CXCL3 Recombinant Monoclonal Antibody

Code CSB-RA006249MA1HU
Size US$210
Order now
Image
  • The Binding Activity of Human CXCL3 with Anti-CXCL3 Recombinant Antibody


    Activity: Measured by its binding ability in a functional ELISA. Immobilized Human CXCL3 (CSB-MP006249HU) at 2 μg/mL can bind Anti-CXCL3 recombinant antibody. The EC50 is 9.702-11.20 ng/mL.
  • The Binding Activity of Human CXCL1 with Anti-CXCL3 recombinant antibody
    Activity: Measured by its binding ability in a functional ELISA.Immobilized Human CXCL1(CSB-MP006239HU) at 2 μg/mL can bind anti-CXCL3 recombinant antibody.The EC50 is 4.181-4.921 ng/mL.
  • The Binding Activity of Human CXCL1 with Anti-CXCL3 recombinant antibody
    Activity: CXCL3 Recombinant Monoclonal Antibody captured on Protein A Chip can bind Human CXCL1(CSB-MP006239HU) with an affinity constant of 0.143 nM as detected by MetaSPR Assay (WeSPRTM 200).
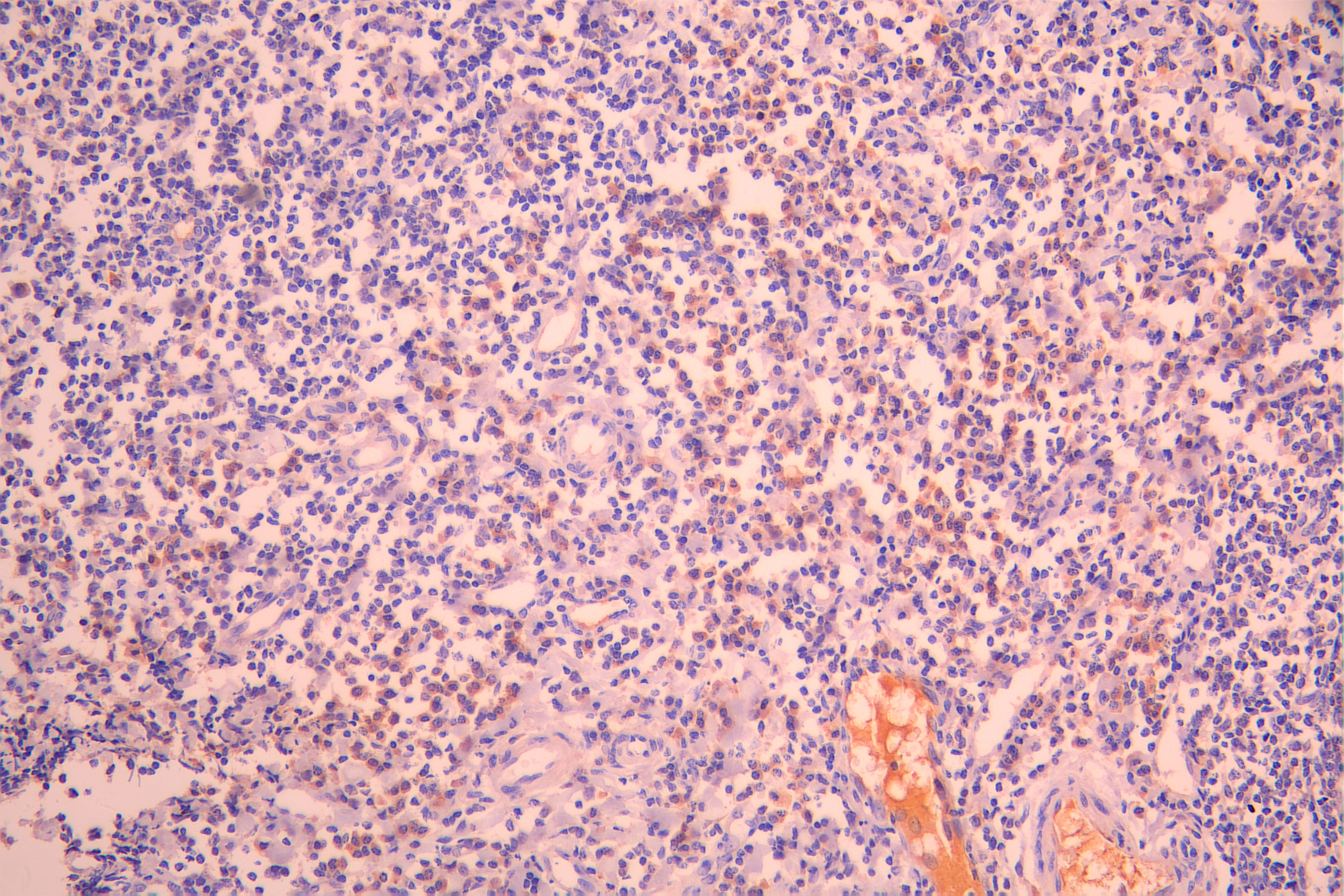
  • IHC image of CSB-RA006249MA1HU diluted at 1:50 and staining in paraffin-embedded human tonsil tissue performed on a Leica BondTM system. After dewaxing and hydration, antigen retrieval was mediated by high pressure in a citrate buffer (pH 6.0). Section was blocked with 10% normal goat serum 30min at RT. Then primary antibody (1% BSA) was incubated at 4°C overnight. The primary is detected by a Anti-Human lgG, Fcy Fragment Specific labeled by HRP and visualized using 0.05% DAB.
Have Questions? Leave a Message or Start an on-line Chat

