CHRNA1 Recombinant Monoclonal Antibody

Code CSB-RA005386MA1HU
Size US$210
Order now
Image
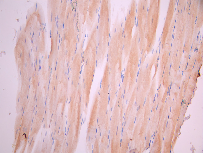
  • IHC image of CSB-RA005386MA1HU diluted at 1:50 and staining in paraffin-embedded human skeletal muscle tissue performed on a Leica BondTM system. After dewaxing and hydration, antigen retrieval was mediated by high pressure in a citrate buffer (pH 6.0). Section was blocked with 10% normal goat serum 30min at RT. Then primary antibody (1% BSA) was incubated at 4°C overnight. The primary is detected by a Anti-Human lgG, Fcy Fragment Specific labeled by HRP and visualized using 0.05% DAB.
Have Questions? Leave a Message or Start an on-line Chat

Product Details

Uniprot No.
Target Names
Alternative Names
Acetylcholine receptor subunit alpha antibody; ACHA_HUMAN antibody; AChR antibody; ACHRA antibody; ACHRD antibody; CHNRA antibody; Cholinergic receptor nicotinic alpha 1 subunit antibody; Cholinergic receptor nicotinic alpha polypeptide 1 antibody; Cholinergic receptor; nicotinic; alpha polypeptide 1 (muscle) antibody; Chrna1 antibody; CMS1A antibody; CMS1B antibody; CMS2A antibody; FCCMS antibody; Nicotinic cholinergic receptor alpha 1 antibody; SCCMS antibody; Schizophrenia neurophysiologic defect candidate antibody
Species Reactivity
Human
Immunogen
Recombinant Human CHRNA1 protein
Immunogen Species
Homo sapiens (Human)
Conjugate
Non-conjugated
Clonality
Monoclonal
Isotype
hIgG1
Clone No.
27G9
Purification Method
Affinity-chromatography
Concentration
It differs from different batches. Please contact us to confirm it.
Buffer
Preservative: 0.03% Proclin 300
Constituents: 50% Glycerol, 0.01M PBS, PH 7.4
Form
Liquid
Tested Applications
ELISA, IHC
Recommended Dilution
Application Recommended Dilution
IHC 1:50-1:200
Troubleshooting and FAQs
Storage
Upon receipt, store at -20°C or -80°C. Avoid repeated freeze.
Lead Time
Basically, we can dispatch the products out in 1-3 working days after receiving your orders. Delivery time maybe differs from different purchasing way or location, please kindly consult your local distributors for specific delivery time.
Usage
For Research Use Only. Not for use in diagnostic or therapeutic procedures.

Customer Reviews and Q&A

 Customer Reviews

There are currently no reviews for this product.

