MSN Recombinant Monoclonal Antibody

Code CSB-RA574257A0HU
Size US$210
Order now
Image
  • Flow cytometric analysis of Moesin expression in HepG2 cells using Moesin antibody. Green, isotype control; red, Moesin.
  • Immunohistochemistry was performed on paraffin-embedded human breast carcinoma using moesin antibody. Antigen retrieval was done in sodium citrate buffer (pH 6.0). DAB was used for detection, with hematoxylin counterstaining. Images were acquired using a Nikon Ci-L Plus microscope (40× objective). Scale bar: 25 μm.
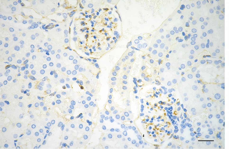
  • Immunohistochemistry was performed on paraffin-embedded mouse kidney using moesin antibody. Antigen retrieval was done in sodium citrate buffer (pH 6.0). DAB was used for detection, with hematoxylin counterstaining. Images were acquired using a Nikon Ci-L Plus microscope (40× objective). Scale bar: 25 μm.
  • Western blotting analysis using moesin antibody. Total cell lysates (30 μg) from various cell lines were loaded and separated by SDS-PAGE. The blot was incubated with moesin antibody and HRP-conjugated goat anti-rabbit secondary antibody respectively.
Have Questions? Leave a Message or Start an on-line Chat

Product Details

Uniprot No.
Target Names
Alternative Names
Moesin; Membrane-Organizing Extension Spike Protein; Epididymis Luminal Protein 70; HEL70; IMD50
Species Reactivity
Human, Mouse, Rat
Immunogen
Recombinant Human MSN protein
Immunogen Species
Homo sapiens (Human)
Conjugate
Non-conjugated
Clonality
Monoclonal
Isotype
Rabbit IgG
Clone No.
6F1
Purification Method
Affinity-chromatography
Concentration
It differs from different batches. Please contact us to confirm it.
Buffer
Rabbit IgG in PBS (pH 7.4) containing 50% glycerol, and 0.02% sodium azide.
Form
Liquid
Tested Applications
ELISA, WB, FC, IHC
Recommended Dilution
Application Recommended Dilution
WB 1:1000-1:5000
FC 1:200-1:2000
IHC 1:100-1:200
Troubleshooting and FAQs
Storage
Upon receipt, store at -20°C or -80°C. Avoid repeated freeze.
Lead Time
Basically, we can dispatch the products out in 1-3 working days after receiving your orders. Delivery time maybe differs from different purchasing way or location, please kindly consult your local distributors for specific delivery time.
Usage
For Research Use Only. Not for use in diagnostic or therapeutic procedures.

Customer Reviews and Q&A

 Customer Reviews

There are currently no reviews for this product.

