BCL2L1 Recombinant Monoclonal Antibody

Code CSB-RA900339A0HU
Size US$210
Order now
Image
  • Flow cytometric analysis of Bcl-XL expression in HT-1080 cells using Bcl-XL antibody. Green, isotype control; red, Bcl-XL.
  • Immunocytochemical staining of HT-1080 cells with Bcl-XL antibody. Nuclei were stained blue with DAPI; Bcl-XL was stained magenta with Alexa Fluor® 647. Images were taken using Leica stellaris 5. Protein abundance based on laser Intensity and smart gain: Low. Scale bar, 20 μm.
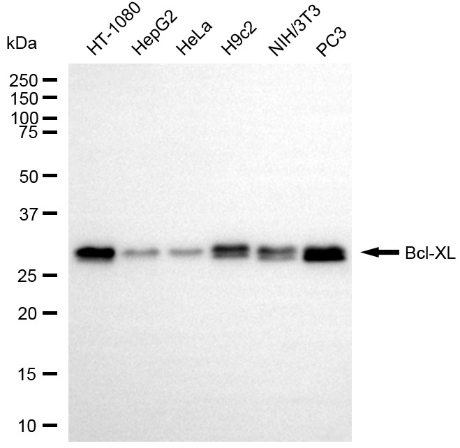
  • Western blotting analysis using Bcl-XL antibody. Total cell lysates (30 μg) from various cell lines were loaded and separated by SDS-PAGE. The blot was incubated with Bcl-XL antibody and HRP-conjugated goat anti-rabbit secondary antibody respectively.
Have Questions? Leave a Message or Start an on-line Chat

Product Details

Uniprot No.
Target Names
Alternative Names
BCL2L1; BCL2 Like 1; BCL2L; BCLX; PPP1R52; Protein Phosphatase 1, Regulatory Subunit 52; Apoptosis Regulator Bcl-X; Bcl-2-Like Protein 1; Bcl-X; BCL-XL/S; Bcl2-L-1; Bcl-XL; Bcl-XS; BCL-XL; BCL-XS; BCL-X
Species Reactivity
Human, Mouse, Rat
Immunogen
Recombinant Human BCL2L1 protein
Immunogen Species
Homo sapiens (Human)
Conjugate
Non-conjugated
Clonality
Monoclonal
Isotype
Rabbit IgG
Clone No.
18F1
Purification Method
Affinity-chromatography
Concentration
It differs from different batches. Please contact us to confirm it.
Buffer
Rabbit IgG in PBS (pH 7.4) containing 50% glycerol, and 0.02% sodium azide.
Form
Liquid
Tested Applications
ELISA, WB, FC, ICC
Recommended Dilution
Application Recommended Dilution
WB 1:1000-1:5000
FC 1:200-1:2000
ICC 1:100-1:1000
Troubleshooting and FAQs
Storage
Upon receipt, store at -20°C or -80°C. Avoid repeated freeze.
Lead Time
Basically, we can dispatch the products out in 1-3 working days after receiving your orders. Delivery time maybe differs from different purchasing way or location, please kindly consult your local distributors for specific delivery time.
Usage
For Research Use Only. Not for use in diagnostic or therapeutic procedures.

Customer Reviews and Q&A

 Customer Reviews

There are currently no reviews for this product.

