TACSTD2 Recombinant Monoclonal Antibody

Code CSB-RA023072MA4HU
Size US$210
Order now
Image
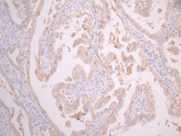
  • IHC image of CSB-RA023072MA4HU diluted at 1:50 and staining in paraffin-embedded human cervical cancer performed on a Leica BondTM system. After dewaxing and hydration, antigen retrieval was mediated by high pressure in a citrate buffer (pH 6.0). Section was blocked with 10% normal goat serum 30min at RT. Then primary antibody (1% BSA) was incubated at 4°C overnight. The primary is detected by a Goat anti-mouse polymer IgG labeled by HRP and visualized using 0.05% DAB.
  • Overlay Peak curve showing BxPC-3 cells stained with CSB-RA023072MA4HU (red line) at 1:100. Then 10% normal goat serum to block non-specific protein-protein interactions followed by the antibody (1ug/1*106cells) for 45min at 4℃. The secondary antibody used was FITC-conjugated Goat Anti-Mouse IgG(H+L) at 1:200 dilution for 35min at 4℃.Control antibody (green line) was mouse IgG2a (1ug/1*106cells) used under the same conditions. Acquisition of >10,000 events was performed.
Have Questions? Leave a Message or Start an on-line Chat

Product Details

Uniprot No.
Target Names
Alternative Names
Cell surface glycoprotein Trop 2 antibody; Cell surface glycoprotein Trop-2 antibody; Cell surface glycoprotein Trop2 antibody; Epithelial glycoprotein 1 antibody; GA733 1 antibody; GA7331 antibody; M1S 1 antibody; M1S1 antibody; Membrane component chromosome 1 surface marker 1 antibody; Pancreatic carcinoma marker protein GA733 1 antibody; Pancreatic carcinoma marker protein GA733-1 antibody; Pancreatic carcinoma marker protein GA7331 antibody; TACD 2 antibody; TACD2_HUMAN antibody; TACSTD 2 antibody; Tacstd2 antibody; Trop 2 antibody; Trop2 antibody; Tumor associated calcium signal transducer 2 precursor antibody; Tumor-associated calcium signal transducer 2 antibody
Species Reactivity
Human
Immunogen
Recombinant Human TACSTD2 protein
Immunogen Species
Homo sapiens (Human)
Conjugate
Non-conjugated
Clonality
Monoclonal
Isotype
mIgG2a
Clone No.
19C5
Purification Method
Affinity-chromatography
Concentration
It differs from different batches. Please contact us to confirm it.
Buffer
Preservative: 0.03% Proclin 300
Constituents: 50% Glycerol, 0.01M PBS, PH 7.4
Form
Liquid
Tested Applications
ELISA, IHC, FC
Recommended Dilution
Application Recommended Dilution
IHC 1:50-1:200
FC 1:50-1:200
Troubleshooting and FAQs
Storage
Upon receipt, store at -20°C or -80°C. Avoid repeated freeze.
Lead Time
Basically, we can dispatch the products out in 1-3 working days after receiving your orders. Delivery time maybe differs from different purchasing way or location, please kindly consult your local distributors for specific delivery time.
Usage
For Research Use Only. Not for use in diagnostic or therapeutic procedures.

Customer Reviews and Q&A

 Customer Reviews

There are currently no reviews for this product.

