PROM1 Recombinant Monoclonal Antibody

Code CSB-RA080433A0HU
Size US$210
Order now
Image
  • Flow cytometric analysis of CD133 expression in HAP-1 cells using CD133 antibody. Green, isotype control; red, CD133.
  • Immunocytochemical staining of HAP-1 cells with CD133 antibody. Nuclei were stained blue with DAPI; CD133 was stained magenta with Alexa Fluor® 647. Images were taken using Leica stellaris 5. Protein abundance based on laser Intensity and smart gain: Medium. Scale bar: 20 μm.
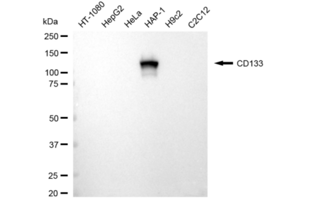
  • Western blotting analysis using CD133 antibody. Total cell lysates (30 μg) from various cell lines were loaded and separated by SDS-PAGE. The blot was incubated with CD133 antibody and HRP-conjugated goat anti-rabbit secondary antibody respectively.
Have Questions? Leave a Message or Start an on-line Chat

Product Details

Uniprot No.
Target Names
Alternative Names
PROM1; Prominin ; CORD12; PROML1; AC133; CD133; RP41; Retinitis Pigmentosa 41, Cone-Rod Dystrophy 1; Prominin-Like Protein 1; AC133 Antigen; Antigen AC133; Prominin-1; MCDR2; STGD4; Stargardt Disease 4 (Autosomal Dominant); Hematopoietic Stem Cell Antigen; Macular Dystrophy, Retinal 2; Prominin (Mouse)-Like 1; CD133 Antigen; HProminin; MSTP061
Species Reactivity
Human
Immunogen
Recombinant Human PROM1 protein
Immunogen Species
Homo sapiens (Human)
Conjugate
Non-conjugated
Clonality
Monoclonal
Isotype
Rabbit IgG
Clone No.
23C4
Purification Method
Affinity-chromatography
Concentration
It differs from different batches. Please contact us to confirm it.
Buffer
Rabbit IgG in PBS (pH 7.4) containing 50% glycerol, and 0.02% sodium azide.
Form
Liquid
Tested Applications
ELISA, WB, FC, ICC
Recommended Dilution
Application Recommended Dilution
WB 1:1000-1:5000
FC 1:200-1:2000
ICC 1:100-1:1000
Troubleshooting and FAQs
Storage
Upon receipt, store at -20°C or -80°C. Avoid repeated freeze.
Lead Time
Basically, we can dispatch the products out in 1-3 working days after receiving your orders. Delivery time maybe differs from different purchasing way or location, please kindly consult your local distributors for specific delivery time.
Usage
For Research Use Only. Not for use in diagnostic or therapeutic procedures.

Customer Reviews and Q&A

 Customer Reviews

There are currently no reviews for this product.

