Phospho-NFKB1 (Ser907) Antibody

Code CSB-PA925652
Size US$360
Order now
Image
  • Western blot analysis of extract from HeLa cells untreated or treated with TNF-α using NF-kappa;B p105(phospho-Ser907) antibody.
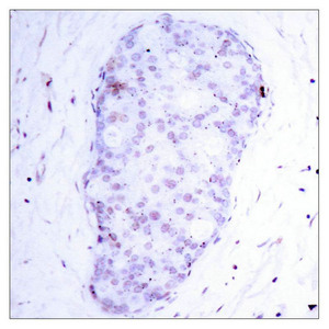
  • Immunohistochemical analysis of paraffin-embedded human breast carcinoma tissue using NF-κB p105(phospho-Ser907) antibody.
Have Questions? Leave a Message or Start an on-line Chat

Product Details

Full Product Name
Rabbit anti-Homo sapiens (Human) NFKB1 Polyclonal antibody
Uniprot No.
Target Names
Alternative Names
DKFZp686C01211 antibody; DNA binding factor KBF1 antibody; DNA binding factor KBF1 EBP1 antibody; DNA-binding factor KBF1 antibody; EBP 1 antibody; EBP-1 antibody; EBP1 antibody; KBF1 antibody; MGC54151 antibody; nf b antibody; NF kappa B antibody; NF kappaB antibody; NF kappabeta antibody; NF kB1 antibody; NF-kappaB antibody; NFkappaB antibody; NFKB 1 antibody; NFKB p105 antibody; NFKB p50 antibody; NFKB-p105 antibody; Nfkb1 antibody; NFKB1_HUMAN antibody; Nuclear factor kappa B DNA binding subunit antibody; Nuclear factor kappa-B antibody; Nuclear factor kappa-B, subunit 1 antibody; Nuclear factor NF kappa B p105 subunit antibody; Nuclear factor NF kappa B p50 subunit antibody; Nuclear factor NF-kappa-B p50 subunit antibody; Nuclear factor of kappa light chain gene enhancer in B cells 1 antibody; Nuclear factor of kappa light polypeptide gene enhancer in B cells 1 antibody; Nuclear factor of kappa light polypeptide gene enhancer in B-cells 1 antibody; p105 antibody; p50 antibody; p84/NF-kappa-B1 p98 antibody; Transcription factor NFKB1 antibody
Raised in
Rabbit
Species Reactivity
Human
Immunogen
Peptide sequence around phosphorylation site of serine 907(P-L-S(p)-P-A) derived from Human NFκB-p105.
Immunogen Species
Homo sapiens (Human)
Clonality
Polyclonal
Purification Method
Antibodies were produced by immunizing rabbits with synthetic phosphopeptide and KLH conjugates. Antibodies were purified by affinity-chromatography using epitope-specific phosphopeptide. Non-phospho specific antibodies were removed by chromatogramphy usi
Concentration
It differs from different batches. Please contact us to confirm it.
Form
Supplied at 1.0mg/mL in phosphate buffered saline (without Mg2+ and Ca2+), pH 7.4, 150mM NaCl, 0.02% sodium azide and 50% glycerol.
Tested Applications
ELISA,WB,IHC
Recommended Dilution
Application Recommended Dilution
WB 1:500-1:1000
IHC 1:50-1:100
Troubleshooting and FAQs
Storage
Upon receipt, store at -20°C or -80°C. Avoid repeated freeze.
Lead Time
Basically, we can dispatch the products out in 1-3 working days after receiving your orders. Delivery time maybe differs from different purchasing way or location, please kindly consult your local distributors for specific delivery time.
Usage
For Research Use Only. Not for use in diagnostic or therapeutic procedures.

Customer Reviews and Q&A

 Customer Reviews

There are currently no reviews for this product.

