FN1 Recombinant Monoclonal Antibody

Code CSB-RA916601A0HU
Size US$210
Order now
Image
  • Flow cytometric analysis of fibronectin 1 expression in HT-1080 cells using fibronectin 1 antibody. Green, isotype control; red, fibronectin 1.
  • Immunocytochemical staining of HT-1080 cells with Fibronectin 1 antibody. Nuclei were stained blue with DAPI; Fibronectin 1 was stained magenta with Alexa Fluor® 647. Images were taken using Leica stellaris 5. Protein abundance based on laser Intensity and smart gain: Medium. Scale bar, 20 μm.
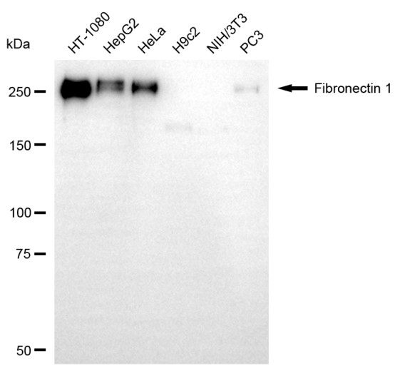
  • Western blotting analysis using fibronectin 1 antibody. Total cell lysates (30 μg) from various cell lines were loaded and separated by SDS-PAGE. The blot was incubated with fibronectin 1 antibody and HRP-conjugated goat anti-rabbit secondary antibody respectively.
Have Questions? Leave a Message or Start an on-line Chat

Product Details

Uniprot No.
Target Names
Alternative Names
Fibronectin 1; CIG; Cold-Insoluble Globulin; GFND2; LETS; FINC; MSF; Migration-Stimulating Factor; Lnc-ABCA12-8; Fibronectin; FN; Epididymis Secretory Sperm Binding Protein; LNC-ABCA12-8; SMDCF; ED-B; GFND; FNZ
Species Reactivity
Human
Immunogen
Recombinant Human FN1 protein
Immunogen Species
Homo sapiens (Human)
Conjugate
Non-conjugated
Clonality
Monoclonal
Isotype
Rabbit IgG
Clone No.
3H12
Purification Method
Affinity-chromatography
Concentration
It differs from different batches. Please contact us to confirm it.
Buffer
Rabbit IgG in PBS (pH 7.4) containing 50% glycerol, and 0.02% sodium azide.
Form
Liquid
Tested Applications
ELISA, WB, FC, ICC
Recommended Dilution
Application Recommended Dilution
WB 1:1000-1:5000
FC 1:200-1:2000
ICC 1:100-1:1000
Troubleshooting and FAQs
Storage
Upon receipt, store at -20°C or -80°C. Avoid repeated freeze.
Lead Time
Basically, we can dispatch the products out in 1-3 working days after receiving your orders. Delivery time maybe differs from different purchasing way or location, please kindly consult your local distributors for specific delivery time.
Usage
For Research Use Only. Not for use in diagnostic or therapeutic procedures.

Customer Reviews and Q&A

 Customer Reviews

There are currently no reviews for this product.

