FYN Recombinant Monoclonal Antibody

Code CSB-RA142625A0HU
Size US$210
Order now
Image
  • Immunocytochemical staining of HT-1080 cells with Fyn antibody. Nuclei were stained blue with DAPI; Fyn was stained magenta with Alexa Fluor® 647. Images were taken using Leica stellaris 5. Protein abundance based on laser Intensity and smart gain: Medium. Scale bar: 20 μm.
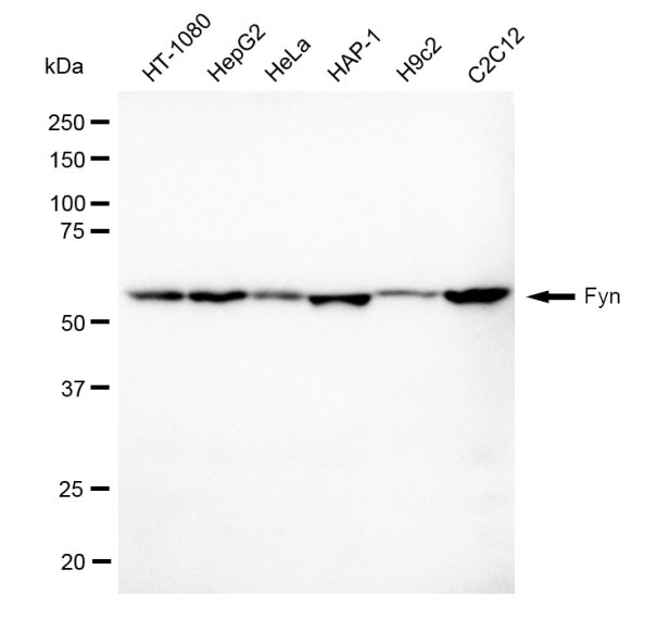
  • Western blotting analysis using Fyn antibody. Total cell lysates (30 μg) from various cell lines were loaded and separated by SDS-PAGE. The blot was incubated with Fyn antibody and HRP-conjugated goat anti-rabbit secondary antibody respectively.
Have Questions? Leave a Message or Start an on-line Chat

Product Details

Uniprot No.
Target Names
Alternative Names
FYN; FYN Proto-Oncogene, Src Family Tyrosine Kinase; SLK; SYN; FYN Oncogene Related To SRC, FGR, YES; Tyrosine-Protein Kinase Fyn; Proto-Oncogene C-Fyn; Proto-Oncogene Syn; Src-Like Kinase; EC 2.7.10.2; MGC45350; OKT3-Induced Calcium Influx Regulator; Tyrosine Kinase P59fyn(T); Src/Yes-Related Novel; C-Syn Protooncogene; EC 2.7.10; P59-FYN; P59-Fyn
Species Reactivity
Human, Mouse, Rat
Immunogen
Recombinant Human FYN protein
Immunogen Species
Homo sapiens (Human)
Conjugate
Non-conjugated
Clonality
Monoclonal
Isotype
Rabbit IgG
Clone No.
23A6
Purification Method
Affinity-chromatography
Concentration
It differs from different batches. Please contact us to confirm it.
Buffer
Rabbit IgG in PBS (pH 7.4) containing 50% glycerol, and 0.02% sodium azide.
Form
Liquid
Tested Applications
ELISA, WB, ICC
Recommended Dilution
Application Recommended Dilution
WB 1:1000-1:5000
ICC 1:100-1:1000
Troubleshooting and FAQs
Storage
Upon receipt, store at -20°C or -80°C. Avoid repeated freeze.
Lead Time
Basically, we can dispatch the products out in 1-3 working days after receiving your orders. Delivery time maybe differs from different purchasing way or location, please kindly consult your local distributors for specific delivery time.
Usage
For Research Use Only. Not for use in diagnostic or therapeutic procedures.

Customer Reviews and Q&A

 Customer Reviews

There are currently no reviews for this product.

