CREB1 Recombinant Monoclonal Antibody

Code CSB-RA953583A0HU
Size US$210
Order now
Image
  • Flow cytometric analysis of CREB1 expression in HepG2 cells using CREB1 antibody. Green, isotype control; red,CREB1.
  • Immunocytochemical staining of HepG2 cells with CREB1 antibody. Nuclei were stained blue with DAPI; CREB1 was stained magenta with Alexa Fluor® 647. Images were taken using Leica stellaris 5. Protein abundance based on laser Intensity and smart gain: Medium. Scale bar: 20 μm.
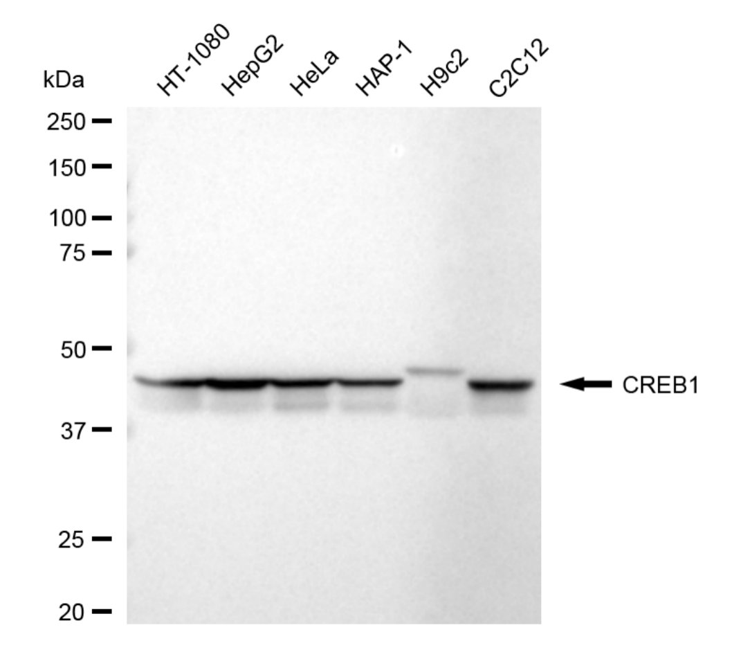
  • Western blotting analysis using CREB1 antibody. Total cell lysates (30 μg) from various cell lines were loaded and separated by SDS-PAGE. The blot was incubated with CREB1 antibody and HRP-conjugated goat anti-rabbit secondary antibody respectively. CREB1, cAMP responsive element binding protein 1.
Have Questions? Leave a Message or Start an on-line Chat

Product Details

Uniprot No.
Target Names
Alternative Names
CAMP Responsive Element Binding Protein 1; Cyclic AMP-Responsive Element-Binding Protein 1; CREB-1; Cyclic Adenosine 3',5'-Monophosphate Response Element-Binding Protein CREB; Cyclic Adenosine 3',5'-Monophosphate Response Element Binding Protein; CAMP-Responsive Element-Binding Protein 1; CAMP-Response Element-Binding Protein-1; Active Transcription Factor CREB; Transactivator Protein; CREB
Species Reactivity
Human, Mouse, Rat
Immunogen
Recombinant Human CREB1 protein
Immunogen Species
Homo sapiens (Human)
Conjugate
Non-conjugated
Clonality
Monoclonal
Isotype
Rabbit IgG
Clone No.
9F10
Purification Method
Affinity-chromatography
Concentration
It differs from different batches. Please contact us to confirm it.
Buffer
Supplied in PBS (pH 7.4) containing 50% glycerol, and 0.02% sodium azide.
Form
Liquid
Tested Applications
ELISA, WB, FC, ICC
Recommended Dilution
Application Recommended Dilution
WB 1:1000-1:5000
FC 1:200-1:2000
ICC 1:100-1:1000
Troubleshooting and FAQs
Storage
Upon receipt, store at -20°C or -80°C. Avoid repeated freeze.
Lead Time
Basically, we can dispatch the products out in 1-3 working days after receiving your orders. Delivery time maybe differs from different purchasing way or location, please kindly consult your local distributors for specific delivery time.
Usage
For Research Use Only. Not for use in diagnostic or therapeutic procedures.

