TRAF6 Recombinant Monoclonal Antibody

Code CSB-RA037392A0HU
Size US$210
Order now
Image
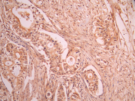
  • IHC image of CSB-RA037392A0HU diluted at 1:100 and staining in paraffin-embedded human pancreatic cancer performed on a Leica BondTM system. After dewaxing and hydration, antigen retrieval was mediated by high pressure in a citrate buffer (pH 6.0). Section was blocked with 10% normal goat serum 30min at RT. Then primary antibody (1% BSA) was incubated at 4°C overnight. The primary is detected by a Goat anti-rabbit polymer IgG labeled by HRP and visualized using 0.05% DAB.
  • Immunofluorescence staining of Hela cell with CSB-RA037392A0HU at 1:50 , counter-stained with DAPI. The cells were fixed in 4% formaldehyde, permeabilized using 0.2% Triton X-100 and blocked in 10% normal Goat Serum. The cells were then incubated with the antibody overnight at 4°C. The secondary antibody was Alexa Fluor 488-congugated AffiniPure Goat Anti-Rabbit IgG(H+L).
  • Overlay Peak curve showing SH-SY5Y cells stained with CSB-RA037392A0HU (red line) at 1:100. The cells were fixed in 4% formaldehyde and permeated by 0.2% TritonX-100 for 10min. Then 10% normal goat serum to block non-specific protein-protein interactions followed by the antibody (1ug/1*106cells) for 45min at 4℃. The secondary antibody used was FITC-conjugated goat anti-rabbit IgG (H+L) at 1/200 dilution for 35min at 4℃.Control antibody (green line) was Rabbit IgG (1ug/1*106cells) used under the same conditions. Acquisition of >10, 000 events was performed.
Have Questions? Leave a Message or Start an on-line Chat

Product Details

Uniprot No.
Target Names
Alternative Names
E3 ubiquitin-protein ligase TRAF6 antibody; Interleukin 1 signal transducer antibody; Interleukin-1 signal transducer antibody; MGC 3310 antibody; MGC:3310 antibody; MGC3310 antibody; OTTHUMP00000232772 antibody; OTTHUMP00000232773 antibody; RING finger protein 85 antibody; RNF 85 antibody; RNF85 antibody; TNF receptor associated factor 6 antibody; TNF receptor-associated factor 6 antibody; TNF receptor-associated factor 6; E3 ubiquitin protein ligase antibody; TRAF 6 antibody; Traf6 antibody; TRAF6_HUMAN antibody
Species Reactivity
Human
Immunogen
A synthesized peptide from human TRAF6 protein
Immunogen Species
Homo sapiens (Human)
Conjugate
Non-conjugated
Clonality
Monoclonal
Isotype
Rabbit IgG
Clone No.
22D7
Purification Method
Affinity-chromatography
Concentration
It differs from different batches. Please contact us to confirm it.
Buffer
Rabbit IgG in 10mM phosphate buffered saline , pH 7.4, 150mM sodium chloride, 0.05% BSA, 0.02% sodium azide and 50% glycerol.
Form
Liquid
Tested Applications
ELISA, IHC, IF, FC
Recommended Dilution
Application Recommended Dilution
IHC 1:50-1:200
IF 1:50-1:200
FC 1:50-1:200
Troubleshooting and FAQs
Storage
Upon receipt, store at -20°C or -80°C. Avoid repeated freeze.
Lead Time
Basically, we can dispatch the products out in 1-3 working days after receiving your orders. Delivery time maybe differs from different purchasing way or location, please kindly consult your local distributors for specific delivery time.
Usage
For Research Use Only. Not for use in diagnostic or therapeutic procedures.

Customer Reviews and Q&A

 Customer Reviews

There are currently no reviews for this product.