Submit a Review here

Target Background

Function
NF-kappa-B is a pleiotropic transcription factor present in almost all cell types and is the endpoint of a series of signal transduction events that are initiated by a vast array of stimuli related to many biological processes such as inflammation, immunity, differentiation, cell growth, tumorigenesis and apoptosis. NF-kappa-B is a homo- or heterodimeric complex formed by the Rel-like domain-containing proteins RELA/p65, RELB, NFKB1/p105, NFKB1/p50, REL and NFKB2/p52 and the heterodimeric p65-p50 complex appears to be most abundant one. The dimers bind at kappa-B sites in the DNA of their target genes and the individual dimers have distinct preferences for different kappa-B sites that they can bind with distinguishable affinity and specificity. Different dimer combinations act as transcriptional activators or repressors, respectively. NF-kappa-B is controlled by various mechanisms of post-translational modification and subcellular compartmentalization as well as by interactions with other cofactors or corepressors. NF-kappa-B complexes are held in the cytoplasm in an inactive state complexed with members of the NF-kappa-B inhibitor (I-kappa-B) family. In a conventional activation pathway, I-kappa-B is phosphorylated by I-kappa-B kinases (IKKs) in response to different activators, subsequently degraded thus liberating the active NF-kappa-B complex which translocates to the nucleus. NF-kappa-B heterodimeric p65-p50 and RelB-p50 complexes are transcriptional activators. The NF-kappa-B p50-p50 homodimer is a transcriptional repressor, but can act as a transcriptional activator when associated with BCL3. NFKB1 appears to have dual functions such as cytoplasmic retention of attached NF-kappa-B proteins by p105 and generation of p50 by a cotranslational processing. The proteasome-mediated process ensures the production of both p50 and p105 and preserves their independent function, although processing of NFKB1/p105 also appears to occur post-translationally. p50 binds to the kappa-B consensus sequence 5'-GGRNNYYCC-3', located in the enhancer region of genes involved in immune response and acute phase reactions. In a complex with MAP3K8, NFKB1/p105 represses MAP3K8-induced MAPK signaling; active MAP3K8 is released by proteasome-dependent degradation of NFKB1/p105.
Gene References into Functions
  1. NF-kappaB signaling contributes to prostate cancer cell proliferation and migration via androgen receptor and estrogen receptor beta. PMID: 30236540
  2. PKC-delta isoform plays a crucial role in Tat-TLR4 signaling pathway to activate NF-kappaB and CXCL8 production. PMID: 28539656
  3. Knockdown of cyclin dependent kinase inhibitor 2A (p16INK4A) in cardiac stem/progenitor cell (hCPC) reverses the senescent phenotype and has an antioxidant effect on aging hCPCs via NF-KAPPA B (NF-kB) signaling. PMID: 29675777
  4. Chandipura virus infection triggered the activation of signalling pathways mediated by mitogen-activated protein kinases, including p38, JNK 1 and 2, and nuclear factor kappaB. PMID: 30001342
  5. TSPAN15 interacts with BTRC to promote oesophageal squamous cell carcinoma metastasis via activating NF-kappaB signaling. PMID: 29650964
  6. FABP5 promotes lipolysis of lipid droplets, de novo fatty acid synthesis and activation of NF-kappaB signaling in cancer cells. PMID: 29906613
  7. Prognostic significance of NF-kappaB expression in non-small cell lung cancer PMID: 29813121
  8. LMP1 functions to constitutively activate NF-kappaB signalling during nasopharynx cancer pathogenesis. PMID: 28098136
  9. NF-kappaB signalling may repress ANT1 gene transcription and impair mitochondrial functions. PMID: 28317877
  10. High NFKB expression is associated with chemotherapeutic resistance in gastric cancer. PMID: 30106453
  11. PGF promotes epithelial-mesenchymal transition-like changes in retinal pigment epithelium cells under hypoxia by activating the NF-kappaB signaling pathway. PMID: 29769799