Submit a Review here

Target Background

Function
Non-receptor tyrosine-protein kinase that plays a role in many biological processes including regulation of cell growth and survival, cell adhesion, integrin-mediated signaling, cytoskeletal remodeling, cell motility, immune response and axon guidance. Inactive FYN is phosphorylated on its C-terminal tail within the catalytic domain. Following activation by PKA, the protein subsequently associates with PTK2/FAK1, allowing PTK2/FAK1 phosphorylation, activation and targeting to focal adhesions. Involved in the regulation of cell adhesion and motility through phosphorylation of CTNNB1 (beta-catenin) and CTNND1 (delta-catenin). Regulates cytoskeletal remodeling by phosphorylating several proteins including the actin regulator WAS and the microtubule-associated proteins MAP2 and MAPT. Promotes cell survival by phosphorylating AGAP2/PIKE-A and preventing its apoptotic cleavage. Participates in signal transduction pathways that regulate the integrity of the glomerular slit diaphragm (an essential part of the glomerular filter of the kidney) by phosphorylating several slit diaphragm components including NPHS1, KIRREL1 and TRPC6. Plays a role in neural processes by phosphorylating DPYSL2, a multifunctional adapter protein within the central nervous system, ARHGAP32, a regulator for Rho family GTPases implicated in various neural functions, and SNCA, a small pre-synaptic protein. Participates in the downstream signaling pathways that lead to T-cell differentiation and proliferation following T-cell receptor (TCR) stimulation. Phosphorylates PTK2B/PYK2 in response to T-cell receptor activation. Also participates in negative feedback regulation of TCR signaling through phosphorylation of PAG1, thereby promoting interaction between PAG1 and CSK and recruitment of CSK to lipid rafts. CSK maintains LCK and FYN in an inactive form. Promotes CD28-induced phosphorylation of VAV1. In mast cells, phosphorylates CLNK after activation of immunoglobulin epsilon receptor signaling.
Gene References into Functions
  1. SPHK2 is highly expressed in the kidney interstitium of patients with renal fibrosis and highly correlates with disease progression. SPHK2 phosphorylates Fyn to activate downstream STAT3 and AKT, thereby promoting extracellular matrix synthesis, kidney fibroblast activation, and renal fibrosis. PMID: 30251698
  2. Fyn and Lyn as important factors that promote Plasmacytoid dendritic cell responses. PMID: 28368000
  3. Data suggest that Fyn tyrosine kinase (Fyn)-dependent phosphorylation at two critical tyrosines is a key feature of vertebrate plexin A1 (PlxnA1) and plexin A2 (PlxnA2) signal transduction. PMID: 29091353
  4. Nav1.7 is a substrate for Fyn kinase. PMID: 29790812
  5. Fyn binds to mGluR1a at a consensus binding motif located in the intracellular C-terminus (CT) of mGluR1a in vitro. Active Fyn phosphorylates mGluR1a at a conserved tyrosine residue in the CT region. In cerebellar neurons and transfected HEK293T cells, Fyn-mediated tyrosine phosphorylation of mGluR1a is constitutively active and facilitates surface expression of mGluR1a and potentiates mGluR1a postreceptor signaling. PMID: 28948209
  6. High FYN expression is associated with pancreatic cancer metastasis. PMID: 28560430
  7. Study was the first to demonstrate critical positive regulation of thyroid tumorigenesis by FYN, which could be a potential target gene for thyroid carcinoma treatment. PMID: 29140740
  8. Fyn-dependent phosphorylation of SHP-1 serine 591 inactivates the phosphatase, enabling activatory immunoreceptor signaling. PMID: 28811476
  9. upregulated in fibrotic kidneys PMID: 27616741
  10. Study identified the binding site between tau and fyn-SH3 may facilitate the development of compounds that can inhibit tau-fyn interactions, which presents an alternative therapeutic strategy for Alzheimer's disease; and provide evidence that a physiological correlation between phosphorylated tau at S202, S262, and S396/404 and fyn is not present in Alzheimer's disease brain. PMID: 27193083
  11. FYN expression is regulated according to AD status and regulatory region haplotype, and genetic variants may be instrumental in the development of neurofibrillary tangles in AD and other tauopathies. PMID: 28033507
  12. a substantial fraction of unligated CD36 exists in nanoclusters, which not only promote TSP-1 binding but are also enriched with the downstream effector Fyn. PMID: 27694211
  13. Upon SMAD4 deletion, we detected high expression levels of FYN in vessel endothelial cells, suggesting the mechanism of the ovarian tumor cells cross the endothelial barrier and transform to an invasive phenotype PMID: 28393199
  14. Study reveal that binding the phosphorylated tail of Fyn perturbs a residue cluster near the linker connecting the SH2 and SH3 domains of Fyn, which is known to be relevant in the regulation of the activity of Fyn. PMID: 27692963
  15. The data suggest that miR-106b inhibits Amyloid-beta (1-42)-induced tau phosphorylation at Tyrosine 18 by targeting Fyn. PMID: 27520374
  16. FYN was transcriptionally regulated by FOXO1. PMID: 27349276
  17. Results found that GluN2B subunit-containing NMDARs were dominant in induced pluripotent stem cell-derived neurons and that tyrosine-protein kinase Fyn potentiated the function of GluN2B subunit-containing NMDARs. PMID: 27040756
  18. These results indicate that the microenvironment and growth patterns in an multicellular spheroid are complex and require MAPK and FYN kinase PMID: 27466485
  19. this study shows that p59(fyn), which is essential for activation of T cells through the T-cell receptor, is also critical for signal transduction through Toll-like receptors in T cells PMID: 26888964