Submit a Review here

Target Background

Function
May function as a growth factor receptor.
Gene References into Functions
  1. The results suggest that TROP2 expression could be an effective prognostic biomarker for oral squamous cell carcinoma PMID: 30098828
  2. TROP-2, SLP-2 and CD56 were effective diagnostic markers for PTC, especially when they were combined to use. PMID: 29951933
  3. Trop2 has a potential role in the promotion of EMT in BC. PMID: 29901160
  4. these results suggested that TROP2 may promote osteosarcoma cell proliferation and migration via PI3K/AKT signaling and may serve as a novel treatment target for osteosarcoma . PMID: 29845216
  5. TACSTD2 downregulation is associated with hepatocellular carcinoma. PMID: 29538454
  6. findings demonstrate that a membranous TROP-2 staining pattern is highly specific for PTC, which may serve as a potential diagnostic marker aiding in the accurate classification of morphologically equivocal thyroid follicular-patterned lesions PMID: 26862947
  7. TROP2 promoted the proliferation, migration and metastasis of gallbladder cancer cells by regulating PI3K/AKT pathway and inducing EMT. PMID: 28423362
  8. The results from clinical specimens showed that Trop2 expression correlated with MMP2 expression in primary thyroid cancer. The current study suggests that elevated expression of Trop2 may represent an important molecular hallmark that is biologically and clinically relevant to the progression of thyroid cancer. PMID: 28709407
  9. these results suggest a differential role for TROP2 in different lung cancer subtypes PMID: 28404926
  10. Results show that TROP2 expression is up-regulated in gastric tumor and its co-expression with AREG protein is associated with TNM stage, tumor size, lymph node metastases, and distant metastases. PMID: 28256068
  11. Our findings indicate that the expression of Trop-2 is a stringent predictor of tumor response to AKT inhibitors. They also support the identification of target-activatory pathways, as efficient predictors of response in precision cancer therapy. PMID: 27022065
  12. Findings suggest that high TROP2 expression identifies distinct cell sub-populations in androgen-sensitive and androgen-independent prostate tumors and that it may be a predictive biomarker for prostate cancer treatment response in androgen-sensitive tumors. PMID: 27283984
  13. TROP2 may play a crucial role in COPD by affecting basal cells function and thus airway remodeling through increased basal cells hyperplasia PMID: 27887617
  14. TROP2 was overexpressed specifically in the majority of epithelial ovarian cancer and may be a novel prognostic biomarker PMID: 27127000
  15. we compared the diagnostic value of TROP-2 expression in distinguishing between benign and malignant thyroid lesions to those of HBME-1, CK19 and galectin-3 PMID: 28547974
  16. TROP-2 membranous staining is a very sensitive and specific marker for the classic and tall cell variants of papillary thyroid carcinoma, and for papillary microcarcinomas , with high overall specificity for papillary thyroid carcinoma PMID: 27311870
  17. The results suggested that trop2 facilitated neovascularization of non-small-cell lung cancer via activating ERK1/2 signaling pathway. PMID: 28345466
  18. We identified a homozygous TACSTD2 missense mutation, c.551A>G, p.(Tyr184Cys), in the affected family members. Both parents were heterozygous for the mutation, and unaffected siblings were either heterozygous or homozygous wild-type for this allele. PMID: 27227392
  19. Our results expand the mutational spectrum of TACSTD2 in patients with gelatinous drop-like corneal dystrophy (GDLD). PMID: 27149532
  20. Trop2 expression was higher in GC tissues than in neighboring non-tumor tissues. Increased Trop2 protein levels in GC were associated with increased differentiation, tumor node metastasis stage, tumor size, lymph node metastasis, distant metastasis, and H. pylori infection. PMID: 26716416
  21. Trop-2 is a novel target for ADC therapy because of its high expression by many solid cancers. PMID: 26101915
  22. TROP2 is epigenetically down-regulated and operates as a negative regulator of cell proliferation and migration in liver fluke-associated cholangiocarcinoma. PMID: 26626643
  23. TROP-2 is specifically expressed in papillary thyroid carcinoma. PMID: 26481593
  24. overexpression of TROP2 appears to be an independent predictor for poor clinical outcome in nasopharyngeal carcinoma PMID: 26617817
  25. Lower GA733-2 expression in cancer tissues appeared to correlate with lymph node metastases (P < 0.05). GA733-1 gene expression was significantly higher in cancerous samples PMID: 26600538
  26. TROP-2 can be used as well as HBME-1 in thyroid cytology to detect PTC. PMID: 25164548
  27. Altogether, our data suggest that TROP2 plays an important role in promoting ADC and may represent a novel prognostic biomarker and therapeutic target for the disease. PMID: 26773504
