CASP9 Recombinant Monoclonal Antibody

Code CSB-RA043240A0HU
Size US$210
Order now
Image
  • Flow cytometric analysis of Caspase 9 expression in HepG2 cells using Caspase 9 antibody. Green, isotype control; red, Caspase 9.
  • Immunocytochemical staining of HepG2 cells with caspase 9 antibody. Nuclei were stained blue with DAPI; Caspase 9 was stained magenta with Alexa Fluor® 647. Images were taken using Leica stellaris 5. Protein abundance based on laser Intensity and smart gain: Medium. Scale bar, 20 μm.
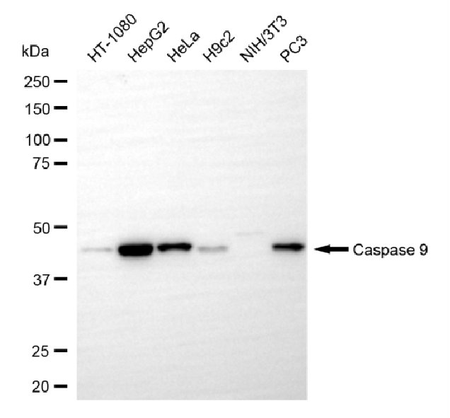
  • Western blotting analysis using caspase 9 antibody. Total cell lysates (30 μg) from various cell lines were loaded and separated by SDS-PAGE. The blot was incubated with caspase 9 antibody and HRP-conjugated goat anti-rabbit secondary antibody respectively.
Have Questions? Leave a Message or Start an on-line Chat

Product Details

Uniprot No.
Target Names
Alternative Names
CASP9; Caspase 9; Apoptosis-Related Cysteine Peptidase; Regulatory Subunit 56; Apoptotic Protease Mch-6; PPP1R56; APAF-3; Apoptotic Protease Activating Factor 3; ICE-LAP6; caspase-9; MCH6; Protein Phosphatase 1; Regulatory Subunit 56; ICE-Like Apoptotic Protease 6; CASP-9; APAF3; EC 3.4.22.62; Caspase 9; Apoptosis-Related Cysteine Protease; Apoptotic Protease-Activating Factor 3; Protein Phosphatase 1
Species Reactivity
Human, Rat
Immunogen
Recombinant Human CASP9 protein
Immunogen Species
Homo sapiens (Human)
Conjugate
Non-conjugated
Clonality
Monoclonal
Isotype
Rabbit IgG
Clone No.
6B1
Purification Method
Affinity-chromatography
Concentration
It differs from different batches. Please contact us to confirm it.
Buffer
Rabbit IgG in PBS (pH 7.4) containing 50% glycerol, and 0.02% sodium azide.
Form
Liquid
Tested Applications
ELISA, WB, FC, ICC
Recommended Dilution
Application Recommended Dilution
WB 1:1000-1:5000
FC 1:200-1:2000
ICC 1:100-1:1000
Troubleshooting and FAQs
Storage
Upon receipt, store at -20°C or -80°C. Avoid repeated freeze.
Lead Time
Basically, we can dispatch the products out in 1-3 working days after receiving your orders. Delivery time maybe differs from different purchasing way or location, please kindly consult your local distributors for specific delivery time.
Usage
For Research Use Only. Not for use in diagnostic or therapeutic procedures.

Customer Reviews and Q&A

 Customer Reviews

There are currently no reviews for this product.