Submit a Review here

Target Background

Function
Potent inhibitor of cell death. Inhibits activation of caspases. Appears to regulate cell death by blocking the voltage-dependent anion channel (VDAC) by binding to it and preventing the release of the caspase activator, CYC1, from the mitochondrial membrane. Also acts as a regulator of G2 checkpoint and progression to cytokinesis during mitosis.; Isoform Bcl-X(L) also regulates presynaptic plasticity, including neurotransmitter release and recovery, number of axonal mitochondria as well as size and number of synaptic vesicle clusters. During synaptic stimulation, increases ATP availability from mitochondria through regulation of mitochondrial membrane ATP synthase F(1)F(0) activity and regulates endocytic vesicle retrieval in hippocampal neurons through association with DMN1L and stimulation of its GTPase activity in synaptic vesicles. May attenuate inflammation impairing NLRP1-inflammasome activation, hence CASP1 activation and IL1B release.; Isoform Bcl-X(S) promotes apoptosis.
Gene References into Functions
  1. Study shows that multiple ion transporters mediate the rise in pH that increases the rate of Bcl-xL deamidation in response to DNA damage in certain cells. Additionally, deamidation of Bcl-xL is intramolecularly catalyzed in a manner that is dependent upon two conserved histidines near each of the deamidation sites and that they may function together as a pH-sensitive switch. PMID: 29694915
  2. hTERT contains a BH3-like motif, a short peptide sequence found in BCL-2 family proteins, and interacts with anti-apoptotic BCL-2 family proteins MCL-1 and BCL-xL PMID: 29937479
  3. Study demonstrated that lncRNA-HEIH regulates miR-939 expression through transcriptional repression of Bcl-xL promoting colorectal tumorigenesis. PMID: 29081216
  4. Results showed that the expressions of RIP2 and BclxL were positively correlated with the malignant grade of astrocytoma. RIP2 promoted human glioblastoma cell proliferation by inducing expression of BclxL. PMID: 29693188
  5. BCL-XL has a role in modulating RAS signalling to favor breast cancer cell stemness PMID: 29066722
  6. Bcl-xL degradation during endoplasmic reticulum stress-induced apoptosis is mediated by RNF183.RNF183 ubiquitinates Bcl-xL. PMID: 29507230
  7. BCL-XL promotes stemness and contributes to the aggressiveness of both melanoma and glioblastoma. PMID: 29238043
  8. inhibition of the BCL2 family member BCLxL resulted in nanomolar potency against human synovial sarcoma cell lines and 50% tumor reduction in a genetically engineered mouse model PMID: 28851813
  9. inhibition of Bcl-xL induces significantly more apoptosis in IDH1-mutated cells than in wild-type IDH1 cells. PMID: 29057925
  10. CCAT1 is upregulated in docetaxel-resistant lung adenocarcinoma cells; its oncogenic function depends on sponging of let-7c, which releases Bcl-xl, promoting the acquisition of chemoresistance and epithelial-to-mesenchymal transition phenotypes PMID: 27566568
  11. In the epithelial ovarian cancer stem cells, 40% knock-down of Bclxl expression was sufficient to induce the full activation of caspases. Bclxl expression levels in EOC cells is dynamic and can be regulated by microenvironments that are enriched with the pro-inflammatory cytokine IL-6 such as the cancer stem cell and adipocyte niches. PMID: 28012060
  12. Study reports the interaction of BCL-XL with RASSF6. BCL-XL inhibits the interaction between RASSF6 and MDM2 and suppresses p53 expression. Consequently, BCL-XL antagonizes RASSF6-mediated apoptosis. Thus, the inhibition of RASSF6-mediated apoptosis also underlies the prosurvival role of BCL-XL. PMID: 29193479
  13. These results show that mRNA expression in centenarians is unique and reveals that Bcl-xL plays an important role in exceptional aging. PMID: 27794564
  14. that Ubiquitin-specific peptidase 18 directly bind to BCL2L1 and positively regulated its expression in hepatocellular carcinoma cells PMID: 28709980
  15. High BCL-XL expression is associated with breast cancer. PMID: 28223545
  16. The the expression of the full-length, wildtype form of PRMT2 promotes an increase in the BCL-X(L)/BCL-X(s) ratio in TNF-alpha or LPS stimulated cells. PMID: 28057797
  17. Bcl-xL is a driver in colorectal tumorigenesis and cancer progression. PMID: 27537525
  18. These data show that Mcl-1 is dispensable for the regulation of apoptosis during infection with different large DNA viruses.Bcl-XL, on the other hand, can be important to maintain survival of virus-infected cells PMID: 27537523
  19. BC200 knockout suppresses tumor cell growth in vitro and in vivo by expression of the pro-apoptotic Bcl-xS isoform. PMID: 27277684
  20. Bcl-xL inhibits GAS-induced autophagy directly by suppressing autophagosome-lysosome fusion and indirectly by suppressing GAS internalization via interaction with Beclin 1-UVRAG. PMID: 28085926
  21. The combination of 2-deoxyglucose (2-DG) and ABT-199 initiated cell death through the reduction of myeloid cell leukemia sequence 1 protein (Mcl-1) expression and c-Jun N-terminal kinase 1 (JNK1) activation and subsequent Bcl-xL protein degradation. PMID: 28038464