  20. Fyn expression fluctuated with the progress of normal pregnancy and was elevated in patients with recurrent spontaneous abortion PMID: 26892111
  21. Neuroendocrine differentiation in prostate cancer cells and visceral metastasis, are least in part, regulated by FYN kinase. PMID: 26624980
  22. Fyn facilitates mitotic spindle formation through the increase in microtubule polymerization, resulting in the acceleration of M-phase progression. PMID: 26365631
  23. Results show that three CpG loci within FYN were hypermethylated in obese individuals, while obesity was associated with lower methylation of CpG loci within PIWIL4 and TAOK3. PMID: 26646899
  24. Data provide structural insight into the dimerization of Fyn SH2 both in solution and in crystalline conditions, providing novel crystal structures of both the dimer and peptide-bound structures of Fyn SH2. PMID: 26384592
  25. Mutation of Fyn phosphorylation sites on PIKE-A, depletion of Fyn, or pharmacological inhibition of Fyn blunts the association between PIKE-A and AMPK, resulting in loss of its inhibitory effect on AMPK. PMID: 26001218
  26. Results show that Fyn differentially modulates Nav1.5 channel splice variants. It phosphorylates Nav1.5 variants Q-del and Q-pre resulting in there hyperpolarizing and depolarizing shift. Fyn's activity is abolished in the presence of both variants. PMID: 26382759
  27. In this study, it is shown that the alternatively spliced FynT isoform is specifically up-regulated in the AD neocortex, with no change in FynB isoform. PMID: 26561212
  28. our results provide no evidence that the Fyn -93A>G SNP contributes to the susceptibility to acute liver transplant rejection in a Caucasian population. PMID: 26407913
  29. Data suggest both KLF5 (Kruppel like factor 5) and FYN are important in regulation of migration in bladder cancer cells; KLF5 up-regulates cell migration, lamellipodia formation, FYN expression, and phosphorylation of FAK (focal adhesion kinase). PMID: 26786295
  30. Our results establish that Fyn can arrest SW-induced apoptosis via the activity of Akt and its effective phosphorylation in 293T cells. PMID: 26125726
  31. Fyn inhibition may be an effective therapeutic approach in treating cSCC. PMID: 24976598
  32. the main finding is that FYN polymorphisms were respon- sible for the variance in intermediate defense style(undoing)and mature defensestyle(suppression). PMID: 25130779
  33. Results indicate that FYN has an important role in tamoxifen resistance, and its subcellular localization in breast tumor cells may be an important novel biomarker of response to endocrine therapy in breast cancer. PMID: 24882577
  34. it is not just inactivation of Fyn that promotes multicellular spheroid formation but this must be coupled with the full length beta6 integrin. PMID: 25503120
  35. these results demonstrate a Fyn kinase-dependent mechanism through which IFNgamma regulates E-cadherin stability and suggest a novel mechanism of disruption of epithelial cell contact, which could contribute to perturbed epithelial barrier function. PMID: 22715382
  36. The SNPs in the selected regions of the Fyn gene are unlikely to confer the susceptibility of sAD in the Chinese Han population PMID: 24852829
  37. Fyn expression in mdMSCs contributes to basal cytoskeletal architecture and, when associated with FAs, functions as a proximal mechanical effector for environmental signals that influence MSC lineage allocation. PMID: 23836527
  38. These results provided suggestive evidence that the FYN gene contributes toward the variance in human coping styles. PMID: 23851594
  39. monomeric IgE, in the absence of antigen, induces VEGF production in MC and in vivo contributes to melanoma tumor growth through a Fyn kinase-dependent mechanism. PMID: 23915951
  40. positively regulates IFN-lambda1 genes during viral infection PMID: 23405030
  41. PrP(C) down-regulated tau via the Fyn pathway and the effect can be regulated by Abeta oligomers. PMID: 23805846
  42. Mutations in FYN implicate SRC signaling, impaired DNA damage response, and escape from immune surveillance mechanisms in the pathogenesis of peripheral T cell lymphomas. PMID: 24413734
  43. MicroRNA-125a-3p reduces cell proliferation and migration by targeting Fyn. PMID: 23606749
  44. These data demonstrate a mechanism whereby Fyn and Lyn, redundantly mediate anticryptococcal killing by inducing the polarization of perforin-containing granules to the NK cell-cryptococcal synapse. PMID: 23918783
  45. no association between FYN polymorphisms and schizophrenia risk or age at schizophrenia onset, was found. PMID: 23250004
  46. Expression of HPV type 16 E7 resulted in increase in Src and Yes proteins level, but did not alter the level of Fyn. PMID: 23497302
  47. Highlighted is recent evidence that FYN kinase mediates signal transduction downstream of the PrP(C)-ABETA oligomer complex in Alzheimer disease. [review] PMID: 22987042
  48. Fyn regulates the activity of the adipogenic transcription factor signal transducer and activator of transcription 5a (STAT5a) through enhancing its interaction with the GTPase phosphoinositide 3-kinase enhancer A (PIKE-A). PMID: 23438599
  49. Nck may facilitate dynamic signaling events at the slit diaphragm by promoting Fyn-dependent phosphorylation of nephrin. PMID: 23188823
  50. The results presented from this in silico study will open up new prospect for genetic analysis of FYN gene and their correlation with clinical data will be very useful in understanding the genetics of Alzheimer's disease. PMID: 22843238

