GFAP Monoclonal Antibody

Code CSB-MA293354
Size US$166
Order now
Image
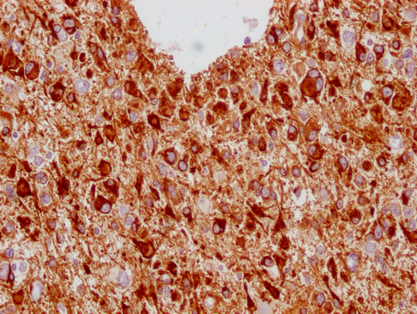
  • IHC image of CSB-MA293354 diluted at 1:100 and staining in paraffin-embedded human glioma cancer performed on a Leica BondTM system. After dewaxing and hydration, antigen retrieval was mediated by high pressure in a citrate buffer (pH 6.0). Section was blocked with 10% normal goat serum 30min at RT. Then primary antibody (1% BSA) was incubated at 4°C overnight. The primary is detected by a Goat anti-mouse IgG polymer labeled by HRP and visualized using 0.05% DAB.
Have Questions? Leave a Message or Start an on-line Chat

Product Details

Full Product Name
Mouse anti-Homo sapiens (Human) GFAP Monoclonal antibody
Uniprot No.
Target Names
Alternative Names
GFAP antibody; GFAP Epsilon antibody; GFAP_HUMAN antibody; GFAPdelta antibody; GFAPepsilon antibody; Glial fibrillary acidic protein antibody; Intermediate filament protein antibody
Raised in
Mouse
Species Reactivity
Human
Immunogen
Synthesized peptide derived from human Glial Fibrillary Acidic Protein (GFAP)
Immunogen Species
Homo sapiens (Human)
Conjugate
Non-conjugated
Clonality
Monoclonal
Isotype
IgG1, Kappa
Clone No.
23D3
Purification Method
The antibody was affinity-purified from mouse ascites by affinity-chromatography using specific immunogen.
Concentration
It differs from different batches. Please contact us to confirm it.
Buffer
Liquid in PBS containing 50% glycerol, 0.5% BSA and 0.02% sodium azide.
Form
Liquid
Tested Applications
ELISA, IHC
Recommended Dilution
Application Recommended Dilution
IHC 1:20-1:200
Troubleshooting and FAQs
Storage
Upon receipt, store at -20°C or -80°C. Avoid repeated freeze.
Lead Time
Basically, we can dispatch the products out in 1-3 working days after receiving your orders. Delivery time maybe differs from different purchasing way or location, please kindly consult your local distributors for specific delivery time.
Usage
For Research Use Only. Not for use in diagnostic or therapeutic procedures.

Customer Reviews and Q&A

 Customer Reviews

There are currently no reviews for this product.

