FGFR1, Fibroblast Growth Factor Receptor 1, is a membrane-bound protein encoded by the FGFR1 gene.FGFR1 is widely found in a variety of tissues and is a high-affinity receptor for the fibroblast growth factor (FGF) family. Its mechanism of action is that upon binding of FGF to it, FGFR1 dimerises or oligomerises, activating its intrinsic tyrosine kinase activity, which in turn triggers downstream signaling pathways, such as RAS/MAPK and PI3K/AKT. These signalling pathways are involved in the regulation of cell proliferation, differentiation, migration and survival.The biological significance of FGFR1 lies in its important role in embryonic development, tissue repair, angiogenesis and tumourigenesis, etc. Abnormal activation of FGFR1 is closely related to the development of many types of cancers, and therefore FGFR1 is also a potential target for tumour therapy.
Recombinant Human Fibroblast growth factor receptor 1 (FGFR1), partial (CSB-YP008642HU)
Validated Data
(Tris-Glycine gel) Discontinuous SDS-PAGE (reduced) with 5% enrichment gel and 15% separation gel.
FGFR1 Recombinant Monoclonal Antibody (CSB-RA008642MA1HU)
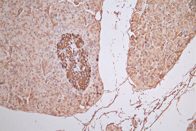
Validated Data
IHC image of CSB-RA008642MA1HU diluted at 1:100 and staining in paraffin-embedded human pancreatic tissue performed on a Leica BondTM system. After dewaxing and hydration, antigen retrieval was mediated by high pressure in a citrate buffer (pH 6.0). Section was blocked with 10% normal goat serum 30min at RT. Then primary antibody (1% BSA) was incubated at 4°C overnight. The primary is detected by a Goat anti-Rabbit IgG labeled by HRP and visualized using 0.05% DAB.
Immunofluorescence staining of Hela cell with CSB-RA008642MA1HU at 1:20, counter-stained with DAPI. The cells were fixed in 4% formaldehyde and blocked in 10% normal Goat Serum. The cells were then incubated with the antibody overnight at 4C. The secondary antibody was FITC-conjugated AffiniPure Goat Anti-Rabbit IgG(H+L).
Overlay Peak curve showing MCF7 cells stained with CSB-RA008642MA1HU (red line) at 1:100. The cells were fixed in 4% formaldehyde (15min) and permeated by 0.2% TritonX-100 for 10min. Then 10% normal goat serum to block non-specific protein-protein interactions followed by the antibody (1ug/1*106cells) for 45min at 4℃. The secondary antibody used was FITC-conjugated Goat Anti-Rabbit IgG(H+L) at 1/200 dilution for 35 min at 4°C. Isotype control antibody (green line) was rabbit IgG1 (1µg/1*106cells) used under the same conditions. Acquisition of >10,026 events was performed.
The following FGFR1 reagents supplied by CUSABIO are manufactured under a strict quality control system. Multiple applications have been validated and solid technical support is offered.
FGFR1 Antibodies for Homo sapiens (Human)
| Code | Product Name | Species Reactivity | Application |
|---|---|---|---|
| CSB-PA178976 | FGFR1 (Ab-721) Antibody | Human,Mouse,Rat | ELISA,WB |
| CSB-PA097377 | Phospho-FGFR1 (Tyr654) Antibody | Human,Mouse,Rat | ELISA,WB |
| CSB-PA138978 | Phospho-FGFR1 (Tyr766) Antibody | Human,Mouse,Rat | ELISA,WB |
| CSB-PA443701 | Phospho-FGFR1/FGFR2 (Tyr463/466) Antibody | Human,Mouse | ELISA,WB |
| CSB-PA273913 | FGFR1 (Ab-766) Antibody | Human,Mouse,Rat | ELISA,WB,IHC |
| CSB-PA160014 | FGFR1/FGFR2 (Ab-463) Antibody | Human,Mouse,Rat | ELISA,WB |
| CSB-PA000662 | Phospho-FGFR1 (Y154) Antibody | Human,Mouse,Rat | WB, IF, ELISA |
| CSB-PA002537 | FGFR1 Antibody | Human,Mouse,Rat | WB, IF, ELISA |
| CSB-PA002538 | FGFR1 Antibody | Human,Mouse,Rat | WB, IHC, ELISA |
| CSB-PA008243 | Phospho-FGFR1 (Y654) Antibody | Human,Mouse,Rat | WB, IF, ELISA |