Submit a Review here

Target Background

Function
Ezrin-radixin-moesin (ERM) family protein that connects the actin cytoskeleton to the plasma membrane and thereby regulates the structure and function of specific domains of the cell cortex. Tethers actin filaments by oscillating between a resting and an activated state providing transient interactions between moesin and the actin cytoskeleton. Once phosphorylated on its C-terminal threonine, moesin is activated leading to interaction with F-actin and cytoskeletal rearrangement. These rearrangements regulate many cellular processes, including cell shape determination, membrane transport, and signal transduction. The role of moesin is particularly important in immunity acting on both T and B-cells homeostasis and self-tolerance, regulating lymphocyte egress from lymphoid organs. Modulates phagolysosomal biogenesis in macrophages. Participates also in immunologic synapse formation.
Gene References into Functions
  1. These results suggested that strong moesin expression by malignant cells may help to determine patients with oral squamous cell carcinoma and poor prognosis. PMID: 29310601
  2. Up-regulation of moesin expression in glioblastoma cells resulted in more aggressive orthotopic glioblastoma growth in nude mice. PMID: 29848673
  3. In lip squamous carcinoma, moesin expression was strong at the invasive tumor front and weak/negative in differentiated cells. There was no association between moesin expression and the clinicopathological variables, but high moesin was associated with lower 5- and 10-year overall and disease-free survival rates. Moesin may participate in oral carcinogenesis. PMID: 29715096
  4. This review focuses on the role of moesin in microvascular permeability and angiogenesis, and on the involvement of Src and ROS in endothelial barrier disruption. PMID: 28129474
  5. CPI-17 drives Ras activity and tumorigenesis in melanomas in a two-fold way; inactivation of the tumor suppressor merlin and activation of the growth promoting ERM family. PMID: 27793041
  6. The authors demonstrated that the expression of MSN in glioma specimens were negatively correlated with miR-200c expression, and MSN overexpression rescued the phenotype about cell proliferation and invasion induced by miR-200c. PMID: 28529643
  7. The expression pattern and subcellular localization of ezrin and moesin correlate with clinicopathological variables such as patients' age, tumor grade and hormonal status. PMID: 28624994
  8. Moesin and merlin regulate urokinase receptor-dependent endothelial cell migration, adhesion and angiogenesis PMID: 28473293
  9. The results reveal a supportive role of ERMs in cortical activities during cytokinesis, and also provide insight into the selective mechanism that preferentially associates cytokinesis-relevant proteins with the division site. PMID: 28889652
  10. These results indicate that loss of miR-200c, as a consequence of p53 mutation, can upregulate Moesin oncogene and thus promote carcinogenesis in breast cancer PMID: 28933253
  11. the administration of 10(-6) M retinoic acid (10-20 min) induces the activation of the migration-related proteins Moesin, FAK, and Paxillin in T-47D breast cancer cells. PMID: 27130522
  12. Up-regulation of moesin expression in glioblastoma cells correlated with increases in cell proliferation, invasion and migration, suggesting moesin's role in glioblastoma progression. PMID: 28476784
  13. this study identifies X-linked primary immunodeficiency associated with hemizygous mutations in the moesin gene PMID: 27405666
  14. These results of this study may pave the way for exploiting moesin as a novel target for intervention in muscular dystrophy. PMID: 28082118
  15. The present study showed over-expression of ezrin and moesin in colorectal carcinoma PMID: 27042764
  16. These results indicate that the Thr 558 phosphorylation in moesin mediates endothelial angiogenesis. Advanced glycation end products promoted human umbilical vein endothelial cell angiogenesis by inducing moesin phosphorylation via RhoA/ROCK pathway. PMID: 26956714
  17. Phospho-Ezrin/Radixin/Moesin (ERM) inhibit cell adhesion, and therefore, dephosphorylation of ERM proteins is essential for cell adhesion.Phospho-ERM induce formation and/or maintenance of spherical cell shape. PMID: 26555866
  18. Moesin was required in HMGB1-induced F-actin rearrangement, hyperpermeability, and inflammatory responses. HMGB1 increased Thr558 phosphorylation of moesin. Moesin was elevated in sepsis. PMID: 25947626
  19. results indicate Moesin may regulate cell motility through its interactions with MT1-MMP and E-cadherin/p120-catenin adhesion complex and cytoplasmic expression of Moesin correlates with nodal metastasis and poor prognosis of OSCCs PMID: 26194050
  20. Intracellular sphingosine kinase 2-derived sphingosine-1-phosphate mediates epidermal growth factor-induced ezrin-radixin-moesin phosphorylation and cancer cell invasion. PMID: 26209696
  21. Moesin might be involved in renal fibrosis and its effects could be related to interacting with E-Cadherin. PMID: 25406076
  22. Ezrin, radixin and moesin are unlikely targets for autoantibodies in demyelinating neuropathies. PMID: 25286001
  23. Ezrin and moesin expression is related to LSCC invasion and metastasis, and may be important molecular markers for predicting prognosis and therapeutic targets in LSCC patients PMID: 25299115
  24. Data show that silencing ezrin-radixin-moesin (ERM) protein expression ablates deleted in colorectal carcinoma protein (DCC)-protein kinase A (PKA) interaction and specifically blocks netrin-induced PKA activity and phosphorylation. PMID: 25575591
  25. both moesin-mediated inhibition and its localized deactivation by myosin phosphatase are essential for neutrophil polarization and effective neutrophil tracking of pathogens. PMID: 25601651
  26. STIP1 and moesin may be novel and differential sero-diagnostic markers for psoriasis vulgaris and psoriatic arthritis PMID: 25010044
  27. present findings suggest that moesin is characteristically overexpressed and activated in adenomyosis, and that moesin activation may be related to extension of adenomyosis in the myometrium. PMID: 24698421
  28. Moesin was shown to be directly targeted by miR-200b; in breast cancer cell lines and patient samples, its expression is inversely correlated with miR-200 expression, and high levels of moesin were associated with poor relapse-free survival. PMID: 24037528
  29. Moesin expression and CD44 expression might be useful markers of poor prognosis in gastric adenocarcinoma. PMID: 23889297
  30. VIP regulates CFTR membrane expression and function in Calu-3 cells by increasing its interaction with NHERF1 and P-ERM in a VPAC1- and PKCepsilon-dependent manner. PMID: 24788249
  31. Talin has a role in regulating moesin-NHE-1 recruitment to invadopodia in breast cancer PMID: 24891603
  32. Phosphorylation of moesin at Thr558 by JNK is important for podosome rosette formation. PMID: 24127566
  33. Testosterone induces actin cytoskeleton remodeling by regulating ROCK-2/moesin expression and activation. PMID: 24065547
  34. The aim of this study was to examine the expression of ERM (ezrin, moesin) and Rho (RhoA, RhoB and Cdc42) proteins in breast cancer (BC) patients. PMID: 23420497
  35. important role of ezrin-moesin-radixin proteins during HCV infection at the postentry level and highlight possible novel targets for HCV treatment. PMID: 23703860
  36. Molecular basis for the moesin/l-selectin/CaM ternary complex; an important role for phospholipids in modulating l-selectin function and shedding. PMID: 23796515
  37. ERM proteins play important differential roles in the thrombin-induced modulation of EC permeability, with moesin promoting barrier dysfunction and radixin opposing it. PMID: 23729486
  38. These results suggest moesin protein involved in the genesis and progression of astrocytomas PMID: 23315217
  39. Data suggest that P-glycoprotein associate with the F-actin cytoskeleton through ezrin/radixin/moesin (ERM) in CCR9/CCL25 induced multidrug resistance of acute T-lymphocytic leukemia (T-ALL) cells. PMID: 23326330
  40. Control of adipogenesis by ezrin, radixin and moesin-dependent biomechanics remodeling. PMID: 23116763
  41. Moesin is a glioma progression marker that induces proliferation and Wnt/beta-catenin pathway activation via interaction with CD44. PMID: 23221384
  42. Ezrin/radixin/moesin are required for the purinergic P2X7 receptor (P2X7R)-dependent processing of the amyloid precursor protein. PMID: 22891241
  43. These results offer biological evidence of moesin as an EMT marker, support the association between moesin, Snail and EMT and suggest a role for moesin in breast cancer prognostication. PMID: 22439598
  44. role of CCM3 and ezrin/radixin/moesin family of proteins in cell's response to oxidative stress PMID: 22291017
  45. Ano1, ezrin, and moesin/radixin colocalize apically in salivary gland epithelial cells, and overexpression of moesin and Ano1 in HEK cells alters the subcellular localization of both proteins PMID: 22685202
  46. Both moesin and KRT17 demonstrated a tendency of increased expression as pT stage advanced. PMID: 22076435
  47. increased moesin expression promotes EMT by regulating adhesion and contractile elements for changes in actin filament organization. PMID: 22031288
  48. Activation of moesin, a protein that links actin cytoskeleton to the plasma membrane, occurs by phosphatidylinositol 4,5-bisphosphate (PIP2) binding sequentially to two sites and releasing an autoinhibitory linker. PMID: 22433855
  49. Results confirm the involvement of RhoA/ROCK pathway and subsequent moesin Thr558 phosphorylation in advanced glycation endproduct-mediated endothelial dysfunction. PMID: 22251897
  50. Knockdown of moesin did not influence the expression or function of P-gp PMID: 21837648

