CDK2 Recombinant Monoclonal Antibody

Code CSB-RA127508A0HU
Size US$210
Order now
Image
  • Flow cytometric analysis of cyclin dependent kinase 2 expression in HepG2 cells using cyclin dependent kinase 2 antibody. Green, isotype control; red, cyclin dependent kinase 2.
  • Immunocytochemical staining of HepG2 cells with Cyclin dependent kinase 2 antibody. Nuclei were stained blue with DAPI; Cyclin dependent kinase 2 was stained magenta with Alexa Fluor® 647. Images were taken using Leica stellaris 5. Protein abundance based on laser Intensity and smart gain: Low. Scale bar, 20 μm.
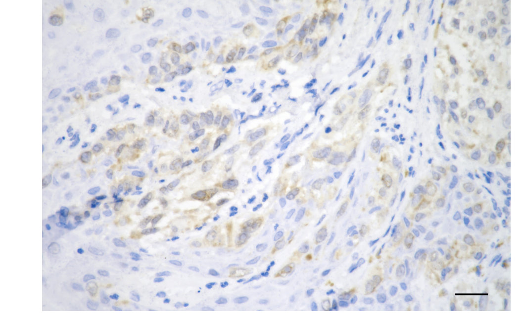
  • Immunohistochemistry was performed on paraffin-embedded human melanoma using cyclin dependent kinase 2 antibody. Antigen retrieval was done in sodium citrate buffer (pH 6.0). DAB was used for detection, with hematoxylin counterstaining. Images were acquired using a Nikon Ci-L Plus microscope (40× objective). Scale bar: 25 μm.
  • Western blotting analysis using cyclin dependent kinase 2 antibody. Total cell lysates (30 μg) from various cell lines were loaded and separated by SDS-PAGE. The blot was incubated with cyclin dependent kinase 2 antibody and HRP-conjugated goat anti-rabbit secondary antibody respectively.
Have Questions? Leave a Message or Start an on-line Chat

Product Details

Uniprot No.
Target Names
Alternative Names
CDK2; Cyclin Dependent Kinase 2; Cell Division Protein Kinase 2; Cyclin-Dependent Kinase 2; P33 Protein Kinase; EC 2.7.11.22; CDKN2; Cdc2-Related Protein Kinase; P33(CDK2); EC 2.7.11
Species Reactivity
Human, Mouse, Rat
Immunogen
Recombinant Human CDK2 protein
Immunogen Species
Homo sapiens (Human)
Conjugate
Non-conjugated
Clonality
Monoclonal
Isotype
Rabbit IgG
Clone No.
25A1
Purification Method
Affinity-chromatography
Concentration
It differs from different batches. Please contact us to confirm it.
Buffer
Rabbit IgG in PBS (pH 7.4) containing 50% glycerol, and 0.02% sodium azide.
Form
Liquid
Tested Applications
ELISA, WB, FC, ICC, IHC
Recommended Dilution
Application Recommended Dilution
WB 1:1000-1:5000
FC 1:200-1:2000
ICC 1:100-1:1000
IHC 1:100-1:200
Troubleshooting and FAQs
Storage
Upon receipt, store at -20°C or -80°C. Avoid repeated freeze.
Lead Time
Basically, we can dispatch the products out in 1-3 working days after receiving your orders. Delivery time maybe differs from different purchasing way or location, please kindly consult your local distributors for specific delivery time.
Usage
For Research Use Only. Not for use in diagnostic or therapeutic procedures.

Customer Reviews and Q&A

 Customer Reviews

There are currently no reviews for this product.