  28. TROP2 protein is expressed at high levels in the colon cancer tissues. PMID: 26059528
  29. TACSTD2 protein, human is predicting lymph node metastases in OSCC, overall survival and disease-free survival. PMID: 24764155
  30. The amino acid exchange resulting from 4461T[C does not appear to alter binding of HO-3, suggesting that treatment with catumaxomab can be offered to patients regardless of their TACSTD1-genotype. PMID: 26115884
  31. These observations suggest that Trop2 serves an oncogenic role in LSCC and has potential as a therapeutic target PMID: 25779928
  32. This study reveals that both EpCAM and Trop2 overexpression in pituitary adenomas correlate significantly with invasiveness and proliferation. Follow-up analysis shows that Trop2 is a predictive factor for recurrence/progression for PAs. PMID: 25550831
  33. Trop2 loss triggers sensitivity to anti-ErbB3 antibodies, which results in reduced proliferation and tumorigenic growth of Trop2 negative head and neck squamous cell cancer cells. PMID: 25238142
  34. studies have begun to identify the mechanisms underlying TROP2's functions, including regulated intramembrane proteolysis or specific interactions with integrin b1 and claudin proteins. PMID: 25523132
  35. we demonstrate that the Trop-2 activation states are critical determinants of tumor progression and are powerful indicators of breast cancer patients survival. PMID: 24824621
  36. Inhibition of Tacstd2 expression significantly inhibited chemotherapeutic reagent-induced apoptosis, and TACSTD2 regulated apoptotic gene expression through P63 containing the transactivation domain (TAp63). PMID: 24651436
  37. Trop2 is important in proliferation and apoptosis regulation in CaSki cells, which may become a novel target for cervical cancer treatment. PMID: 24816726
  38. Overexpression of TROP2 predicts poor prognosis of patients with cervical cancer and promotes the proliferation and invasion of cervical cancer cells by regulating ERK signaling pathway. PMID: 24086649
  39. miR-125b-1 causes mitogen-activated protein kinase pathway dysfunction through regulation of TACSTD2 expression. PMID: 23416980
  40. The results of this study suggested that the TROP2 correlated with malignancy, proliferation and angiogenesis in human gliomas PMID: 23397225
  41. TROP2 gene expression can be used as an independent prognostic indicator for squamous cell carcinoma of the larynx. PMID: 22987366
  42. Used the Sf9 cells to express the Trop2 ectodomain (Trop2EC) in two forms - wt glycosylated (gTrop2EC) and mutant non-glycosylated form (Trop2EC(Delta/N)). Recombinant protein was purified and structure studied. PMID: 23872121
  43. Trop2 expression reflects a more malignant phenotype and may serve as an unfavorable prognostic factor for extranodal NK/T cell lymphoma, nasal type PMID: 23979406
  44. The cells exhibited a low epithelial barrier function as well as decreased expression of tight-junction-related proteins claudin 1 and 7. PMID: 23868985
  45. show that Trop-2 enhances directional prostate cancer cell migration, through modulation of Rac1 GTPase activity PMID: 23536555
  46. Network hubs and interacting partners are co-expressed with Trop-2 in primary human tumours, supporting a role of this signalling network in cancer growth. PMID: 22562244
  47. study characterized the expression of TACSTD2 in invasive ductal breast cancer(IDC) and adjacent non-malignant tissues; studies demonstrated that the high expression of TACSTD2 correlates with a poor prognosis in IDC PMID: 23031786
  48. Our data support a model where above-baseline expression of wild-type Trop-2 is a key driver of human cancer growth. PMID: 22349828
  49. High expression of TROP2 was associated with stage stage IIb colon cancer. PMID: 23055188
  50. More than 90% of Gelatinous drop-like corneal dystrophy (GDLD) patients possessed the same haplotype with a Q118X mutation in TACSTD2. PMID: 23038033

Show More

Hide All

Involvement in disease
Corneal dystrophy, gelatinous drop-like (GDLD)
Subcellular Location
Membrane; Single-pass type I membrane protein.
Protein Families
EPCAM family
Tissue Specificity
Placenta, pancreatic carcinoma cell lines.
Database Links

HGNC: 11530

OMIM: 137290

KEGG: hsa:4070

STRING: 9606.ENSP00000360269

UniGene: Hs.23582

icon of phone
Call us
301-363-4651 (Available 9 a.m. to 5 p.m. CST from Monday to Friday)
icon of address
Address
7505 Fannin St., Ste 610, Room 7 (CUBIO Innovation Center), Houston, TX 77054, USA
icon of social media
Join us with

Subscribe newsletter

Leave a message

* To protect against spam, please pass the CAPTCHA test below.
CAPTCHA verification
© 2007-2025 CUSABIO TECHNOLOGY LLC All rights reserved. 鄂ICP备15011166号-1
×
Place an order now

I. Product details

*
*
*
*

II. Contact details

*
*

III. Ship To

*
*
*
*
*
*
*

IV. Bill To

*
*
*
*
*
*
*
*