Customer Reviews and Q&A

 Customer Reviews

There are currently no reviews for this product.

Submit a Review here

Target Background

Function
Phosphorylation-dependent transcription factor that stimulates transcription upon binding to the DNA cAMP response element (CRE), a sequence present in many viral and cellular promoters. Transcription activation is enhanced by the TORC coactivators which act independently of Ser-119 phosphorylation. Involved in different cellular processes including the synchronization of circadian rhythmicity and the differentiation of adipose cells.
Gene References into Functions
  1. findings illustrate the significance of CREB-KDM4B-STAT3 signaling cascade in DNA damage response, and highlight that KDM4B may potentially be a novel oncotarget for colorectal cancer radiotherapy. PMID: 29633065
  2. CacyBP expression is regulated by E2F1, EGR1, and CREB transcription factors in colorectal cancer HCT116 cells. PMID: 29197151
  3. ethanol-induced eIF2alpha phosphorylation stimulates COX-2 expression and PGE2 production which induces the BACE1 expression and Abeta production via EP-2 receptor-dependent PKA/CREB pathway. PMID: 28668332
  4. Creb1/Crtc1-3 and Sec14l3 could be important for early responses of the bronchial epithelium to Th2-stimuli. PMID: 28383034
  5. CREB1 overexpression rescued the effects on gastric cancer cell growth induced by miR-1297. PMID: 29870889
  6. Results suggest that low nuclear cyclic AMP responsive element binding protein (pCREB) expression in the primary lesion is significant risk factor for metastatic melanoma. PMID: 29179997
  7. Via activation of cAMP/PKA/CREB pathway and upregulation of the downstream FtMt expression. PMID: 30069985
  8. The mechanism of prostaglandin E2-induced transcriptional up-regulation of Oncostatin-M by CREB and Sp1 has been described. PMID: 29269396
  9. The findings suggest that activation of TGR5 promoted mitochondrial biogenesis in endothelial cells, which is mediated by the CREB/PGC-1a signaling pathway. PMID: 29709472
  10. High CREB expression is associated with esophageal squamous cell carcinoma. PMID: 29286131
  11. CREB1 may activate the transcription of wtBRAF through directly binding to its promoter, increasing BRAF expression and regulating the cell proliferation, migration and invasion of endometriosis. PMID: 29286077
  12. to explore genetic variations in CREB1 promoter region and determine whether these loci affect transcriptional activity and risk on type 2 diabetes (T2D). Three polymorphisms were identified and designated as MU1, MU2 and MU3, respectively. Genotypic distribution analysis revealed that MU1 genotypes presented similar distribution between T2D and healthy controls (P>0.05) PMID: 29729382
  13. experiments mainly reveal that the CREB1 could affect glucose transport in glioma cells by regulating the expression of GLUT1, which controlled the metabolism of glioma and affected the progression of glioma. PMID: 28646353
  14. These data highlight a novel arrestin-mediated modulation of CREB signalling, suggesting a reciprocal relationship between arrestin2 and arrestin3, wherein recruitment of arrestin3 restricts the ability of beta2AR to activate prolonged CREB phosphorylation by precluding recruitment of an arrestin2/Src/p38 complex. PMID: 28733084
  15. The authors conclude that taurodeoxycholic acid-induced DNA damage may depend on the activation of TGR5, CREB and NOX5-S. It is possible that in Barrett's patients bile acids may activate NOX5-S and increase reactive oxygen species (ROS) production via activation of TGR5 and CREB. NOX5-S-derived ROS may cause DNA damage, thereby contributing to the progression from Barrett's esophagus to esophageal adenocarcinoma. PMID: 27511066