Submit a Review here

Target Background

Function
Fibronectins bind cell surfaces and various compounds including collagen, fibrin, heparin, DNA, and actin. Fibronectins are involved in cell adhesion, cell motility, opsonization, wound healing, and maintenance of cell shape. Involved in osteoblast compaction through the fibronectin fibrillogenesis cell-mediated matrix assembly process, essential for osteoblast mineralization. Participates in the regulation of type I collagen deposition by osteoblasts.; Binds fibronectin and induces fibril formation. This fibronectin polymer, named superfibronectin, exhibits enhanced adhesive properties. Both anastellin and superfibronectin inhibit tumor growth, angiogenesis and metastasis. Anastellin activates p38 MAPK and inhibits lysophospholipid signaling.
Gene References into Functions
  1. Evidence has been presented for FN modification by inflammatory oxidants, and particularly myeloperoxidase (MPO)-derived species including hypochlorous acid (HOCl). Studies using primary human coronary artery smooth muscle cells show that exposure to HOCl-modified FN, results in decreased adherence, increased proliferation and altered expression of genes involved in extracellular matrix synthesis and remodelling. PMID: 30237127
  2. Depletion of FN1 by siRNA knockdown markedly reduced the invasive capacity of prostate cancer cells in vitro. PMID: 29391407
  3. Human IL-7 binds more strongly to stretched than to relaxed Fibronectin. PMID: 28845674
  4. TGFB1-mediated PI3K/Akt and p38 MAP kinase dependent alternative splicing of fibronectin extra domain A in human podocyte culture has been reported. PMID: 29729706
  5. The findings of this study provide evidence highlighting the prominent role played by FN1 in stimulating glioma growth, invasion, and survival through the activation of the PI3K/AKT signaling pathway. PMID: 30048971
  6. The simultaneous delivery of multiple proinflammatory payloads to the cancer site conferred protective immunity against subsequent tumor challenges. A fully human homolog of IL2-F8-TNF(mut), which retained selectivity similar to its murine counterpart when tested on human material, may open new clinical applications for the immunotherapy of cancer. PMID: 28716814
  7. Under the same condition, p53 protein expression, but not mRNA expression, was reversed by MG132. Taken together, our data demonstrate that the level of FN expression is associated with the status and expression of p53 in breast cancer cells PMID: 28765903
  8. Our study thus demonstrates the dual roles of PTHrP on TGF-b1 signaling and FN up-regulation for the first time in glomerular mesangial cells . These data also provided new insights to guide development of therapy for diabetic kidney disease PMID: 28954822
  9. data suggest that miR-200b regulates EMT of chemo-resistant breast cancer cells by targeting FN1. miR-200b-based therapy may be an effective strategy in treating advanced breast cancer patients. PMID: 28972876
  10. Identification of novel integrin-binding domain mutations in FN1 in patients with glomerulopathy with fibronectin deposits. PMID: 27056061
  11. Fibronectin fragments (FNFr) function as matrikines driving the chemotactic affinity of prostate cancer cells via the alpha5beta1 integrin. PMID: 27715399
  12. Fn with its inactive compact structure requires unfolding to assemble into active fibrils. Shear stress could induce conformational changes of plasma Fn. PMID: 29470988
  13. B. burgdorferi does not primarily target insoluble matrix Fn deposited on endothelial surfaces but, instead, recruits and induces polymerization of soluble plasma Fn (pFn), an abundant protein in blood plasma that is normally soluble and nonadhesive. PMID: 28396443
  14. miR1271 inhibited glioma cell growth by targeting FN1, and a low level of miR1271 in glioma tumor tissues was associated with lower survival rates in patients with glioma. PMID: 28535003
  15. There is a significant association between a positive fetal fibronectin result and underlying inflammatory pathology of the placenta, even more so than the recognized relationship with short cervical length. PMID: 28535404
  16. The article focuses on summarizing the many binding partners for fibronectin such as extracellular matrix proteins, growth factors, and synthetic binding partners with a particular interest in binding partners whose adhesiveness is impacted by the molecular conformation of the fibronectin fibers. (Review) PMID: 27496349
  17. FN1 fibrils regulate TGFB1-induced epithelial-mesenchymal transition. PMID: 28109697
  18. Breast cancer cells alter the dynamics of stromal fibronectin-collagen interactions. PMID: 27503584
  19. This study suggested that high a1-antitrypsin (AAT)expression might be a negative prognostic marker for lung adenocarcinoma. AAT promoted lung adenocarcinoma metastasis, whose functional target may be fibronectin . Our findings provide new insight into the mechanisms of lung adenocarcinoma metastasis PMID: 28440399
  20. Data show the expression of ED-B fibronectin was much higher in mesenchymal than prostate cancer cells even after the epithelial to mesenchymal transition. Epithelial to mesenchymal transition is a key step for tumor progression contributing to the metastatic spread. Therefore, circulating cancer cells could seed into the metastatic niche taking advantage from the ED-B fibronectin that secrete their own. PMID: 27902486
  21. Thrombomodulin (TM) promotes angiogenesis by enhancing cell adhesion, migration, and FAK activation through interaction with fibronectin. PMID: 27602495
  22. thyroid nodule stiffness is correlated with fibrosis and expression of Gal-3 and FN-1 PMID: 27809694
  23. EGF and TNFalpha cooperatively promoted the motility of HCC cells mainly through NF-kappaB/p65 mediated synergistic induction of FN in vitro. These findings highlight the crosstalk between EGF and TNFalpha in promoting HCC, and provide potential targets for HCC prevention and treatment. PMID: 28844984
