ICOS Recombinant Monoclonal Antibody

Code CSB-RA204351A0HU
Size US$210
Order now
Image
  • Western Blot
    Positive WB detected in:Mouse Spleen tissue whole cell lysate(30µg), Rat Spleen tissue whole cell lysate(30µg)
    All lanes: ICOsantibody at 1:1000
    Secondary
    Goat polyclonal to rabbit IgG at 1/40000 dilution
    Predicted band size: 23 kDa
    Observed band size: 22 kDa
    Exposure time:3min
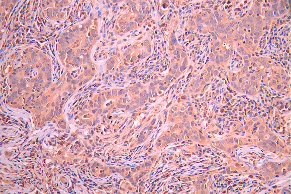
  • IHC image of CSB-RA204351A0HU diluted at 1:100 and staining in paraffin-embedded human pancreatic cancer performed on a Leica BondTM system. After dewaxing and hydration, antigen retrieval was mediated by high pressure in a citrate buffer (pH 6.0). Section was blocked with 10% normal goat serum 30min at RT. Then primary antibody (1% BSA) was incubated at 4°C overnight. The primary is detected by a Goat anti-rabbit polymer IgG labeled by HRP and visualized using 0.05% DAB.
Have Questions? Leave a Message or Start an on-line Chat

Product Details

Uniprot No.
Target Names
Alternative Names
Inducible T-cell costimulator (Activation-inducible lymphocyte immunomediatory molecule) (CD antigen CD278), ICOS, AILIM
Species Reactivity
Human, Mouse, Rat
Immunogen
A synthesized peptide derived from Human ICOS protein
Immunogen Species
Homo sapiens (Human)
Conjugate
Non-conjugated
Clonality
Monoclonal
Isotype
Rabbit IgG
Clone No.
19C7
Purification Method
Affinity-chromatography
Concentration
It differs from different batches. Please contact us to confirm it.
Buffer
Rabbit IgG in 10mM phosphate buffered saline , pH 7.4, 150mM sodium chloride, 0.05% BSA, 0.02% sodium azide and 50% glycerol.
Form
Liquid
Tested Applications
ELISA, WB, IHC
Recommended Dilution
Application Recommended Dilution
WB 1:500-1:5000
IHC 1:50-1:200
Troubleshooting and FAQs
Storage
Upon receipt, store at -20°C or -80°C. Avoid repeated freeze.
Lead Time
Basically, we can dispatch the products out in 1-3 working days after receiving your orders. Delivery time maybe differs from different purchasing way or location, please kindly consult your local distributors for specific delivery time.
Usage
For Research Use Only. Not for use in diagnostic or therapeutic procedures.

Customer Reviews and Q&A

 Customer Reviews

There are currently no reviews for this product.