  16. The mechanism of CBP-CREB association via their pKID/KIX domains studied by molecular dynamics free energy simulations has been reported. PMID: 27054660
  17. Results indicate CREB1 as a critical transcription factor of RRM2 which promotes tumor aggressiveness, and imply a significant correlation between CREB1 and RRM2 in CRC specimens. PMID: 27801665
  18. Study suggest that both p300 and CREB are required for the function integrity of HIF-1alpha transcription machinery and subsequent angiogenesis, suggesting future studies to improve burn wound healing might be directed to optimization of the interaction between p300, CREB and HIF-1alpha. PMID: 27808477
  19. These findings suggest that CREB1 may be a potential therapeutic target for the treatment of gastric cancer PMID: 28498439
  20. YAP/ TAZ pathways contribute to the proliferation/quiescence switch during colon cancer 5FU treatment according to the concerted regulation of Cyclin E1 and CREB PMID: 27527859
  21. Data demonstrate that CREB is downregulated in glioma cells and is a direct target of miR-433-3p. These findings indicate that CREB subsequently directly or indirectly modulates its target genes to control the cell growth and metastasis in glioma. PMID: 27926502
  22. these studies demonstrate that transcription factors CREB and c-Myc maintain the transcriptional activity of STING PMID: 27835584
  23. GRK3 is a new critical activator of neuroendocrine phenotypes and mediator of CREB activation in promoting neuroendocrine differentiation of prostate cancer cells. PMID: 27191986
  24. miR-150 is a novel Wnt effector that may significantly enhance epithelial-mesenchymal transition of colorectal cancer cells by targeting the CREB signaling pathway PMID: 27285761
  25. fMRI and genotyping data from a large human sample, together with previous evidence, support the view that CREB1-associated mechanisms modulate brain function and behavior during reward-based decision-making. PMID: 26045569
  26. Knockdown of either HIF-1 or CREB or both in hypoxia reduced the expression of hypoxia-response elements- and CRE-mediated gene expression, diminished cell proliferation and increased caspase-3 activity. PMID: 27934882
  27. MnTE-2-PyP decreased p300 complex binding to a specific HRE motif within the PAI-1 gene promoter region, suppressed H3K9 acetylation, and consequently, repressed PAI-1 expression. Mechanistically, less p300 transcriptional complex binding is not due to the reduction of binding between p300 and HIF-1/CREB transcription factors, but through inhibiting the binding of HIF-1/CREB transcription factors to DNA PMID: 26944191
  28. Inhibition of CaN attenuated the hTau-induced CREB dephosphorylation with improved synapse and memory functions. PMID: 27298345
  29. Via blocking the hypoxia-mediated reduction in CREB phosphorylation. PMID: 28254846
  30. The study adds evidence that CREB, a tumor oncogene, promotes renal cell carcinoma proliferation. It probably achieves this by increasing SKA2 expression PMID: 26824422
  31. cigarette smoke extracts activate the PKA, CREB, and IL-13Ralpha2 axis in lung endothelial cells. PMID: 27986643
  32. This study showed that the induction level of IL-32 was increased in chronic rhinosinusitis with nasal polyps compared to normal nasal mucosa and that LPS-induced IL-32 expression in nasal polyp-derived fibroblasts was regulated via the TLR4/JNK/AKT/CREB signaling pathway. PMID: 27173130
  33. Studies indicate that the small molecule ICG-001 selectively blocks the cAMP response element-binding (CREB) protein (CBP)/beta-catenin or gamma-catenin interaction. PMID: 28479420
  34. Study indicates that BPA increases phosphorylated CREB in MCF-7 Cells as well as it binding to SOX2 enhancer. PMID: 28244015
  35. study concludes that miR-132 regulated SIRT1/CREB/ABCG2 signaling pathway contributing to the cisplatin resistance and might serve as a novel therapeutic target against gastric cancer PMID: 28383763