  22. Bcl-xL is an exosomal caspase-3 substrate and that this processing is required for the uptake of exosomes by recipient cells. PMID: 27742710
  23. dynamic Bcl-xL(S49) and (S62) phosphorylation/dephosphorylation cycles are important in the maintenance of chromosome integrity during mitosis in normal cells PMID: 27398719
  24. Mono treatment with lexatumumab was not sufficient to induce apoptosis in pancreatic cancer cells, whereas focal adhesion kinase inhibitor PF573228 significantly sensitized lexatumumab-induced apoptosis. Western blotting analysis revealed that lexatumumab and PF573228 combination treatment increased death receptor 5 but decreased Bcl-xL expression. PMID: 28459212
  25. Reduced lifetimes of the donor were partially restored by coexpression of HIF-1alpha or Bcl-xL, binding proteins of IPAS in the nucleus and mitochondria, respectively. PMID: 28003430
  26. mechanistic studies, inhibition of SRC and PKCdelta completely ablated the ability of MDA-7/IL-24 to reduce the Bcl-x(L)/(s) mRNA ratio and cell viability. These findings show that Bcl-x(s) expression is an important mediator of MDA-7/IL-24-induced cytotoxicity requiring the SRC/PKCdelta signaling axis in NSCLC cells. PMID: 27519412
  27. Resistance induced in newly formed cancer stem cells is mediated by the anti-apoptotic molecule BCL-XL and inhibition of BCL-XL with the BH3 mimetic ABT-737 sensitizes these cancer cells toward chemotherapy. PMID: 25483065
  28. we discovered that deletions involving the PARK2 gene are significantly anti-correlated with focal amplifications of the gene encoding BCL-XL. PMID: 28038320
  29. The C-terminal tail of BCL-XL forms a membrane-embedded alpha-helix that anchors the protein's globular head to the lipid bilayer membrane, yet retains a significant degree of conformational dynamics. PMID: 26923059
  30. Bcl-xL overexpression may be closely related to the dynamic of the pathogenesis and development of tongue carcinoma. PMID: 25550772
  31. Results provide evidence that microRNA 421 induces apoptosis of cervical cancer cells via down-regulation of Bcl-xL. PMID: 27886335
  32. We conclude that Bcl-x plays a role in regulation of HSC apoptosis and modulation of Bcl-x alternative splicing may become a novel molecular therapy for liver fibrosis. PMID: 27579319
  33. Intracellular expression of Bcl-xL was significantly greater in CD4+ T-cells, CD8+ T-cells, and NK cells of infants with bronchiolitis compared to controls. PMID: 26541527
  34. Data indicate the potential of functionalized Apt-carbon nanotubes conjugates for increasing the induction of apoptosis in Mucin-1 (MUC1) positive tumor cells by suppression of Bcl-xL transcript. PMID: 26731195
  35. Genetic and pharmacological inhibition of BCL-W and BCL-XL causes directed elimination of senescent cells. PMID: 27048913
  36. miR-133a and miR-326 downregulate the mRNA expression of Bcl-xl in HepG2 cells. PMID: 26239225
  37. Bcl-xL is a key factor in polyploidization resistance in acute myeloid leukemia PMID: 26188358
  38. This study lends new molecular insights into understanding the binding specificity of BH3 ligands to BclXL with important consequences on the design of novel anticancer drugs. PMID: 24114183
  39. TCERG1 sensitizes a cell to apoptotic agents, thus promoting apoptosis by regulating the alternative splicing of both the Bcl-x and Fas/CD95 genes. PMID: 26462236
  40. Data show that JAK/STAT signaling inhibition is potentiated by Bcl-xL (B-cell lymphoma-extra large) blockade in interleukin 2 (IL-2) dependent adult T-cell leukemia cells. PMID: 26396258
  41. Data suggest BCL2-like 1 protein (BCL2L1) and deleted in liver cancer 1 protein (DLC1) as potential druggable targets for specific subsets of gastric cancer (GC) cases. PMID: 26401016
  42. CD40 signaling led to sustained ERK1/2 activation and up-regulation of Bcl-xL in BCR-primed HF1A3 germinal center B cells.[BCR] PMID: 26054744
  43. miR-326 targets antiapoptotic Bcl-xL and mediates apoptosis in human platelets. PMID: 25875481
  44. alpha4 is an important regulatory molecule of apoptosis and Bcl-xL phosphorylation induced by BCR crosslinking. PMID: 25876659
  45. These findings suggested that Bcl-xL may be a promising therapeutic approach for the treatment of NSCLC PMID: 25683634
  46. Weakening the inhibition of either Bax or ceramide channels decreased the ability of Bcl-xL to protect cells from apoptosis in a stimulus-dependent manner. PMID: 26215742
  47. BCL-XL up-regulation by STAT3 contributes to mutant KRAS-mediated apoptosis resistance. Such resistance can be overcome by potent BIM induction and concurrent BCL-XL antagonism PMID: 26245900
  48. BCL2L1 mutation mediates copy number variant 20q11.21 in hESC lines. PMID: 24286026
  49. We conclude that enhanced Bcl-xL levels confer resistance to cells upon epithelial to mesenchymal transformation PMID: 25473892
  50. the combination of simultaneous siRNA-mediated knockdown of antiapoptotic Bcl-xL and survivin-a multitarget molecular-based therapy-and conventional chemotherapy shows great potential for improving bladder cancer treatment. PMID: 23749114