Submit a Review here

Target Background

Function
GFAP, a class-III intermediate filament, is a cell-specific marker that, during the development of the central nervous system, distinguishes astrocytes from other glial cells.
Gene References into Functions
  1. The features of the neuropathology and immunopathology of GFAP astrocytopathies were perivascular inflammation and loss of astrocytes and neurons PMID: 29193473
  2. amniotic fluid -GFAP levels differentiate between myelomeningocele and myeloschisis, and raise interesting questions regarding the clinical significance between the 2 types of defects. PMID: 28768252
  3. Desmin, Glial Fibrillary Acidic Protein, Vimentin, and Peripherin are type III intermediate filaments that have roles in health and disease [review] PMID: 29196434
  4. Plasma concentration of GFAP demonstrated associations with stroke occurrence in a West African cohort but was not associated with stroke severity or mortality. PMID: 29074065
  5. This study demonstrated that Concentrations of microparticles expressing GFAP and AQP4 were significantly higher in the traumatic brain injury group compared with healthy controls. PMID: 28972406
  6. The authors observed higher serum levels of GFAP and UCH-L1 in brain-injured children compared with controls and also demonstrated a step-wise increase of biomarker concentrations over the continuum of severity from mild to severe traumatic brain injury. Serum UCH-L1 and GFAP concentrations also strongly predicted poor outcome. PMID: 27319802
  7. Study examined if QKI6B expression can predict the outcome of GFAP, and several oligodendrocyte-related genes, in the prefrontal cortex of brain samples of schizophrenic individuals. QKI6B significantly predicts the expression of GFAP, but does not predict oligodendrocyte-related gene outcome, as previously seen with other QKI isoforms. PMID: 28552414
  8. GFAP, along with tau and AmyloidBeta42, were increased in plasma up to 90 days after traumatic brain injury compared with controls. PMID: 27312416
  9. Results show that the positive rates and expression levels of nestin, tyrosine hydroxylase (TH), GFAP and IL-17 were significantly decreased while Foxp3 and the ratio of Foxp3/IL-17 were statistically elevated in BM of AML patients. PMID: 27016413
  10. GFAP levels >0.29 ng/ml were seen only in intracerebral hemorrhage, thus confirming the diagnosis of ICH during prehospital care. PMID: 27951536
  11. These results indicate that autoantibodies against GFAP could serve as a predictive marker for the development of overt autoimmune diabetes. PMID: 28546444
  12. Higher median plasma GFAP values were documented in intracerebral hemorrhage compared with acute ischemic stroke, stroke mimics, and controls. PMID: 28751552
  13. GFAP is specifically expressed in the auricular chondrocytes, and assumes a pivotal role in resistance against mechanical stress. PMID: 28063220
  14. Bevacizumab treatment was also associated with structural protein abnormalities, with decreased GFAP and vimentin content and upregulated GFAP and vimentin mRNA expression. PMID: 28419863
  15. the exchange of GFP-GFAPdelta was significantly slower than the exchange of GFP-GFAPalpha with the intermediate filament-network. PMID: 27141937
  16. Tat expression or GFAP expression led to formation of GFAP aggregates and induction of unfolded protein response (UPR) and endoplasmic reticulum (ER) stress in astrocytes. PMID: 27609520
  17. This study demonstrated that GFAP exhibited distinct temporal profiles over the course of 7 days in patient with traumatic brain injury. PMID: 27018834
  18. e data indicates that serum GFAP levels may be associated with severity of autism spectrum disorders among Chinese children. PMID: 28088366
  19. High GFAP expression is associated with retinoblastoma. PMID: 27488116
  20. Overall, glial fibrillary acidic protein reflected no evidence for significant peripartum brain injury in neonates with congenital heart defects, but there was a trend for elevation by postnatal day 4 in neonates with left heart obstruction. PMID: 26786018
  21. serum levels of GFAP were significantly lower in autism spectrum disorders than controls PMID: 27097671
  22. We found downregulation of GFAP mRNA and protein in the mediodorsal thalamus and caudate nucleus of depressed suicides compared with controls, whereas GFAP expression in other brain regions was similar between groups. Furthermore, a regional comparison including all samples revealed that GFAP expression in both subcortical regions was, on average, between 11- and 15-fold greater than in cerebellum and neocortex. PMID: 26033239
  23. No difference in cord blood concentration found between hypoxic-ischemic encephalopathy neonates and controls PMID: 26135781
  24. GFAP is upregulated following an insult or injury to the brain, additionally making it an indicator of CNS pathology. PMID: 25846779
  25. This study demonistrated that the density of GFAP-immunoreactive astrocytes is decreased in left hippocampi in major depressive disorder PMID: 26742791
  26. This study demonstrated that GFAP as a promising biomarker to distinguish ischemic stroke from intracerebral hemorrhage. PMID: 26526443