  36. Leptin also significantly increased cAMP levels, cAMP response element (CRE) activation, and CREB phosphorylation. PMID: 28571770
  37. these data show the existence of functional CREB and C/EBP binding sites in the human RIC8B gene promoter, a particular distribution of these sites and demonstrate a relevant role of CREB in stimulating transcriptional activity of this gene. PMID: 26729411
  38. MALAT1 knockdown reduces reactive gliosis, Muller cell activation, and RGC survival in vivo and in vitro MALAT1-CREB binding maintains CREB phosphorylation by inhibiting PP2A-mediated dephosphorylation, which leads to continuous CREB signaling activation. PMID: 26964565
  39. aberrant activation of CREB-C/EBPdelta axis concurring to AML onset by disrupting the myeloid cell differentiation process PMID: 27118402
  40. miR-27b-3p levels were found to be significantly negatively correlated with both NR5A2 and CREB1 levels in breast cancer tissues. PMID: 27809310
  41. Interactions between GNB3, CREB1 and negative life events were revealed. Further evidence is provided about the role of the environment in genetic vulnerability to major depression. PMID: 28225778
  42. Our study establishes a robust human stem cell-based platform for consistent quantitative evaluation of genotype-dependent Rett syndrome (RTT) phenotypes at the cellular level. PMID: 28270572
  43. UCA1 promotes cisplatin/gemcitabine resistance in bladder cancer cells through CREB modulation of miR-196a-5p expression. PMID: 27591936
  44. Report a distinct group of myxoid mesenchymal neoplasms occurring in children or young adults with a predilection for intracranial locations with EWSR1-AFT1/CREB1/CREM fusions. PMID: 28009602
  45. CREB1/FoxA1 signaling is a targetable driver of prostate cancer progression and serves as a biomarker of poor clinical outcomes. PMID: 26743006
  46. These results suggest that the HIPK2-phospho-Ser271 CREB axis is a new arsenic-responsive CREB activation mechanism in parallel with the PKA-phospho-Ser133 CREB axis. PMID: 27884605
  47. There were decreased levels of Gsa, FOXF1, CREB1, and phosphorylated CREB1 proteins in intestinal muscle layers of patients with chronic intestinal pseudo-obstruction, compared with tissues from controls. PMID: 28043906
  48. Regulatory elements for both IRF-1 (-1019 to -1016) and CREB (-1198 to -1195), specific to the distal THBS1 promoter, were required for leptin-induced TSP-1 transcription. PMID: 27281481
  49. The results suggest that Sirt2 plays a crucial role in neuronal differentiation via the ERK-CREB signaling pathway. PMID: 27838300
  50. revealed more than 170 NFAT-associated proteins, half of which are involved in transcriptional regulation. Among them are many hitherto unknown interaction partners of NFATc1 and NFATc2 in T cells, such as Raptor, CHEK1, CREB1, RUNX1, SATB1, Ikaros, and Helios. PMID: 27637333

Show More

Hide All

Involvement in disease
Angiomatoid fibrous histiocytoma (AFH)
Subcellular Location
Nucleus.
Protein Families
BZIP family
Database Links

HGNC: 2345

OMIM: 123810

KEGG: hsa:1385

STRING: 9606.ENSP00000387699

UniGene: Hs.516646

CUSABIO guaranteed quality
icon of phone
Call us
301-363-4651 (Available 9 a.m. to 5 p.m. CST from Monday to Friday)
icon of address
Address
7505 Fannin St., Ste 610, Room 7 (CUBIO Innovation Center), Houston, TX 77054, USA
icon of social media
Join us with

Subscribe newsletter

Leave a message

* To protect against spam, please pass the CAPTCHA test below.
CAPTCHA verification
© 2007-2025 CUSABIO TECHNOLOGY LLC All rights reserved. 鄂ICP备15011166号-1
×
Place an order now

I. Product details

*
*
*
*

II. Contact details

*
*

III. Ship To

*
*
*
*
*
*
*

IV. Bill To

*
*
*
*
*
*
*
*