Submit a Review here

Target Background

Function
Serine/threonine-protein kinase involved in the control of the cell cycle; essential for meiosis, but dispensable for mitosis. Phosphorylates CTNNB1, USP37, p53/TP53, NPM1, CDK7, RB1, BRCA2, MYC, NPAT, EZH2. Triggers duplication of centrosomes and DNA. Acts at the G1-S transition to promote the E2F transcriptional program and the initiation of DNA synthesis, and modulates G2 progression; controls the timing of entry into mitosis/meiosis by controlling the subsequent activation of cyclin B/CDK1 by phosphorylation, and coordinates the activation of cyclin B/CDK1 at the centrosome and in the nucleus. Crucial role in orchestrating a fine balance between cellular proliferation, cell death, and DNA repair in human embryonic stem cells (hESCs). Activity of CDK2 is maximal during S phase and G2; activated by interaction with cyclin E during the early stages of DNA synthesis to permit G1-S transition, and subsequently activated by cyclin A2 (cyclin A1 in germ cells) during the late stages of DNA replication to drive the transition from S phase to mitosis, the G2 phase. EZH2 phosphorylation promotes H3K27me3 maintenance and epigenetic gene silencing. Phosphorylates CABLES1. Cyclin E/CDK2 prevents oxidative stress-mediated Ras-induced senescence by phosphorylating MYC. Involved in G1-S phase DNA damage checkpoint that prevents cells with damaged DNA from initiating mitosis; regulates homologous recombination-dependent repair by phosphorylating BRCA2, this phosphorylation is low in S phase when recombination is active, but increases as cells progress towards mitosis. In response to DNA damage, double-strand break repair by homologous recombination a reduction of CDK2-mediated BRCA2 phosphorylation. Phosphorylation of RB1 disturbs its interaction with E2F1. NPM1 phosphorylation by cyclin E/CDK2 promotes its dissociates from unduplicated centrosomes, thus initiating centrosome duplication. Cyclin E/CDK2-mediated phosphorylation of NPAT at G1-S transition and until prophase stimulates the NPAT-mediated activation of histone gene transcription during S phase. Required for vitamin D-mediated growth inhibition by being itself inactivated. Involved in the nitric oxide- (NO) mediated signaling in a nitrosylation/activation-dependent manner. USP37 is activated by phosphorylation and thus triggers G1-S transition. CTNNB1 phosphorylation regulates insulin internalization. Phosphorylates FOXP3 and negatively regulates its transcriptional activity and protein stability. Phosphorylates CDK2AP2. Phosphorylates ERCC6 which is essential for its chromatin remodeling activity at DNA double-strand breaks.
Gene References into Functions
  1. Results indicate that although PIN1 increases p27 levels, it also attenuates p27's inhibitory activity on CDK2 and thereby contributes to increased G1-S phase transitions and cell proliferation. PMID: 29118189
  2. CDK2 mutation is not associated with non-obstructive azoospermia. PMID: 29373224
  3. Proteomics and phosphoproteomics analyses identified CDK2 as a driver of resistance to both BRAF and Hsp90 inhibitors and its expression is regulated by the transcription factor MITF upon XL888 treatment of melanoma cells. PMID: 29507054
  4. identified a new phosphorylation-based substrate recognition mechanism of PTPN12 by CDK2, which orchestrated signaling crosstalk between the oncogenic CDK2 and HER2 pathways PMID: 28842430
  5. CDK2 gene is a strong candidate gene for type-2 diabetes. CDK2 gene is located in a risk area composed of 4 blocks in strong LD around the type-2 diabetes SNP rs2069408. CDK2 overexpression inhibits the association of insulin receptor to the microtubule components, tubulin alpha and tubulin beta. Physical association of the insulin receptor complex with CDK2 is inhibited by the expression of tyrosine phosphatase PTPLAD1. PMID: 30300385
  6. Among these genes, STAT3 and CDK2 were significantly associated with recurrence. Further study suggested that inhibition of CDK2 reduced invasion of Pca cell lines. The invasion ability was rescued after reintroduction of CDK2. PMID: 29323532
  7. The roles of the CDK2/SIRT5 axis in gastric cancer. PMID: 29896817
  8. CDK2 may have key functions in neuroblastoma progression by regulating the expression of neoplastic genes. PMID: 29328425
  9. The authors show that human Cyclin-Dependent-Kinases (CDKs) target the RAD9 subunit of the 9-1-1 checkpoint clamp on Thr292, to modulate DNA damage checkpoint activation. Thr292 phosphorylation on RAD9 creates a binding site for Polo-Like-Kinase1 (PLK1), which phosphorylates RAD9 on Thr313. PMID: 29254517
  10. this study suggests that CDK2 and CDK9 are potential therapeutic targets in Neuroblastoma (NB) and that abrogating CDK2 and CDK9 activity by small molecules like dinaciclib is a promising strategy and a treatment option for NB patients PMID: 27378523
  11. LINC00958 acts as an oncogenic gene in the gliomagenesis through miR-203-CDK2 regulation, providing a novel insight into glioma tumorigenesis. PMID: 29570358
  12. These compounds bind CDK2/ Cyclin A, inhibit its kinase activity, compete with substrate binding, but not with ATP, and dock onto the T-loop of CDK2. The best compound also binds CDK4 and CDK4/Cyclin D1, but not CDK1. PMID: 28430399
  13. CDK2 contributes to S81-AR phosphorylation and transactivation while CDK4 was not shown to be involved in this process. PMID: 29157894
  14. Our findings provide a rationale for clinical use of Bcl-2 family inhibitors in combination with CDK2 inhibitors for treatment of Mcl-1-dependent colorectal tumours associated with expression of Bcl-2, Bcl-XL and Bcl-w proteins. In addition, we have shown potential of CDK2 inhibitors for treatment of tumours expressing R273H mutant p53. PMID: 29372687
  15. CDK2 phosphorylates polyQ-AR specifically at Ser(96). Phosphorylation of polyQ-AR by CDK2 increased protein stabilization and toxicity and is negatively regulated by the adenylyl cyclase/protein kinase A signaling pathway in spinobulbar muscular atrophy. PMID: 28003546