Show More

Hide All

Subcellular Location
Cytoplasm. Nucleus. Cell membrane. Note=Present and active in lipid rafts. Palmitoylation is crucial for proper trafficking.
Protein Families
Protein kinase superfamily, Tyr protein kinase family, SRC subfamily
Tissue Specificity
Isoform 1 is highly expressed in the brain. Isoform 2 is expressed in cells of hemopoietic lineages, especially T-lymphocytes.
Database Links

HGNC: 4037

OMIM: 137025

KEGG: hsa:2534

STRING: 9606.ENSP00000346671

UniGene: Hs.390567

CUSABIO guaranteed quality
icon of phone
Call us
301-363-4651 (Available 9 a.m. to 5 p.m. CST from Monday to Friday)
icon of address
Address
7505 Fannin St., Ste 610, Room 7 (CUBIO Innovation Center), Houston, TX 77054, USA
icon of social media
Join us with

Subscribe newsletter

Leave a message

* To protect against spam, please pass the CAPTCHA test below.
CAPTCHA verification
© 2007-2025 CUSABIO TECHNOLOGY LLC All rights reserved. 鄂ICP备15011166号-1
×
Place an order now

I. Product details

*
*
*
*

II. Contact details

*
*

III. Ship To

*
*
*
*
*
*
*

IV. Bill To

*
*
*
*
*
*
*
*