Submit a Review here

Target Background

Function
E3 ubiquitin ligase that, together with UBE2N and UBE2V1, mediates the synthesis of 'Lys-63'-linked-polyubiquitin chains conjugated to proteins, such as IKBKG, IRAK1, AKT1 and AKT2. Also mediates ubiquitination of free/unanchored polyubiquitin chain that leads to MAP3K7 activation. Leads to the activation of NF-kappa-B and JUN. Seems to also play a role in dendritic cells (DCs) maturation and/or activation. Represses c-Myb-mediated transactivation, in B-lymphocytes. Adapter protein that seems to play a role in signal transduction initiated via TNF receptor, IL-1 receptor and IL-17 receptor. Regulates osteoclast differentiation by mediating the activation of adapter protein complex 1 (AP-1) and NF-kappa-B, in response to RANK-L stimulation. Together with MAP3K8, mediates CD40 signals that activate ERK in B-cells and macrophages, and thus may play a role in the regulation of immunoglobulin production.
Gene References into Functions
  1. The overexpression of miR-146a significantly increased the ErbB4 expression, decreased the expression of TRAF6, IRAK1, caspase 3, and the phosphorylation level of NF-kappaB, and also increased the Bcl-2/Bax ratio, suggesting the inhibition of inflammation and apoptosis. PMID: 30224945
  2. TRAF6 can promote the proliferation of stromal cells of benign prostatic hyperplasia via Akt/mTOR signaling. PMID: 29171041
  3. Study identified IRAK1 and TRAF6 are direct targets of miR-146a in cervical cancer cells. Their expression is downregulated by miR-146a to promote cell viability. PMID: 29693168
  4. Immune profiling of human prostate epithelial cells in health and pathology determined by expression of p38/TRAF-6/ERK MAP kinases pathways has been reported. PMID: 29475459
  5. Downregulation of miR-124 in human osteosarcoma tissues and cell lines may increase the expression of TRAF6 protein. miR-124 may inhibit cell cycle progression and invasion of osteosarcoma cells, and promote apoptosis by regulating TRAF6. PMID: 29436576
  6. Low TRAF6 expression is associated with posterior longitudinal ligament ossification. PMID: 29782494
  7. these results suggest that miR-146a-5p affects proliferation and apoptosis in a cellular context-dependent manner and selectively disarms the TRAF6-mediated branch of the TGF-beta signaling in oral squamous cell carcinoma cell lines by sparing Smad4 involvement PMID: 29048658
  8. MALT1 and TRAF6 cooperatively interact with CARMA1-BCL10 filaments and form CARMA1-BCL10-MALT1-TRAF6 signalosome. PMID: 29382759
  9. our data demonstrated that miR146b5p, as a tumor suppressor, mediated temozolomide resistance in GBM cells through negatively regulating TRAF6 expression, indicating that miR146b5p and its targeted genes would be potential therapeutic targets for glioma therapy. PMID: 29048680
  10. genetic association studies in Han population in southern China: Data suggest that, in subjects with type 2 diabetes, an SNP in NLRX1 (rs4245191) is associated with macro-vascular complications and cerebral infarction in the population studied; no such association was found for two other SNPs in NLRX1 (rs10790286, rs561830) or for two SNPs in TRAF6 (rs5030445, rs16928973). (NLRX1 = NLR family member-X1) PMID: 29046236
  11. protein-protein interaction studies on TRAF6 and BSG to get molecular level insights of the reactions. PMID: 28612997
  12. miR-146a suppresses the inflammatory response in human white adipocytes via targeting the expression of IRAK1 and TRAF6. PMID: 27922090
  13. miRNA146a expression was significantly higher in hepatitis C patients with a best cut off value 1.63 to discriminate between hepatitis C patients and healthy controls. Meanwhile, it was negatively correlated to IRAK1 and TRAF6 levels and positively correlated to viral load in hepatitis C patients. PMID: 28587864
