STAT5A Recombinant Monoclonal Antibody

Code CSB-RA131570A0HU
Size US$210
Order now
Image
  • Flow cytometric analysis of STAT5A expression in C2C12 cells using STAT5A antibody. Green, isotype control; red, STAT5A.
  • Immunocytochemical staining of C2C12 cells with STAT5A antibody. Nuclei were stained blue with DAPI; STAT5A was stained magenta with Alexa Fluor® 647. Images were taken using Leica stellaris 5. Protein abundance based on laser Intensity and Smart Gain: Medium. Scale bar, 20 μm.
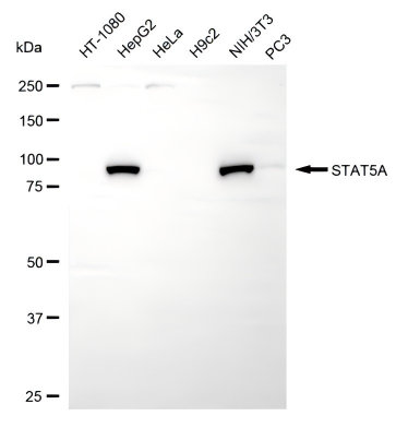
  • Western blotting analysis using STAT5A antibody. Total cell lysates (30 μg) from various cell lines were loaded and separated by SDS-PAGE. The blot was incubated with STAT5A antibody and HRP-conjugated goat anti-rabbit secondary antibody respectively.
Have Questions? Leave a Message or Start an on-line Chat

Product Details

Uniprot No.
Target Names
Alternative Names
STAT5A; Signal Transducer And Activator Of Transcription 5A; STAT5; MGF; Epididymis Secretory Sperm Binding Protein
Species Reactivity
Human, Mouse
Immunogen
Recombinant Human STAT5A protein
Immunogen Species
Homo sapiens (Human)
Conjugate
Non-conjugated
Clonality
Monoclonal
Isotype
Rabbit IgG
Clone No.
15E6
Purification Method
Affinity-chromatography
Concentration
It differs from different batches. Please contact us to confirm it.
Buffer
Rabbit IgG in PBS (pH 7.4) containing 50% glycerol, and 0.02% sodium azide.
Form
Liquid
Tested Applications
ELISA, WB, FC, ICC
Recommended Dilution
Application Recommended Dilution
WB 1:1000-1:5000
FC 1:200-1:2000
ICC 1:100-1:1000
Troubleshooting and FAQs
Storage
Upon receipt, store at -20°C or -80°C. Avoid repeated freeze.
Lead Time
Basically, we can dispatch the products out in 1-3 working days after receiving your orders. Delivery time maybe differs from different purchasing way or location, please kindly consult your local distributors for specific delivery time.
Usage
For Research Use Only. Not for use in diagnostic or therapeutic procedures.

Customer Reviews and Q&A

 Customer Reviews

There are currently no reviews for this product.