  24. analysis of FN in breast cancer reveals its role and diagnostic potential PMID: 27250024
  25. RT-PCR together with Sanger sequencing verified the presence of the FN1-ALK fusion transcripts PMID: 27469327
  26. Fibronectin is readily modified by ONOOH at low (physiologically-relevant) molar ratios of oxidant to protein. PMID: 27396946
  27. The 45 kDa gelatin-binding domain of fibronectin is responsible for the binding to TGM2. PMID: 27394141
  28. Proteomics study showed a strong association of FN1, A2M, C4BPA and CFB in molecular subtypes of breast cancer. The findings also revealed the altered level expressions of these selected proteins could classify BC subtypes through plasma and tissue based expression analysis PMID: 27498393
  29. FN1/CCL2 levels are elevated in the bronchoalveolar lavage fluid from pulmonary sarcoidosis patients. PMID: 27259755
  30. Cancer-associated fibroblasts organize the fibronectin matrix and promote directional prostate cancer cell migration. PMID: 29021221
  31. FN1 mutations that cause defective fibronectin secretion are found in SMD. PMID: 29100092
  32. FN1 overexpression is an important determinant of thyroid cancer aggressiveness. PMID: 27173027
  33. Thyroid hormone T3 induces fibronectin and HIF-1alpha synthesis via PI3K/AKT signaling pathway. PMID: 28974422
  34. Mutations in FN are associated with glomerulopathy, but when we studied mutant proteins, the single-nucleotide mutations had only minor effects on conformation and matrix assembly. The mutations may destabilize their FNIII domains or generate dimers of dimers by disulfide cross-linking. PMID: 28745050
  35. Fibronectin and Hepatocyte Growth Factor were shown to be produced by lung fibroblasts and, furthermore, to enhance malignant pleural mesothelioma cell migration and invasion PMID: 28476806
  36. Study identifies four likely Tourette disorder risk genes with multiple de novo damaging variants in unrelated probands: WWC1 (WW and C2 domain containing 1), CELSR3 (Cadherin EGF LAG seven-pass G-type receptor 3), NIPBL (Nipped-B-like), and FN1 (fibronectin 1). PMID: 28472652
  37. fibrillar fibronectin on this polymer, but not a globular conformation obtained on control polymers, promotes synergistic presentation of integrin-binding sites and bound bone morphogenetic protein 2 (BMP-2), which enhances mesenchymal stem cell osteogenesis in vitro and drives full regeneration of a nonhealing bone defect in vivo at low GF concentrations. PMID: 27574702
  38. Fn plays a critical role in inflammasome-activated cells by amplifying caspase-1 activation and inducing inflammatory cell death. PMID: 27870323
  39. If the expression of Capon is decreased, myeloma cells are adhered to fibronectin or bone marrow stromal cells (bone marrow mesenchymal stem cells). In addition, the sensitivity of the cell line to chemotherapeutic agents was reduced after silencing Capon in the myeloma cell line which was adhered to bone marrow mesenchymal stem cells. PMID: 28671047
  40. Protease sensitivity resulting from mutations in the Fn-binding sequence could lead to degradation of type I collagen, early embryonic lethality PMID: 27799304
  41. C-terminal truncation of transglutaminase 2 (TG2) reduces binding to the small intestinal extracellular matrix (ECM) despite retained fibronectin (FN)-binding capacity. PMID: 27685605
  42. analysis of novel functions for two fibronectin isoforms and the mediating receptors in osteoblast differentiation PMID: 28325836
  43. In vitro binding assays with purified components reveal that Tie-integrin recognition is direct, and further demonstrate that the receptor binding domain of the Tie2 ligand Ang-1, but not the receptor binding domain of Ang-2, can independently associate with a5b1 or aVb3. cooperative Tie/integrin interactions selectively stimulate ERK/MAPK signaling in the presence of both Ang-1 and fibronectin PMID: 27695111
  44. Results directly implicate the heparin-binding sequence of the first type III repeat of fibrillar fibronectin (FNIII1) in realignment of stress fibers in HUVECs and, importantly, show that the matricryptic heparin-binding RWRPK sequence located in FNIII1 is required for the response. PMID: 27521419
  45. TGFbeta elevated the expression of CamK IIbeta and CamK IIdelta, while siRNA silencing of those two subtypes significantly reduced TGFbeta-mediated expression of collagen A1 and fibronectin 1. PMID: 28130256
  46. Findings suggest that the up-regulated level of EDA+ FN is associated with liver damage in nonalcoholic fatty liver disease. PMID: 28397039
  47. In vitro binding studies support a previously unreported two-state "catch-clamp" mechanism of Fn binding by CshA, in which the disordered N-terminal domain of CshA acts to "catch" Fn, via formation of a rapidly assembled but also readily dissociable pre-complex, enabling its neighboring ligand binding domain to tightly clamp the two polypeptides together. PMID: 27920201
  48. These data add new evidence that thermodynamic stability correlates primarily with unfolding rate rather than folding rate. The study also has implications for the question of whether opening of FNIII domains contributes to the stretching of fibronectin matrix fibrils. PMID: 27909052
  49. A positive fFN was associate with preterm birth <32 weeks (15.6% versus 4.2%, p = 0.043), <35 weeks (37.5% versus 11.1%, p = 0.002), <37 weeks (65.6% versus 20.8%, p < 0.001), and earlier gestational ages at delivery (35.2 +/- 3.9 versus 37.4 +/- 2.9, p = 0.001). PMID: 26782923
  50. FN1 plays a role in the development of cisplatin resistance in non-small cell lung cancer (NSCLC), possibly by modulation of beta-catenin signaling through interaction with integrin-beta1 in NSCLC. PMID: 27207836