Product Details

Uniprot No.
Target Names
Alternative Names
C-X-C motif chemokine 3 (GRO-gamma(1-73)) (Growth-regulated protein gamma) (GRO-gamma) (Macrophage inflammatory protein 2-beta) (MIP2-beta) [Cleaved into: GRO-gamma(5-73)], CXCL3, GRO3 GROG SCYB3
Species Reactivity
Human
Immunogen
Recombinant Human CXCL3 protein
Immunogen Species
Homo sapiens (Human)
Conjugate
Non-conjugated
Clonality
Monoclonal
Isotype
hIgG1
Clone No.
2G10
Purification Method
Affinity-chromatography
Concentration
It differs from different batches. Please contact us to confirm it.
Buffer
Preservative: 0.03% Proclin 300
Constituents: 50% Glycerol, 0.01M PBS, PH 7.4
Form
Liquid
Tested Applications
ELISA, IHC, SPR
Recommended Dilution
Application Recommended Dilution
IHC 1:20-1:200
Troubleshooting and FAQs
Storage
Upon receipt, store at -20°C or -80°C. Avoid repeated freeze.
Lead Time
Basically, we can dispatch the products out in 1-3 working days after receiving your orders. Delivery time maybe differs from different purchasing way or location, please kindly consult your local distributors for specific delivery time.
Usage
For Research Use Only. Not for use in diagnostic or therapeutic procedures.

Customer Reviews and Q&A

 Customer Reviews

There are currently no reviews for this product.

Submit a Review here

Target Background

Function
Ligand for CXCR2. Has chemotactic activity for neutrophils. May play a role in inflammation and exert its effects on endothelial cells in an autocrine fashion. In vitro, the processed form GRO-gamma(5-73) shows a fivefold higher chemotactic activity for neutrophilic granulocytes.
Gene References into Functions
  1. CXCL3 exerts its carcinogenic potential by directly and/or indirectly regulating the downstream signaling pathways and the expression of transcription factors in PCa. PMID: 29524043
  2. Exogenous CXCL3 induced Erk1/2 and ETS1 phosphorylation and promoted CD133 expression. PMID: 27255419
  3. Our findings suggest that CXCL3 and its receptor CXCR2 are overexpressed in prostate cancer cells, prostate epithelial cells and prostate cancer tissues, which may play multiple roles in prostate cancer progression and metastasis. PMID: 26837773
  4. results support a functional role of CXCL3 in breast cancer metastasis and as a viable target for cancer therapy PMID: 24605943
  5. CXCL3 displays antimicrobial activity against E. coli and S. aureus. PMID: 12949249
  6. secreted growth-regulated oncogene chemokines, specifically GRO-gamma, in human Mesenchymal stromal cell-conditioned media have an effect on the differentiation and the function of human monocyte-derived dendritic cells. PMID: 23589610
  7. Data show that mesenchymal stem cells (MSCs) directly regulate T cell proliferation by induction of CXCL3 chemokine and its receptor, CXCR2 on the surface in T cells. PMID: 23023221
  8. demonstrates, for the first time, that BIRC3 (anti-apoptotic protein), COL3A1 (matrix protein synthesis), and CXCL3 (chemokine) were up-regulated in the thrombin-stimulated human umbilical vein endothelial cells PMID: 16356540
  9. GRO-gamma is a promising candidate for Th2-associated glomerular permeability factor in minimal change disease. PMID: 17389786
  10. Inhibition of ERK phosphorylation decreased expression of GRO3. PMID: 17466952
  11. Report gonadotropin-releasing hormone-regulated CXCL3 expression in human placentation. PMID: 19369450
  12. propose that chemokines belonging to the CXC family could play an important role in the etiology of tendon xanthoma (TX), with CXCL3 being a possible biological marker of onset and development of TX PMID: 19448742
  13. overexpression of CXCL13 in the intestine during inflammatory conditions favors mobilization of B cells and of LTi and NK cells with immunomodulatory and reparative functions. PMID: 19741597

Show More

Hide All

Subcellular Location
Secreted.
Protein Families
Intercrine alpha (chemokine CxC) family
Database Links

HGNC: 4604

OMIM: 139111

KEGG: hsa:2921

STRING: 9606.ENSP00000296026

UniGene: Hs.89690

icon of phone
Call us
301-363-4651 (Available 9 a.m. to 5 p.m. CST from Monday to Friday)
icon of address
Address
7505 Fannin St., Ste 610, Room 7 (CUBIO Innovation Center), Houston, TX 77054, USA
icon of social media
Join us with

Subscribe newsletter

Leave a message

* To protect against spam, please pass the CAPTCHA test below.
CAPTCHA verification
© 2007-2026 CUSABIO TECHNOLOGY LLC All rights reserved. 鄂ICP备15011166号-1
Place an order now

I. Product details

*
*
*
*

II. Contact details

*
*

III. Ship To

*
*
*
*
*
*
*

IV. Bill To

*
*
*
*
*
*
*
*