Submit a Review here

Target Background

Function
Carries out a dual signal transduction and activation of transcription. Mediates cellular responses to the cytokine KITLG/SCF and other growth factors. Mediates cellular responses to ERBB4. May mediate cellular responses to activated FGFR1, FGFR2, FGFR3 and FGFR4. Binds to the GAS element and activates PRL-induced transcription. Regulates the expression of milk proteins during lactation.
Gene References into Functions
  1. HSP27 is a partner of JAK2-STAT5 and a potential therapeutic target in myelofibrosis. PMID: 29650953
  2. the two cell lines exhibited relatively low protein expression levels of p53, lower levels of p53 and TPp53BP1 transcripts were detected in the K562/G cells. Taken together, these findings suggest that the resistance of CML to the tyrosine kinase inhibitor, imatinib, may be associated with persistent STAT5-mediated ROS production, and the abnormality of the p53 pathway PMID: 29115375
  3. Peripheral blood Tregs failed to effectively utilize IL-2 and had relatively little STAT5 phosphorylation in active ankylosing spondylitis. PMID: 27901054
  4. These results indicate that IL-3 regulates endothelial cells-extracellular vesicles release, cargo and IL-3 angiogenic paracrine action via STAT5. PMID: 27157262
  5. Similar to normal developmental programs, oncogenic functions of STAT5 rely on molecular crosstalk with PI3K/AKT signaling for the initiation, and in some instances the progression, of breast cancer. (Review) PMID: 28495456
  6. we demonstrated that Imatinib mesylate (IM)impaired T cell survival through the inhibition of IL-7 and STAT5-p but not TCR signaling which remained unaffected during IM therapy. Thus, off-target inhibitory effects of IM on IL-7 and STAT5-p explain how T cell lymphopenia occurs in patients treated with IM. PMID: 28387753
  7. Our results suggest the regulation of STAT5A via epigenetic mechanisms during normal pregnancy and the association of STAT5A epigenetic dysregulation in pregnancy related complications PMID: 27452437
  8. Two p53 binding sites were mapped in the STAT5A gene and named PBS1 and PBS2; these sites were sufficient to confer p53 responsiveness in a luciferase reporter gene. PMID: 26876578
  9. STAT3/miR-211/STAT5A signaling plays a key role in mesenchymal stem cell migration. PMID: 27145179
  10. Stat5 activation increased the DNA binding activity of NF-kappaB though binding of p-Stat5 and p-RelA in nucleus. PMID: 27027438
  11. This is the first report of a survival disadvantage of EBV+ patients with CLL, and the first time that STAT5b expression is correlated with survival. The correlation of STAT5 expression with the presence of the virus, along with our survival correlations defines a subgroup of patients with CLL that may benefit from anti-STAT agents. PMID: 27367207
  12. STAT5 signaling axis drives abnormal cell proliferation in autosomal dominant polycystic kidney disease. PMID: 28104302
  13. O-GlcNAcylation and tyrosine phosphorylation act together to trigger pYSTAT5 levels and oncogenic transcription in neoplastic cells. A mutated hyperactive gain-of-function (GOF) STAT5 without O-GlcNAcylation resulted in decreased tyrosine phosphorylation, oligomerization and transactivation potential and complete loss of oncogenic transformation capacity. PMID: 28074064
  14. STAT5 interacted with minichromosome maintenance (MCM) complex, suggesting that STAT5 directly facilitates viral DNA replication by recruiting the helicase complex of the cellular DNA replication machinery to viral DNA replication centers. PMID: 28459842
  15. High STAT5 phosphorylation is associated with systemic lupus erythematosus. PMID: 28254841
  16. NPM1 downregulation by P-STAT5 is mediated by impairing the BRCA1-BARD1 ubiquitin ligase, which controls the stability of NPM1. In turn, decreased NPM1 levels led to suppression of p53 expression, resulting in enhanced cell survival. PMID: 28005077
  17. High STAT5A expression is associated with B-lymphoblastic lymphoma with inflammation. PMID: 27018255
  18. Results provide evidence that HDAC6 could regulate HMGN2 acetylation levels and binding to Stat5a-responsive promoters, and therefore, Stat5a transcriptional activity in breast cancer cells. PMID: 27358110
  19. Sustained STAT5 transcription factor (STAT5) phosphorylation is necessary to induce long-term interleukin 2 receptor subunit alpha (CD25) expression in T lymphocytes. PMID: 27936140
  20. BCR/ABL positively regulates the expression of EZH2 via STAT5 signaling. PMID: 27070757
  21. these results demonstrate that the oncogenic signal transducer and activator of transcription 5/Akt pathway is a cellular target for indole-3-carbinol in chronic myeloid leukemia cells. Thus, this clinically tested natural compound can be a potential candidate in the treatment of chronic myeloid leukemia following confirmation with clinical studies PMID: 28631564
  22. elucidate a novel mechanism whereby the linker histone H1 prevents STAT5 binding at promoter DNA, and the PRL-induced dissociation of H1 mediated by HMGN2 is necessary to allow full STAT5 recruitment and promote the biological effects of PRL signaling PMID: 28035005
  23. These results reveal a novel role of IL-7 and IL-15 in maintaining human T cell function, provide an explanation for T cell dysfunction in humanized mice, and have significant implications for in vitro studies with human T cells. PMID: 27855183
  24. STAT5 activation in the dermal papilla is important for hair follicle growth inductaion. PMID: 27131881