Show More

Hide All

Subcellular Location
[Isoform Bcl-X(L)]: Mitochondrion inner membrane. Mitochondrion outer membrane. Mitochondrion matrix. Cytoplasmic vesicle, secretory vesicle, synaptic vesicle membrane. Cytoplasm, cytosol. Cytoplasm, cytoskeleton, microtubule organizing center, centrosome. Nucleus membrane; Single-pass membrane protein; Cytoplasmic side.
Protein Families
Bcl-2 family
Tissue Specificity
Bcl-X(S) is expressed at high levels in cells that undergo a high rate of turnover, such as developing lymphocytes. In contrast, Bcl-X(L) is found in tissues containing long-lived postmitotic cells, such as adult brain.
Database Links

HGNC: 992

OMIM: 600039

KEGG: hsa:598

STRING: 9606.ENSP00000302564

UniGene: Hs.516966

CUSABIO guaranteed quality
icon of phone
Call us
301-363-4651 (Available 9 a.m. to 5 p.m. CST from Monday to Friday)
icon of address
Address
7505 Fannin St., Ste 610, Room 7 (CUBIO Innovation Center), Houston, TX 77054, USA
icon of social media
Join us with

Subscribe newsletter

Leave a message

* To protect against spam, please pass the CAPTCHA test below.
CAPTCHA verification
© 2007-2025 CUSABIO TECHNOLOGY LLC All rights reserved. 鄂ICP备15011166号-1
×
Place an order now

I. Product details

*
*
*
*

II. Contact details

*
*

III. Ship To

*
*
*
*
*
*
*

IV. Bill To

*
*
*
*
*
*
*
*