IGF1R, the insulin-like growth factor 1 receptor, is also known as CD221. This transmembrane receptor tyrosine kinase binds insulin-like growth factor 1 (IGF-1) with high affinity, leading to autophosphorylation and activation of downstream signaling cascades. It mainly functions through the PI3K/Akt and Ras/MAPK pathways, which are crucial for cell growth, proliferation, and survival.
Aberrant activation of IGF1R is associated with various human diseases, including several types of cancer such as breast, prostate, and lung cancer. Given its role in tumorigenesis, IGF1R has become an attractive target for drug development. Multiple small - molecule inhibitors and monoclonal antibodies are under pre - clinical and clinical investigations, aiming to block its activity and combat related diseases.
Recombinant Human Insulin-like growth factor 1 receptor (IGF1R), partial (Active) (CSB-MP011087HU1)
Validated Data
(Tris-Glycine gel) Discontinuous SDS-PAGE (reduced) with 5% enrichment gel and 15% separation gel.
Activity
Measured by its binding ability in a functional ELISA. Immobilized Human IGF1R at 2 μg/ml can bind Anti-IGF1R recombinant antibody (CSB-RA011087MA2HU). The EC50 is 1.479-1.702 ng/mL.
The purity of IGF1R was greater than 90% as determined by SEC-HPLC
IGF1R Recombinant Monoclonal Antibody (CSB-RA011087MA2HU)
Validated Data
The Binding Activity of Human IGF1R with Anti-IGF1R Recombinant Antibody
Activity: Measured by its binding ability in a functional ELISA. Immobilized Human IGF1R (CSB-MP011087HU1) at 2 μg/mL can bind Anti-IGF1R recombinant antibody. The EC50 is 1.479-1.702 ng/mL.
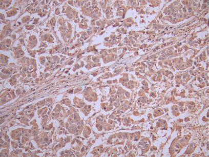
IHC image of CSB-RA011087MA2HU diluted at 1:50 and staining in paraffin-embedded human breast cancer performed on a Leica BondTM system. After dewaxing and hydration, antigen retrieval was mediated by high pressure in a citrate buffer (pH 6.0). Section was blocked with 10% normal goat serum 30min at RT. Then primary antibody (1% BSA) was incubated at 4°C overnight. The primary is detected by a Anti-Human lgG, Fcy Fragment Specific labeled by HRP and visualized using 0.05% DAB.
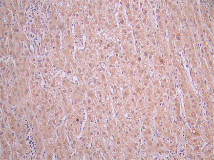
IHC image of CSB-RA011087MA2HU diluted at 1:50 and staining in paraffin-embedded human liver cancer performed on a Leica BondTM system. After dewaxing and hydration, antigen retrieval was mediated by high pressure in a citrate buffer (pH 6.0). Section was blocked with 10% normal goat serum 30min at RT. Then primary antibody (1% BSA) was incubated at 4°C overnight. The primary is detected by a Anti-Human lgG, Fcy Fragment Specific labeled by HRP and visualized using 0.05% DAB.
Immunofluorescence staining of MCF-7 cell with CSB-RA011087MA2HU at 1:30 ,counter-stained with DAPI. The cells were fixed in 4% formaldehyde and blocked in 10% normal Goat Serum. The cells were then incubated with the antibody overnight at 4°C. The secondary antibody was Fluorescein (FITC) AffiniPure Goat Anti-Human IgG, Fcγ fragment specific.
Immunofluorescence staining of SH-SY5Y cell with CSB-RA011087MA2HU at 1:30 ,counter-stained with DAPI. The cells were fixed in 4% formaldehyde and blocked in 10% normal Goat Serum. The cells were then incubated with the antibody overnight at 4°C. The secondary antibody was Fluorescein (FITC) AffiniPure Goat Anti-Human IgG, Fcγ fragment specific.