  27. The levels of GFAP in Alzheimer's disease, dementia with Lewy bodies, and frontotemporal lobar degeneration patients were significantly higher than those in the healthy control subjects. PMID: 26485083
  28. GFAP is significantly associated with outcome, but it does not add predictive power to commonly used prognostic variables in a population of patients with TBI of varying severities. PMID: 26547005
  29. Neither duplications nor deletions of GFAP were found, suggesting that GFAP coding-region rearrangements may not be involved in Alexander disease or Alexanderrelated leukoencephalopathies. PMID: 26208460
  30. The data suggest that human vitreous body GFAP is a protein biomarker for glial activation in response to retinal pathologies. PMID: 26279003
  31. Studied diagnostic Value of Serum Levels of GFAP, pNF-H, and NSE Compared With Clinical Findings in Severity Assessment of Human Traumatic Spinal Cord Injury. PMID: 25341992
  32. GFAP peaks early during haemorrhagic brain lesions (at significantly higher levels), and late in ischaemic events, whereas antibodies against NR2 RNMDA have significantly higher levels during ischemic stroke at all time-points. PMID: 26081945
  33. There was an absence of GFAP in astrocytes during early fetal spinal cord development until 9 months of gestation , and the appearance of GFAP-positive reactivity was later than that of neurons. PMID: 25904356
  34. It could be a clinically relevant marker associated with tumor invasiveness in cerebral astrocytomas. PMID: 25178519
  35. These data imply that a tight regulation of histone acetylation in astrocytes is essential, because dysregulation of gene expression causes the aggregation of GFAP, a hallmark of human diseases like Alexander's disease. PMID: 25128567
  36. Identification of a novel nonsense mutation in the rod domain of GFAP that is associated with Alexander disease. PMID: 24755947
  37. The role of S100B protein, neuron-specific enolase, and glial fibrillary acidic protein in the evaluation of hypoxic brain injury in acute carbon monoxide poisoning PMID: 24505052
  38. GFAP, the principal intermediate filament protein of astrocytes, is involved in physiological, but in particular, in pathophysiological functions of astrocytes, the latter ones being connected with astrocyte activation and reactive gliosis. [Review] PMID: 25726916
  39. The data on the changes in expression of GFAP in Alexander disease caused by the primary pathology of astrocytes are presented. PMID: 25859599
  40. A combined profile of preoperative IGFBP-2, GFAP, and YKL-40 plasma levels could serve as an additional diagnostic tool for patients with inoperable brain lesions suggestive of Glioblastoma multiforme. PMID: 25139333
  41. There are significant increases in glial fibrillary acidic protein levels in children undergoing cardiopulmonary bypass for repair of congenital heart disease. The highest values were seen during the re-warming phase. PMID: 23845562
  42. This stuidy demonistrated that Fibrillary astrocytes are decreased in the subgenual cingulate in schizophrenia. PMID: 24374936
  43. TBI patients showed an average 3.77 fold increase in anti-GFAP autoantibody levels from early (0-1 days) to late (7-10 days) times post injury. PMID: 24667434
  44. We showed that GFAP is over-expressed and hypophosphorylated in the enteric glial cells of Parkinson's disease patients as compared to healthy subjects PMID: 24749759
  45. Its expression is associated with plaque load related astrogliosis in Alzheimer's disease. PMID: 24269023
  46. The findings of this study that caspase-mediated GFAP proteolysis may be a common event in the context of both the GFAP mutation and excess. PMID: 24102621
  47. This study demonistratedt hat Increased expression of glial fibrillary acidic protein in prefrontal cortex in psychotic illness PMID: 23911257
  48. Data indicate that Gfapdelta is expressed in the in developing mouse brain sub-ventricular zones in accordance with the described localization in the developing and adult human brain. PMID: 23991052
  49. GFAP-breakdown products blood levels reliably distinguished severity of injury in traumatic brain injury patients. PMID: 23489259
  50. The C/C genotype at rs2070935 of the GFAP promoter in late-onset AxD was associated with an earlier onset and a more rapid progression of ambulatory disability compared with the other genotypes. PMID: 23903069

Show More

Hide All

Involvement in disease
Alexander disease (ALXDRD)
Subcellular Location
Cytoplasm.
Protein Families
Intermediate filament family
Tissue Specificity
Expressed in cells lacking fibronectin.
Database Links

HGNC: 4235

OMIM: 137780

KEGG: hsa:2670

STRING: 9606.ENSP00000253408

UniGene: Hs.514227

icon of phone
Call us
301-363-4651 (Available 9 a.m. to 5 p.m. CST from Monday to Friday)
icon of address
Address
7505 Fannin St., Ste 610, Room 7 (CUBIO Innovation Center), Houston, TX 77054, USA
icon of social media
Join us with

Subscribe newsletter

Leave a message

* To protect against spam, please pass the CAPTCHA test below.
CAPTCHA verification
© 2007-2025 CUSABIO TECHNOLOGY LLC All rights reserved. 鄂ICP备15011166号-1
×
Place an order now

I. Product details

*
*
*
*

II. Contact details

*
*

III. Ship To

*
*
*
*
*
*
*

IV. Bill To

*
*
*
*
*
*
*
*