Submit a Review here

Target Background

Function
Enhances all basic T-cell responses to a foreign antigen, namely proliferation, secretion of lymphokines, up-regulation of molecules that mediate cell-cell interaction, and effective help for antibody secretion by B-cells. Essential both for efficient interaction between T and B-cells and for normal antibody responses to T-cell dependent antigens. Does not up-regulate the production of interleukin-2, but superinduces the synthesis of interleukin-10. Prevents the apoptosis of pre-activated T-cells. Plays a critical role in CD40-mediated class switching of immunoglobin isotypes.
Gene References into Functions
  1. ICOS (-693A/G) gene polymorphism is associated with Colon Cancer Risk. PMID: 29580042
  2. The altered soluble (s)PD1 and sICOS serum levels in the different Hepatitis b (HBV) groups may reflect the dysregulation of T cell activation, and may be associated with the HBV pathological process. PMID: 28983583
  3. we have found an association between chronic spontaneous urticaria and polymorphisms in the ICOS gene. To our knowledge, this report is the fi rst to suggest and initially indicate a possible association of the ICOS rs6726035 TT genotype with CSU pathogenesis. PMID: 28940644
  4. Suggest that genetic polymorphisms of ICOS function as sex-dependent risk factors for development of acute rejection in an Iranian kidney transplant population. PMID: 28031007
  5. Binding of NUFIP2 to Roquin promotes recognition and regulation of ICOS mRNA. PMID: 29352114
  6. OX40 and ICOS act in a cooperative, nonredundant manner to maximize and prolong the T follicular helper cell response that is generated after acute virus infection PMID: 27895177
  7. High ICOS expression is associated with colorectal neoplasms. PMID: 27197182
  8. This is the first replication association study of rs4325730 upstream of ICOS with AIH in the Japanese population and rs4325730G is a risk allele. PMID: 27974812
  9. the induction pathway of ICOS(+) Foxp3(+) cells was analyzed PMID: 27756099
  10. ratio of ICOS(+) /PD-1(+) Tfh cells and the frequency of IL-21(+) Tfh cells may be indicators for evaluating the idiopathic membranous nephropathy development PMID: 26845249
  11. Follicular helper T cells differentiation is a multistage process involving BCL6 and other transcription factors, cytokines, and costimulation through ICOS and several other molecules. (Review) PMID: 26120879
  12. novel deletion mutation in Pakistani siblings presents in childhood with a combined Immunodeficiency associated with an enteritis, hepatitis and impaired antiviral immunity PMID: 26399252
  13. findings show Tregs from inflamed lung of sarcoidosis patients characterized by ICOS(high) phenotype; high-level ICOS expression was restricted to Tregs from inflamed lung and was absent in blood Tregs of sarcoidosis patients and in lung and blood Tregs of healthy volunteers; potential implication of ICOS/ICOS-L immune-regulatory axis in in disease activity and resolution PMID: 26415669
  14. findings indicated that circulating memory Tfh cells, especially CCR7+ICOS+ memory Tfh cells, may be associated with the relapse of MS and may serve as a new therapeutic target PMID: 26231034
  15. Expression of mutant caspase-9 correlated with a downregulation of BAFFR (B-cell-activating factor belonging to the TNF family (BAFF) receptor) in B cells and ICOS (inducible T-cell costimulator) in T cells. PMID: 25569260
  16. This study found that ICOS rs1559931 SNP was associated with decreased hepatitis B virus-related hepatocellular carcinoma risk in the studied Chinese Han population, except for patients with natural clearance of hepatitis B virus. PMID: 26074057
  17. Thymus medullary epithelial cells promote regulatory T-cell generation by stimulating interleukin-2 production via ICOS. PMID: 25210803
  18. Data indicate that T cells redirected with an inducible T-cell costimulator ICOS-based chimeric antigen receptors CAR maintained a core molecular signature characteristic of TH17 cells. PMID: 24986688
  19. Increased numbers of circulating ICOS(+) and IL-21(+) Tfh and CD38(+) plasma cells may be exhibited by patients with recent diagnoses of primary biliary cirrhosis. PMID: 25404409
  20. Aberrant sPD1 and sICOS serum levels may reflect the dysregulation of Tcell activation, and are associated with the pathological injury of chronic HCV infection. PMID: 23426717
  21. Data indicate that Tregs and its inducible costimulatory molecule (ICOS+) subsets are decreased in patients with myocardial infarction (MI) and stable angina (SA). PMID: 22426168
  22. Data indicate the expression of programmed cell death protein 1 (PD-1), inducible T-cell Costimulator (ICOS), Cytotoxic T-Lymphocyte Antigen 4 (CTLA-4) and T cell immunoglobulin and mucin protein 3 (Tim-3) in T-cells from geriatric and younger subjects. PMID: 24083425
  23. The associations between costimulatory molecule gene polymorphisms including: CTLA4, PD-1, ICOS and CD28 with active cytomegalovirus (CMV) infection were evaluated in hematopoietic stem cell transplant patients. PMID: 24057239
  24. The acquisition of B cell stimulating properties by naive cord blood CD4 T cells required the STAT3-dependent expression of ICOS and IL-21. PMID: 23923047
  25. SNPs of ICOS showed no association with Hashimoto thyroiditis. PMID: 23138463
  26. In a transgenic graft-vs-host disease (GVHD)model, mouse CD4 T cells depend more heavily on ICOS/phosphatidylinositol 3-kinase (PI3K) signaling axis, whereas CD8 T cells are able to induce GVHD utilizing PI3K-independent ICOS signaling mechanisms. PMID: 23729441
  27. A molecular and computational diagnostic approach identifies FOXP3, ICOS, CD52 and CASP1 as the most informative biomarkers in acute graft-versus-host disease. PMID: 22491736
  28. Results suggest that the serum level of sICOS is increased in patients with diffuse cutaneous SSc and correlates with the severity and activity of skin sclerosis and interstitial lung disease. PMID: 23053221
  29. Augmented ICOS signalling may contribute to the pathogenesis of systemic sclerosis during early progressive disease. Soluble ICOS levels may be used as a serum marker for the activity and severity of systemic sclerosis. PMID: 23024058
  30. ICOS-Fc inhibited the adhesion of both dendritic cells to vascular and lymphoid endothelial cells, their migratory activity, and the expression of the Rac-1 activator beta-Pix involved in cell motility. PMID: 23275603
  31. ICOS expression on CD4 + CD45RO + and CD8 + CD4RO + T cells was significantly increased in systemic lupus erythmetaous (SLE) patients. ICOS expression in lupus nephritis patients was higher than in SLE patients without lupus nephritis. PMID: 21479882
  32. Genetic variation in ICOS gene is associated with acute rejection of liver transplantation. PMID: 22579879
  33. ICOS gene polymorphisms may affect the risk of breast cancer and show that some SNPs are associated with breast cancer characteristics in a northern Chinese population. PMID: 21917182
  34. The constellation of specific alleles in CTLA-4, CD28, and ICOS genes contributes to the susceptibility and clinical course of non-small-cell lung cancer. PMID: 21669243
  35. Increased quantities of inducible costimulator-positive Tregs may influence IgG4 production in IgG4-related autoimmune pancreatitis. PMID: 21926547
  36. NPM-ALK induces expression of the growth-promoting receptor ICOS. PMID: 21765024
  37. ICOS polymorphisms was significantly different in pemphigus and suggest that genetically determined abnormal function of costimulatory receptors in T cells may be associated with the pathogenesis of pemphigus PMID: 21084022
  38. circulating neoplastic T cells correspond more often to a CD10-positive subset than to an ICOS-positive subset in Angioimmunoblastic T-cell lymphoma PMID: 21499231
  39. This indicates that the investigated ICOS polymorphisms do not modulate the risk of B-CLL in the Polish population, but are associated with disease dynamics, in particular with the time to Rai stage progression. PMID: 21526489
  40. we found a trend for reduced expression of ICOS after gluten-free diet treatment in the intestine of celia disease children. PMID: 21288140
  41. polymorphisms of three major genes involved in the regulation of immune response, CTLA4, CD28 and ICOS might be involved in development of the clinical variables of IgAN PMID: 21677403
  42. these data suggest that preeclampsia is associated with ICOS, but is not associated with the CTLA-4 or CD28 gene polymorphisms. PMID: 21160481
  43. Report the role of ICOS in allergen-induced T cell activation in allergic asthma and rhinitis. PMID: 21356099
  44. these results suggest that the polymorphisms in the CD28, CTLA4 and ICOS genes at least do not modulate risk of melanoma and nor do those influence the disease prognosis in the investigated population. PMID: 19672595
  45. In active ulcerative colitis CD86 and ICOS were over-expressed in the intestinal epithelial cells and lamina propria mononuclear cells. PMID: 20388394
  46. Increased amount of CD86 or ICOS positive lamina propria mononuclear cells and enterocytes suggests that co-stimulatory molecules may play a role in the pathogenesis of Crohn disease. PMID: 20019769
  47. Results reveal a vital role for ICOS signaling in the generation and maintenance of human T(H)17 cells and suggest that components of this pathway could be therapeutically targeted to treat cancer or chronic infection. PMID: 20980695
  48. High ICOS expression is associated with lymphomas of T follicular helper cell. PMID: 20207847
  49. The rs6726035 in ICOS was significantly associated with RA, Comparing the genotype frequencies in the codominant model (CC vs. CT, CC vs. TT) in the rs6726035 SNP revealed that the C allele appeared to be decreased in patients with RA patients. PMID: 20113255
  50. ICOS polymorphisms were not associated with susceptibility to cervical squamous cell (CSCC) and with histologic grade of CSCC. PMID: 19913589

