TSC2 Recombinant Monoclonal Antibody

Code CSB-RA343033MA1HU
Size US$210
Order now
Image
  • Western Blot
    Positive WB detected in: MCF-7 whole cell lysate(30µg), HEK293 whole cell lysate(30µg)
    All lanes: TSC2 antibody at 1:1000
    Secondary
    Goat polyclonal to human IgG at 1/40000 dilution
    Predicted band size: 200 kDa
    Observed band size: 200 kDa
    Exposure time: 180s
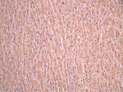
  • IHC image of CSB-RA343033MA1HU diluted at 1:50 and staining in paraffin-embedded human liver cancer performed on a Leica BondTM system. After dewaxing and hydration, antigen retrieval was mediated by high pressure in a citrate buffer (pH 6.0). Section was blocked with 10% normal goat serum 30min at RT. Then primary antibody (1% BSA) was incubated at 4°C overnight. The primary is detected by a Anti-Human lgG, Fcy Fragment Specific labeled by HRP and visualized using 0.05% DAB.
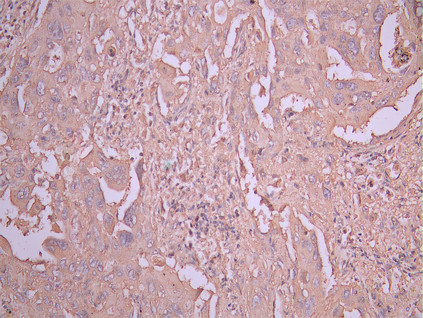
  • IHC image of CSB-RA343033MA1HU diluted at 1:50 and staining in paraffin-embedded human lung cancer performed on a Leica BondTM system. After dewaxing and hydration, antigen retrieval was mediated by high pressure in a citrate buffer (pH 6.0). Section was blocked with 10% normal goat serum 30min at RT. Then primary antibody (1% BSA) was incubated at 4°C overnight. The primary is detected by a Anti-Human lgG, Fcy Fragment Specific labeled by HRP and visualized using 0.05% DAB.
  • Overlay Peak curve showing SH-SY5Y cells stained with CSB-RA343033MA1HU (red line) at 1:100. The cells were fixed in 4% formaldehyde and permeated by 0.2% TritonX-100 for 10min. Then 10% normal goat serum to block non-specific protein-protein interactions followed by the antibody (1ug/1*106cells) for 45min at 4℃. The secondary antibody used was Fluorescein (FITC) AffiniPure Goat Anti-Human IgG, Fcγ fragment specific at 1:200 dilution for 35min at 4℃.Control antibody (green line) was human IgG1 (1ug/1*106cells) used under the same conditions. Acquisition of >10,000 events was performed.
Have Questions? Leave a Message or Start an on-line Chat

Product Details

Uniprot No.
Target Names
Alternative Names
FLJ43106 antibody; LAM antibody; OTTHUMP00000158940 antibody; OTTHUMP00000198394 antibody; OTTHUMP00000198395 antibody; PPP1R160 antibody; Protein phosphatase 1; regulatory subunit 160 antibody; TSC complex subunit 2 antibody; tsc2 antibody; TSC2_HUMAN antibody; TSC4 antibody; TSC4 gene; formerly antibody; TSC4; formerly antibody; Tuberin antibody; Tuberous sclerosis 2 antibody; Tuberous sclerosis 2 protein antibody; Tuberous sclerosis 2 protein homolog antibody
Species Reactivity
Human
Immunogen
Recombinant Human TSC2 protein
Immunogen Species
Homo sapiens (Human)
Conjugate
Non-conjugated
Clonality
Monoclonal
Isotype
hIgG1
Clone No.
29F11
Purification Method
Affinity-chromatography
Concentration
It differs from different batches. Please contact us to confirm it.
Buffer
Preservative: 0.03% Proclin 300
Constituents: 50% Glycerol, 0.01M PBS, PH 7.4
Form
Liquid
Tested Applications
ELISA, WB, IHC, FC
Recommended Dilution
Application Recommended Dilution
WB 1:500-1:2000
IHC 1:50-1:200
FC 1:50-1:200
Troubleshooting and FAQs
Storage
Upon receipt, store at -20°C or -80°C. Avoid repeated freeze.
Lead Time
Basically, we can dispatch the products out in 1-3 working days after receiving your orders. Delivery time maybe differs from different purchasing way or location, please kindly consult your local distributors for specific delivery time.
Usage
For Research Use Only. Not for use in diagnostic or therapeutic procedures.