Overlay Peak curve showing Hela cells stained with CSB-RA011087MA2HU (red line) at 1:100. Then 10% normal goat serum to block non-specific protein-protein interactions followed by the antibody (1ug/1*106cells) for 45min at 4℃. The secondary antibody used was Fluorescein (FITC) AffiniPure Goat Anti-Human IgG, Fcγ fragment specific at 1:200 dilution for 35 min at 4℃.Control antibody (green line) was mouse IgG2a (1ug/1*106cells) used under the same conditions. Acquisition of >10,000 events was performed.
Human insulin-like growth factors 1 receptor,IGF-1R ELISA Kit (CSB-E13766h)
Validated Data
Code: CSB-E13766h
Size: 96T,5×96T,10×96T
Sensitivity: 0.078 ng/mL
Detection Range: 0.312 ng/mL-20 ng/mL
These standard curves are provided for demonstration only. A standard curve should be generated for each set of samples assayed.
The following IGF1R reagents supplied by CUSABIO are manufactured under a strict quality control system. Multiple applications have been validated and solid technical support is offered.
IGF1R Antibodies for Homo sapiens (Human)
| Code | Product Name | Species Reactivity | Application |
|---|---|---|---|
| CSB-PA011087GA01HU | IGF1R Antibody | Human,Mouse,Rat | ELISA,WB,IP |
| CSB-PA597654 | Phospho-IGF1R (Tyr1165/Tyr1166) Antibody | Human,Mouse,Rat | ELISA,WB,IF |
| CSB-PA067618 | IGF1R (Ab-1161) Antibody | Human,Mouse,Rat | ELISA,WB,IHC,IF |
| CSB-PA142373 | IGF1R (Ab-1165/1166) Antibody | Human,Mouse,Rat | ELISA,WB |
| CSB-PA443662 | IGF1R (Ab-1280) Antibody | Human,Mouse,Rat | ELISA,WB,IHC |
| CSB-PA449888 | Phospho-IGF1R (Tyr1280) Antibody | Human | ELISA,WB |
| CSB-PA277594 | IGF1R (Ab-1346) Antibody | Human,Mouse,Rat | ELISA,WB,IHC |
| CSB-PA120059 | Phospho-IGF1R (Tyr1161) Antibody | Human,Mouse,Rat | ELISA,WB,IHC,IF |
| CSB-PA945418 | Phospho-IGF1R (Tyr1346) Antibody | Human,Mouse,Rat | ELISA,IHC |
| CSB-PA942675 | IGF1R (Ab-1346) Antibody | Human,Mouse | ELISA,WB,IHC |
| CSB-PA000549 | Phospho-IGF1R (Y1165/Y1166) Antibody | Human,Mouse,Rat,Monkey | WB, ELISA |
| CSB-PA009487 | Phospho-IGF1R (Y1346) Antibody | Human,Mouse,Rat | IHC, ELISA |
| CSB-PA009488 | IGF1R Antibody | Human,Mouse,Rat | WB, ELISA |
| CSB-PA009489 | IGF1R Antibody | Human,Mouse,Rat | WB, ELISA |
| CSB-PA009490 | IGF1R Antibody | Human,Mouse,Rat | WB, IHC, ELISA |
| CSB-PA08395A0Rb | IGF1R Antibody | Human | ELISA, IF |
| CSB-PA08395B0Rb | IGF1R Antibody, HRP conjugated | Human | ELISA |
| CSB-PA08395D0Rb | IGF1R Antibody, Biotin conjugated | Human | ELISA |
| CSB-RA011087MA1HU | IGF1R Recombinant Monoclonal Antibody | Human | ELISA, FC |
| CSB-RA011087MA2HU | IGF1R Recombinant Monoclonal Antibody | Human | ELISA, IHC, IF, FC |
IGF1R Proteins for Homo sapiens (Human)
| Code | Product Name | Source |
|---|---|---|
| CSB-BP011087HU |
Recombinant Human Insulin-like growth factor 1 receptor (IGF1R), partial | Baculovirus |