| CSB-PA008244 | Phospho-FGFR1 (Y766) Antibody | Human,Mouse,Rat | WB, IHC, ELISA |
| CSB-PA008245 | FGFR1 Antibody | Human,Mouse,Rat | WB, IF, ELISA |
| CSB-PA086441 | FGFR1 Antibody | Human,Mouse,Rat | ELISA,IHC |
| CSB-PA008642LA01HU | FGFR1 Antibody | Human | ELISA, WB, IF |
| CSB-PA008642LB01HU | FGFR1 Antibody, HRP conjugated | Human | ELISA |
| CSB-PA008642LC01HU | FGFR1 Antibody, FITC conjugated | Human | |
| CSB-PA008642LD01HU | FGFR1 Antibody, Biotin conjugated | Human | ELISA |
| CSB-RA008642MA1HU | FGFR1 Recombinant Monoclonal Antibody | Human | ELISA, IHC, IF, FC |
FGFR1 Proteins for Rattus norvegicus (Rat)
| Code | Product Name | Source |
|---|---|---|
| CSB-YP008642RA CSB-EP008642RA CSB-BP008642RA CSB-MP008642RA CSB-EP008642RA-B |
Recombinant Rat Fibroblast growth factor receptor 1 (Fgfr1), partial | Yeast E.coli Baculovirus Mammalian cell In Vivo Biotinylation in E.coli |
FGFR1 Proteins for Homo sapiens (Human)
| Code | Product Name | Source |
|---|---|---|
| CSB-EP008642HU CSB-BP008642HU CSB-MP008642HU CSB-EP008642HU-B |
Recombinant Human Fibroblast growth factor receptor 1 (FGFR1), partial | E.coli Baculovirus Mammalian cell In Vivo Biotinylation in E.coli |
| CSB-EP008642HUa0 | Recombinant Human Fibroblast growth factor receptor 1 (FGFR1), partial | E.coli |
| CSB-YP008642HUa4 | Recombinant Human Fibroblast growth factor receptor 1 (FGFR1), partial | Yeast |
| CSB-EP008642HU1 | Recombinant Human Fibroblast growth factor receptor 1 (FGFR1), partial | E.coli |
| CSB-YP008642HU | Recombinant Human Fibroblast growth factor receptor 1 (FGFR1), partial | Yeast |
| CSB-MP008642HUc7 | Recombinant Human Fibroblast growth factor receptor 1 (FGFR1), partial | Mammalian cell |
FGFR1 Proteins for Mus musculus (Mouse)
| Code | Product Name | Source |
|---|---|---|
| CSB-YP008642MO CSB-EP008642MO CSB-BP008642MO CSB-MP008642MO CSB-EP008642MO-B |
Recombinant Mouse Fibroblast growth factor receptor 1 (Fgfr1), partial | Yeast E.coli Baculovirus Mammalian cell In Vivo Biotinylation in E.coli |
FGFR1 Proteins for Pleurodeles waltl (Iberian ribbed newt)
| Code | Product Name | Source |
|---|---|---|
| CSB-YP008642EWZ CSB-EP008642EWZ CSB-BP008642EWZ CSB-MP008642EWZ CSB-EP008642EWZ-B |
Recombinant Pleurodeles waltl Fibroblast growth factor receptor 1 (FGFR1), partial | Yeast E.coli Baculovirus Mammalian cell In Vivo Biotinylation in E.coli |
FGFR1 Proteins for Dugesia japonica (Planarian)
| Code | Product Name | Source |
|---|---|---|
| CSB-YP008642DMU CSB-EP008642DMU CSB-BP008642DMU CSB-MP008642DMU CSB-EP008642DMU-B |
Recombinant Dugesia japonica Fibroblast growth factor receptor 1 (FGFR1), partial | Yeast E.coli Baculovirus Mammalian cell In Vivo Biotinylation in E.coli |
FGFR1 Proteins for Xenopus laevis (African clawed frog)
| Code | Product Name | Source |
|---|---|---|
| CSB-CF008642XBE | Recombinant Xenopus laevis Fibroblast growth factor receptor 1 (fgfr1) | in vitro E.coli expression system |
| CSB-YP008642XBE1 CSB-EP008642XBE1 CSB-BP008642XBE1 CSB-MP008642XBE1 CSB-EP008642XBE1-B |
Recombinant Xenopus laevis Fibroblast growth factor receptor 1 (fgfr1), partial | Yeast E.coli Baculovirus Mammalian cell In Vivo Biotinylation in E.coli |
FGFR1 Proteins for Gallus gallus (Chicken)
| Code | Product Name | Source |
|---|---|---|
| CSB-CF008642CH | Recombinant Chicken Fibroblast growth factor receptor 1 (FGFR1) | in vitro E.coli expression system |
| CSB-YP008642CH1 CSB-EP008642CH1 CSB-BP008642CH1 CSB-MP008642CH1 CSB-EP008642CH1-B |
Recombinant Chicken Fibroblast growth factor receptor 1 (FGFR1), partial | Yeast E.coli Baculovirus Mammalian cell In Vivo Biotinylation in E.coli |