Submit a Review here

Target Background

Function
May play a role in cell differentiation, proliferation and apoptosis. Binds cholesterol in cholesterol-containing plasma membrane microdomains and may play a role in the organization of the apical plasma membrane in epithelial cells. During early retinal development acts as a key regulator of disk morphogenesis. Involved in regulation of MAPK and Akt signaling pathways. In neuroblastoma cells suppresses cell differentiation such as neurite outgrowth in a RET-dependent manner.
Gene References into Functions
  1. These findings link iNOS to Notch1 signaling in CD24(+)CD133(+) LCSCs through the activation of TACE/ADAM17. PMID: 30297396
  2. Data show that pancreatic aldehyde dehydrogenase (ALDH(hi) cells contain a heterogeneous CD133-enriched population with a subset of beta-cell associated markers in the developing pancreas. PMID: 29285988
  3. The downregulation of LIPC in the HepG2 cells was associated with the decreased expression of CD133, decreased cell proliferation and colony formation, as well as increased resistance to chemotherapy. PMID: 30015857
  4. The expression of CD133 protein in patients with osteosarcoma was significantly high and related to the distant metastasis, which may be a potential prediction biomarker for poor prognosis of osteosarcoma patients PMID: 29970672
  5. this present study shows a significant correlation between CD133 expression and differentiation of NSCLC both in our results and pooled previous results. CD133 may have prognostic significance for patients with NSCLC based on currently obtained data. PMID: 29758924
  6. CD133 downregulation also suppressed iRFA-induced cell viability, invasion and autophagy. Collectively, our results indicated that RFA may promote residual HCC cell progression by autophagy and CD133 feedback loop. PMID: 29749472
  7. CD133 staining was positive in 17.9% of the colorectal adenomas. Moreover, CD133 expression was associated with differentiation status (p = 0.003) and tumor size (p = 0.03). PMID: 28190751
  8. CD133 expression and MYCN amplification induce chemoresistance and reduce average survival time in pediatric neuroblastoma. PMID: 29322842
  9. Negative CD133 expression was an independent risk factor for a reduced disease-free survival in colon cancer with peritoneal metastasis. PMID: 29328371
  10. this meta-analysis indicated both CD133 and Nestin expression were significantly associated with advanced FIGO stage, larger size of residual cancer in EOC patients. PMID: 29168665
  11. Cytoplasmic and nuclear CD133 expression in colorectal adenocarcinoma cells and tumor microenvironment cells may play an important role in early colorectal adenocarcinoma carcinogenesis, while decreased CD133 nuclear expression in colorectal adenocarcinoma cells may contribute to colorectal adenocarcinoma metastasis. PMID: 30061254
  12. CD133 expression may serve as a biomarker for early detection of gastric cancer. PMID: 30061208
  13. Human UCB- CD133(+) hematopoietic stem cells into are remarkably potent cell candidates to transdifferentiate into motor neuron-like cells, in vitro PMID: 28754612
  14. This study confirms that the CD133lo subset of Rb Y79 cell line is endowed with the characteristics of cancer stem cells as demonstrated by the in vitro functional assays and is in agreement with our previous findings in primary Rb tumors. PMID: 29162051
  15. The expression of CD133 and SSEA4 determines the differentiation fate of pluripotent cancer stem cells. PMID: 28624968
  16. CD133 is a useful predictive or prognostic biomarker for Colorectal cancer in clinical assessment and may serve as a potential therapeutic target for Colorectal cancer. PMID: 29879012
  17. Bmi1 promoted invasion and migration of CD133+Hep G2 cells. PMID: 28849237
  18. Lymph node metastasis is strongly associated with expression status of HGF and CD133 at the deep invasive front, suggesting the usefulness of these proteins as independent predictive markers of lymph node metastasis in early gastric cancer. PMID: 28595915
  19. Higher hazard ratios for associations between CD133 rs2240688 polymorphism and overall survival (OS) were observed in patients with adjuvant chemotherapy and radiotherapy for curative intent. The study confirmed the significant association between the SNP rs2240688 A>C of CD133 and OS of non-small cell lung cancer patients. PMID: 28827262
  20. glioma cells expressing CD133 are capable of modulating tumor microenvironment through the IL-1beta signaling pathway. PMID: 28736425
  21. Exogenous CXCL3 induced Erk1/2 and ETS1 phosphorylation and promoted CD133 expression. PMID: 27255419
  22. Low expressions of Oct4-EpCAM in IHC and CD133 in qPCR may reveal roles in gastric cancer PMID: 27557490
  23. The clinical evidence that revealed cytoplasmic CD133 expression was correlated with poor prognosis, while nuclear CD133 expression was significantly correlated with favorable prognosis. PMID: 28687090
  24. High CD133 expression is associated with Basal Breast Cancers. PMID: 28216417
  25. In conclusion, p-STAT3 may participate in the progression of the early stage of colon cancer through the up-regulation of CD133, which in turn induces survivin expression. However, the regulatory mechanism of these molecules in tumor progression in vivo is need to be more verified. PMID: 29432737
  26. Circulating tumor cells expressing cytokeratin and tumor-initiating cell markers, including ALDH, CD133, and CD44, were identified in patients with pancreatic adenocarcinoma. These TIC-like CTCs were associated with poor prognosis after surgical resection and with an increased incidence of tumor recurrence PMID: 27789528
  27. High CD133 expression is associated with renal cell carcinoma. PMID: 27588469
  28. CD133+CD24lo phenotype defines 5-FU-resistant human colon cancer stem cell-like cells. PMID: 27659530
  29. Intraperitoneal enrichment of cancer stem-like cells, from ovarian cancer cell lines or primary ovarian tumor, provides a rational approach for cancer stem-like cell isolation and characterization using CD44 and prominin-1(CD133) as selection markers. PMID: 27655682
  30. CD133 may have different roles in survival from non-small-cell lung cancer based on ethnic groups [meta-analysis] PMID: 27489355
  31. Notch1 signaling plays an important role in the maintenance of the cancer stem-like phenotype in diffuse type gastric cancer through an RBP-Jkappa dependent pathway; inhibiting Notch1 signaling could be an effective therapy against CD133 positive diffuse type gastric cancers PMID: 27489358
  32. Low CD133 Expression is associated with Recurrence in Colorectal Cancer with Synchronous Liver Metastasis. PMID: 26832881
  33. CD133+ cells were genetically heterogeneous among patients without any defined profile compared to CD133-/EpCAM+ cells. PMID: 28347289
  34. Results show that CD133 and MDR1 expression increase in recurrent pediatric pilocytic astrocytomas (PAs) following chemotherapy, and in drug resistant tumor cells. CD133 regulates MDR1 expression via the PI3K/AKT/NF-kappaB signaling. These results provide evidence that CD133 contributes to multidrug resistance by regulating MDR1 levels via the PI3K-Akt-NF-kappaB signal pathway. PMID: 28137267
  35. CD133(+) CD44(+) CD54(+) cellular subpopulation of circulating tumor cells has a prognostic value in colorectal cancer patients with liver metastasis, especially in the survival of CRC patients with liver metastasis who did not undergo surgical treatment for metastasis. PMID: 29105339
  36. High CD133 expression is associated with radioresistance in liver cancer. PMID: 26993601
  37. CD133+ glioblastoma cells express molecular signatures of MSCs, neural stem cells and pluripotent stem cell PMID: 27244897
  38. These findings indicate a novel potential anti-tumor mechanism for tubacin in CD133-expressing malignancies. PMID: 28452069
  39. CD133 expression in colonic liver metastases is a negative prognostic factor for disease-free survival after liver resection. PMID: 29277789
  40. The study found a significant association between the SNP rs2240688A[C of CD133 and lung cancer risk. PMID: 27130457
  41. Results strongly indicate functional roles for CD133 in reactive oxygen species defense and in evading anticancer therapies in hepatocellular carcinoma. PMID: 28253902
  42. High CD133 expression is associated with clear cell renal cell carcinoma. PMID: 29050853
  43. This study described three cases in which variations in PROM1 gene may play a role in the pathogenesis of macular dystrophy or be associated with both autosomal recessive and autosomal dominant inheritance. PMID: 28095140
  44. CD133 polymorphisms are promising biomarkers for genetic susceptibility and prognosis prediction of gastric cancer. PMID: 28326835
  45. Low CD133 expression is associated with gastric cancer. PMID: 28218426
  46. Our results strongly suggest epigenetic regulation of CD133 expression by promoter methylation in gastrointestinal stromal tumors PMID: 28398518
  47. Taken together, these findings show that elevated levels of CD133 lead to Oral squamous cell carcinoma (OSCC)invasiveness and metastasis, associated with the upregulation of EMT and stemness markers. PMID: 27137188
  48. CD133 and CD44 in glioblastoma stem cells have roles in cell proliferation, phenotype stability and intra-tumor heterogeneity PMID: 28241049
  49. The combination of CD133 phenotyping and World Health Organization grading may assist in stratifying patients with well-differentiated pancreatic neuroendocrine tumors. PMID: 27864124
  50. CD133 facilitates cancer stem cell-like properties by stabilizing EGFR-AKT signaling in HCC. PMID: 28034805