| CSB-EP011087HUa0 | Recombinant Human Insulin-like growth factor 1 receptor (IGF1R), partial | E.coli |
| CSB-MP011087HU | Recombinant Human Insulin-like growth factor 1 receptor (IGF1R), partial | Mammalian cell |
| CSB-YP011087HU | Recombinant Human Insulin-like growth factor 1 receptor (IGF1R), partial | Yeast |
| CSB-EP011087HU | Recombinant Human Insulin-like growth factor 1 receptor (IGF1R), partial | E.coli |
| CSB-EP011087HU-B | Recombinant Human Insulin-like growth factor 1 receptor (IGF1R), partial,Biotinylated | E.coli |
| CSB-MP011087HU1 | Recombinant Human Insulin-like growth factor 1 receptor (IGF1R), partial (Active) | Mammalian cell |
IGF1R Proteins for Mus musculus (Mouse)
| Code | Product Name | Source |
|---|---|---|
| CSB-YP011087MO CSB-EP011087MO CSB-BP011087MO CSB-MP011087MO CSB-EP011087MO-B |
Recombinant Mouse Insulin-like growth factor 1 receptor (Igf1r), partial | Yeast E.coli Baculovirus Mammalian cell In Vivo Biotinylation in E.coli |
IGF1R Proteins for Sus scrofa (Pig)
| Code | Product Name | Source |
|---|---|---|
| CSB-YP011087PI CSB-EP011087PI CSB-BP011087PI CSB-MP011087PI CSB-EP011087PI-B |
Recombinant Pig Insulin-like growth factor 1 receptor (IGF1R), partial | Yeast E.coli Baculovirus Mammalian cell In Vivo Biotinylation in E.coli |
IGF1R Proteins for Xenopus laevis (African clawed frog)
| Code | Product Name | Source |
|---|---|---|
| CSB-CF011087XBE | Recombinant Xenopus laevis Insulin-like growth factor 1 receptor (igf1r) | in vitro E.coli expression system |
| CSB-YP011087XBE1 CSB-EP011087XBE1 CSB-BP011087XBE1 CSB-MP011087XBE1 CSB-EP011087XBE1-B |
Recombinant Xenopus laevis Insulin-like growth factor 1 receptor (igf1r), partial | Yeast E.coli Baculovirus Mammalian cell In Vivo Biotinylation in E.coli |
IGF1R Proteins for Rattus norvegicus (Rat)
| Code | Product Name | Source |
|---|---|---|
| CSB-CF011087RA | Recombinant Rat Insulin-like growth factor 1 receptor (Igf1r) | in vitro E.coli expression system |
| CSB-EP011087RA1 | Recombinant Rat Insulin-like growth factor 1 receptor (Igf1r), partial,Escherichia Coli | E.coli |
| CSB-BP011087RA1 | Recombinant Rat Insulin-like growth factor 1 receptor (Igf1r), partial,Baculovirus | Baculovirus |
| CSB-MP011087RA1 | Recombinant Rat Insulin-like growth factor 1 receptor (Igf1r), partial,Mammalian cell | Mammalian cell |
| CSB-YP011087RA1 | Recombinant Rat Insulin-like growth factor 1 receptor (Igf1r), partial,Yeast | Yeast |
IGF1R ELISA Kit for Homo sapiens (Human)
| Code | Product Name | Sample Types | Sensitivity |
|---|---|---|---|
| CSB-E13766h | Human insulin-like growth factors 1 receptor,IGF-1R ELISA Kit | serum, plasma, tissue homogenates | 0.078 ng/mL |
IGF1R ELISA Kit for Rattus norvegicus (Rat)
| Code | Product Name | Sample Types | Sensitivity |
|---|---|---|---|
| CSB-E13873r | Rat Insulin-like growth factor 1 receptor, IGF-1R ELISA Kit | serum, plasma, tissue homogenates | 0.8 pg/mL |