  12. Data indicated that nestin regulated NF-kappa B (NF-kappaB) activity in foetal spinal cord tissues. PMID: 29697001
  13. NF-kappaB p50 and NF-kappaB p65 in thyroid carcinoma were positively associated with tumour diameter and the presence of lymph node metastasis PMID: 30014762
  14. This study establishes PML as an important regulator of NF-kappaB and demonstrates that PML-RARalpha dysregulates NF-kappaB. PMID: 28317833
  15. Notch signaling can initiate Asb2 transcription and NF-kappa B activation in T cell acute lymphoblastic leukemia cells. PMID: 30116272
  16. High NFKB expression is associated with colorectal cancer cell migration, invasion and metastasis PMID: 30015978
  17. These findings indicated that microRNA-98 could promote apoptosis of glioma cells via inhibiting inhibitor of kappa B kinase epsilon/nuclear factor-kappa B signaling and presented a novel regulatory pathway of microRNA-98 by direct suppression of inhibitor of kappa B kinase epsilon/nuclear factor-kappa B expression in glioma cells. PMID: 29333957
  18. Anti-rotavirus effect of TNF-alpha was achieved by NFkappaB-regulated genes via the activation of classical nuclear factor kappaB (NF-kappaB) signaling. PMID: 29859235
  19. Knockdown of REG-GAMMA (REGgamma) may inhibit the proliferation and migration, and promote the apoptosis of plasma cell myeloma RPMI-8226 cells possibly by downregulating NF-kappa-B (NF-kappaB) signal pathway. PMID: 29020881
  20. L5-LDL, a naturally occurring mild oxidized LDL, induced G-CSF and GM-CSF production in human macrophages through LOX-1, ERK2, and NF-kappaB dependent pathways PMID: 29078142
  21. Priming cells with IFNbeta synergistically enhances IL6 induction in response to treatments that activate NF-kappaB, in a process that depends upon the recruitment of STAT2, IRF9. PMID: 29581268
  22. HMGB1 promoted lung cancer invasion and metastasis by upregulating the expression and activity of MMP-2 in an NF-kappaB-dependent manner. PMID: 29850505
  23. NF-kappaB activation in breast cancer cells depends on the presence of the CHORDC1 gene product Morgana. PMID: 29158506
  24. Data suggest the angiopoietin-like 8 (ANGPTL8)/p62-IKKgamma axis as a negative feedback loop that regulates NF-kappaB activation, and extends the role of selective autophagy in fine-tuned inflammatory responses. PMID: 29255244
  25. Studied role of bone marrow stromal cell antigen 2 (BST2) in gastric cancer (GC); results show BST2 is overexpressed in GC tissues and BST2 silencing inhibits cell proliferation and migration, partly by regulating NF-kappaB signaling. PMID: 29774441
  26. vaspin decreased miR-33a levels, which in turn increased ABCA1 expression and cholesteorl efflux. PMID: 29653102
  27. these results define a tumor-supportive role for CDCA3. PMID: 29627567
  28. NFKB1 variants were significantly associated with type 2 diabetes PMID: 29601852
  29. NF-kappaB has been identified as the main transcription factor regulating the induction of inflammation-related genes in intracranial aneurysms lesions. This transcription factor has also been related to intracranial aneurysms rupture and resulting Subarachnoid Hemorrhage. [review] PMID: 29671828
  30. miR-150 predicts survival in patients with sepsis and inhibits lipopolysaccharide-induced inflammatory factors and apoptosis by targeting NF-kappaB1 in human umbilical vein endothelial cells. PMID: 29689269
  31. These results illustrate an alternative mechanism of HIV-1 Vpr regulation of Kaposi's sarcoma-associated herpesvirus (KSHV) latency and aberrant cytokines through the miR-711/Notch/NF-kappaB axis. Our novel findings further demonstrate the role of an HIV-1-secreted regulatory protein in the KSHV life cycle and KSHV-related malignancies. PMID: 29976660