  25. Data show that signal transducer and activator of transcription 5 STAT5A and STAT5B have distinctive and potentially important roles in regulation of hepatic drug response genes as well as in contributing to gender-related differences in expression of hepatic cytochrome P450s (CYPs) and transcription factors (TFs). PMID: 27264955
  26. findings establish a central role for STAT5 activation in the pathogenesis of juvenile myelomonocytic leukemia PMID: 27418650
  27. Although inappropriate promoter methylation was not invariantly associated with reduced transcript expression, a significant association was apparent for the ARHGEF4, PON3, STAT5a, and VAX2 gene transcripts (P<0.05). Herein, we present the first genome-wide DNA methylation analysis in a unique HG-NMIBC cohort, showing extensive and discrete methylation changes relative to normal bladder and low-intermediate-grade tumor PMID: 26929985
  28. pSTAT5 signaling is implicated in the disease activity of adult and juvenile onset systemic lupus erythematosus PMID: 27041383
  29. Data show that fyn proto-oncogene protein (FYN) expression is deregulated in acute myeloid leukemia and that higher expression of FYN, in combination with FLT3 protein-ITD mutation, resulted in enrichment of the STAT5 transcription factor signaling. PMID: 26848862
  30. review describes the role of role of STAT5 in immunity and cancer PMID: 26716518
  31. We concluded that rs2293157 is an important marker for the therapeutic efficiency of Ara-C-based chemotherapy in patients with AML, especially in the Chinese population. PMID: 26384082
  32. Decreased expression of STAT5 was associated with metastases in Colon Carcinoma. PMID: 25773877
  33. PTP1B directly regulates STAT5 phosphorylation and its activation via the cAMP/PKA pathway downstream of the 5-HT7 receptor is involved in the suppression of beta-casein expression in MCF-12A cells PMID: 27016479
  34. Foxp3 has a rapid turn over in Treg partly controlled at the transcriptional level by the JAK/STAT pathway PMID: 27077371
  35. prolactin activation of Stat5 results in the formation of a complex between phospho-Stat5 and BRCA1. Formation of this complex does not interfere with nuclear translocation or binding of BRCA1 to the p21 promoter PMID: 26970274
  36. The innate immune regulator STAT-5 is shown to regulate transcription of the ATR binding factor TopBP1, and this is critical for the induction of the ATR pathway in human papillomavirus-infected keratinocytes. PMID: 26695634
  37. The two STAT5 isoforms, STAT5a and STAT5b. PMID: 26717567
  38. that STAT-5, RUNX-2, and FGFR-2 may have a role in the progression of the mucinous phenotype, in which nuclear STAT-5 may inhibit RUNX-2 prometastatic effect PMID: 26551078
  39. Our study suggests that pyrvinium is a useful addition to T-cell lymphoma treatment, and emphasizes the potential therapeutic value of the differences in the mitochondrial characteristics between malignant and normal T-cells in blood cancer. PMID: 26707639
  40. support the concept that Jak2-Stat5a/b signaling promotes metastatic progression of prostate cancer by inducing epithelial-to-mesenchymal transition and stem cell properties in prostate cancer cells PMID: 26362718
  41. D5 Stat5a plays pathogenic role in breast cancer through, at least partly, increasing trimethylation of the IGFBP-7 promoter region, thereby inhibiting IGFBP-7 expression. PMID: 26387651
  42. CD82 regulated BCL2L12 expression via STAT5A and AKT signaling and stimulated proliferation and engrafting of leukemia cells. PMID: 26260387
  43. the ETV6/ARG oncoprotein contributes to autonomous cell growth by compensating for the requirement of growth factor through activating STAT5 signaling, which leads to the up-regulation of c-Myc. PMID: 25373509
  44. Both Stat5a/b genetic knockdown and antiandrogen treatment induced proteasomal degradation of AR in prostate cancer cells. PMID: 25552366
  45. Upregulation of STAT5A is associated with chronic myeloid leukemia. PMID: 25953263
  46. High phosphorylated signal transducer and activator of transcription 5 is associated with mammary analogue secretory carcinoma of the salivary gland. PMID: 26252941
  47. These data provide the first definitive evidence for a contribution of STAT5a/b to the sex bias in pulmonary hypertension in the hypoxic mouse and implicate reduced STAT5 in the pathogenesis of the human disease. PMID: 25470773
  48. STAT5A positively regulates levels of DNMT3A, resulting in inactivation of tumor suppressor genes by epigenetic mechanisms in acute myeloid leukemia cells. PMID: 26059451
  49. constitutively active STAT5A(S710F) escapes from SFK-mediated cytoplasmic retention by enhancing STAT5A dimer stability PMID: 25885255
  50. The role of STAT proteins, including STAT5, and NF-kappa B in the death of Caco 2 cells incubated with Entamoeba histolytica is reported. PMID: 25352693

Show More

Hide All

Subcellular Location
Cytoplasm. Nucleus. Note=Translocated into the nucleus in response to phosphorylation.
Protein Families
Transcription factor STAT family
Database Links

HGNC: 11366

OMIM: 601511

KEGG: hsa:6776

STRING: 9606.ENSP00000341208

UniGene: Hs.437058

CUSABIO guaranteed quality
icon of phone
Call us
301-363-4651 (Available 9 a.m. to 5 p.m. CST from Monday to Friday)
icon of address
Address
7505 Fannin St., Ste 610, Room 7 (CUBIO Innovation Center), Houston, TX 77054, USA
icon of social media
Join us with

Subscribe newsletter

Leave a message

* To protect against spam, please pass the CAPTCHA test below.
CAPTCHA verification
© 2007-2025 CUSABIO TECHNOLOGY LLC All rights reserved. 鄂ICP备15011166号-1
×
Place an order now

I. Product details

*
*
*
*

II. Contact details

*
*

III. Ship To

*
*
*
*
*
*
*

IV. Bill To

*
*
*
*
*
*
*
*