  16. Data show that Noxa-mediated MCL-1 phosphorylation and degradation is regulated by CDK2. PMID: 27166195
  17. The upregulation of miR-302b reduced the expression of CDK2, and inhibited ERK signaling pathway, thereby inhibiting cell proliferation and G1/S phase conversion rate. PMID: 27465546
  18. High CDK2 expression is associated with breast cancer. PMID: 28760857
  19. Here, we introduce a transcriptional signature to specifically track CDK2 activity. It responds to genetic and chemical perturbations in the CDK-RB-E2F axis, correlates with mitotic rate in vitro and in vivo and reacts rapidly to changes in CDK2 activity during cell cycle progression PMID: 27819669
  20. Here, we found that centrosomal protein of 76 kDa (Cep76), previously shown to restrain centriole amplification, interacts with cyclin-dependent kinase 2 (CDK2) and is a bona fide substrate of this kinase. Cep76 is preferentially phosphorylated by cyclin A/CDK2 at a single site S83, and this event is crucial to suppress centriole amplification in S phase PMID: 27065328
  21. The authors find that Spy1 confers structural changes to Cdk2 that obviate the requirement of Cdk activation loop phosphorylation. PMID: 28666995
  22. CDK2 serves as an important nexus linking primary beta-cell dysfunction to progressive beta-cell mass deterioration in diabetes PMID: 28100774
  23. a SUMO-deficient Rb mutant results in reduced SUMOylation and phosphorylation, weakened CDK2 binding, and attenuated E2F-1 sequestration. PMID: 27163259
  24. These two states are separated by different metastable states that share hybrid structural features with both forms of the kinase. In contrast, the CDK2/ANS complex landscape is compatible with a conformational selection picture where the binding of ANS in proximity of the alphaC helix causes a population shift toward the inactive conformation PMID: 27100206
  25. Dsg2 knockdown arrests non-small cell lung cancer cell cycle progression via modulation of p27-CDK2 levels. PMID: 27629878
  26. CDK2 protects podocytes from apoptosis and reduced expression of CDK2 associates with the development of diabetic nephropathy. PMID: 26876672
  27. CDK2 controls a wide-spread epigenetic program that drives transcription at differentiation-related gene promoters specifically in G1. (Review) PMID: 26857166
  28. SATB2 regulates the mitosis of cell cycle and affects G1 cell cycle via interaction with CDK2. PMID: 26714749
  29. A novel link has been discussed between CDK2 expression and cell migration by characterizing the CDK2-mediated phosphorylation of BRMS1. PMID: 26730572
  30. the results suggest that CK1delta activity can be modulated by the interplay between CK1delta and CDK2/E or CDK5/p35. PMID: 26464264
  31. Inappropriate activation of CDK2 in S phase underlies the sensitivity of a subset of cell lines to Chk1 inhibitors. PMID: 26595527
  32. CDK2 and DNA-PK regulate PR transcriptional activity by distinct mechanisms. PMID: 26652902
  33. The expression of cdk2 in malignancy of ovarian tumors. PMID: 26828990
  34. PHD1 is phosphorylated by CDK2, CDK4 and CDK6 at Serine 130. PMID: 26644182
  35. Results show that miR-200c plays an antioncogenic role in clear cell renal cell carcinomas, through controlling cell growth and cell-cycle progression by downregulating the G1-S regulator CDK2. PMID: 26248649
  36. show thata combining cyclin-dependent kinase 2 (CDK2) antagonism and ubiquitin thioesterase 33 (USP33) depletion augments anaphase catastrophe via changes in centrosomal protein of 110 kDa (CP110) protein expression. PMID: 26304236
  37. Foxo3 circular RNA retards cell cycle progression via forming ternary complexes with p21 and CDK2. PMID: 26861625
  38. our study reveals a novel function of CDK2 in EGF-induced cell transformation and the associated signal transduction pathways. This indicates that CDK2 is a useful molecular target for the chemoprevention and therapy against skin cancer. PMID: 26028036
  39. both cell lines feature a significant reduction of CDK2 expression verified at the RNA and protein level, respectively PMID: 26555773
  40. Centriolar satellites build a centrosomal microcephaly protein complex critical for human neurodevelopment that promotes CDK2 centrosomal localization and centriole duplication. PMID: 26297806
  41. Identified ING5 as a novel CDK2 substrate. ING5 is phosphorylated at a single site, threonine 152, by cyclin E/CDK2 and cyclin A/CDK2. This site is also phosphorylated in cells in a cell cycle dependent manner, consistent with it being a CDK2 substrate. PMID: 25860957
  42. fluspirilene is a potential CDK2 inhibitor and a candidate anti-cancer drug for the treatment of human hepatocellular carcinoma. PMID: 26147897
  43. analysis of the conformational characteristics and ligand binding mechanisms of CDK2 [review] PMID: 25918937
  44. Which is mutated at the CDK2 phosphorylation site. PMID: 25154617
  45. observations suggested that androgen suppresses the proliferation of CRPC cells partially through inhibition of Cyclin A, Cdk2, and Skp2 PMID: 25271736
  46. A positive correlation between cdk2/cyclin A expression level and tumor growth. Amygdalin, therefore, may block tumor growth. PMID: 25136960
  47. Report structure-based discovery of allosteric inhibitors of CDK2. PMID: 24911186
  48. Sox2 phosphorylation by Cdk2 promotes the establishment but not the maintenance of the pluripotent state. PMID: 26139602
  49. Inhibition of CDK2 phosphorylation blocked phosphorylation of hnRNP K, preventing its incorporation into stress granules (SGs). Due to interaction between hnRNP K with TDP-43, the loss of hnRNP K from SGs prevented accumulation of TDP-43. PMID: 25410660
  50. The docking and molecular dynamics investigation performed here led to the identification of the interactions responsible for stabilizing the ligand ChEMBL474807 at the active sites of the glycogen synthase kinase-3beta (GSK-3) and cyclin-dependent kinase-2 PMID: 25754137