Show More

Hide All

Involvement in disease
Glomerulopathy with fibronectin deposits 2 (GFND2)
Subcellular Location
Secreted, extracellular space, extracellular matrix.
Tissue Specificity
Expressed in the inner limiting membrane and around blood vessels in the retina (at protein level). Plasma FN (soluble dimeric form) is secreted by hepatocytes. Cellular FN (dimeric or cross-linked multimeric forms), made by fibroblasts, epithelial and ot
Database Links

HGNC: 3778

OMIM: 135600

KEGG: hsa:2335

UniGene: Hs.203717

icon of phone
Call us
301-363-4651 (Available 9 a.m. to 5 p.m. CST from Monday to Friday)
icon of address
Address
7505 Fannin St., Ste 610, Room 7 (CUBIO Innovation Center), Houston, TX 77054, USA
icon of social media
Join us with

Subscribe newsletter

Leave a message

* To protect against spam, please pass the CAPTCHA test below.
CAPTCHA verification
© 2007-2025 CUSABIO TECHNOLOGY LLC All rights reserved. 鄂ICP备15011166号-1
×
Place an order now

I. Product details

*
*
*
*

II. Contact details

*
*

III. Ship To

*
*
*
*
*
*
*

IV. Bill To

*
*
*
*
*
*
*
*