Submit a Review here

Target Background

Function
After binding acetylcholine, the AChR responds by an extensive change in conformation that affects all subunits and leads to opening of an ion-conducting channel across the plasma membrane.
Gene References into Functions
  1. In our analysis, we found one pair of SNPs in CHRNA1 and CHRNA7, plus one pair of SNPs in CHRNA2 and CHRNA3 reached corrected significance in tests for GxG interaction. Our study suggested evidence of interactions between CHRNs in controlling the risk of NSCL/P. PMID: 29688589
  2. This study shown that the genetic analysis revealed that the very early onset JMG had a more prominent genetic predisposition in an autoantigen gene (CHRNA1). PMID: 28364296
  3. Data suggest that the mutations made the cholinergic receptor nicotinic alpha 1 subunit channel (CHRNA1) resistant to the antagonists, not by impairing antagonist binding, but rather by producing a gain-of-function phenotype, e.g. increased agonist sensitivity. PMID: 27649498
  4. Study indicated that nicotinic acetylcholine receptor alpha 1-subunit peptides may act as receptor decoy molecules and inhibit the binding of virus to the native host cell receptors and hence may reduce viral infection. PMID: 26656837
  5. ChRnA1 gene variants did not affect the pharmacodynamics of rocuronium. PMID: 25279974
  6. nicotine contributes to the progression and erlotinib-resistance of the NSCLC xenograft model via the cooperation between nAChR and EGFR. PMID: 25670150
  7. show that AON complementary to the 5' splice site of the exon was the most effective at exon skipping of the minigene with causative mutations, as well as endogenous wild-type CHRNA1 PMID: 25888793
  8. The CHRNA1 extracellular domain is an improved protein for use in antigen-specific Myasthenia Gravis therapeutic strategies. PMID: 24376846
  9. HnRNP L and hnRNP LL antagonistically modulate PTB-mediated splicing suppression of CHRNA1 pre-mRNA. PMID: 24121633
  10. High expression of CHRNA1 is associated with lung adenocarcinoma after complete resection. PMID: 23775407
  11. No mutations were found in CHRNG, CHRND and CHRNA1 genes of Indian families with Escobar syndrome. PMID: 23448903
  12. Findings identify a novel lung cancer risk locus on 2q31.1 which correlates with CHRNA1 expression and replicate previous associations on 15q25.1 in African-Americans. PMID: 23232035
  13. V188 is functionally linked to Y190 in the C-loop and to D200 in beta-strand 10 of the acetylcholine receptor alpha subunit, which connects to the M1 transmembrane domain PMID: 22728938
  14. Studies suggest that the receptor nAChRalpha1 is an important regulator of calpain-1 activation and inflammation in the chronic hypercholesterolemic nephropathy. PMID: 20661225
  15. expression of extracellular domain of human muscle acetylcholine receptor alpha subunit in yeast Pichia pastoris PMID: 12015305
  16. DNA analysis of a father and son with dominant fast channel congenital myasthenic syndrome revealed an AChR alpha-subunit F256L missense mutation affecting channel gating PMID: 15079006
  17. A good correlation was found between the expression of PAX3/7-FKHR and AChR, while MyoD1 was more sensitive but less specific. PMID: 16435141
  18. the interaction between alpha AChR M1 and M2 domains plays a key role in channel gating PMID: 17028140
  19. growth factor-induced HMVEC migration, a key angiogenesis event, requires nAChR activation--an effect mediated in part by nAChR-dependent regulation of thioredoxin activity. PMID: 17082486
  20. Here we describe a mechanism controlling thymic transcription of a prototypic tissue-restricted human auto-antigen gene, CHRNA1 PMID: 17687331
  21. No CHRNA1, CHRNB1, or CHRND mutations were detected, but a homozygous RAPSN frameshift mutation, c.1177-1178delAA, was identified in a family with three children affected with lethal fetal akinesia sequence. PMID: 18179903
  22. study reports homozygous nonsense mutations in CHRNA1 and CHRND and shows that they were lethal PMID: 18252226
  23. Presence of heterogeneous nuclear ribonucleoprotein H-binding motif in CHRNA1 close to the 3' end of an intron is an essential but underestimated splicing regulator of the downstream exon. PMID: 18806275

Show More

Hide All

Involvement in disease
Multiple pterygium syndrome, lethal type (LMPS); Myasthenic syndrome, congenital, 1A, slow-channel (CMS1A); Myasthenic syndrome, congenital, 1B, fast-channel (CMS1B)
Subcellular Location
Cell junction, synapse, postsynaptic cell membrane; Multi-pass membrane protein. Cell membrane; Multi-pass membrane protein.
Protein Families
Ligand-gated ion channel (TC 1.A.9) family, Acetylcholine receptor (TC 1.A.9.1) subfamily, Alpha-1/CHRNA1 sub-subfamily
Tissue Specificity
Isoform 1 is only expressed in skeletal muscle. Isoform 2 is constitutively expressed in skeletal muscle, brain, heart, kidney, liver, lung and thymus.
Database Links

HGNC: 1955

OMIM: 100690

KEGG: hsa:1134

STRING: 9606.ENSP00000261007

UniGene: Hs.434479

icon of phone
Call us
301-363-4651 (Available 9 a.m. to 5 p.m. CST from Monday to Friday)
icon of address
Address
7505 Fannin St., Ste 610, Room 7 (CUBIO Innovation Center), Houston, TX 77054, USA
icon of social media
Join us with

Subscribe newsletter

Leave a message

* To protect against spam, please pass the CAPTCHA test below.
CAPTCHA verification
© 2007-2025 CUSABIO TECHNOLOGY LLC All rights reserved. 鄂ICP备15011166号-1
×
Place an order now

I. Product details

*
*
*
*

II. Contact details

*
*

III. Ship To

*
*
*
*
*
*
*

IV. Bill To

*
*
*
*
*
*
*
*