SAE1 Antibody

Code CSB-PA897667
Size US$166
Order now
Image
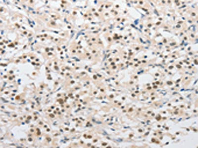
  • The image on the left is immunohistochemistry of paraffin-embedded Human thyroid cancer tissue using CSB-PA897667(SAE1 Antibody) at dilution 1/15, on the right is treated with fusion protein. (Original magnification: ×200)
  • The image on the left is immunohistochemistry of paraffin-embedded Human cervical cancer tissue using CSB-PA897667(SAE1 Antibody) at dilution 1/15, on the right is treated with fusion protein. (Original magnification: ×200)
  • Gel: 15%SDS-PAGE, Lysate: 40 μg, Lane 1-2: 293T cells, A431 cells, Primary antibody: CSB-PA897667(SAE1 Antibody) at dilution 1/400, Secondary antibody: Goat anti rabbit IgG at 1/8000 dilution, Exposure time: 30 seconds
Have Questions? Leave a Message or Start an on-line Chat

Product Details

Uniprot No.
Target Names
Alternative Names
Activator of SUMO1 antibody; AOS1 antibody; HSPC140 antibody; Sae1 antibody; SAE1_HUMAN antibody; Sentrin/SUMO activating protein AOS1 antibody; SUA1 antibody; SUMO 1 activating enzyme E1 N subunit antibody; SUMO 1 activating enzyme subunit 1 antibody; SUMO-activating enzyme subunit 1 antibody; Ubiquitin like protein SUMO1 activating enzyme antibody; Ubiquitin-like 1-activating enzyme E1A antibody; UBL E1A antibody; UBLE1A antibody
Raised in
Rabbit
Species Reactivity
Human,Mouse,Rat
Immunogen
Fusion protein of Human SAE1
Immunogen Species
Homo sapiens (Human)
Conjugate
Non-conjugated
Isotype
IgG
Purification Method
Antigen affinity purification
Concentration
It differs from different batches. Please contact us to confirm it.
Buffer
-20°C, pH7.4 PBS, 0.05% NaN3, 40% Glycerol
Form
Liquid
Tested Applications
ELISA,WB,IHC
Recommended Dilution
Application Recommended Dilution
ELISA 1:2000-1:5000
WB 1:500-1:2000
IHC 1:15-1:50
Troubleshooting and FAQs
Storage
Upon receipt, store at -20°C or -80°C. Avoid repeated freeze.
Lead Time
Basically, we can dispatch the products out in 1-3 working days after receiving your orders. Delivery time maybe differs from different purchasing way or location, please kindly consult your local distributors for specific delivery time.
Usage
For Research Use Only. Not for use in diagnostic or therapeutic procedures.

Customer Reviews and Q&A

 Customer Reviews

There are currently no reviews for this product.

Submit a Review here

Target Background

Function
The heterodimer acts as an E1 ligase for SUMO1, SUMO2, SUMO3, and probably SUMO4. It mediates ATP-dependent activation of SUMO proteins followed by formation of a thioester bond between a SUMO protein and a conserved active site cysteine residue on UBA2/SAE2.
Gene References into Functions
  1. the expression of SENP8, SAE1, PIAS1, PIAS2 and ZMIZ1 is deregulated in the majority of PTC tissues, likely contributing to the PTC phenotype. PMID: 26403403
  2. as it has been shown by flow cytometry analysis, specific knockdown of SAE1 slowed down the cell population at G0/G1 phase and induced apoptosis of RKO cells. PMID: 25842831
  3. SUMO-1 controls the protein stability and the biological function of phosducin. PMID: 16421094
Subcellular Location
Nucleus.
Protein Families
Ubiquitin-activating E1 family
Tissue Specificity
Expression level increases during S phase and drops in G2 phase (at protein level).
Database Links

HGNC: 30660

OMIM: 613294

KEGG: hsa:10055

STRING: 9606.ENSP00000270225

UniGene: Hs.515500

icon of phone
Call us
301-363-4651 (Available 9 a.m. to 5 p.m. CST from Monday to Friday)
icon of address
Address
7505 Fannin St., Ste 610, Room 7 (CUBIO Innovation Center), Houston, TX 77054, USA
icon of social media
Join us with

Subscribe newsletter

Leave a message

* To protect against spam, please pass the CAPTCHA test below.
CAPTCHA verification
© 2007-2025 CUSABIO TECHNOLOGY LLC All rights reserved. 鄂ICP备15011166号-1
×
Place an order now

I. Product details

*
*
*
*

II. Contact details

*
*

III. Ship To

*
*
*
*
*
*
*

IV. Bill To

*
*
*
*
*
*
*
*