Customer Reviews and Q&A

 Customer Reviews

There are currently no reviews for this product.

Submit a Review here

Target Background

Function
In complex with TSC1, this tumor suppressor inhibits the nutrient-mediated or growth factor-stimulated phosphorylation of S6K1 and EIF4EBP1 by negatively regulating mTORC1 signaling. Acts as a GTPase-activating protein (GAP) for the small GTPase RHEB, a direct activator of the protein kinase activity of mTORC1. May also play a role in microtubule-mediated protein transport. Also stimulates the intrinsic GTPase activity of the Ras-related proteins RAP1A and RAB5.
Gene References into Functions
  1. Rapamycin-independent IGF2 expression in Tsc2-null mouse embryo fibroblasts and human lymphangioleiomyomatosis cells. PMID: 29758070
  2. This study demonstrated that the TSC2 mutation related the cerebellar abnormalities in tuberous sclerosis complex. PMID: 29882962
  3. a novel TSC2 mutation is a cause of mild tuberous sclerosis in a family and has reduced expression PMID: 28659645
  4. Data found that TSC2 negatively regulates the expression of EP3 in an mTORC1- independent manner. PMID: 28710231
  5. Mutations in TSC2 gene on chromosome 9q34 that encode tuberin are associated with fetal Cardiac Rhabdomyoma that can be the initial finding in patients with Tuberous Sclerosis Complex. 5 known "pathogenic" TSC2-causing gene mutations were confirmed, also detected 6 "likely pathogenic" mutations. PMID: 29642139
  6. When exposed to urotensin-II, TSC2-deficient cells exhibited greater migration, anchorage-independent cell growth, and matrix invasion PMID: 27458154
  7. To the best of our knowledge, this is the first report of the c.3599G>C (p.R1200P) variant in exon 29 of the TSC2 gene related to a severe clinical course and multiple kidney transplants in a patient with tuberous sclerosis. PMID: 29308833
  8. These results demonstrate Tsc2-deficient mesenchymal progenitors cause aberrant morphogenic signals, and identify an expression signature including Lgals3 relevant for human disease of TSC1/TSC2 inactivation and mTORC1 hyperactivity. PMID: 28695825
  9. Functional validation of the oncogenic cooperativity and targeting potential of tuberous sclerosis mutation in medulloblastoma using a MYC-amplified model cell line PMID: 28409891
  10. This case provides evidence for a unique TSC2 mutation that resulted in an atypical clinical presentation and indicates potential shortcomings of the current diagnostic criteria for TSC. These findings may have implications for genetic counseling and screening. PMID: 28127866
  11. we report a pathogenic TSC2 variant, c.1864C>T, p.(Arg622Trp), associated with a mild phenotype, with most carriers meeting fewer than two major clinical diagnostic criteria for TSC. This finding has significant implications for counseling patients regarding prognosis. PMID: 28211972
  12. The results highlight a new role of TSC2 in protecting glioblastoma against photodynamic therapy-induced cell death, and TSC2 and YWHAZ as new RIP3 partners. PMID: 27984090
  13. Study provides new information regarding cerebellar lesions in tuberous sclerosis complex: cerebellar lesions are significantly much more frequent in patients with TSC2 mutations than TSC1 mutations or patients with no mutation identified, and Crus II is the most frequent location of cerebellar lesions. PMID: 28786492
  14. Two pathogenic mutations in TSC1 and one in TSC2 genes were identified in patients with tuberous sclerosis complex; the patient with TSC2 mutation manifested a more severe clinical phenotype PMID: 28288225
  15. Novel missense mutation in the exon 19 of the TSC2 gene is associated with tuberous sclerosis. PMID: 28397210
  16. Mutation in TSC2 is associated with lymphangioleiomyomatosis. PMID: 28202529
  17. Results show that tuberous sclerosis complex disease segregates with a silent substitution in TSC2, c.4149C>T, p.(Ser1838Ser), which leads to the formation of an active donor splice site, resulting in three shorter alternatively spliced transcripts with premature stop codons. PMID: 28336152
  18. Clinical whole exome sequencing of blood and tumor samples con fi rmed the diagnosis of methylmalonic acidemia and revealed two somatic inactivating mutations in TSC2, suggesting the potential consideration of an mTOR inhibitor in the event of tumor recurrence. PMID: 27748010
  19. TSC2 N-terminal lysine acetylation status affects to its stability modulating mTORC1 signaling and autophagy/cell proliferation. PMID: 27542907
  20. TSC2 mutations leading to severe tuberous sclerosis in Chinese children. PMID: 27859028
  21. These results suggested that TSC2 heterozygosity caused neurological malformations in primitive neural stem cells, indicating that its heterozygosity might be sufficient for the development of neurological abnormalities in patients. PMID: 28344003
  22. the first structural information on TSC2/tuberin with novel insight into the molecular function. PMID: 27493206
  23. Novel TSC2 mutations in Chinese patients with tuberous sclerosis. PMID: 28178598