Submit a Review here

Target Background

Function
Involved in the activation cascade of caspases responsible for apoptosis execution. Binding of caspase-9 to Apaf-1 leads to activation of the protease which then cleaves and activates caspase-3. Promotes DNA damage-induced apoptosis in a ABL1/c-Abl-dependent manner. Proteolytically cleaves poly(ADP-ribose) polymerase (PARP).; Isoform 2 lacks activity is an dominant-negative inhibitor of caspase-9.
Gene References into Functions
  1. CASP9 mutations cause recurrent folate-resistant neural tube defects. PMID: 29358613
  2. Study described rare mutations of the apoptosis gene CASP9 identified in neural tube defect cases and demonstrated that the p.Y251C variant impairs the protein's apoptotic function, suggesting it is a loss-of-function variation; also showed that the p.R191G variant inhibited apoptosis under folate-deficient condition, highlighting the effect of gene-environment interactions in this complex disease. PMID: 29365368
  3. these results revealed that caspase9 and activated caspase3 predominantly regulates cell apoptosis in human dental pulp stem cells from deciduous teeth. PMID: 29845240
  4. Low CASP9 expression is associated with Colorectal Cancer. PMID: 29801534
  5. the results of the present study suggest that miR-96-5p, which is frequently upregulated in hepatocellular carcinoma (HCC), inhibits apoptosis by targeting CASP9. Therefore, miR-96-5p may be a potential therapeutic target for HCC PMID: 29658604
  6. CASP9 germline mutations may have played a role at least in part to the susceptibility of development of gliomas in a Li-Fraumeni-like family lacking a TP53 germline mutation. PMID: 27935156
  7. The caspase 9 level was significantly lower and related with oxidant status in patients with polycystic ovary syndrome, while the circulating levels of caspases 3 and 7 were statistically similar in both PCOS and control groups. PMID: 27899026
  8. Results indicate that the apoptotic protease-activating factor 1 (Apaf-1) apoptosome activates caspase-9 in part through sequestration of the inhibitory caspase recruitment domains (CARDs) domain. PMID: 28143931
  9. DES1 plays a key role in palmitic acid-mediated caspase 9 and caspase 3 activation. PMID: 27364952
  10. CASP9 expression associated with inhibition of miR-182. PMID: 28298075
  11. CASP-9 polymorphism is associated with Primary Brain Tumors. PMID: 28870924
  12. High CASP9 expression is associated with Lung Tumorigenesis. PMID: 27197231
  13. knockdown of HMGI-C led to the significant induction of apoptosis via mitochondrial pathway by inducing miR34a and cell cycle arrest in MDA-MB-468 cells in vitro. PMID: 27245202
  14. Results suggest that the formation of the apoptosome accompanied by the activation of caspase-9 may occur in brains affected by multiple system atrophy (MSA), and that a mitochondria-dependent apoptotic pathway may be partially associated with the pathogenesis of MSA. PMID: 27345387
  15. Using recombinant proteins, this study investigated the influence of survivin on the inhibition of caspase-9 by XIAP in vitro. With a fluorescence-based assay for the apoptosome-stimulated activity of caspase-9, the study shows that survivin has no effect on the inhibition of caspase-9 by XIAP, neither in the presence nor in the absence of Smac. PMID: 27865841
  16. Data show that caspase 9 (CASP9) single nucleotide polymorphism (rs1052576) TT genotype was seemed to be associated with higher risk of pathological stage. PMID: 28358701
  17. The content of caspase 9 gene transcripts in peripheral blood leukocytes and plasma level of TNF-alpha were significantly higher in healthy subjects carrying C allele than in carriers of GG genotype. PMID: 28091912
  18. Results show that mRNA and protein levels of HAX-1 in prostate cancer cell lines were significantly higher and inhibits cell apoptosis through caspase-9 inactivation. PMID: 26323553
  19. Renal CASP9 expression is increased in diabetes and increased as diabetic nephropathy progressed. PMID: 27141571
  20. Inhibition of Caspase-9 restricted, while Apaf-1 promoted, Chlamydia pneumoniae infection in HEp-2, HeLa, and mouse epithelial fibroblast (MEF) cells. PMID: 26290316
  21. Levels of caspase-9, caspase-10, MAVS, and pIRF7 in mononuclear cells and the disease activity index (SLEDAI) in the systemic lupus erythematosus patients were determined. PMID: 25370148
  22. Expression of mutant caspase-9 correlated with a downregulation of BAFFR (B-cell-activating factor belonging to the TNF family (BAFF) receptor) in B cells and ICOS (inducible T-cell costimulator) in T cells. PMID: 25569260
  23. caspase-9 mediates Puma activation to determine the threshold for overcoming chemoresistance in cancer cells. PMID: 25356864
  24. we suggest that phosphorylation of caspase-9 may be a useful tool to assess the state of gastrointestinal cancer and the effects of anti-cancer therapy. PMID: 25031754
  25. DNA fragmentation, DNA damage, caspase-9 activation and a large increase in the sub-G1 and S cell cycle phases confirmed the occurrence of apoptosis in a time-dependent manner. PMID: 24377517