  32. In conclusion, HSP70 modulates NF-kappaB activation in alveolar macrophages of TB patients, through inhibiting IkappaB-alpha phosphorylation or acting as a chaperon molecule to prevent NF-kappaB binding to the target genes by facilitating degradation. The upregulated HSP70 may suppress the release of pro-inflammatory cytokines during active pulmonary tuberculosis infection, and prevent overwhelming tissue damage. PMID: 28450725
  33. Gene expression analyses show strong correlation between the cellular dynamic response and NF-kappaB-dependent target gene activation. PMID: 27381163
  34. NF-kappaB served as a positive transcriptional regulator of WIP1 to activate its expression and affect its function in colorectal cancer cells. PMID: 29367109
  35. Data do not support a role for the NFKB1 and HIF1A polymorphisms in the pathogenesis of bowel disease. PMID: 29307990
  36. a few seconds of exposure to TNF is sufficient to activate the NF-kappaB pathway in HeLa cells and induce apoptotic cell death in both HeLa and Kym-1 cells PMID: 28004761
  37. HMGB1 mediates fibroblast activity via RAGE-MAPK and NF-kappaB signaling in keloid scar formation. PMID: 29283384
  38. High NFKB expression is associated with glioma. PMID: 28534933
  39. NFkappaB1-94ins/ins genotype was associated with the risk of developing colorectal cancer in Egyptian subjects. PMID: 28389768
  40. miR-146 exerted protective functions might be via up-regulation of Sirt1 thereby blocking NF-kappaB and Notch pathways. PMID: 29229881
  41. Data suggest that environmental carcinogen PFOA (perfluorooctanoic acid) stimulates ovarian cancer cell migration, invasion, and MMP2/MMP9 expression by up-regulating ERK/NFkappaB signaling pathway. (MMP = matrix metallopeptidase; NFkappaB = nuclear factor kappa B) PMID: 29753068
  42. High NFKB expression is associated with KSHV infection. PMID: 29698475
  43. Significantly elevated blood levels of NFkappaB in myelodysplastic syndrome patients. PMID: 28856536
  44. These data indicate a process of NF-kappaB-induced miR-506 suppression and JAG1 upregulation upon IL-1beta induction. PMID: 28926924
  45. High Expressions of NFkappaB is associated with degenerative knee osteoarthritis. PMID: 28418842
  46. Inflammatory factors suppress microRNA-1275 transcription in human adipocytes through NF-kappaB. PMID: 28901460
  47. GSK-3beta is critically important for ordered NF-kappaB signalling through modulation of NEMO phosphorylation. PMID: 27929056
  48. results establish a role for the linear Ubiquitin coat around cytosolic S. Typhimurium as the local NF-kappaB signalling platform and provide insights into the function of OTULIN in NF-kappaB activation during bacterial pathogenesis PMID: 28481361
  49. the lymphotoxin beta receptor (LTbetaR) to elicit the fast release of NF-kappaB inducing kinase (NIK) from the receptor complex leading to non-canonical NF-kappaB signaling. PMID: 29329668
  50. Data demonstrate that S. Typhimurium attenuates NF-kappaB signaling in fibroblasts; this tune-down in a central host defense might be instrumental for S. Typhimurium to establish intracellular persistent infections PMID: 27575017

Show More

Hide All

Involvement in disease
Immunodeficiency, common variable, 12 (CVID12)
Subcellular Location
Nucleus. Cytoplasm. Note=Nuclear, but also found in the cytoplasm in an inactive form complexed to an inhibitor (I-kappa-B).
Database Links

HGNC: 7794

OMIM: 164011

KEGG: hsa:4790

STRING: 9606.ENSP00000226574

UniGene: Hs.618430

CUSABIO guaranteed quality
icon of phone
Call us
301-363-4651 (Available 9 a.m. to 5 p.m. CST from Monday to Friday)
icon of address
Address
7505 Fannin St., Ste 610, Room 7 (CUBIO Innovation Center), Houston, TX 77054, USA
icon of social media
Join us with

Subscribe newsletter

Leave a message

* To protect against spam, please pass the CAPTCHA test below.
CAPTCHA verification
© 2007-2025 CUSABIO TECHNOLOGY LLC All rights reserved. 鄂ICP备15011166号-1
×
Place an order now

I. Product details

*
*
*
*

II. Contact details

*
*

III. Ship To

*
*
*
*
*
*
*

IV. Bill To

*
*
*
*
*
*
*
*