  14. Suggest role for EBV-EBER1 in the induction of increased TRAF6 expression in the peripheral B cells of Sjogren's patients. PMID: 28470929
  15. theses results indicate that miR-146b-5p inhibits tumor growth and metastasis of hepatocellular carcinoma by targeting TRAF6 mediated Akt phosphorylation PMID: 28404923
  16. TRAF6 plays direct roles in the pro-inflammatory effects and proliferation of Rheumatoid arthritis (RA) fibroblast-like synoviocytes. TRAF6 may serve as a potential treatment target in RA. PMID: 28506571
  17. MiR-146a declined, while TRAF6 increased in lupus nephritis patients compared with healthy controls. PMID: 28549054
  18. Epigallocatechin-3-gallate is a novel E3 ubiquitin ligase inhibitor that could be used to target TRAF6 activity in melanoma cells, inhibiting cell proliferation/migration. PMID: 27791197
  19. Results identified TRAF6 as a direct target of miR-429, and its downregulation partially attenuates the effect of miR-429 in promoting hepatocellular carcinoma cell proliferation and motility. PMID: 28440423
  20. Compared with normal chondrocytes, the expression of miR-146a decreased, while the mRNA and protein expressions of TRAF6 and NF-kappaB increased in osteoarthritis chondrocytes. PMID: 28314786
  21. We report two siblings with SCID and an atypical phenotype of osteopetrosis (OP). A biallelic microdeletion encompassing the 5' region of TRAF6, RAG1 and RAG2 genes was identified. TRAF6, a tumor necrosis factor receptor-associated family member, plays an important role in T cell signaling and in RANKL-dependent osteoclast differentiation and activation but its role in human OP has not been previously reported PMID: 27808398
  22. Taken together, these results define a novel role for miR-146a as a negative regulator of dengue virus-induced autophagy and identify TRAF6 as a key target of this microRNA in modulating the dengue virus-autophagy interaction. PMID: 28825144
  23. These data define that YOD1 antagonizes TRAF6/p62-dependent IL-1 signaling to NF-kappaB. PMID: 28244869
  24. high expression of TRAF6 is significant for esophageal cancer progression, and TRAF6 indicates poor prognosis in esophageal cancer patients. PMID: 27697099
  25. the polymorphisms in TLR-MyD88-NF-kappaB signaling pathway confer genetic susceptibility to Type 2 diabetes mellitus and diabetic nephropathy. PMID: 27062898
  26. The E3 ligase TRAF6 binds to DCP1a and indirectly regulates DCP1a phosphorylation, expression of decapping factors, and gene-specific mRNA decay. PMID: 27315556
  27. Study showed that patients without a history of atrial fibrillation who develop postoperative atrial fibrillation have a higher percentage of left atrial fibrosis, increased expression of TRAF6, higher serum Ang II levels, and changes in the activities of the MAPKs/TGF-beta1/TRAF6 pathway. PMID: 28323847
  28. Low TRAF6 expression is associated with graft-versus-host disease. PMID: 27485827
  29. Consistent with cellular studies, icaritin downregulated TRAF6 and NFATc1 protein expression in CD11b(+) /Gr-1(-/low) osteoclast precursors PMID: 27813153
  30. Results suggest that overexpression of miR-146a could promote IDD through the TRAF/NF-kappaB pathway. PMID: 28161709
  31. TRAF6 and H2AX overexpression and gammaH2AX-mediated HIF1alpha enrichment in the nucleus of cancer cells lead to overactivation of HIF1alpha-driven tumorigenesis, glycolysis and metastasis. PMID: 27918549
  32. These findings show that SopB suppresses host cell apoptosis by binding to TRAF6 and preventing mitochondrial reactive oxygen species generation. PMID: 27473656
  33. HCV infection suppressed the host innate immune response through the induction of autophagic degradation of TRAF6. This finding provided important information for further understanding how HCV evades host immunity to establish persistence PMID: 27681126