Show More

Hide All

Involvement in disease
Immunodeficiency 50 (IMD50)
Subcellular Location
Cell membrane; Peripheral membrane protein; Cytoplasmic side. Cytoplasm, cytoskeleton. Apical cell membrane; Peripheral membrane protein; Cytoplasmic side. Cell projection, microvillus membrane; Peripheral membrane protein; Cytoplasmic side. Cell projection, microvillus.
Tissue Specificity
In all tissues and cultured cells studied.
Database Links

HGNC: 7373

OMIM: 300988

KEGG: hsa:4478

STRING: 9606.ENSP00000353408

UniGene: Hs.713679

CUSABIO guaranteed quality
icon of phone
Call us
301-363-4651 (Available 9 a.m. to 5 p.m. CST from Monday to Friday)
icon of address
Address
7505 Fannin St., Ste 610, Room 7 (CUBIO Innovation Center), Houston, TX 77054, USA
icon of social media
Join us with

Subscribe newsletter

Leave a message

* To protect against spam, please pass the CAPTCHA test below.
CAPTCHA verification
© 2007-2025 CUSABIO TECHNOLOGY LLC All rights reserved. 鄂ICP备15011166号-1
×
Place an order now

I. Product details

*
*
*
*

II. Contact details

*
*

III. Ship To

*
*
*
*
*
*
*

IV. Bill To

*
*
*
*
*
*
*
*