  24. Gankyrin overexpression activates mTORC1 signaling and accelerating TSC2 degradation in colorectal tumor cells. PMID: 26975632
  25. data provide the first evidence that tuberin plays a novel role in regulating ROS generation, NADPH oxidase activity, and Nox expression that may potentially be involved in development of kidney tumor in patients with tuberous sclerosis complex PMID: 27278252
  26. Our evidence suggests that variants in TSC2 exons 25 or 31 are very unlikely to cause classical TSC, although a role for these exons in tissue/stage specific development cannot be excluded. PMID: 26703369
  27. In children with tuberous sclerosis complex, nonsense mutations in the TSC2 gene had a correlation with autistic behavior. PMID: 24698169
  28. By interfering with TSC-Rheb complex, arginine relieves allosteric inhibition of Rheb by TSC. Arginine cooperates with growth factor signaling which further promotes dissociation of TSC2 from lysosomes and activation of mTORC1. PMID: 26742086
  29. Results confirm strong association between TSC2 mutation and angiomyolipoma burden, and they indicate that everolimus response occurs regardless of mutation type or location or when no mutation in TSC1 or TSC2 has been identified. PMID: 25782670
  30. Tuberous sclerosis is a syndrome caused by dominant mutations in Tuberin (TSC2),causing Autism spectrum disorder - like behaviors, seizures, intellectual disability and characteristic brain and skin lesions. PMID: 26393489
  31. Lysosomal recruitment of TSC2 is a universal response to stimuli that inactivate mTORC1, and that the presence of any single stress is sufficient to cause TSC2 lysosomal localization. PMID: 26868506
  32. results confirm the consistent finding of TSC2 mutations in LAM samples, and highlight the benefit of laser capture microdissection and in-depth allele analyses for detection, such as NGS PMID: 26563443
  33. Data shows frequent loss of TSC2 in hepatocellular carcinoma cells (HCC) and that TSC2-null cell lines were more sensitive to mTOR inhibition by everolimus suggesting that TSC2 loss is a predictive biomarker for the response to everolimus in HCC patients. PMID: 25724664
  34. Multiple mutations in TSC2 during kidney development lead to severe phenotype of multifocal renal cell carcinoma. PMID: 25432535
  35. A short segment of chromosome 16 encodes the tumor suppressor gene tuberin as well as the protein polycystin 1, which are responsible for tuberous sclerosis complex type 2 and autosomal-dominant polycystic kidney disease type 1, respectively. PMID: 25355409
  36. A novel frame-shifting mutation c.4258-4261delTCAG in the TSC2 gene is associated with tuberous sclerosis in a Chinese family. PMID: 26252095
  37. pUL38 can activate mTORC1 in both TSC2-dependent and -independent manners. PMID: 25972538
  38. a novel frame shift Tuberous Sclerosis Complex-2 Mutation in three patients with Tuberous sclerosis complex but with different severity of symptoms PMID: 25563326
  39. these results demonstrate that TSC2-deficient cells have enhanced choline phospholipid metabolism and reveal a novel function of the TSC proteins in choline lysoglycerophospholipid metabolism PMID: 25780943
  40. This study demonstrates that TSC2-deficient tumor cells are hypersensitive to oxidative stress-dependent cell death, and provide critical proof of concept that TSC2-deficient cells can be therapeutically targeted PMID: 25185584
  41. TSC2/mTORC1 signaling contributes to the maintenance of intestinal epithelium homeostasis by regulating Notch activity. PMID: 25654764
  42. In TSC2-deficient angiomyolipoma patient cells, IRF7 is a pivotal factor in the Rheb/mTOR pathway. PMID: 25476905
  43. Studied conditions that increase the sensitivity of cancer cells to MK-2206. and found reduction by salinomycin of Akt and downregulation of pAkt, pGSk3beta, pTSC2, and p4EBP1 by cotreatment with MK-2206. PMID: 25114899
  44. The features of alpha-smooth muscle cells of a patient affected by lymphangioleiomyomatosis associated with Tuberous sclerosis complex, named LAM/TSC cells, bearing a TSC2 mutation and an epigenetic defect causing the absence of tuberin, were investigated. PMID: 24606538
  45. study describes 2 cases of genetically proven TCS2, sharing the same genotype; detected a novel, small and in frame deletion/insertion TSC2 mutation on exon 30 (c.3664_3665delinsTT-p.Asp1222Phe) PMID: 24794161
  46. This is the first mutation and multiplex ligation-dependent probe amplification (MLPA) analyses of TSC2 in Korean Angiomyolipomas that focus on tuberous sclerosis complex. PMID: 25281918
  47. This work indicates a novel role for this TSC2 gene, which encodes an activator of cell proliferation in response to androgen stimulation. PMID: 24318044
  48. TSC2 somatic second-hit mutations are associated with angiofibroma development in tuberous sclerosis. PMID: 24271014
  49. TSC2 mutations are associated with a more severe, earlier presenting tuberous sclerosis complex phenotype. PMID: 24917535
  50. Two novel gross deletions of TSC2 gene in Malay patients with tuberous sclerosis complex and TSC2/PKD1 contiguous gene deletion syndrome, respectively. PMID: 24683199