Show More

Hide All

Involvement in disease
Immunodeficiency, common variable, 1 (CVID1)
Subcellular Location
[Isoform 1]: Cell membrane; Single-pass type I membrane protein.; [Isoform 2]: Secreted.
Tissue Specificity
Activated T-cells. Highly expressed on tonsillar T-cells, which are closely associated with B-cells in the apical light zone of germinal centers, the site of terminal B-cell maturation. Expressed at lower levels in thymus, lung, lymph node and peripheral
Database Links

HGNC: 5351

OMIM: 604558

KEGG: hsa:29851

STRING: 9606.ENSP00000319476

UniGene: Hs.56247

CUSABIO guaranteed quality
icon of phone
Call us
301-363-4651 (Available 9 a.m. to 5 p.m. CST from Monday to Friday)
icon of address
Address
7505 Fannin St., Ste 610, Room 7 (CUBIO Innovation Center), Houston, TX 77054, USA
icon of social media
Join us with

Subscribe newsletter

Leave a message

* To protect against spam, please pass the CAPTCHA test below.
CAPTCHA verification
© 2007-2026 CUSABIO TECHNOLOGY LLC All rights reserved. 鄂ICP备15011166号-1
Place an order now

I. Product details

*
*
*
*

II. Contact details

*
*

III. Ship To

*
*
*
*
*
*
*

IV. Bill To

*
*
*
*
*
*
*
*