Show More

Hide All

Subcellular Location
Cytoplasm, cytoskeleton, microtubule organizing center, centrosome. Nucleus, Cajal body. Cytoplasm. Endosome. Note=Localized at the centrosomes in late G2 phase after separation of the centrosomes but before the start of prophase. Nuclear-cytoplasmic trafficking is mediated during the inhibition by 1,25-(OH)(2)D(3).
Protein Families
Protein kinase superfamily, CMGC Ser/Thr protein kinase family, CDC2/CDKX subfamily
Database Links

HGNC: 1771

OMIM: 116953

KEGG: hsa:1017

STRING: 9606.ENSP00000266970

UniGene: Hs.19192

CUSABIO guaranteed quality
icon of phone
Call us
301-363-4651 (Available 9 a.m. to 5 p.m. CST from Monday to Friday)
icon of address
Address
7505 Fannin St., Ste 610, Room 7 (CUBIO Innovation Center), Houston, TX 77054, USA
icon of social media
Join us with

Subscribe newsletter

Leave a message

* To protect against spam, please pass the CAPTCHA test below.
CAPTCHA verification
© 2007-2025 CUSABIO TECHNOLOGY LLC All rights reserved. 鄂ICP备15011166号-1
×
Place an order now

I. Product details

*
*
*
*

II. Contact details

*
*

III. Ship To

*
*
*
*
*
*
*

IV. Bill To

*
*
*
*
*
*
*
*