  34. Vav3 is a novel TRAF6 interaction partner that functions in the activation of cooperative signaling between T6BSs and the IVVY motif in the RANK signaling complex. PMID: 27507811
  35. TRAF6 expression was decreased in tympanic membrane of otitis media patients. PMID: 27497395
  36. Peripheral blood levels of S100A8 and TRAF6 in SAE patients were elevated and might be related to the severity of SAE and predict the outcome of SAE. PMID: 27411454
  37. Low TRAF6 expression is associated with Graves' disease. PMID: 28219358
  38. MiR-146a regulates inflammatory macrophage infiltration in Polymyositis/Dermatomyositis by targeting TRAF6 and affecting the IL-17/ICAM-1 pathway. PMID: 27889748
  39. Study demonstrates that TRAF6 is upregulated in human lung cancer cells, and siRNA-induced TRAF6 knockdown inhibits the invasion of lung cancer cells and promotes apoptosis. PMID: 26847475
  40. High TRAF6 expression is associated with melanoma invasion and metastasis. PMID: 26769849
  41. The expression of TRAF6 was positively correlated with an advanced N stage and acted as a predictor of a poor prognosis in patients with gastric cancer PMID: 26627263
  42. DAT stabilized IkBa by inhibiting the phosphorylation of Ika by the IkB kinase (IKK) complex. DAT induced proteasomal degradation of TRAF6, and DAT suppressed IKKb-phosphorylation through downregulation of TRAF6 PMID: 26647777
  43. TRAF6 may be involved in cell migration, invasion, and apoptosis of SPC-A-1 cells, possibly through regulating the NF-B-CD24/CXCR4 pathway.. PMID: 26582220
  44. In 816 matched pairs of Han Chinese with and without ischemic stroke, TRAF6 rs5030416 was associated with increased susceptibility in various genetic models. No association was found for rs5030411, although it was associated with total cholesterol. PMID: 25999280
  45. Identify miR-146b-5p as a tumor suppressor and novel prognostic biomarker of gliomas, and suggest miR-146b-5p and TRAF6 as potential therapeutic candidates for malignant gliomas. PMID: 26320176
  46. miR146a has an important promoting effect on the apoptosis of granulosa cells by targeting IRAK1 and TRAF6 via the caspase cascade pathway PMID: 26151128
  47. Findings show that TRAF6 is involved in regulating HUVECs proliferation after intermittent hypoxia by modulating cell signaling downstream of AT1R which can be helpful in treating cardiovascular disorders for instance. PMID: 26223916
  48. These findings suggest that TRAF6 is required for BLyS-mediated NF-kappaB signaling in myeloma cells PMID: 26334396
  49. TIFAB loss increases TRAF6 protein and the dynamic range of TLR4 signaling PMID: 26458771
  50. Transmembrane motif T6BM2-mediated TRAF6 binding is required for MAVS-related antiviral response. PMID: 26385923

Show More

Hide All

Subcellular Location
Cytoplasm. Cytoplasm, cell cortex. Nucleus. Lipid droplet.
Protein Families
TNF receptor-associated factor family, A subfamily
Tissue Specificity
Expressed in heart, brain, placenta, lung, liver, skeletal muscle, kidney and pancreas.
Database Links

HGNC: 12036

OMIM: 602355

KEGG: hsa:7189

STRING: 9606.ENSP00000337853

UniGene: Hs.444172

CUSABIO guaranteed quality
icon of phone
Call us
301-363-4651 (Available 9 a.m. to 5 p.m. CST from Monday to Friday)
icon of address
Address
7505 Fannin St., Ste 610, Room 7 (CUBIO Innovation Center), Houston, TX 77054, USA
icon of social media
Join us with

Subscribe newsletter

Leave a message

* To protect against spam, please pass the CAPTCHA test below.
CAPTCHA verification
© 2007-2025 CUSABIO TECHNOLOGY LLC All rights reserved. 鄂ICP备15011166号-1
×
Place an order now

I. Product details

*
*
*
*

II. Contact details

*
*

III. Ship To

*
*
*
*
*
*
*

IV. Bill To

*
*
*
*
*
*
*
*