Show More

Hide All

Involvement in disease
Tuberous sclerosis 2 (TSC2); Lymphangioleiomyomatosis (LAM); Focal cortical dysplasia 2 (FCORD2)
Subcellular Location
Cytoplasm. Membrane; Peripheral membrane protein. Note=At steady state found in association with membranes.
Tissue Specificity
Liver, brain, heart, lymphocytes, fibroblasts, biliary epithelium, pancreas, skeletal muscle, kidney, lung and placenta.
Database Links

HGNC: 12363

OMIM: 191092

KEGG: hsa:7249

STRING: 9606.ENSP00000219476

UniGene: Hs.90303

icon of phone
Call us
301-363-4651 (Available 9 a.m. to 5 p.m. CST from Monday to Friday)
icon of address
Address
7505 Fannin St., Ste 610, Room 7 (CUBIO Innovation Center), Houston, TX 77054, USA
icon of social media
Join us with

Subscribe newsletter

Leave a message

* To protect against spam, please pass the CAPTCHA test below.
CAPTCHA verification
© 2007-2025 CUSABIO TECHNOLOGY LLC All rights reserved. 鄂ICP备15011166号-1
×
Place an order now

I. Product details

*
*
*
*

II. Contact details

*
*

III. Ship To

*
*
*
*
*
*
*

IV. Bill To

*
*
*
*
*
*
*
*