Full Product Name
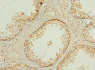
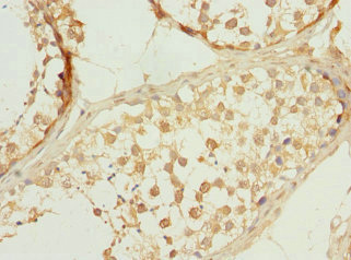
                            Rabbit anti-Homo sapiens (Human) PPP3R2 Polyclonal antibody
                         
                                                                                                
                                                                        
                                                                        
                            Alternative Names
                            
								Calcineurin B like protein antibody; Calcineurin B type II (19kDa) antibody; Calcineurin B type II antibody; Calcineurin B-like protein antibody; Calcineurin BII antibody; Calcineurin subunit B isoform 2 antibody; Calcineurin subunit B type 2 antibody; CANB2_HUMAN antibody; CBLP antibody; CBLP like antibody; CNBII antibody; PPP3R1-like antibody; Ppp3r2 antibody; PPP3RL antibody; Protein phosphatase 2B regulatory subunit 2 antibody; Protein phosphatase 3 (formerly 2B) regulatory subunit B (19kD) beta isoform (calcineurin B type II) antibody; Protein phosphatase 3 (formerly 2B) regulatory subunit B beta isoform antibody; Protein phosphatase 3 (formerly 2B); regulatory subunit B; 19kDa; beta isoform (calcineurin B; type II) antibody; Protein phosphatase 3 regulatory subunit B (19kD) beta isoform (calcineurin B type II) antibody; Protein phosphatase 3 regulatory subunit B (calcineurin B) like antibody; Protein phosphatase 3 regulatory subunit B beta antibody; Protein phosphatase 3 regulatory subunit B beta isoform antibody
							 
                         
                                                                        
                                                                        
                            Species Reactivity
                            Human, Mouse
                         
                                                                        
                            Immunogen
                            Recombinant Human Calcineurin subunit B type 2 protein (1-170AA)
                         
                                                                        
                            Immunogen Species
                            Homo sapiens (Human)
                         
                                                                        
                                                                        
                                                                        
                                                                                                
                            Purification Method
                            Antigen Affinity Purified
                         
                                                
                            Concentration
                            It differs from different batches. Please contact us to confirm it.
                         
                                                
                            Buffer
                            PBS with 0.02% sodium azide, 50% glycerol, pH7.3.
                         
                                                                        
                                                                        												                        
                            Tested Applications
                            ELISA, WB, IHC
                         
						                                                                                                                        
                            Recommended Dilution
                            
                                
                                    
                                        | Application | Recommended Dilution | 
                                                                                                                                                                                    
                                        | WB | 1:1000-1:5000 | 
                                                                                                                                                                                    
                                        | IHC | 1:20-1:200 | 
                                                                    
                             
                         
                        												                                                                        
                                                
                                                
                            Storage
                            Upon receipt, store at -20°C or -80°C. Avoid repeated freeze.
                         
                                                                        
                            Lead Time
                            Basically, we can dispatch the products out in 1-3 working days after receiving your orders. Delivery time maybe differs from different purchasing way or location, please kindly consult your local distributors for specific delivery time.
                         
						                        
                            Usage
                            For Research Use Only. Not for use in diagnostic or therapeutic procedures.