Show More

Hide All

Involvement in disease
Retinitis pigmentosa 41 (RP41); Cone-rod dystrophy 12 (CORD12); Stargardt disease 4 (STGD4); Retinal macular dystrophy 2 (MCDR2)
Subcellular Location
Apical cell membrane; Multi-pass membrane protein. Cell projection, microvillus membrane; Multi-pass membrane protein. Cell projection, cilium, photoreceptor outer segment. Endoplasmic reticulum. Endoplasmic reticulum-Golgi intermediate compartment. Note=Found in extracellular membrane particles in various body fluids such as cerebrospinal fluid, saliva, seminal fluid and urine.
Protein Families
Prominin family
Tissue Specificity
Isoform 1 is selectively expressed on CD34 hematopoietic stem and progenitor cells in adult and fetal bone marrow, fetal liver, cord blood and adult peripheral blood. Isoform 1 is not detected on other blood cells. Isoform 1 is also expressed in a number
Database Links

HGNC: 9454

OMIM: 603786

KEGG: hsa:8842

STRING: 9606.ENSP00000415481

UniGene: Hs.614734

icon of phone
Call us
301-363-4651 (Available 9 a.m. to 5 p.m. CST from Monday to Friday)
icon of address
Address
7505 Fannin St., Ste 610, Room 7 (CUBIO Innovation Center), Houston, TX 77054, USA
icon of social media
Join us with

Subscribe newsletter

Leave a message

* To protect against spam, please pass the CAPTCHA test below.
CAPTCHA verification
© 2007-2025 CUSABIO TECHNOLOGY LLC All rights reserved. 鄂ICP备15011166号-1
×
Place an order now

I. Product details

*
*
*
*

II. Contact details

*
*

III. Ship To

*
*
*
*
*
*
*

IV. Bill To

*
*
*
*
*
*
*
*