findings suggest that the increased expression of CCL3, CCR1, and CCR5 may influence the immune response in RAS by T(H)1 cytokine polarization. PMID: 22727097
  44. Our findings indicate that TNFalpha and IL-1beta modulate the expression of CCL3 in nucleus pulposis cells by controlling the activation of MAPK, NF-kappaB, and C/EBPbeta signaling. PMID: 23233369
  45. Our results suggest vital roles for CCL3-mTORC2-isoform PKB/Akt1 S473 phosphorylation axis in FOXP3+Treg cells and the development of psoriasis. PMID: 23223135
  46. Serum CCL3, CCL5 and CCL18 are independently associated with the risk of short-term mortality in acute coronary syndrome patients. PMID: 23029252
  47. Tumor-infiltrating monocytic myeloid-derived suppressor cells produce high levels of transgenic CCR5 ligands CCL3, CCL4, and CCL5 and directly attract regulatory T cells (Tregs) in a CCR5-dependent manner. PMID: 23152559
  48. MIP-1alpha was found to correlate with WHO grade among invasive gliomas, and MIP-1alpha promoted human glioblastoma cell proliferation and migration. PMID: 22307528
  49. The mRNA expression of MIP-1alpha was markedly higher in chronic nonbacterial prostatitis/chronic pelvic pain syndrome patients than in controls. PMID: 22295852
  50. Data indicate that IFN2b treatment upregulates the expression of CCR5, RANTES, MIP-1alpha and MIP-1beta on monocytes/macrophages. PMID: 22085486

Show More

Hide All

Subcellular Location
Secreted.
Protein Families
Intercrine beta (chemokine CC) family
Database Links

HGNC: 10627

OMIM: 182283

KEGG: hsa:6348

STRING: 9606.ENSP00000225245

UniGene: Hs.514107

icon of phone
Call us
301-363-4651 (Available 9 a.m. to 5 p.m. CST from Monday to Friday)
icon of address
Address
7505 Fannin St., Ste 610, Room 7 (CUBIO Innovation Center), Houston, TX 77054, USA
icon of social media
Join us with

Subscribe newsletter

Leave a message

* To protect against spam, please pass the CAPTCHA test below.
CAPTCHA verification
© 2007-2025 CUSABIO TECHNOLOGY LLC All rights reserved. 鄂ICP备15011166号-1
×
Place an order now

I. Product details

*
*
*
*

II. Contact details

*
*

III. Ship To

*
*
*
*
*
*
*

IV. Bill To

*
*
*
*
*
*
*
*