  26. Data indicate a significant association of two single nucleotide polymorphism (SNPs) in aspase9 (CASP9) and two haplotypes of the four SNP combinations with acute myeloid leukemia (AML) susceptibility. PMID: 24879622
  27. silica and double-stranded RNA (dsRNA) synergistically induces caspase-9-dependent apoptosis, but not inflammasome activation, of bronchial epithelial cells PMID: 24661197
  28. that KAT5 RNAi may result in cleaved casp9 upregulation through p38MAPK activation in Gallbladder carcinoma cells PMID: 24427328
  29. overexpression of iASPP and the low expression of caspase-9 in esophageal cancer are closely correlated with tumor invasion and metastasis PMID: 24405603
  30. the Atg7.caspase-9 complex performs a dual function of linking caspase-9 to the autophagic process while keeping in check its apoptotic activity. PMID: 24362031
  31. The inhibitory effect of Ab42 on the apoptotic pathway is associated with its interaction with procaspase-9 and consequent inhibition of Apaf-1 apoptosome assembly PMID: 24424093
  32. The rs4645981 T allele and the rs4645981 T allele carrier might increase the risk of cancer, but the rs1052576 A allele, rs1052576 A carrier, rs2308941 T allele, and rs2308941 T carrier might be protective. PMID: 23479167
  33. Interactions of caspase-9 with the BIR3 (baculovirus inhibitory repeat 3) exosite are essential for high-affinity binding. PMID: 23203690
  34. In oligozoospermia, spermatogonia presented significant increased active caspase-9 PMID: 23359247
  35. The change of caspase-9 expression from colon mucosa, adenoma to cancer suggested it may be involved in the carcinogenesis of colon cancer. PMID: 24592539
  36. dCas9 effectors can exert positive or negative regulation on the expression of developmentally relevant genes, which can influence cell differentiation status when impinging on a key node in the regulatory network that governs the cell state. PMID: 24346702
  37. BIRC5-31CC and CASP9+83CT/TT genotypes were associated with an increased risk for renal cell carcinoma development in the female group of our southern European study population. PMID: 23645041
  38. OSU-03012 induces apoptosis in human esophageal carcinoma cells through a p53/Bax/cytochrome c/caspase-9-dependent pathway. PMID: 23652278
  39. EGCG, both alone and in combination with cisplatin, promoted the expression of the pro-apoptotic splice isoform of caspase 9 PMID: 23615977
  40. The results demonstrated that 50 microg/mL beta-glucan significantly repressed the expression of the ERCC5 gene, no change in CASP9 expression, and induction of the CYP1A1 gene. PMID: 23424205
  41. CASP-9 polymorphisms are associated with susceptibility to low back pain during military training in Chinese soldiers. PMID: 23725396
  42. Results found that polymorphisms of CASP9 and CASP10 genes may not contribute to CRC risk in Chinese population. PMID: 23303631
  43. Proteolytic processing of the caspase-9 zymogen is required for apoptosome-mediated activation of caspase-9 PMID: 23572523
  44. Polymorphism in Caspase 9 (-1263 A>G) was observed to be associated with susceptibility of papillary thyroid carcinoma (PTC). PMID: 22120515
  45. Induction of caspase-9b expression is due to activation of hnRNP L via phosphorylation to compete/inhibit hnRNP U association with exon 3 of Casp9 mRNA. PMID: 23396972
  46. These results clearly indicated that olive oil phenolic extract and gallic acid were able to inhibit the caspase 9 dependent apoptosis pathway in HeLa cells. PMID: 22086301
  47. The overexpression of c-Jun, p73 and Casp-9 in thymic epithelial tumors is closely related with the pathogenesis and biological behavior of the neoplasms. PMID: 22974165
  48. Data suggest that CD95L-triggered endogenous ceramide increase in Jurkat leukemia T cells is likely involved in the pro-apoptotic mitochondrial pathway leading to caspase-9 activation. PMID: 22306364
  49. caspase-9 is the most important regulator in DLD-1, HCT-116, and HeLa cells PMID: 23038270
  50. CASP9 promoter polymorphisms rs4645978 and rs4645981 are associated with breast cancer susceptibility; CASP9 transcriptional regulation is an important factor during breast cancer development PMID: 22981751

Show More

Hide All

Protein Families
Peptidase C14A family
Tissue Specificity
Ubiquitous, with highest expression in the heart, moderate expression in liver, skeletal muscle, and pancreas. Low levels in all other tissues. Within the heart, specifically expressed in myocytes.
Database Links

HGNC: 1511

OMIM: 602234

KEGG: hsa:842

STRING: 9606.ENSP00000330237

UniGene: Hs.329502

CUSABIO guaranteed quality
icon of phone
Call us
301-363-4651 (Available 9 a.m. to 5 p.m. CST from Monday to Friday)
icon of address
Address
7505 Fannin St., Ste 610, Room 7 (CUBIO Innovation Center), Houston, TX 77054, USA
icon of social media
Join us with

Subscribe newsletter

Leave a message

* To protect against spam, please pass the CAPTCHA test below.
CAPTCHA verification
© 2007-2025 CUSABIO TECHNOLOGY LLC All rights reserved. 鄂ICP备15011166号-1
×
Place an order now

I. Product details

*
*
*
*

II. Contact details

*
*

III. Ship To

*
*
*
*
*
*
*

IV. Bill To

*
*
*
*
*
*
*
*